URO Flashcards

(147 cards)

1
Q

LITÍASE
=> QUANDO EVITAR TC ABD SEM CONTRASTE PARA INVESTIGAR UROLITÍASE?

A
  • GESTANTES
  • CRIANÇAS
  • CÁLCULOS DE INDINAVIR (NÃO APARECEM NA TC SEM CONTRASTE, MAS APARECEM NA COM CONTRASTE EM FASE EXCRETORA!!!)
How well did you know this?
1
Not at all
2
3
4
5
Perfectly
2
Q

ITU / LITIASE
=> A UROCULTURA DO PACIENTE COM PIELONEFRITE OBSTRUTIVA SEMPRE VAI POSITIVAR?

A

NÃO! PODE VIR NEGATIVA JUSTAMENTE POR ESTAR OBSTRUÍDO!

How well did you know this?
1
Not at all
2
3
4
5
Perfectly
3
Q

LITÍASE
=> QUAL O TRATAMENTO DA CÓLICA NEFRÉTICA?

A
  • AINE
  • ANTIESPASMÓDICO
  • NORMOHIDRATADO

*AVALIAR TERAPIA EXPULSIVA COM ALFABLOQ POR 4 SEMANAS SE:
– ATÉ 4 A 5 MM (95% SAI) - NA TEORIA ATÉ 10 MM, SEM SINAIS DE ALARME
*INTERRROMPER SE DOR REFRATÁRIA

How well did you know this?
1
Not at all
2
3
4
5
Perfectly
4
Q

LITÍASE
=> QUANDO NÃO POSSO FAZER TERAPIA EXPULSIVA PARA UROLITÍASE?

QUAL O PEGA?
- O DIABETICO E O DRC

A
  • PIELO OBSTRUTIVA
  • RIM ÚNICO / DRC
  • IMUNOSSUPRIMIDO
  • OBSTR BILATERAL
  • DM

*INTERNAR E DESOBSTRUIR - PASSAR DJ OU FAZER NEFROSTOMIA PERCUTÂNEA (CASO O GUIA DO DJ NÃO PASSE)
❌❌=> OBSTRUÍDO NÃO FAZ LECO!

How well did you know this?
1
Not at all
2
3
4
5
Perfectly
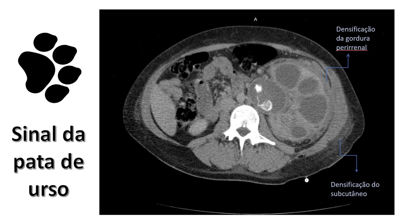
5
Q

ITU
🟦 PIELONEFRITE XANTOGRANULOMATOSA

Infecção crônica, destrutiva, granulomatosa, quase sempre associada a obstrução urinária crônica + cálculo coraliforme + pionefrose.

É um rim não funcionante, substituído por tecido inflamatório, gordura e coleções purulentas.

A

🟩 FISIOPATOLOGIA
👉 Obstrução crônica
⟶ Habitualmente por cálculo coraliforme
👉 Infecção persistente
⟶ Infiltrado de macrófagos espumosos (xantogranuloma)
👉 Pionefrose associada
👉 Resultado final
⟶ Rim aumentado, deformado, sem função, com cavidades purulentas e cálculos

🟥 QUADRO CLÍNICO CARACTERÍSTICO
✔ Paciente tóxico, emagrecido, febril ou febre arrastada
✔ DMSA: rim não funcionante
❌ Esse paciente não tem chance de recuperação funcional renal.

🟦 TOMOGRAFIA — COMO RECONHECER UMA XGP
👉 Achado clássico: SINAL DA “PATA DE URSO” (BEAR PAW SIGN)

👉 Morfologia típica:
📌CAVIDADES HIPODENSAS
📌Realce periférico
📌Cálculo coraliforme
📌Rim aumentado, globoso, irregular
📌Áreas de gordura e necrose misturadas

🟧 PIONEFROSE — A COMPLICAÇÃO AGUDA E GRAVE
👉 Representa pus dentro do sistema coletor, quase sempre por obstrução infectada
👉 Drenagem obrigatória: nefrostomia percutânea (preferida no séptico) ou DJ
👉 Antibioticoterapia EV
👉 Após estabilização, tratar a causa obstrutiva.

🟥 TRATAMENTO DA XGP
👉 Nefrectomia total é o tratamento definitivo.

How well did you know this?
1
Not at all
2
3
4
5
Perfectly
6
Q

LITÍASE
=> QUANDO HÁ INDICAÇÃO DE ANÁLISE METABÓLICA EM PACIENTE COM UROLITÍASE?

PEGA:
- KIDS / OSTEOPOROTICOS

A
  • RECORRÊNCIA 50% EM 5 ANOS📌📌
  • PREVENIR CAUSAS EVITÁVEIS
  • MÚLTIPLOS
  • RECORRENTE
  • ITU IMPORTANTE
  • KIDS📌📌
  • HIST FAMILIAR
  • OSTEOPORÓTICOS📌📌
  • DÇ GENÉTICAS
How well did you know this?
1
Not at all
2
3
4
5
Perfectly
7
Q

LITÍASE
=> QUAIS OS EXAMES DE ANÁLISE METABÓLICA EM UROLITÍASE?

A

O QUE PODE PEGAR?

  • NOS SERICOS NAO TEM UREIA❗❗
  • NO DA URINA NAO TEM SODIO E POTASSIO❗❗
How well did you know this?
1
Not at all
2
3
4
5
Perfectly
8
Q

LITÍASE
=> QUAL O PRINCIPAL TIPO DE CÁLCULO, SUA PRINCIPAL DISFUNÇÃO E TRATAMENTO?

A

CÁLCULOS DE CÁLCIO

*PRINCIPAL DISFUNÇÃO: HIPERCALCIÚRIA (65% DOS CASOS)

TERAPIA:
- LIMITAR INGESTA DE SÓDIO
- DIETA CÁLCIO 1000-1200MG (NORMOCALCÊMICA)
- SE CÁLCIO ALTO - USAR TIAZÍDICOS

How well did you know this?
1
Not at all
2
3
4
5
Perfectly
9
Q

LITÍASE
=> DISFUNÇÕES QUE GERAM CÁLCULOS DE CÁLCIO?

A

HIPERCALCIÚRIA > 4MG/KG/D
*TERAPIA:
- LIMITAR INGESTA DE SÓDIO
- DIETA CÁLCIO 1000-1200MG (NORMOCALCÊMICA)
- SE CÁLCIO ALTO - USAR TIAZÍDICOS

HIPEROXALÚRIA >40MG/DIA
- LIMITAR CHÁ PRETO, ESPINAFRE, BETERRABA, NOZES, CHOCOLATE (RICAS EM OXALATO)

HIPERURICOSÚRIA > 600MG/DIA
- LIMITAR INGESTA DE PROTEINAS ANIMAIS
*PS: HIPERURICOSURIA COM CALCIO NORMAL? AI SIM USO ALOPURINOL!

HIPOCITRATÚRIA < 320MG CITRATO/D
- AUMENTAR INGESTA CITRICAS
- UTILIZAR CITRATO DE POTÁSSIO

How well did you know this?
1
Not at all
2
3
4
5
Perfectly
10
Q

LITÍASE
=> DISFUNÇÕES QUE GERAM CÁLCULOS DE ÁCIDO ÚRICO?

A

HIPERURICOSÚRIA E BAIXO PH URINÁRIO

*TERAPIA:
- LIMITAR INGESTA DE PROT ANIMAIS
- CITRATO DE POTASSIO - ALCALINIZAR URINA
- ALOPURINOL NÃO É PRIMEIRA LINHA!

==> ALOPURINOL - HIPERURICOSURIA COM CALCIO NORMAL? AI SIM USO ALOPURINOL!

How well did you know this?
1
Not at all
2
3
4
5
Perfectly
11
Q

LITÍASE
=> DISFUNÇÕES QUE GERAM CÁLCULOS DE ESTRUVITA?

LEMBRA => PH ALCALINO!!!

A

BACTÉRIAS PPK (PROTEUS / PSEUDOMONAS / KLEBSIELLA)
+
PH ALCALINO**

=> PRODUTORAS DE UREASE E AUMENTO DE AMÔNIA

AUMENTO DO PH PRECIPITA MAGNÉSIO, AMÔNIO E FOSFATO E APATITA

LEMBRAR: AQUI TEM QUE SER TTO STONE FREE + ATB PROLONGADO

How well did you know this?
1
Not at all
2
3
4
5
Perfectly
12
Q

LITÍASE
=> DISFUNÇÕES QUE GERAM CÁLCULOS DE CISTINA - pH ÁCIDO

A

DÇ AUTOSS RECESSIVA
- DEFEITO TRANSPORTE INTESTINAL E REABSORÇÃO RENAL

*TERAPIA:
- LIMITAR NA E PROTEINAS
- CITRATO DE POTASSIO - AUMENTAR PH
- TIOPRONINA - QUELANTE DE CISTINA

How well did you know this?
1
Not at all
2
3
4
5
Perfectly
13
Q

LITÍASE
=> INGESTA DE CÁLCIO ESTÁ ASSOCIADA A FORMAÇÃO DE UROLITÍASE? E O TABAGISMO?

A

NÃO PARA OS DOIS!

How well did you know this?
1
Not at all
2
3
4
5
Perfectly
14
Q

EMERGENCIAS UROLOGICAS
=> DISCORRA SOBRE A FRATURA PENIANA.

FASCIA DUPERFICIAL (DARTUS)
FASCIA BROFUNDA (BUCK)

A

*RELATO DE ESTALIDO
*HEMATOMA PENIANO
*URETRORRAGIA
*BEXIGOMA

CONCEITO:
- RUPTURA TRAUMÁTICA DA TÚNICA ALBUGÍNEA (CORPO CAVERNOSO)

PRIMEIRO EXAME?
=> USG DE PÊNIS (SE NÃO DISPONÍVEL, INDICAR CORREÇÃO SEM O EXAME!)

TRATAMENTO
=> CX IMEDIATA => REDUZIR COMPLICAÇÕES (MAIS COMUM: CURVATURA RESIDUAL - PEYRONIE)

*SE SUSPEITA DE LESÃO URETRAL, FAZER URETROCISTO RETROGRADA (NÃO OBRIGATÓRIA!)

❗❗❗*PEGA DE QUESTÃO:
“COMPLIC + COMUM É DISF ERETIL?
NÃO, É A CURVATURA RESIDUAL!

How well did you know this?
1
Not at all
2
3
4
5
Perfectly
15
Q

EMERGENCIAS UROLOGICAS
=> O QUE CONFIGURA O PRIAPRISMO ISQUÊMICO - baixo fluxo (95% DOS CASOS) E QUAL SUA CONDUÇÃO?

A
  • VENO-OCLUSÃO
    *LEMBRAR ANEMIA FALCIFORME E MEDICAÇÕES (COCAÍNA), PICADA DE ARANHA, LEUCEMIAS

*MUITO DOLOROSO!
*EREÇÃO 10/10

PODE LEVAR A ISQUEMIA!

PS: PACIENTE QUE CHEGA A PRECISAR DE SHUNT PROXIMAL MUITAS VEZES TERÁ DISF ERETIL E NECESSITAR ATÉ MESMO DE PRÓTESE PENIANA.

*Isquemia prolongada (>24–48 h) → considerar PRÓTESE precoce

A droga de escolha é ⭐FENILEFRINA.⭐
A adrenalina só entra como alternativa quando não há fenilefrina disponível.

🥇 FENILEFRINA (1ª ESCOLHA)
🔸 DOSE: 100 a 500 microgramas (mcg) a cada 3–5 minutos
Diluir 1 mg de fenilefrina em 10 mL de SF
→ concentração final: 100 mcg/mL
Injetar 1 mL (100 mcg) até 5 mL (500 mcg) a cada 3–5 minutos
Máximo: 1 mg total em 1 hora
📌 Injeção intracavernosa (NÃO intrauretral).

🥈 ADRENALINA (se não houver fenilefrina)
Usada conforme protocolos de emergência.
🔸 DOSE USUAL: 10 a 20 microgramas (mcg) intracavernosos
Preparar solução:
pegar 1 mL de adrenalina 1 mg/mL (1:1.000)
diluir em 99 mL de SF → concentração 10 mcg/mL
Injetar 1–2 mL (10–20 mcg) intracavernoso
Pode repetir a cada 3–5 min, monitorando PA e FC.
📌 Evitar em cardiopatas, hipertensos graves ou arritmias.

How well did you know this?
1
Not at all
2
3
4
5
Perfectly
16
Q

EMERGENCIAS UROLOGICAS
=> O QUE CONFIGURA O PRIAPRISMO NÃO-ISQUÊMICO - alto fluxo (5% DOS CASOS) E QUAL SUA CONDUÇÃO?

A
  • FÍSTULA ARTERIO-VENOSA
    *LEMBRAR TRAUMA PERINEAL

*INDOLOR
*MEIA BOMBA (SANGUE DESVIA PELA FÍSTULA)

How well did you know this?
1
Not at all
2
3
4
5
Perfectly
17
Q

EMERGENCIAS UROLOGICAS
=> QUAIS OS PRINCIPAIS EXAMES PARA DIFERENCIAR TIPOS DE PRIAPRISMO?

A
  • GASOMETRIA DE CORPO CAVERNOSO
  • USG DOPPLER
How well did you know this?
1
Not at all
2
3
4
5
Perfectly
18
Q

TRAUMA RENAL
=> QUAL A CLASSIFICAÇÃO DO TRAUMA RENAL?

A

I - HEMATOMA
II - <1CM
III - >1CM, CHEGA AO CORTEX MAS NÃO AO COLETOR
IV - COLETOR / HILAR
V - AVULSAO

How well did you know this?
1
Not at all
2
3
4
5
Perfectly
18
Q

TRAUMA RENAL
=> TODO TRAUMA RENAL CURSA COM HEMATÚRIA?

A

NÃO!

LEMBRAR QUE EM TRAUMAS VASCULARES 36% NÃO TEM HEMATÚRIA

How well did you know this?
1
Not at all
2
3
4
5
Perfectly
19
Q

TRAUMA RENAL
=> QUAL EXAME P. OURO PARA TRAUMA RENAL?

A

TC COM CONTRASTE EV + FASE EXCRETORA TARDIA

How well did you know this?
1
Not at all
2
3
4
5
Perfectly
20
Q

TRAUMA RENAL
=> QUANDO INDICAR ANGIOEMBOLIZAÇÃO NO TRAUMA RENAL?

A
  • SANGRAMENTO ATIVO (BLUSH NA TC)
  • FÍSTULA ARTERIO-VENOSA
  • PSEUDOANEURISMA TRAUMÁTICO
How well did you know this?
1
Not at all
2
3
4
5
Perfectly
21
Q

TRAUMA RENAL
=> COMO TRATAR O URINOMA?

A

ATB + TC EM 07 DIAS

*SE INFECÇÃO OU MANTER ACHADO > DJ OU NEFROSTOMIA

How well did you know this?
1
Not at all
2
3
4
5
Perfectly
22
Q

TRAUMA DE URETRA
=> QUAL A DIVISÃO ANATÔMICA DA URETRA?

A
How well did you know this?
1
Not at all
2
3
4
5
Perfectly
23
Q

TRAUMA DE URETRA
=> QUAIS AS SITUAÇÕES MAIS COMUNS EM TRAUMA DE URETRA ANTERIOR?

A
  • TRAUMA UROGENITAL
  • QUEDA A CAVALEIRO => BULBAR
  • SONDAGEM VESICAL (MAIS COMUM!)
How well did you know this?
1
Not at all
2
3
4
5
Perfectly
23
TRAUMA DE URETRA => QUAL A SITUAÇÃO MAIS COMUM EM TRAUMA DE URETRA POSTERIOR?
- QUASE EXCLUSIVA DA FX DE PELVE (OCORRE EM 1-10% DAS FX) *FX DE ANEL ANTERIOR OU DIÁSTASE PÚBICA
24
TRAUMA DE URETRA => QUAL MELHOR EXAME PARA AVALIAR TRAUMA DE URETRA?
URETROCISTOGRAFIA RETROGRADA/MICCIONAL
25
TRAUMA DE URETRA => QUAL A CONDUTA FRENTE AO TRAUMA DE URETRA CONTUSO OU PENETRANTE/FRATURA PENIANA?
> CONTUSO - CISTOSTOMIA / REALINHAMENTO ENDOSCÓPICO C/ PASSAGEM DE SONDA *REAVALIAR P/ TTO DEFINITIVO > PENETRANTE/FRATURA PENIANA - REPARO PRIMÁRIO
26
TRAUMA DE URETRA => COMO SE DÁ O TRATAMENTO DE ESTENOSE DE URETRA EM MEATO OU PENIANA?
ESTENOSE DISTAL (MEATO URETRAL E FOSSA NAVICULAR) - MEATOTOMIA / MEATOPLASTIA - RETALHOS DE PELE - ENXERTO DE MUCOSA ORAL (HUMBY) *Enxerto de mucosa bucal de Humby (descrição original em 1941 para reconstruções uretrais). Se quiser os correlatos que costumam cair: - Barbagli – onlay dorsal com mucosa bucal (uretroplastia anterior). - Asopa – dorsal inlay por via ventral (incisão sagital ventral). - Kulkarni – onlay dorsal com dissecção unilateral (one-side). - Bracka – correção em dois estágios usando mucosa bucal. ESTENOSE PROXIMAL (URETRA PENIANA) - URETROPLASTIA SUBSTITUTIVA - DILATAÇÃO - URETROTOMIA INTERNA (ANELAR)
27
TRAUMA DE URETRA => QUAL O TRATAMENTO ESPECÍFICO ESTENOSE DE URETRA BULBAR?
A uretra bulbar é o segmento que MELHOR responde às técnicas reconstrutivas porque possui: 👉 vascularização rica 👉 mobilidade elevada 👉 tecido esponjoso favorável a anastomoses ✅ Permite anastomoses término-terminais amplas, com excelentes taxas de sucesso. 📌 CLASSIFICAÇÃO PRÁTICA PELO COMPRIMENTO 👉 < 1 cm ⟶ pode considerar URETROTOMIA INTERNA ⟶ resultados moderados, alta taxa de recorrência, NÃO é primeira escolha na maioria dos centros modernos 👉 < 2,0–2,5 cm ⟶ ideal para uretroplastia ANASTOMOSE término-terminal (A-TT) ⟶ padrão-ouro para estenoses BULBARES curtas ⟶ taxa de sucesso 90–95% 👉 > 2,5 cm ou estenoses complexas ⟶ exigirão uretroplastia com enxerto ⟶ ENXERTO preferido: mucosa bucal (BMG – buccal mucosal graft) ⟶ abordagem dorsal onlay é a mais usada (Barbagli)
28
TRAUMA DE URETRA => QUAL O TRATAMENTO ESPECÍFICO ESTENOSE DE URETRA POSTERIOR?
👉 URETROPLASTIA ANASTOMÓTICA POSTERIOR C/ OU S/ SENXERTO ⟶ com ou sem uso de enxerto, dependendo da tensão residual ⟶ padrão-ouro mundial ⟶ taxa de sucesso alta quando realizada em centros de referência 🟩 O GRANDE SEGREDO DA CIRURGIA POSTERIOR: REDUZIR TENSÃO A uretra posterior NÃO se mobiliza como a uretra bulbar. Por isso, para conseguir aproximar os cotos sem tensão, foram desenvolvidas as famosas: 🟦 MANOBRAS DE WEBSTER (MANOBRAS DE RELAXAMENTO SEQUENCIAL) Utilizadas quando a anastomose está sob tensão. São aplicadas em sequência, da menos agressiva à mais agressiva, até que a uretra consiga alcançar a próstata. LEMBRAR: => MANOBRAS DE WEBSTER: **LAPT - LIBERAÇÃO DE URETRA DO SUSPENSOR - ABERTURA DOS CAVERNOSOS - PUBECTOMIA INFERIOR - TRANSPÕE CAVERNOSOS 🟥 QUANDO USAR ENXERTO NA URETRA POSTERIOR? 👉 quando, mesmo após todas as manobras, a uretra ainda não alcança a próstata 👉 quando há fibrose extensa e defeito grande 👉 quando a placa uretral residual é inadequada 🥇 Enxerto mais usado: mucosa bucal.
29
TRAUMA DE URETER => SOBRE O TRAUMA DE URETER, QUAL A PRINCIPAL CAUSA? E CONDUTA?
80% IATROGÊNICA (54% HISTERECTOMIA) CONDUTA: => LESÃO PARCIAL: *Posso tentar DJ ou RAFIA PRIMÁRIA => PCT ESTÁVEL => REPARO PRIMÁRIO => PCT INSTÁVEL: *DJ / NEFROSTOMIA *RECONSTRUÇÃO EM OUTRO TEMPO -- POLITANO -- PSOAS HITCH -- BOARI
30
TRAUMA TESTICULAR => QUAIS OS 3 CONTEXTOS DO TRAUMA DE TESTÍCULO E SUAS ABORDAGENS?
PEGA: *NA CONDUTA CIRURGICA DA HEMATOCELE > 3X, TENTAR EVITAR ORQUIECTOMIA!!
30
TRAUMA DE BEXIGA => POR QUE O TRAUMA DE BEXIGA É TÃO IMPORTANTE?
- MECANISMOS DE ALTA ENERGIA - FRATURA PÉLVICA ASSOCIADA
31
TRAUMA DE BEXIGA => QUAL EXAME P. OURO PARA INVESTIGAÇÃO INCIAL DE TRAUMA/LESÃO DE BEXIGA?
URETROCISTOGRAFIA RETROGRADA/MICCIONAL
32
TRAUMA DE BEXIGA => QUAL ACHADO DE UCM INDICA TRAUMA EXTRAPERITONEAL DE BEXIGA? QUAL O TRATAMENTO?
"CHAMA DE VELA" TTO: - CONSERVADOR - SVD + ATB - REPETIR CISTOGRAFIA EM 14 DIAS PS: ALGUNS CASOS FAZ CX, PRINCIPALMENTE SE PACIENTE JA ESTIVER PROGRAMADO DE SER OPERADO... - LESAO DE COLO VESICAL - FRAGM OSSEO - LESAO DE RETO ASSOCIADA - LAPA POR OUTRO MOTIVO
33
TRAUMA DE BEXIGA => QUAL ACHADO DE UCM INDICA TRAUMA INTRAPERITONEAL DE BEXIGA? QUAL O TRATAMENTO?
DELINEAMENTO DE ALÇAS TTO: - CX IMEDIATA - RAFIA EM 2 PLANOS - DRENO + ATB - SVD 7-10 DIAS - CISTOGRAFIA ANTES DE RETIRAR SVD
34
CA DE PROSTATA => PRINCIPAIS FATORES DE RISCO PARA CA DE PROSTATA?
- NEGROS - IDADE - PROSTATITE - MUTAÇOES GENETICAS (BRCA 1/2 - ATE 5% DOS CASOS) - HIST FAMILIAR **PARENTE 1 GRAU => 2X MAIS RISCO **CA PROSTATA HEREDITARIA => 5X MAIS RISCO
35
CA DE PROSTATA => FAKE NEWS COMO FATORES DE RISCO DE CA DE PROSTATA - OU SEJA, NAO SAO FATORES DE RISCO:
- TABAGISMO / OBESIDADE - TESTOSTERONA - MASTURBAÇÃO TABAGISMO / OBESIDADE NAO TEM RELAÇÃO COM DESENVOLVIMENTO DO CANCER DE PROSTATA MAS CAUSAM AUMENTO DE MORTALIDADE CANCER ESPECIFICO 🟥 HPB É FATOR DE RISCO PARA CANCER DE PROSTATA? => NÃO. HPB NÃO É FATOR DE RISCO PARA CÂNCER DE PRÓSTATA. 👉 surgem de zonas diferentes da próstata 👉 têm fisiopatologias distintas 👉 evoluem de forma independente
36
CA DE PROSTATA => QUAL VALOR DO PSA QUE COMEÇA A PREOCUPAR PENSANDO EM CA DE PROSTATA?
> 2,5 PSA
37
HPB => TABELA SOBRE PSA
LEMBRAR: *EM QUEM USA INIB 5ALFA REDUTASE, MULTIPLICAR PSA POR 2X AUMENTO DE PSA (VEL DE PSA) *>0,75/ANO CHAMA ATENÇÃO
38
CA DE PROSTATA => INDICAÇÃO DE RASTREAMENTO CA DE PROSTATA PELA IDADE
PELA SBU: - 50 ANOS ATE 75 ANOS - EXPECT DE VIDA > 10 ANOS - NEGROS E HIST FAMILIAR+ => COMEÇAR AOS 45 ANOS **PARENTE 1 GRAU => 2X MAIS RISCO **CA PROSTATA HEREDITARIA => 5X MAIS RISCO
39
CA DE PROSTATA => SCORE DE GLEASON
LEMBRAR ISUP ISUP 1 < = 6 ISUP 2 3+4 ISUP 3 4+3 ISUP 4 4+4 ISUP 5 = 9/10 PS: GLEASON 1 E 2 NAO SAO CANCER GLEASON 3 - INVADE MEMB BASAL GLEASON 4 - PLACAS CRIBIFORMES GLEASON 5 - 4 + NECROSE
40
CA DE PROSTATA => ESTADIAMENTO CA DE PROSTATA
BASEADO NO TOQUE RETAL + RNM MULTIPARAMÉTRICA
41
CA DE PROSTATA => CLASSIFICAÇÃO DE RISCO CA DE PROSTATA E TRATAMENTO
TRATAMENTO: BAIXO RISCO - VIGILANCIA ATIVA INTERMEDIARIO - RT OU PTR => FAVORAVEL => DESFAVORAVEL ALTO RISCO - RT OU PTR *LEMBRAR NO ALTO RISCO: - CINTILO OSSEA - PET PSMA ❗❗Imagiologia de estadiamento: ❌Baixo risco: não fazer imagem adicional. ✅Intermediário (ISUP 3): PREFERIR PSMA-PET/CT se disponível (ou TC abdômino-pélvica e cintilografia óssea). ✅✅Alto/localmente avançado: PSMA-PET/CT se disponível + pelo menos TC abdômino-pélvica e cintilografia.
42
CA DE PROSTATA => TRATAMENTO CA DE PROSTATA?
#LOCALIZADO - SOBREVIDA > 10-15 ANOS? => SIM --- AVALIAR RISCO: ------ BAIXO? - VIG ATIVA OU PRT OU RT ------ INTERMED/ALTO? - PTR OU RT + BLOQ HORMONAL - SOBREVIDA > 10-15 ANOS? => NÃO ---- WATCH AND WAIT METASTATICO
43
CA DE PROSTATA => QUAL A DIFERENÇA ENTRE VIGILANCIA ATIVA E WATCH AND WAIT NO CA DE PROSTATA?
44
CA DE PROSTATA => QUAIS OS PRINCIPAIS RISCOS RELACIONADOS A RT NO CA DE PROSTATA?
- LESOES ACTINICAS - DISF ERETIL TARDIA - PSA NAO ZERA (NADIR EM 1-2 ANOS) - PIORA DE SINTOMAS DE URGENCIA *LEMBRAR: RT SMP ASSOCIADA A BLOQ HORMONAL 📌📌*BLOQ HORMONAL DIMINUI RISCO DE MARGEM CIRURGICA POSITIVA!
45
CA DE PROSTATA => CONTRAPOSIÇÃO ENTRE PROSTATECTOMIA E RT NO CA DE PROSTATA?
SEGUIMENTO: NA PTR: - PSA ZERADO - RECORRENCIA BIOQUIMICA: PSA > 0,2 NA RT: - NADIR PSA 1 A 2 ANOS - RECORRENCIA BIOQUIMICA: PSA 2 PTS ACIMA DO NADIR
46
CA DE PROSTATA => SOBRE A CASTRAÇÃO NO CA DE PROSTATA
47
CA DE PROSTATA => SOBRE A RECIDIVA NO CA DE PROSTATA, COMO CONDUZIR?
LEMBRAR: => NA RECIDIVA BIOQUIMICA POS PTR, FAZER PET CT / PSMA: - DIFERENCIAR LOCAL DE RECIDIVA - DIRECIONAR TTO DE RECIDIVA
48
CA DE PROSTATA => IDENTIFICADO PSA ALTO, VOU DIRETO PRA BIOPSIA? E SE TIVER TOQUE RETAL + PARA NODULO?
NAO, REPITO PSA TOTAL ANTES! A NAO SER QUE TENHA TOQUE RETAL +, AI É BX DIRETO!!
49
LITIASE => CALCULO NAO VISTO NO RX - RADIOTRANSLUCENTE?
ACIDO URICO
50
ESCROTO AGUDO => QUAL A MANOBRA DE ALIVIO PARA TORÇÃO TESTICULAR?
*ABRINDO O LIVRO* REDUÇÃO MEDIAL PARA LATERAL
51
ITU => QUAL A CONDUTA FRENTE A COMPLICAÇÃO DE PIELONEFRITE OBSTRUTIVA XANTOGRANULOMATOSA DENOMINADA "PIONEFROSE"?
NEFRECTOMIA
52
LITIASE => PODE TANSULONSINA EM GESTANTE COM CALCULO RENAL?
DISCUTIR C/ OBSTETRA - CATEGORIA B *LEMBRAR: - EVITAR TAMBEM AINES NAS GESTANTES *PODE USAR: HIOSCINA, PARACETAMOL, OPIOIDES
53
=> TRAUMA DE URETER QUANTO TEMPO VOCE TEM PARA CORRIGIR LESAO DE URETER COMPLETA APOS COLOCAÇÃO DE DJ EM QUADRO INICIAL?
07 DIAS *SE PASSAR DE 07 DIAS, CORRIGIR EM 03 MESES (MANTER DE DJ OU FAZER NEFROSTOMIA ATE LÁ)
54
LITIASE => QUAIS OS PRINCIPAIS COMPONENTES DO CALCULO DE CALCIO?
- FOSFATO - OXALATO - CALCIO
55
LITIASE => QUAIS AS CONTRAINDICAÇÕES P/ LECO?
- COAGULOPATIA NAO CORRIGIDA - ITU - GESTANTE - HAS DESCONTROLADA - OBSTRUÇÃO DE VIA EXCRETORA (CALC RESIDUAIS) - > 900-1000 UH
56
LITIASE => O QUE OCORRE NA SD DO INTESTINO CURTO QUE FAVORECE UROLITIASE?
- REDUZ ABSORÇAO DE CITRATO - AUMENTA ABSORÇAO DE OXALATO
57
LITIASE => QUAL VALOR DE FUNÇÃO RENAL NA DMSA INDICA NEFRECTOMIA?
< 10%
58
ANATOMIA => QUAIS VASOS FAZEM IRRIGAÇÃO DA URETRA PROXIMAL (POSTERIOR)? E DA DISTAL (ANTERIOR)?
⭐URETRA POSTERIOR - PROXIMAL => ARTERIAS BULBARES ⭐URETRA ANTERIOR - DISTAL => FLUXO RETROGRADO DA ARTERIA DORSAL DO PENIS 🟥 MACETE NEYMAR (nunca erra a questão) “Posterior bebe das BULBARES. Anterior vive do DORSO.”
59
CA DE PROSTATA => ESTADIAMENTO T PROSTATA PELO TOQUE RETAL?
T1 - NORMAL T2A - MENOS DA METADE DO LOBO T2B - MAIS DA METADE DO LOBO T3 - ENDURECIDA T4 - PÉTREA ❗❗ SESGO - DEU BX POSITIVA COM TOQUE NORMAL, NAO TEM COMO SER T2!!
60
CA DE BEXIGA => NEOPLASIA UROTELIAL P/ CRITERIOS DE PROVA - PRINCIPAIS TIPOS DE LESOES?
SUPERIFICIAIS - 80% (NAO MUSCULO-INVASIVO) INVASIVO - 20% (MUSCULO INVASIVO)
61
CA DE BEXIGA => FATORES DE RISCO CA DE BEXIGA?
- TABAGISMO - RT PELVICA - AMINAS AROMATICAS - ESQUISTOSSOMOSE
62
CA DE BEXIGA => PRINCIPAL SINTOMA CA DE BEXIGA?
HEMATURIA INDOLOR
63
CA DE BEXIGA => EXAMES NECESSARIOS P/ HEMATURIA MACROSCOPICA?
- CITOLOGIA URINARIA ONCOTICA (BAIXA SENSIBILIDADE 60%) - CISTOSCOPIA 🎯🎯- UROTC / URORM (ATENÇÃO A FASE EXCRETORA) => P. OURO
64
CA DE BEXIGA => ESTADIAMENTO CA DE BEXIGA?
FAZER RTU COMPLETA DE TODAS AS LESOES COM REPRESENTAÇÃO DA CAMADA MUSCULAR *A PARTIR DE T2 INVADE MUSCULATURA
65
CA DE BEXIGA => QUANDO INDICAR NOVA RTU APOS PRIMEIRA RTU NO CA DE BEXIGA SUPERFICIAL?
📌- LESAO > 3 CM 📌- T1 📌- G3 (ALTO GRAU) 📌- MUSCULAR NAO REPRESENTADA ❗❗UNICA SITUAÇÃO QUE SE ACEITA NAO VER A MUSCULAR É NO TA - PAPILIFERO OU IN SITU 💡*FAZER 2-6 SEM APOS A PRIMEIRA RTU
65
CA DE BEXIGA => NO CA DE BEXIGA, O CA IN SITU É PERIGOSO E CONSIDERADO DE ALTO GRAU. V/F?
✅VERDADEIRO!
66
CA DE BEXIGA => CLASSIFICAÇÃO DE RISCO CA DE BEXIGA SUPERFICIAL?
BAIXO RISCO - TU SOLITARIOS - TA (PAPILIFERO) - BAIXO GRAU - < 3CM - S/ CA IN SITU ALTO RISCO - CA IN SITU - ALTO GRAU - T1/TAG2G3 - MULTIPLAS LESOES > 3CM - VARIANTES MODERADO RISCO - TUDO QUE NAO ESTA EM BAIXO E ALTO
67
CA DE BEXIGA => TRATAMENTO CA DE BEXIGA SEGUNDO CLASSIFICAÇÃO DE RISCO SUPERFICIAL?
📌BAIXO RISCO - DOSE UNICA QT INTRAVESICAL (MITOMICINA) - CISTOSCOPIA EM 3 MESES, DEPOIS EM 1 ANO, DEPOIS A CADA 5 ANOS 📌MODERADO RISCO - BCG POR 1 ANO❗ - CISTOSCOPIA EM 3 MESES, DEPOIS EM 6 MESES, DEPOIS ANUAL 📌ALTO RISCO - BCG POR 3 ANOS❗❗❗ - CISTOSCOPIA EM 3 MESES POR 2 ANOS, DEPOIS SEMESTRAL
68
CA DE BEXIGA 🟦 CÂNCER DE BEXIGA MÚSCULO-INVASIVO (T2 a T4a) — TRATAMENTO DEFINITIVO => QT NEO PLATINA + CX
🟥 CIRURGIA PADRÃO-OURO: ⭐CISTECTOMIA RADICAL + LINFADENECTOMIA PÉLVICA ESTENDIDA 👉 Linfadenec pélvica estendida (LND-E) Inclui: – ilíacos externos – ilíacos internos – obturatórios – comuns (até a bifurcação da aorta) ✅Impacto prognóstico direto. 🟩 O QUE INCLUI A CISTECTOMIA RADICAL? 👉 No homem 📌Cistoprostatectomia radical 👉 Na mulher 📌Exenteração pélvica anterior 🟧 INDICAÇÃO DE QT NEOADJUVANTE (ANTES DA CIRURGIA) 📌Critério fundamental: paciente elegível para cisplatina. 👉 Esquema padrão: Cisplatina + Gemcitabina, ou MVAC dose-densidade. 👉 Quando fazer? – Todo paciente T2–T4a com bom performance status (ECOG 0–1) – Creatinina, audição e reserva medular adequadas – VEFG preservada ✅Benefício comprovado: aumenta sobrevida global, reduz micrometástases ocultas e aumenta taxas de resposta patológica completa. 🟦 DERIVAÇÃO URINÁRIA APÓS CISTECTOMIA Três opções principais: 🥇👉 Conduto ileal (Bricker) — mais comum 👉 Neobexiga ortotópica (Studer / Hautmann) — se uretra íntegra e sem tumor próximo 👉 Ureterostomia cutânea — selecionados frágeis 🟨 QUANDO NÃO FAÇO CISTECTOMIA? (ORGAN PRESERVATION) Apenas para pacientes não candidatos à cistectomia radical ou para aqueles que recusam cirurgia, com T2 inicial. Opção: 👉 TUR (Ressecção Transuretral de Tumor de Bexiga) de ressecção máxima + QT + radioterapia (trimodal) ❗❗Mas NÃO é padrão para pacientes jovens e aptos para cisplatina. ❗❗PACIENTES NÃO CANDIDATOS A CISTECTOMIA: => RT + QT E RESSEC ENDOSCOPICAS MAXIMAS
69
CA DE BEXIGA => OPÇÕES DE RECONSTRUÇÃO DE BEXIGA?
🟦 DERIVAÇÃO URINÁRIA APÓS CISTECTOMIA Três opções principais: 🥇👉 Conduto ileal (Bricker) — mais comum 👉 Neobexiga ortotópica (Studer / Hautmann) — se uretra íntegra e sem tumor próximo 👉 Ureterostomia cutânea — selecionados frágeis
70
CA DE BEXIGA / RENAL => CONDUTA FRENTE CA DE TRATO URINARIO SUPERIOR UROTELIAL? DIF IMPORTANTE COM CELS CLARAS: CEL CLARA N FAZ LINFANEDEC
*LEMBRAR - URINA TEM POTENCIAL DE CANCERIZAÇÃO DE CAMPO - NEFROURETERECTOMIA - LINFADENECTOMIA - RESSECÇÃO DO CUFF VESICAL PS: SE PACIENTE COM INSUFICIENCIA RENAL, TU DE BAIXO GRAU OU NAO INFILTRATIVO, PODE-SE FAZER RESSECÇÃO PARCIAL
71
CA RENAL => FATORES DE RISCO CANCER RENAL?
- HOMEM - IDOSO 50-70 ANOS - TABAGISMO - GENE VHL (VON-HIPPEL-LINDAU) *LEMBRAR OPERAR LESOES > 3CM - REGRA DOS 3 - DOENÇA RENAL POLICÍSTICA - ANEMIA FALCIFORME - OBESIDADE - DRC
72
CA RENAL => TIPOS DE CA DE CELULAS RENAIS NAO UROTELIAIS, PREVALENCIA E PROGNOSTICO ESTIMADO?
- CELULAS CLARAS (80%) - PIOR PROGNOSTICO❌❌ - PAPILAR (10-15%) - MENOS AGRESSIVO - CROMÓFOBO (5%) - BOM PROGNOSTICO - CA MEDULAR (RARO) - KIDS/JOVENS *MORTALIDADE PROXIMA A 100%💀💀 *ASSOCIAÇÃO C/ HERANÇA FALCIFORME - DIFERENCIAÇÃO SARCOMATOIDE - METASTASE PRECOCE
73
CA RENAL => CONDIÇÕES ASSOCIADAS AO GENE VHL DO VON HIPPEL LINDAU? Síndrome autossômica dominante, mutação no gene VHL (3p25–26), supressor tumoral. Falha em degradar HIF → ↑ VEGF/PDGF → angiogênese/tumores múltiplos. Alta penetrância até a 5ª década.
- CA RENAL CELULAS CLARAS - FEOCROMOCITOMA - HEMANGIOBLASTOMAS (+ frequentes)🥇🥇 - RETINA 📌Macetes de prova *CA RENAL de células claras bilateral/múltiplo em jovem → pense em VHL. *Hemangioblastoma retiniano + feo = VHL até prova em contrário. *Regra dos 3 cm no rim e dos 3 cm no pNET (alguns serviços usam 2–2,5 cm; em prova, 3 cm é seguro). *Feo VHL tende a ser noradrenérgico (↑ normetanefrina). PS: O que é a regra dos 3 cm? *É um critério prático para decidir vigiar vs operar algumas lesões típicas da VHL, equilibrando controle oncológico com preservação de órgão (porque as lesões são múltiplas/recidivantes). - VHL – RCC: observar até ~3 cm → operar/ablar ≥3 cm (ou antes se crescer rápido). - VHL – pNET: observar até ~3 cm → ressecar ≥3 cm (ou antes se funcionar/crescer/obstruir). Logo, 3 cm = equilíbrio entre baixo risco metastático e preservação de órgão.
74
CA RENAL => TRIADE CLINICA DO CA RENAL?
- MASSA PALPAVEL - DOR LOMBAR - HEMATURIA
75
CA RENAL => LESOES CISTICAS DO RINS E RISCO DE MALIGNIDADE?
CLASSIFICAÇÃO DE BOSNIAK 1 - CISTICA 2 - MICROCALCIFICAÇÕES 2F - SEPTOS FINOS C/ REALCE *2F - F DE FOLLOW - FOLLOW COM NOVA IMAGEM EM 6 MESES 3 - ESPESSAMENTO PARIETAL + SEPTOS GROSSEIROS C/ REALCE POREM COM COMPONENTE SOLIDO S/ REALCE 4 - REALCE DO COMPONENTE SOLIDO *3 E 4 => CIRURGIA PS: POSSIBILIDADE DE VIGILANCIA ATIVA EM BOSNIAK 3
76
CA RENAL => O QUE DIFERENCIA BOSNIAK 3 DO 4?
O TIPO 4 TEM "REALCE" DE COMPONENTE SOLIDO
77
CA RENAL => ESTADIAMENTO CA DE RIM?
- CT/RM ABD E PELVE - RX/CT TORAX *CINTILO OSSEA E TC DE CRANIO SO SE SINTOMAS T1 - < 7 CM T2 - > 7 CM T3A - VEIAS / SEIOS / GORDURA T3B - CAVA INFRADIAFRAGMATICA T3C - CAVA SUPRA T4 - GEROTA E ADRENAL ESSE ESTADIAMENTO EM ESPECIFICO NAO CONTRAINDICA CX
78
CA RENAL => PRINCIPAL SITIO DE METASTASE CA RENAL?
INTRABDOMINAL - LINFONODAL
79
CA RENAL => TRATAMENTO PARA CA RENAL - TRIADE?
LEMBRAR: - TAMANHO - STATUS PACIENTE - LOCAL DO TUMOR #NEFREC PARCIAL - TU < 7 CM - LESOES NOS POLOS - EXOFITICAS #NEFREC RADICAL - TU > 7 CM - LESOES CENTRAIS - ENDOFITICAS #CX ABLATIVAS - < 3 CM (OU VIGILANCIA ATIVA) - BAIXO STATUS ***LINFADENEC NAO É INDICADA EM CA PRIMARIO RENAL! ***DOENÇA METASTATICA TEM BENEFICIO C/ CITORREDUÇÃO! => EXCETO SE OSSO E SNC
80
CA RENAL => INVASÃO DE CAVA CONTRAINDICA CX CURATIVA NO CA RENAL? V/F
FALSO
81
CA RENAL => SITUAÇÕES ESPECIAIS DE TRATAMENTO DE CA RENAL?
SES-GO! COLOCOU PORTADOR DE RIM UNICO T2 (>7 CM) E AINDA ASSIM INDICOU NEFREC PARCIAL - POUPAR PARENQUIMA!
82
CA RENAL => QT/RT SAO BEM INDICADAS PARA CA DE RIM. V/F
FALSO! *BOM P/ CA DE RIM É IMUNOTERAPIA Sobre a imunoteraia: Bom p/ citorredução pré-cirúrgica em TU grandes ou contextos metastáticos p/ viabilizar cx citorredutora. Definir STATUS e contraindicações a IMUNO │ ├─ Intermediário/Pobre → IMUNO (nivo+ipi) OU IMUNO + INIBIDOR DE TIROSINA-KINASE │ (pembro+axiti / lenva+pembro / nivo+cabo) │ ├─ Favorável → IMUNO + INIBIDOR DE TIROSINA-KINASE (recomendação fraca) │ Se IMUNO contraindicada → 💊 INIB DE TIROSINA-KINASE (sunitinibe/pazopanibe/cabozantinib) │ └─ Necessidade de resposta rápida (sintomas/carga alta) → preferir IMUNO + INIBIDOR DE TIROSINA-KINASE
83
CA RENAL => QUANDO INDICAR NEFRECTOMIA CITORREDUTORA?
SES-GO! CASOS DE OLIGOMESTASES - COMPLEMENTAR COM IMUNOTERAPIA
84
CA RENAL => QUANDO INDICAR EMBOLIZAÇÃO ARTERIAL EM ANGIOMIOLIPOMA RENAL? Angiomiolipoma *Lesão renal c/ risco de formação aneurismática e rotura, aumentados durante gestação pelo efeito da progesterona. *TC com atenuação de gordura em nódulo renal => direciona para angiomiolipoma
É uma lesão benigna com <1% de chance de malignizar, demanda de conduta somente se: - Volumoso > 4 cm - PORTADORES DE ESCLEROSE TUBEROSA (múltiplos miolipomas) *Assoc. com hamartoma cerebral e adenoma sebáceo - ANEURISMA INTRATUMORAL OU SANGRAMENTO ATIVO - TUMOR GRANDE EM GRAVIDA OU MULHER EM IDADE FERTIL *GESTAÇÃO AUMENTA RISCO DE SANGRAMENTO ASSOCIADO AO ANGIOMIOLIPOMA CX: - ASSOCIADA A INIBIDORES DE MTOR (SIROLIMUS) - Fazer antes da conduta cirúrgica *pense TSC1/TSC2 → mTOR para angiomiolipoma renal BONUS: Quando um paciente c/ sangramento espontaneo do angiomiolipoma, homenageou-se Wunderlich - SD DE WUNDERLICH
85
CA RENAL => QUANDO INDICAR BIOPSIA PARA CANCER RENAL?
APENAS EM CASO DE LESOES INDETERMINADAS PELAS CARACTERISTICAS DE IMAGEM OU PCT QUE VC QUER MANTER EM VIG ATIVA
86
TX RENAL => SOBRE O TX RENAL, MELHOR INCISÃO E ANASTOMOSES?
INCISÃO DE GIBSON ANASTOMOSES: - VENOSA => PRIMEIRA A SER REALIZADA => VEIA ILIACA EXTERNA - FIO INABS - ARTERIAL => ART ILIACA EXTERNA - FIO INABS - URINÁRIA => FIO ABSORVIVEL - TECNICA DE GREGOIR
87
CA RENAL => QUAL DHE QUE COMUMENTE OS CA RENAIS PODEM CAUSAR?
HIPERCALCEMIA Mecanismo: Produção ectópica de proteína relacionada ao paratormônio (PTHrP), que imita o PTH, promovendo: ↑ reabsorção óssea → liberação de cálcio ↑ reabsorção renal de cálcio ↓ reabsorção de fósforo
88
TX RENAL => QUAL O PRINCIPAL ALVO DO SIST IMUNOLOGICO CONTRA O TX RENAL?
ANTIGENOS HLA PS: > REJ HUMORAL => TUBULOS RENAIS E VASOS INTERLOBULARES - MEDIADA POR LINFOCITOS T > REJ CELULAR (ANTICORPOS) => ENDOTELIO CAPILAR
89
CA DE PROSTATA => CLASS DE RISCO CA DE PROSTATA?
T1 - NORMAL T2A - MENOS DA METADE DO LOBO T2B - MAIS DA METADE DO LOBO T3 - ENDURECIDA T4 - PÉTREA
90
ESCROTO AGUDO => SINAL DE PREHN
ELEVAR TESTICULO MELHORA DOR *SINAL DE ORQUIEPIDIDIMITE E NAO DE TORÇAO
91
MEDICINA SEXUAL => FLUXOGRAMA DE MANEJO DA DISF ERÉTIL?
PCT COM DISF ERETIL *HISTORIA + FAT DE RISCO *LAB + RISCO CV - Baixo risco → iniciar inibidores da fosfodiesterase tipo 5 (SILDENAFIL) - Médio risco → cardiologista antes de tratar - Alto risco → estabilizar doença cardíaca . > Se inibidores da fosfodiesterase tipo 5 eficaz → manter > Se falha → Opções 2ª linha (injeção, vácuo, intrauretral) Se falha → 3ª linha: prótese peniana Sempre: otimizar comorbidades + suporte multidisciplinar
92
MEDICINA SEXUAL => AVALIAÇAO FUNÇÃO CARDIOVASCULAR NA DISF ERÉTIL?
Avaliar risco cardiovascular (estratificação) ➡️ Baixo risco (seguro para atividade sexual): Sem sintomas cardíacos, <3 fatores de risco, doença coronariana estável. ➡️ Risco intermediário: Angina estável, múltiplos fatores de risco. → Encaminhar ao cardiologista antes de iniciar PDE5i. ➡️ Alto risco (não seguro): Angina instável, insuficiência cardíaca descompensada, arritmias não controladas, pós-IAM <2 semanas. Contraindicado iniciar tratamento sexual até estabilização.
93
ANATOMIA => MELHOR PLANO P/ DISSECÇÃO DE URETER?
LATERAL PARA MEDIAL ANTES DOS CRUZAMENTOS ILÍACOS MEDIAL PARA LATERAL APÓS O CRUZAMENTO DOS ILÍACOS PS: NAO DISSECAR URETER POR COMPLETO - DESVASCULARIZAÇÃO!
94
URO MISC => ABSCESSOS RENAIS, PONDERAÇÕES?
95
CA DE PROSTATA => CANCER DE PROSTATA HEREDITARIO?
**PARENTE 1 GRAU => 2X MAIS RISCO **NEO PROSTATA HEREDITARIA => 5X MAIS RISCO
96
HPB => INDICAÇOES RESSECÇAO PROSTATICA NA HPB
97
ANATOMIA => HIDROCELE, TIPO + COMUM AO NASCIMENTO E LADO + COMUM? E VARICOCELE?
TIPO MAIS COMUM DE HIDROCELE AO NASCIMENTO => 🥇🥇COMUNICANTE!! LADO + COMUM DE HIDROCELE => DIREITA Como o sistema linfático e venoso direito tem drenagem mais direta e dependente da pressão cava, situações de pressão venosa aumentada (como esforço, tosse, ou ascite) tendem a causar transudação de líquido no lado direito com mais frequência. VARICOCELE => ESQUERDA
98
CA RENAL => VARIANTE DE CA RENAL ASSOCIADA A HERANÇA FALCIFORME?
- CA MEDULAR (RARO) - KIDS/JOVENS *MORTALIDADE PROXIMA A 100% *ASSOCIAÇÃO C/ HERANÇA FALCIFORME
99
CA RENAL => RISCO DE MALIGNIDADE EM CADA BOSNIAK?
1 5 5-25 50 50-75
100
URO MISC => QUAIS OS TIPOS DE TERAPIA P/ BEXIGA NEUROGENICA E QUANDO INDICAR CADA UMA DELAS?
Início → Paciente com bexiga neurogênica ↓ 1ª linha: fisioterapia + medidas comportamentais ↓ Refratário? — Não → Manter/ajustar 1ª linha ↓ Sim → 2ª linha: anticolinérgico ou beta-3 agonista   └─ Se perfil retencionista (bexiga flácida, alto resíduo) → Adicionar Cateterismo intermitente ↓ Refratário? — Não → Manter 2ª linha ± cateterismo intermitente ↓ Sim → 3ª linha:   * Capacidade/complacência adequadas e hiperatividade refratária → Toxina botulínica ou estimulação nervo tibial ou neuromodulação sacral   * Bexiga muito contraída (baixa capacidade) e complacência muito baixa → AMPliação vesical ↓ Seguimento: ajustar conforme resposta, complicações e metas (continência, proteção do trato superior).
101
EMERGENCIAS UROLOGICAS => FRATURA PENIANA, PONDERAÇOES ⭐⭐MACETE NEYMAR: “Se Buck segura, hematoma fica. Se Buck rompe, hematoma voa.”
ESTRUTURA + LESADA É CORPO CAVERNOSO 🟦 O QUE REALMENTE SE ROMPE NA FRATURA? 👉 A estrutura lesionada é a TÚNICA ALBUGÍNEA do corpo cavernoso. 📌FASCIA DE DARTUS - DUPERFICIAL Contínua com o subcutâneo escrotal 📌FASCIA DE BUCK - BROFUNDA Envolve corpos cavernosos e corpo esponjoso 🟧 A IMPORTÂNCIA DA FÁSCIA DE BUCK (A pegadinha clássica!) Fáscia de Buck é o que LIMITA ou NÃO o hematoma. 👉 Se a fáscia de Buck está íntegra: — hematoma fica confinado ao corpo do pênis — aspecto de “berinjela” restrito ao pênis 👉 Se a fáscia de Buck ROMPE: — sangue disseca plano subcutâneo — hematoma se espalha para escroto, púbis, períneo — forma o clássico “asa de borboleta” (ASA DE BORBOLETA) 🟪CONDUTA — SEM DISCUSSÃO 👉 Tratamento é cirúrgico imediato
102
CA DE PROSTATA => ESTADIAMENTO GERAL CA DE PROSTATA T1 - ACHADO HISTOLOGICO T2 - CONFINADO A PROSTATA T3 - EXTRACAPSULA T4 - TUMOR FIXO
T1A - ATE 5% T1B - + DE 5% T1C - BX+ + PSA ALTO T2A - ATE 50% DE LOBO T2B - + DE 50% T2C - DOIS LOBOS T3A - EXTRACAPSULA N ATACA VESICULA SEMINAL T3B - EXTRACAPSULA ATACA VESICULA SEMINAL T4 - TUMOR FIXO
103
HPB => NO QUE SE BASEIA O LUTS NO HPB? OBS: VOLUME PROSTATICO NAO GUARDA RELAÇAO COM SINTOMAS DA HPB!
SINTOMAS DE; - ARMAZENAMENTO (URGEINCONTINENCIA) - ESVAZIAMENTO (JATO CURTO/INTERMITENCIA) 0-7 - LEVE 8-19 - MODERADO 20-35 - GRAVE FUNWISE F - FREQUENCIA U - URGENCIA N - NOCTURIA W - WEAK I - INTERMITENCIA S - STRAINING (FORÇA) E - ESVAZIAMENTO
104
🟦 AVALIAÇÃO INICIAL DA HPB — O QUE O GUIDELINE EUROPEU REALMENTE RECOMENDA
Segundo o EAU Guidelines on Male LUTS 2025, a investigação inicial do paciente com suspeita de HPB (LUTS masculino) inclui apenas exames essenciais, com foco em: – excluir causas não prostáticas – quantificar sintomas – identificar complicações – determinar impacto clínico 🟩 O QUE É OBRIGATÓRIO NA AVALIAÇÃO INICIAL 👉 História clínica detalhada 👉 IPSS (International Prostate Symptom Score) 👉 EAS (Urinálise / Urinalysis) Serve para excluir causas não prostáticas: 👉 Toque retal (DRE) 👉 Urofluxometria (se possível) Avalia Qmax; padrão: – Qmax < 10 mL/s sugere obstrução – Qmax > 15 mL/s → HPB menos provável É exame inicial de suporte, mas não obrigatório em todos os cenários segundo EAU — porém MUITO recomendado. 👉 Ultrassom de resíduo pós-miccional Não precisa ser US completo, só o RPM. – RPM > 300 mL → investigação adicional – RPM baixo → conduta mais simples 🟥 EXAMES INICIAIS OPCIONAIS (FEITOS APENAS EM CONTEXTO ESPECÍFICO) 👉 PSA Segundo a EAU, NÃO deve ser pedido automaticamente. Deve ser solicitado apenas se o resultado for mudar a conduta, como: – volume prostático estimado para escolha de medicação (5-ARI) – rastreamento de câncer em paciente com expectativa de vida > 10 anos – dúvida diagnóstica entre HPB × câncer – sintomas muito progressivos ❗❗MACETE: “PSA só se seu resultado mudar a vida do paciente.” 🟧 EXAMES QUE NÃO FAZEM PARTE DA AVALIAÇÃO INICIAL DA HPB Aqui estão as pegadinhas clássicas de prova: 👉 Urodinâmica 👉 Cistoscopia 👉 Ultrassom prostático transretal 👉 Urografia, TC, RM 🟨 A PEGADINHA DE PROVA MAIS FREQUENTE “Qual exame NÃO faz parte da avaliação inicial da HPB?” Resposta: 👉 URODINÂMICA. Outras possíveis respostas corretas dependendo do enunciado: 👉 Cistoscopia 👉 TRUS 👉 PCA3 / Biomarcadores
105
HPB => TRATAMENTO HPB:
#FARMACO: *MONOT OU TERAP COMBINADA SE IPSS GRAVE => ALFA1BLOQ (TANSULOSINA / DOXASOZINA) *DILATA URETRA *1 LINHA *BAIXA IPSS E SOBE QMAX *AGE RAPIDO *COLAT: EJAC RETROGRADA / HIPOT POSTURAL / GLAUCOMA => INIB 5ALFA (FINASTERIDA) *DIMINUI PROSTATA (15-20% EM 1 ANO / 20-30% EM 2 ANOS) *2 LINHA *BAIXA IPSS E SOBE QMAX *AGE LENTO *COLAT: BAIXA LIBIDO / DISF ERETIL EM ATÉ 30% DOS PCT *N USAR EM PROSTATA < 40G => ANTIMUSC (OXIBUTININA) *Homens com LUTS dominado por armazenamento, sem retenção significativa (resíduo pós-miccional <150–200 mL). *DIMINUI SINT ARMAZENAMENTO *BAIXA IPSS, NAO SOBE QMAX => INIB FOSFODIESTERASE 5 (TADALA) *BAIXA IPSS, NAO SOBE QMAX *melhora LUTS e função erétil (vigiar PA) => AGONISTA B3 (MIRABEGRONA) *alternativa com menos efeitos anticolinérgicos. *BAIXA IPSS, NAO SOBE QMAX #CX: *REFRATARIO *RET URINARIA AGUDA *ITU REPETIÇAO *CALC URINARIO / VESICAL < 30G - INCISAO TRANSURETRAL 30-80G - RTU > 80G PTV
106
ADRENAL => SOBRE O INCIDENTALOMA ADRENAL
*CORTISOL LIVRE URINARIO DE 24H OU 1MG DST (melhor o dst) Fazer dexa as 23 Coletar cortisol as 8 do dia seguinte Interpretação (padrão de prova) • Cortisol ≤ 1,8 µg/dL → normal • 1,9–5,0 µg/dL → secreção autônoma leve de cortisol • 5,0 µg/dL → hipercortisolismo significativo *METANEFRINAS E CATECOLAMINAS URINARIAS DE 24H *SE HIPERTENSO E/OU HIPOCALEMICO, ALDOSTERONA E RENINA => SAO NOD ADRENAIS > 1 CM, PRESENTE EM 10% DOS IDOSOS ALARME: - MALIGNIDADE - FUNCIONANTE (FEO 15%) INCIDENTALOMA + COMUM É O ADENOMA NAO FUNCIONANTE DX: TC + INVESTIGAR FEO E HIPERCORTISOLISMO **NAO É USG!!! **RM SE DUVIDA!!! LAB: *ADENOMA: METANEF SERICA E URINARIA + TESTE DE SUPRESSAO DO CORTISOL COM DEXA 1MG 8H -- SE HAS ALD/RENINA > 20 A) ADENOMA CONTEUDO LIPIDICO** B) FEO HIPERATENUANTE C) ADRENOCORTICAL NECROSE CENTRAL D) META HETEROGENEO E IRREGULAR, CONTRASTAÇÃO RAPIDA
107
ADRENAL => ACHADOS DE TC QUE TRANQUILIZAM E PUXAM INCIDENTALOMA PARA ADENOMA?
- < 4 CM - BEM DELIMITADO - < 10 UH - NAO CALCIFI - SEM COMPONENTE CISTICO, HEMORRAGICO - WASHOUT RAPIDO
108
ADRENAL => QUANDO OPERO O INCIDENTALOMA ADRENAL? RESUMO MATADOR PARA PROVA Todo incidentaloma → testar feo + cortisol + aldosterona (se hipertenso). UH < 10 = adenoma benigno. ≥ 4 cm → operar, mesmo não funcionante. Funcionante = cirurgia obrigatória. Feocromocitoma → nunca biopsiar. Zona cinzenta pós-Dexa = monitorar.
- FUNCIONAL - IMAGEM SUSPEITA (> 20 UH, IRREGULAR, WASHOUT BAIXO, CRESCIMENTO > 5MM EM UM ANO) - TAMANHO > 4CM - JOVEM < 40 ANOS OU GESTANTE SEM CERTEZA DE BENIGNIDADE => DECISÃO TERAPÊUTICA – UNINDO FUNÇÃO + IMAGEM + TAMANHO A) Tumor FUNCIONANTE (qualquer tamanho) 👉 Cirurgia (adrenalectomia) Inclui: - feocromocitoma - hiperaldosteronismo lateralizado - hipercortisolismo autônomo (MACS com comorbidades) B) Tumor NÃO funcionante + características BENIGNAS < 4 cm → NÃO operar Repetir TC em 6–12 meses Se estável → alta Se crescer > 1 cm ou > 20% → considerar cirurgia 1–2 mg dex + 1,9–5 cortisol (“zona cinzenta”) → monitorar comorbidades + repetir exame funcional anual por 4–5 anos C) Tumor NÃO funcionante + SUSPEITO (imagem) 👉 ≥ 4 cm → Indicar adrenalectomia, mesmo sem função 👉 < 4 cm, mas com UH > 20 ou heterogêneo → considerar cirurgia em centro de referência OU → RM + seguimento curto (3–6 meses) D) Bilateral → Pensar em: Hiperplasia adrenal macronodular Cushing ACTH-dependente Doença metastática Linfoma Infecção fúngica → Avaliar eixo ACTH, DHEAS, RM e investigação etiológica.
109
HPB =>RISCO DE RETENÇÃO URINÁRIA AGUDA NO PACIENTE HPB
RETENÇÃO URINÁRIA AGUDA NO HPB *CD inicial: - SVD CALIBROSA - 20 +/- (sempre no paciente HPB preferir SVD à SVA - risco de recidiva) - Se ausência de complicações, podemos iniciar ALFA BLOQ e testar retirada de SVD após 3-5 dias > Possíveis causas da descompensação da função vesical: - Infec urinária - Idosos po condições clínicas variáveis Afinal, qual preditor MAIS PODEROSO de risco p/ RUA no paciente com HPB? => Depende da referência! 🥇🥇-- Pelo guideline europeu: PSA
110
HPB => PRINCIPAL CAUSA DE ITU EM PESSOAS DE MEIA IDADE E IDOSOS?
OBSTRUÇÃO AO FLUXO URINÁRIO E ESTASE DE URINA - LEMBRAR, NESTE CONTEXTO, DE: - HPB - DISF VESICAL - BEXIGA NEUROGÊNICA - ESTENOSE DE URETRA
111
HPB => QUANDO SOLICITAR ESTUDO URODINÂMICO NO HPB?
RESERVADO P/: - Dúvidas diagnósticas *QMÁX > 15 na UROFLUXOMETRIA *HPB < 50 anos ou > 80 anos *Bexiga neurog *Resíduo pós-mic > 300 *Próstata > 30g (pequena) - Predominância de sintomas de armazenamento (URGÊNCIA / INCONTINÊNCIA) frente aos de esvaziamento
112
HPB => O QUE CONFIGURA O UROLIFT?
Técnica não ablativa que funciona pela compressão tissular transprostática, abrindo a uretra e reduzindo a obstrução. Tem menor chance de lesar ductos ejaculatórios.
113
HPB => PRINCIPAIS ALFABLOQ OBS: Alfa-bloq atuam relaxando a musculatura lisa do colo vesical, uretra e próstata, sendo efetivos no tratamento da HPB
🥇SELETIVOS P/ ALFA 1A - Tansulosina - Silodosina *Causam menos hipotensão e são preferidos p/ pacientes com comorbidades cardiovasculares 🥈NÃO SELETIVOS (BLOQ ALFA 1A E 1B) - Doxazosina - Terazosina - Alfuzosina *Maior risco de hipotensão ortostática devido ao bloq dos alfa 1B nos vasos sanguíneos PRINCIPAIS EFEITOS ADVERSOS GERAIS - Hipot ortostática (+ nos não seletivos) - Tontura e fadiga - Ejac retrógrada (+ nos seletivos)❗❗ - Congestão nasal (bloq alfa-1 nas mucosas), rinite e sinusite
114
CA RENAL => PRINCIPAIS FATORES DETERMINANTES E PREDITORES DE FUNÇÃO RENAL APÓS NEFRECTOMIA PARCIAL?
PRINCIPAL: Tempo de isquemia do parênquima remanescente.❗❗ OUTROS: - Função renal antes da nefrectomia parcial (segundo mais importante) - Ausência de rim contralateral funcional - Tamanho do TU - Tempo operatório
115
HEMATÚRIA => ESTRATIFICAÇÃO E CONDUTA FRENTE A HEMATÚRIA MICROSCÓPICA? *O mais difícil de lembrar é que no risco baixo tem que repetir exame em 6 meses.
RISCO BAIXO - Não fumante - < 10 hem - H < 40a / M < 50a *Repetir exame de urina em 6 meses e fazer análise clínica nesse período, se suspeito solicitar USG + cistoscopia RISCO INTERMED - < 30 maços/ano - < 25 hem - H < 60a / M < 60a *USG + cistoscopia RISCO ALTO - > 30 maços/ano - > 25 hem - H < 60a / M < 60a *UROTC + cistoscopia
116
HEMATÚRIA => TERMOS P/ HEMATÚRIA CONFORME MOMENTO DE MICÇÃO?
📌HEMATÚRIA INICIAL (logo no início) *URETRA ANTERIOR *PROSTATA❗❗❗ 📌HEMATÚRIA TERMINAL (ao final) *URETRA POSTERIOR 📌HEMATÚRIA TOTAL (toda a micção) *BEXIGA *VIA URINARIA ALTA
117
CA RENAL => CD APÓS NEFREC DE ALTO RISCO?
ADJUVANCIA! Pembrolizumabe Patologia alto risco (p.ex.: pT2 alto grau, pT3–pT4, pN+, ou M1 NED) → └─ ♻️ 💉 Pembrolizumabe adjuvante por 1 ano (discutir riscos/benefícios)
118
CA RENAL => SEGUIMENTO PÓS TTO CURATIVO CA DE CELULAS RENAIS?
Estratificar por risco (Leibovich/UISS) ├─ Baixo risco → TC tórax/abdome com menor frequência; considerar encerrar >3 anos📌 ├─ Intermediário → encerrar imagem >5 anos (conforme caso)📌 └─ Alto risco → monitorização mais intensiva Após NEFREC PARCIAL: *Intensificar se tumor >7 cm ou margem positiva📌 *RM pode substituir TC abdome para reduzir radiação📌📌 *Sempre acompanhar função renal/cv e complicações tardias📌
119
EMERGENCIAS UROLOGICAS => SOBRE PEYRONIE Fases clínicas *Fase aguda (inflamatória): dor na ereção, curvatura progride (3–18 meses). *Fase crônica (estável): dor melhora/cede, curvatura estabiliza (placa madura ± calcificada). Quadro típico *Encurvamento (30–90°), dor à ereção (fase aguda), encurtamento do pênis, deformidades (relógio de areia/hourglass, indentação), disfunção erétil em parte dos casos.
[Curvatura peniana] │ ├─► Fase AGUDA? (dor/placa em evolução) × ESTÁVEL - CRÔNICA? (curvatura estável ≥3–6 meses) │ ├─► Aguda │ ├─ Analgesia (AINE) + Tração peniana/VED │ └─ Evitar coquetéis orais sem evidência robusta │ └─► Estável + disfunção sexual por deformidade ├─ Curvatura 30–90° dorsal/lateral, comprimento adequado → COLAGENASE (CCH) + modelagem ├─ Curvatura >60°/complexa com boa rigidez → CIRURGIA com ENXERTIA (alongamento do lado curto) ├─ Curvatura menor com boa rigidez → PLICATURA (encurtamento controlado) └─ DE importante/ereções insuficientes → PRÓTESE (± modelagem/enxertia)
120
LITÍASE => DEVO INICIAR ATB NO CALCULO CORALIFORME ANTES MESMO DE ABORDA-LO DE FORMA INVASIVA. V/F
VERDADEIRO
121
LITÍASE => URETERO-HIDRONEFROSE É SINONIMO DE DERIVAÇAO URINARIA (DJ OU NEFROSTOMIA)?
NAO, SE NAO TIVER INFECÇÃO/OBSTRUÇÃO, POSSO SO FAZER A TRIPSIA
122
LITÍASE => ADENDOS SOBRE A GESTANTE
QUANDO É DE MAIOR RISCO RADIAÇÃO DOS EXAMES P/ O FETO? => QNT MAIS PRECOCE NA GESTAÇÃO, MAIOR O RISCO QUAL O SEMESTRE + SEGURO P/ UMA CX UROLOGICA? => SEGUNDO SEMESTRE A GESTANTE TEM A VIA URINARIA NATURALMENTE + DILATADA PELA PROGESTERONA, LOGO COSTUMA EXPELIR CALCULOS COM + FACILIDADE! SO INTERVIR NA GESTANTE COM UROLITIASE SE HOUVEREM COMPLICAÇOES CLINICAS!
123
LITIASE => CONTRAPONDO LECO E TECNICAS ENDOSCOPICAS
IMPORTANTE FRISAR: - CALC URETERAIS ✅< 10MM LECO = ENDOSCOPICAS✅ > 10 URETER PROXIMAL - FLEX > 10 URETER SITAL - SEMI RIGIDA
124
LITIASE => GUY SCORE - CHANCE DE SUCESSO DA PERCUTANEA
125
LITIASE => CALCULOS EM POLO INFERIOR ENTRE 1-2CM, QUAL O ADENDO? Se há anatomia desfavorável para cálice inferior → LECO perde eficácia 📌 LECO vira segunda opção 📌 URS (ureterorreno) é primeira linha 📌 PERCUTANEA para cálculos maiores (>20 mm)
AVALIAR ANATOMIA *SE DESFAVORAVEL - EVITAR LECO - USAR OU ENDOSCOPICA OU PERCUTANEA O CONCEITO — “CONDIÇÕES ANATÔMICAS DESFAVORÁVEIS” Em litíase renal, refere-se a alterações anatômicas que diminuem a chance de eliminação espontânea, pioram a drenagem urinária ou reduzem a eficácia de tratamentos como LECO (SWL). ✔ Se SWL não funcionar devido à anatomia = “condições anatômicas desfavoráveis”. ✔ As principais: *Cálice inferior *Rim em ferradura *Rim ectópico *Infundíbulo longo/estreito *Estenose de JUP *Ureter tortuoso ou duplicado *Rim policístico *Pacientes obesos. ✔ Nesses casos → preferir URS - ureterorreno (para <20 mm) e PCNL (para >20 mm). ✔ LECO só é primeira linha quando a anatomia é FAVORÁVEL.
126
INCIDENTALOMA ADRENAL => CONSIDERAÇOES SOBRE O MANEJO CX / VLP
🟧 1) TAMANHO MÁXIMO PARA ADRENALECTOMIA LAPAROSCÓPICA 🎯 Regra prática moderna (2023–2024): 👉 Até 8–10 cm = laparoscopia é segura, SE imagem sugerir BENIGNIDADE. PORÉM: *8 cm é o corte mais usado na Europa (ENSAT/ESE) → mais conservador. *10 cm (ou até 12 cm em centros especializados) é aceito pela AAES e grandes centros HPB nos EUA SE não houver suspeita de invasão. 📌 Hoje, tamanho isolado NÃO é contraindicação absoluta para VLP. O fator mais importante é “suspeita de malignidade”, não centimetragem. 🟥 2) ENTÃO POR QUE ANTIGAMENTE FALAVAM QUE >7 CM NÃO PODIA LAPAROSCÓPICA? Porque antes de 2010 o medo era: => SUSPEITA DE CARCINOMA ADRENOCORTICAL (ACC) ACC costuma ter >6 cm *risco de ruptura capsular durante manipulação laparoscópica *disseminação peritoneal se rompe *linfadenectomia complicada na VLP *piora do prognóstico se manipulado inadequadamente 👉 Por isso 7 cm se tornou um marco histórico.
127
INCIDENTALOMA ADRENAL => CONTRAINDICAÇAO A VLP
> VERDADEIRAS CONTRAINDICAÇÕES À VLP? ❌ CONTRAINDICAÇÕES REAIS (independentes do tamanho) *Suspeita de carcinoma adrenocortical (ACC) *margens irregulares *invasão de gordura *infiltração renal/pâncreática *trombo venoso *Recidiva local após cirurgia prévia *Invasão de cava, baço, rim, pâncreas *Adenoma >10–12 cm suspeito *Paciente muito obeso + gigante + retroperitônio hostil ✔ Se for um feocromocitoma de 8–10 cm com imagem benigna → pode VLP. ✔ Se for um adenoma não funcionante 9 cm homogêneo → pode VLP.
128
GRAUS DO TRAUMA URETRAL
I - CONTUSAO II - estirou III - PARCIAL rompeu mas vê bexiga IV - TOTAL rompeu < 2cm não vê bexiga V - TOTAL > 2 cm separado da bexiga | - só sangue
129
URO-ONCO => FATORES DE RISCO CA DE PÊNIS
> Fator de risco MAIS importante: fimose (esmegma + higiene ruim) Outros importantes: - HPV (principal: 16; também 18, 31, 33) - Tabagismo - Balanopostite crônica - LSA (líquen escleroso atrófico) - Múltiplos parceiros - Início sexual precoce - Baixo nível socioeconômico - Quimioterapia tópica prévia com PUVA (raramente) 🔑 MACETE: Fimose > HPV > Tabaco (ordem mais cobrada).
130
URO-ONCO => TIPOS HISTLÓGICOS CA DE PÊNIS E LOCAIS + COMUNS
TIPO HISTOLÓGICO 90–95% → Carcinoma espinocelular (CEC). Variantes de pior prognóstico: - Basaloide - Sarcomatoide - Verrucoso (baixo risco de metástase) LOCALIZAÇÃO => Glande (mais comum – 48%) *Prepúcio (21%) *Sulco coronal *Corpo do pênis 🔑 MACETE: → Se a questão falar “lesão ulcerada em glande” = marcar CEC de pênis.
131
URO-ONCO => DIAG E TTO CA DE PENIS
DIAGNÓSTICO > BIÓPSIA da lesão — SEMPRE Punch ou incisional. Se suspeita de invasão profunda → biópsia excisional. ESTADIAMENTO TNM T Tis – carcinoma in situ (eritroplasia de Queyrat) Ta – verrucoso não invasivo T1a – invade subepitélio sem linfovascular/perineural T1b – invade subepitélio com invasão linfovascular/perineural ou grau 3 T2 – invade corpo esponjoso T3 – invade corpos cavernosos T4 – invade estruturas adjacentes (escroto, abdome etc.) 🔑 MACETE T: T2 = esponjoso (URETRA) T3 = cavernoso N N0 – sem linfonodos N1 – 1 linfonodo inguinal unilateral N2 – múltiplos unilaterais ou bilaterais móveis N3 – linfonodo fixo ou pélvico 🔑 TTO MACETE PARA PROVA: → “Tis/Ta = TOPIC E LASER” *IMIQUIMODE OU 5-FU *LASER OU GLANSECTOMIA PARCIAL → “T1 = CONSERVAR” *GLANSECTOMIA PARCIAL OU TOTAL → “T2 = GLANSECTOMIA TOTAL” *SE ATINGIR CORPO => PENEC PARCIAL → “T3 = PENEC PARCIAL” *SE INTENSO => PENEC TOTAL → “T4 = RADICAL” *CX RADICAL (COM LINFADENEC) + ADJ QT/RT
132
URO-ONCO => CA DE PENIS - MACETES
MACETES FINAIS (DECOREBA PURA) - Primeiro sítio metastático: inguinal superficial - Fator prognóstico mais importante: status linfonodal** T2 = esponjoso / T3 = cavernoso N3 = fixo ou pélvico > Lesão pequena + glande = glansectomia > Sempre biopsiar a lesão primária > Circuncisão pode ser primeira etapa de quase tudo > Doença N0 de alto risco → sentinela > N2/N3 = considerar QT neoadjuvante
133
ESCROTO AGUDO => TORÇAO TESTICULAR - DIFERENÇA EPIDEMIOLOGICA E CONTEXTUAL ENTRE INTRA E EXTRAGINAL PEGA: OS TERMOS SAO PARADOXAIS, POIS A "EXTRAVAGINAL" QUE PEGA TUDO E TAMBEM TODA TUNICA VAGINAL!
✔ TORÇÃO INTRAVAGINAL (a mais comum) O testículo gira dentro da túnica vaginal parietal. A anomalia clássica é a deformidade em "bell-clapper", na qual: O testículo é altamente móvel. Fica horizontalizado. Aquele clássico: “testículo em rotação livre”. ▶ O cordão espermático torce → isquemia arterial. ✔ TORÇÃO EXTRAVAGINAL (neonatal) Ocorre ANTES da fixação da túnica vaginal ao escroto. Então tudo gira junto: cordão + testículo + túnica. ▶ Por isso é típica em: Recém-nascidos Feto intraútero (torção intrauterina) MACETE: → Na extravagnial, “a casa toda gira, não só o morador”. Já nascem com testículo necrosado.
134
PEGA DE ESTADIAMENTO DE URO
✔ T1c Quando: > PSA elevado leva à biópsia > Tumor é não palpável > Não visível ao exame de imagem > Não detectável no toque retal 👉 Esse paciente ENCAIXA perfeitamente em T1c, pois o toque foi normal e o achado foi apenas na biópsia guiada pelo PSA.
135
Complicações tardias da prostatectomia radical => AS 3 + COMUNS
As três complicações tardias mais clássicas e cobradas em provas após prostatectomia radical são: 1️⃣ Disfunção erétil 2️⃣ Hérnia inguinal pós-prostatectomia 3️⃣ Estenose de anastomose / estenose uretral
136
🟦 CÂNCER DE TESTÍCULO
🟧 EPIDEMIOLOGIA E FISIOPATOLOGIA 👉 Tumor sólido mais comum no homem jovem (15–35 anos). 👉 95% são tumores de células germinativas (GCT): — Seminomatosos — Não seminomatosos (NSGCT) 👉 Principais fatores de risco: — criptorquidia (risco ×8) — história familiar — tumor contralateral prévio — disgenesia gonadal — síndrome de Klinefelter (germ cell neoplasia in situ) 🟦 2) ANATOMIA E DISSEMINAÇÃO LINFÁTICA Tumor testicular SEMPRE metastiza primeiro para retroperitônio, seguindo os vasos testiculares até os linfonodos: 👉 Testículo direito → linfonodos interaortocavos. 👉 Testículo esquerdo → linfonodos para-aórticos. 👉 Escroto NÃO metastiza para retroperitônio → sua drenagem é inguinal (pegadinha clássica).❌❌ 🟨 3) APRESENTAÇÃO CLÍNICA 👉 Aumento testicular indolor. 👉 Massa dura, irregular. 👉 Pode haver ginecomastia (produção de β-hCG). 👉 Dor lombar = doença retroperitoneal volumosa. 👉 Dispneia = doença pulmonar metastática. 🟥 4) DIAGNÓSTICO — FLUXO CORRETO 👉 Exame físico avaliar testículo contralateral, epidídimo, linfonodos inguinais. 👉 USG Escrotal Exame inicial obrigatório. Tumor testicular = massa hipoecoica heterogênea. 👉 Marcadores tumorais (obrigatório ANTES DA ORQUIECTOMIA!) 📌AFP 📌β-hCG 📌LDH ✅Pegadinha: seminoma nunca produz AFP. Se AFP ↑ → é NSGCT, independentemente da biópsia. 👉 Nada de biópsia percutânea (CI absoluta). 💡 Conduta → Orquiectomia inguinal radical diagnóstica e terapêutica 🟦 5) MARCADORES TUMORAIS — COMO INTERPRETAR (isso CAI!) 👉 AFP — elevado em carcinoma embrionário, tumor do seio endodérmico - NÃO SEMINOMA — NUNCA elevado no seminoma 👉 β-hCG — elevado em coriocarcinoma — pode elevar levemente em seminoma — ginecomastia ocorre quando mto elevado 👉 LDH — prognóstico (massa tumoral) 📌📌 S (MARCADOR !) S0 = normal S1 = leve ↑ S2 = moderado ↑ S3 = muito alto (pior prognóstico) ❗❗❗Estadiamento depende de TNM + S. 🟦 LINFADENECTOMIA RETROPERITONEAL (RPLND) >> Cirurgia complexa com objetivo de remover cadeias interaortocavas / para-aórticas.
137
MACETES TU DE TESTICULO 🟥 RESUMO FINAL EM 5 LINHAS 1. Diagnóstico: US + marcadores + orquiectomia inguinal (nunca biópsia). 2. Seminoma: Estágio I → vigilância; Estágio II/III → QT (BEP/EP). 3. NSGCT: Estágio I → vigilância / RPLND / QT; doença avançada → BEP × 3. 4. Massa residual: Seminoma → PET; NSGCT → LINFADENECTOMIA RETROPERITONEAL. 5. Marcadores antes e depois da cirurgia guiam todo o estadiamento (TNM + S).
🟩 MACETES NEYMAR 👉 Não existe biópsia do testículo — é orquiectomia inguinal sempre. 👉 AFP N U N C A sobe em seminoma. 👉 Disseminação = retroperitônio, nunca inguinal (a não ser que violaram escroto). 👉 Seminoma gosta de pulmão; NAO SEMINOMA gosta de pulmão + fígado + cérebro. 👉 BEP × 3 = esquema padrão. 👉 LINFADENECTOMIA RETROPERITONEAL é obrigatória em NAO SEMINOMA com massa residual > 1 cm pós-QT. 👉 Seminoma residual > 3 cm = PET-CT (não em NAO SEMINOMA). 👉 Tumor testicular é o câncer sólido com maior chance de cura, mesmo metastático.🥇🥇
138
ITU E SONDAGEM VESICAL ✅ PONTOS CHAVE QUE SEMPRE CAEM CAUTI – Infecção urinária associada a cateter
✅ 1) DEFINIÇÕES IMPORTANTES Bacteriúria associada a cateter (BACT) >> Presença de ≥10⁵ UFC/mL em paciente sondado, com ou sem sintomas. >> CAUTI – Infecção urinária associada a cateter >> Quando existem sinais/sintomas + urocultura positiva em paciente que está com sonda ou esteve nos últimos 48h. ✅ CONDUTA QUANDO HÁ SUSPEITA DE INFECÇÃO 📌 SE O PACIENTE TEM SINTOMAS → tratar > TROCAR A SONDA antes de colher urina > Colher urocultura da nova sonda ou do jato livre após troca > Iniciar antibiótico direcionado à gravidade > Duração típica -- 7 dias (resposta rápida) -- 10–14 dias se evolução lenta, bacteremia ou pielonefrite ⭐ 1. Bacteriúria assintomática em sondado → NÃO tratar. Paciente SONDADO e assintomático = NÃO tratar. ⭐ 2. Suspeita de CAUTI → trocar a sonda + colher urina da nova sonda. ⭐ 3. Sistema aberto aumenta infecção (sempre usar sistema fechado). ⭐ 4. Não manter antibiótico profilático em sondado crônico. ⭐ 5. Urocultura pós-retirada NÃO é necessária. ➡️ Assintomático após retirada = NÃO fazer urocultura e NÃO tratar.
139
FAIXA DE DENSIDADE DOS CÁLCULOS URINÁRIOS
❗❗🔸 ÁC ÚRICO - 200-500❗❗ 🔸 XANTINA - 200-400 🔸 ESTRUVITA - 600-900 🔸 CISTINA - 600-800 🔸 OXALATO DE CA - 600-1200 🔸 FOSFATO DE CA - 700-1100 🔸 OXALATO DE CA MONOIDRATADO > 1200
140
🧠 FISIOLOGIA DA EREÇÃO — O QUE IMPORTA PARA A PROVA
🎯 RESUMO MATADOR PARA PROVA 🔥EREÇÃO — Parassimpático — NO → GMPc — Relaxamento → sangue entra 🔥DETUMESCÊNCIA — Simpático — PDE-5 → degrada GMPc — Contração → flacidez Principais pontos de prova: ✔️ NO é o principal neurotransmissor ✔️ PDE-5 é fundamental na detumescência ✔️ Flacidez = contração do músculo liso ✔️ Ereção = relaxamento ✔️ ACh NÃO é o principal neurotransmissor da ereção
141
➡️ Síndrome do duplo J (ou stent-related symptoms).
Sintomas irritativos + hematuria + disúria no pós-operatório imediato após URS com duplo J Isso é extremamente comum no 1º dia, e NÃO tem relação obrigatória com cálculo residual, nem com lesão ureteral, e muito menos exige retirada precoce do stent. ✅ Qual o tratamento indicado? A conduta padrão, sustentada por diretrizes (AUA/EAU), é: ➡️ Alfa-bloqueador (tansulosina) ➡️ Antimuscarínico (solifenacina) Por quê? * α-bloqueadores ↓ pressão intramural ureteral e aliviam o desconforto do stent. * Antimuscarínicos ↓ hiperatividade do detrusor, reduzindo urgência e polaciúria.
142
FÁSICA QUE DEVE SER PRESERVADA NA POSTECTOMIA PARA PRESERVAR: - ARTÉRIA DORSAL - VEIA DORSAL PROFUNDA - RAMOS DO NERVO DORSAL
➡️ Entre a túnica albugínea e a fáscia profunda do pênis (fáscia de Buck). Portanto, a fáscia que deve ser preservada durante a dissecção da postectomia é: ✅ Fáscia profunda do pênis (Fáscia de Buck) 🔍 ENTENDA A LÓGICA ANATÔMICA – POR QUE É ESSA? 🌐 Camadas dorsais do pênis (de superficial → profundo): - Pele - Fáscia superficial / Dartos - Fáscia profunda (Buck) ← AQUI ESTÃO PROTEGIDAS AS ESTRUTURAS NOBRES** - Túnica albugínea - Corpos cavernosos Dentro da Buck, passam: ✔ Veia dorsal profunda ✔ Artérias dorsais ✔ Nervos dorsais Se você violar a fáscia de Buck durante uma postectomia, você entra no plano neurovascular → risco de: * sangramento da veia dorsal profunda * lesão da artéria dorsal * parestesia / hipoestesia peniana Por isso, a dissecção deve ficar acima, no plano da pele + dartos.
143
MEDICAÇÃO DE ADJUVANCIA POS CX DE TU DE ADRENAL DE ALTO RISCO?
=> MITOTANO 🎯 O QUE É 🧬 Adrenolítico 🧬 Derivado do DDT 🧬 Atua especificamente no córtex adrenal 📌 É citotóxico seletivo para: – zona fasciculada – zona reticular 👉 Poupa relativamente a glomerulosa (no início). 🟥 INDICAÇÃO CLÁSSICA (ESSENCIAL) 🧠 CARCINOMA ADRENOCORTICAL (CAC) ✔️ Doença irressecável ✔️ Doença metastática ✔️ Tratamento adjuvante pós-adrenalectomia em alto risco 📌 MITOTANO = droga-chave do câncer adrenal