What are common GI cancers and describe the clinical features of oesophageal carcinoma?
[*] Malignant tumours of the GI tract are common. The commonest GI malignancy is colorectal cancer. Other common GI malignancies include cancers of the oesophagus, stomach, large intestine, pancreas and liver.
[*] Clinical features of oesophageal carcinoma
What are clinical features of gastric cancer?
What are clinical features of colorectal cancer?
What are clinical features of pancreatic carcinoma?
Describe how GI derived infection or cancers may spread within the body (including GI lymphomas)
[*] There is a general association of chronic inflammation with cancer. Gastric cancer is common in countries with high H. Pylori prevalence e.g. Columbia. The association is supported by serological and epidemiological evidence.
[*] Gastric Lymphoma

What’s the most common GI malignancy?
[*] Common => Rare (New Cases per year in England and Wales): Colorectal (25,000) => Stomach (11,000) => Pancreas (5,500) => Oesophagus
[*] The commonest GI malignancy is colorectal cancer and approximately 25,000 new cases are reported in England and Wales per year. 2nd biggest cause of cancer death in the UK. More common in males.
What’s the 2nd most common GI malignancy?
[*] Carcinoma of the stomach is the second most common GI malignancy with approximately 11,000 new cases registered in England and Wales per year. The incidence is falling in the UK but carcinoma of the stomach remains a very common malignancy in global terms.
What’s the third most common GI malignancy?
[*] The pancreas may also be considered to be part of the GI tract and approximately 5500 new cases of carcinoma of the pancreas are registered in England and Wales per year. This tumour tends to present at an advanced stage and little is known of its aetiology. Because of the late presentation, prognosis is very poor indeed.
[*] Carcinoma of the Pancreas: accounts for about 5% of all cancer deaths in the USA and in the UK
What’s the 4th most common GI malignancy?
[*] The next most common malignancy is carcinoma of the oesophagus which may arise from the squamous or so-called columnar epithelial lined oesophagus. Dysphagia is common presenting symptom and many tumours are inoperable at the time of presentation.
Oesophageal Squamous Carcinoma aetiology/pathogenesis
Oesophageal Adenocarcinoma aetiology/pathogenesis
What investigations would you do for an oesophageal carcinoma and describe the pathological features
[*] Oesophageal carcinoma Investigation:
[*] Oesophageal carcinoma pathological features
Squamous Cell Carcinoma
Adenocarcinoma

Describe the prognosis of oesophageal carcinoma
What investigations would you do for Gastric Cancer

Describe the macroscopic features of gastric carcinoma
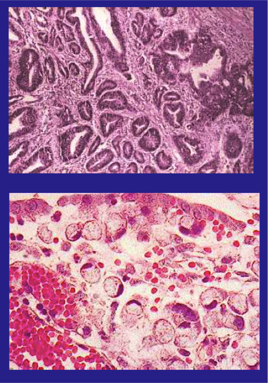
Describe the microscopic features of Gastric Carcinoma

Describe the prognosis and spread of Gastric Cancer
[*] Early Gastric Cancer
[*] Advanced Gastric Cancer
[*] Gastric Cancer Spread
Describe the treatment for gastric cancer
Describe Gastrointestinal stromal tumours
Pleomorphism
Mitoses
Necrosis

What are the different types of tumours that can occur in the Large Intestine?
Adenomas:
Adenocarcinomas
Polyps
Anal Carcinoma
Describe Large Intestinal Adenomas

What is FAP and Gardner’s Syndrome?
[*] Familial Adenomatous Polyposis (FAP):
[*] Gardner’s Syndrome:

Describe the adenoma-carcinoma sequence
Describe the macroscopic features of Colorectal Cancer
[*] Macroscopic features of Colorectal Cancer (adenocarcinomas)
Describe the microscopic features of colorectal cancer
[*] Microscopic features of Colorectal Cancer: moderately different adenocarcinomas
How would you measure the spread of colorectal cancer?
[*] Spread of Colorectal Cancer
Duke’s
TMN (is used these days as well)