SUA Flashcards

(65 cards)

1
Q

Causas estruturais de SUA

A

Polipos
Adenomiose
Leiomiomas
Malignidade

How well did you know this?
1
Not at all
2
3
4
5
Perfectly
2
Q

Causas NÃO estruturais de SUA

A

Coagulopatias
Ovulatorias
Endometriais
Iatrogenicas
Não classificadas

How well did you know this?
1
Not at all
2
3
4
5
Perfectly
3
Q

SUA + imagem HIPERecogênica em USG

A

Polipos

How well did you know this?
1
Not at all
2
3
4
5
Perfectly
4
Q

SUA + Imagem HIPOecogênica em USG

A

Miomas

How well did you know this?
1
Not at all
2
3
4
5
Perfectly
5
Q

Quando o mioma pode estar hiperecogênico na USG?

A

Quando calcificado (principalmente menopausa)

How well did you know this?
1
Not at all
2
3
4
5
Perfectly
6
Q

Sinusorragia + Sangramento intermenstruação

A

Pólipo

How well did you know this?
1
Not at all
2
3
4
5
Perfectly
7
Q

Quais os dois tipos de pólipo endometrial?

A

Pediculado (pediculo vascular)
Séssil

How well did you know this?
1
Not at all
2
3
4
5
Perfectly
8
Q

Tratamento padrão polipo endometrial

A

Polipectomia histeroscopica

How well did you know this?
1
Not at all
2
3
4
5
Perfectly
9
Q

Fatores de risco miomatose uterina

A

IDADE >35 anos
Historia familiar
Raça negra
Hiperestrogenização: Obesidade, Menacme longa, NULIPARIDADE (ao contrario da adenomomiose)

How well did you know this?
1
Not at all
2
3
4
5
Perfectly
10
Q

Classificação miomas submucosos FIGO

A

0 (pediculado)
1 (<50% intramural)
2 (>50% intramural)

How well did you know this?
1
Not at all
2
3
4
5
Perfectly
11
Q

Classificação miomas intramurais FIGO

A

3 (tangencia o endométrio)
4

How well did you know this?
1
Not at all
2
3
4
5
Perfectly
12
Q

Classificação miomas subserosos FIGO

A

5 (>50% intramural)
6 (<50% intramural)
7 (Pediculado)

How well did you know this?
1
Not at all
2
3
4
5
Perfectly
13
Q

Mioma classificação 8?

A

Outros
- Cervical
- Parasita

How well did you know this?
1
Not at all
2
3
4
5
Perfectly
14
Q

O que é mioma transmural?

A

Localizado nas 3 camadas (2-5)
submucoso + intramural + seroso

How well did you know this?
1
Not at all
2
3
4
5
Perfectly
15
Q

Classificação endoscópica ESGE

A

G0 = FIGO 0
G1 = FIGO 1
G2 - FIGO 2

How well did you know this?
1
Not at all
2
3
4
5
Perfectly
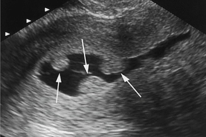
16
Q

Qual o diagnostico

A

Mioma

How well did you know this?
1
Not at all
2
3
4
5
Perfectly
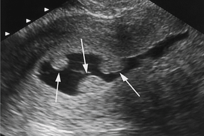
17
Q

Qual o diagnótico

A

Mioma

How well did you know this?
1
Not at all
2
3
4
5
Perfectly
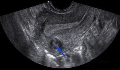
18
Q

Qual o diagnostico

A

pólipo

How well did you know this?
1
Not at all
2
3
4
5
Perfectly
19
Q

qual o diagnóstico

A

Mioma

How well did you know this?
1
Not at all
2
3
4
5
Perfectly
20
Q

Qual o diagnóstico

A

Pólipo

How well did you know this?
1
Not at all
2
3
4
5
Perfectly
21
Q

Mioma também pode ter pediculo vascular?

A

Sim!! os pediculados

How well did you know this?
1
Not at all
2
3
4
5
Perfectly
22
Q

Exame fisico mioma

A

Útero aumentado com consistência ENDURECIDA e superficie IRREGULAR

How well did you know this?
1
Not at all
2
3
4
5
Perfectly
23
Q

Conduta mioma assintomatico

A

Expectante

How well did you know this?
1
Not at all
2
3
4
5
Perfectly
24
Q

Conduta mioma com sangramento leve

A

ACO

How well did you know this?
1
Not at all
2
3
4
5
Perfectly
25
Conduta mioma submucoso com sangramento intenso
Figo 0 e 1 ->Miomectomia histeroscópica (nulípara e Multípara)
26
Mioma FIGO 2 tratamento?
Miomectomia histeroscopica ou Histerectomia
27
Complicação da absorção excessiva de liquido na miomectomia histeroscopica?
Intravasamento (overload)
28
Ideal: Balanço hidrico negativo não deve passar de _____
2000ml
29
Achados compativeis com Sd. Intravasamento
- Hiponatremia (hemodiluição) - Sobrecarga hidrica (EAP, ICC) - Encefalopatia
30
O que é o manto externo?
distância entre o fim do mioma no miométrio até a serosa
31
Qual tamanho de manto externo indica miomectomia laparoscópica?
< 1cm (10mm)
32
Sinônimo manto externo
Manto miometrial
33
Mioma intramural/subseroso sintomático em multipara
Histerectomia
34
Mioma intramural/subseroso sintomático em nulipara
Miomectomia
35
Quando optar por miomectomia LAPAROTOMICA?
Múltiplos miomas e miomas grandes
36
Quando análogo GnRH
Pré-operatorio (melhorar anemia e reduzir mioma)
37
Qual periodo de tempo máximo para uso de analogo GnRH?
6 meses
38
Mulher com desejo de gestar pode usar analogo de GnRH no pré-op?
SIM
39
Qual o risco do uso prolongado de analogo GnRH?
Osteoporose
40
DIU mirena com mioma submucoso
Contraindicado
41
Mioma intramural e infertilidade
Retirar de >5cm
42
Quando embolização de arteria uterina para mioma
Multipara e sem possibilidade de histerectomia
43
Qual tipo de mioma não deve ser tratado por embolização da AU?
Pediculado (pode cair na cavidade)
44
Gestante + grande mioma + dor abdominal + vomitos + febre
Degeneração rubra do mioma
45
Conduta na degeneração rubra do mioma na gestação
Medidas clínicas Cirurgia se não houver melhora do quadro
46
Utero de volume aumento, AMOLECIDO e superficie REGULAR
Adenomiose
47
6 achados ultrassonográficos adenomiose
Zona juncional irregular Miométrio heterogêneo Cistos Miometriais Sombra em leque Assimetria de paredes uterinas Estrias radiadas
48
Achado patognomonico de adenomiose em RNM
zona mioendometrial >12mm
49
Achado histeroscopico de adenomiose
Manchas acastanhadas
50
Clinica adenomiose
SUA + Dismenorreia
51
Clínica característica de adenomiose + imagem hipoecogenica na usg
Adenomioma
52
Diferença entre adenomioma e mioma
Adenomioma não tem pseudocápsula
53
Tratamento adenomiose em nulípara
DIU mirena
54
Tratamento adenomiose em multipara
Histerectomia
55
Quando ablação endometrial na adenomiose?
Sem desejo de gestar e sem possibilidade de histerectomia
56
Embolização de artérias uterinas na adenomiose?
Não (muita recorrência)
57
Sangramento intenso desde menarca + descompensação hemodinâmica
Coagulopatias
58
Principais coagulopatias causadoras de SUA
Doença de VonWillebrand PTI
59
Jovem com SUA e SEM descompensação hemodinâmica
Disfunção ovulatória
60
Perimenopausa e SUA
Disfunção ovulatória
61
Conduta no SUA por disfunção ovulatoria?
Expectante
62
Dose de ACO no SUA agudo
EE 30mcg 3x ao dia por 48h
63
Dose de transamin no SUA agudo
EV 10mg/kg 8/8h VO 500mg 8/8h
64
Dose medroxiprogesterona no SUA agudo
60-120mg/dia até parar sangramento
65
Dose noretisterona no SUA agudo
10-20mg/dia até parar sangramento