VRU 2002 Flashcards

(87 cards)

1
Q

Ramirez et al: What is the most common organ associated with histiocytic sarcoma?

A

Spleen Then liver and lymph nodes

How well did you know this?
1
Not at all
2
3
4
5
Perfectly
2
Q

That is the common finding in on US with a spleen affected by histiocytic sarcoma?

A

Well-defined hypoechoic nodules

How well did you know this?
1
Not at all
2
3
4
5
Perfectly
3
Q

That is the common finding in on US with a liver affected by histiocytic sarcoma?

A

Well-defined nodules that vary widely with echogenicity from hypo to hyper.

How well did you know this?
1
Not at all
2
3
4
5
Perfectly
4
Q

What were the most common LN affected by histiocytic sarcoma in the abdomen?

A

Mesenteric Medial iliac

How well did you know this?
1
Not at all
2
3
4
5
Perfectly
5
Q

Saunders et al: CT Nasal Aspergillosis in Dogs, What are the most commonly encountered CT findings of nasal aspergillosis in dogs?

A
  1. Moderate to severe cavitary destruction of the turbinates
  2. Non-specific thickening of the mucosa adjacent to the inner surface of bones of the frontal sinus, maxillary recess and nasal cavity
  3. Thickened reactive bone.
How well did you know this?
1
Not at all
2
3
4
5
Perfectly
6
Q

Saunders et al: CT Nasal Aspergillosis in Dogs, Attenuation values and contrast values were helpful or not helpful with dogs with nasal aspergillosis?

A

Not helpful/non-specific

How well did you know this?
1
Not at all
2
3
4
5
Perfectly
7
Q

Saunders et al: CT Nasal Aspergillosis in Dogs, CT findings are consistent with what type of disease progression?

A

1st - one nasal cavity, then ipsilateral frontal sinus, then contralateral nasal cavity then contralateral frontal sinus.

How well did you know this?
1
Not at all
2
3
4
5
Perfectly
8
Q

Saunders et al: CT Nasal Aspergillosis in Dogs, What percentage of dogs with chronic nasal dischange have fungal rhinitis?

A

7-34%

How well did you know this?
1
Not at all
2
3
4
5
Perfectly
9
Q

Saunders et al: CT Nasal Aspergillosis in Dogs, For what findings should nasal aspergillosis be the primary differential when assessing dogs with CT?

A

Cavitated lysis of the turbinates Thickening of the nasal mucosa along the bones of the nasal cavity or frontal sinus.

How well did you know this?
1
Not at all
2
3
4
5
Perfectly
10
Q

Mellema et al: Meningeal enhancement MRI, what coorelation was seen between meningeal enhancement and diagnosis?

A

None.

How well did you know this?
1
Not at all
2
3
4
5
Perfectly
11
Q

Saito et al: CT findings of intracranial blasto, what are the main CT findings of intracranial blasto?

A
  1. Periventricular enhancement consistent with ependymitis 2. Ventriculomegaly
How well did you know this?
1
Not at all
2
3
4
5
Perfectly
12
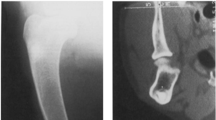
Q

What is the likely diagnosis? Other differentials?

A

Osteoma is the likely diagnosis

Osteosarcoma

Granuloma

Infarct

How well did you know this?
1
Not at all
2
3
4
5
Perfectly
13
Q
A
How well did you know this?
1
Not at all
2
3
4
5
Perfectly
14
Q

Chang et al: Superparamagnetic iron oxide-enhance MRI of liver in dogs, what does iron oxide cause in the liver?

A

Shortened T2 relaxation

How well did you know this?
1
Not at all
2
3
4
5
Perfectly
15
Q

hang et al: Superparamagnetic iron oxide-enhance MRI of liver in dogs, iron oxide is taken up by what cells in the liver?

A

Kupffer cells

How well did you know this?
1
Not at all
2
3
4
5
Perfectly
16
Q

Chang et al: Superparamagnetic iron oxide-enhance MRI of liver in dogs, why do liver tumors not uptake iron oxide?

A

Because tumors do not have kupffer cells thus tumors do not have a loss of uptake in the liver.

How well did you know this?
1
Not at all
2
3
4
5
Perfectly
17
Q

Chang et al: Superparamagnetic iron oxide-enhance MRI of liver in dogs, what was the adverse effect of iron oxide?

A

Nothing

How well did you know this?
1
Not at all
2
3
4
5
Perfectly
18
Q

Chang et al: Superparamagnetic iron oxide-enhance MRI of liver in dogs, how much did the signal intensity drop in 20min?

A

65.7% +/- 10%

How well did you know this?
1
Not at all
2
3
4
5
Perfectly
19
Q

Horse is having gradual increase in dyspnea… what are your differentials?

A

Arytenoid chondritis - what it is.

Nasal cyst/polyp

retropharyngeal abscess

foreign body

neoplasia

epiglottic cyst.

How well did you know this?
1
Not at all
2
3
4
5
Perfectly
20
Q

Congenital tumors in cattle?

A

mesothelioma

melanoma

nephroblastoma

lipoma

How well did you know this?
1
Not at all
2
3
4
5
Perfectly
21
Q

What is the reported tumor-track implanation rate for FNA of bladder masses in humans?

A

0.009%

How well did you know this?
1
Not at all
2
3
4
5
Perfectly
22
Q

What increases the risk of potential implantation after FNA of bladder masses?

A

Large gauge needles (<21g)

multiple pokes

How well did you know this?
1
Not at all
2
3
4
5
Perfectly
23
Q

Nyland et al: Neddle tract implantation TCC, what is the take home?

A

Implantation is rare.

It may happen and there for if resectable then probably try something else.

How well did you know this?
1
Not at all
2
3
4
5
Perfectly
24
Q

Where do cats commonly get TCC?

A

Apex of bladder

How well did you know this?
1
Not at all
2
3
4
5
Perfectly
25
What breed of dog is predisopsed to cranial mandibular osteotomy?
Westies Scotties Cairne 3-7months of age.. look at TMJ to make sure it is not involved
26
TMJ dysplasia is associated with what breeds?
Bassets Irish setters Dashshunds Cockers CKCS
27
What is the difference between true ankalosing and false ankalosing?
True is from pathology in the TMJ False is pathology around the TMJ causing reduction of TMJ movemnent
28
[18F]Fluorobenzylguanidine ([18F-PFBG) is used for what?
Norepiephrine analog and used for imaging pheochromcytoma
29
Cuccovillo et al: target lesions and cytology results, what is the positive predictive value of one target lesion in either the liver or spleen? Multiple lesions?
One target: 74% More than one: 81%
30
Lamb et al: Accuracy of radiographs with IVD protrusion, what was the positive predictive value of the narrowed disc space?
63-71%
31
Lamb et al: Accuracy of radiographs with IVD protrusion, was radiographs accurate enough to attempt surgery on suspected IVDD sites?
No.. not without further imaging
32
Lamb et al: Accuracy of radiographs with IVD protrusion, what are the radiographic signs of intervertebral disc protrusion?
Narrowed intervertebral space Narrowed dorsal articulation Small or opaque intervertebral foramen Calcified material in the vertebral canal Vaccum phenomenon Automyelogram (dural calcification deviated dorsally)
33
Innes et al; changes in the canine stfile post CCL surgery, used the femoropatellar joint space to access cartilage thickness (as seen here) and found that there was a significant correlation... T/F?
True.
34
Innes et al; changes in the canine stfile post CCL surgery, found the biggest change in femoropatellar joint thickness was when?
Between 0 and 7 months.
35
Innes et al; changes in the canine stfile post CCL surgery, what factor influenced this measurement the most between patients?
Body weight.
36
Walker et al: Meniscal ossicles in non-domestic cats, what group of non-domesticed cats were not found to have meniscal ossicles?
Bobcats.
37
Essman et al: intrathoracic peripheral nerve sheath tumor in dog, what species of animal get intrathoracic peripheral nerve shealth tumor? What do they look like?
Cattle...commonly multiple in the cranial mediastinum
38
Essman et al: intrathoracic peripheral nerve sheath tumor in dog, neurogenic tumors make up 20-35% of all mediastinal masses and are classified into three groups that include?
Peripheral nerves Symphathetic ganglia Parasympathetic ganglia
39
Dixie et al; CKCS and TMJ dysplasia, This is commonly a pathologic finding in CKCS...T/F
False... it is commonly incidental
40
Dixie et al; CKCS and TMJ dysplasia, what are common radiographic/CT findings of TMJ dysplasia?
Rostrally located retroarticular processes Misshapen fossa Widening of the joint space Sclerosis of the condylar process.
41
Ballegeer et al: radiographic appearance of bronchoalveolar carcinoma in cats, what were the three main categories?
Mixed bronchoalveolar pattern Ill-defined alveolar mass Mass with cavitation
42
Ballegeer et al: radiographic appearance of bronchoalveolar carcinoma in cats, all cats had some form of what type of disease which may aid in the diagnosis of bronchoalveolar carcinoma?
Bronchial disease which may represent airway metastasis due to the unique characteristic of extension along existing airways and alveolar septa.
43
Ballegeer et al: radiographic appearance of bronchoalveolar carcinoma in cats, what was the most common finding or type of BAC found?
Cavitary mass.
44
Ballegeer et al: radiographic appearance of bronchoalveolar carcinoma in cats, what was the most common metastic site for BAC?
TB lymph nodes
45
Rettenmaier et al: Prevalence of canine hip dysplasia, there was a clinical significance between hip dysplasia between sexes, and between purebred and mixed breed dogs... T/F
False.. no difference.
46
Rettenmaier et al: Prevalence of canine hip dysplasia, what was the most common radiographic manifestation of hip dysplasia after 12 months? Before?
After: DJD Before: Subluxation
47
Lamb et al: Myelography in dogs with myelomalacia, what were the most common radiographic signs of myelomalacia?
Contrast medium infiltratioon into the spinal cord Spinal cord swelling.
48
Magnetic susceptibility can be increased by lengthening the what?
TE
49
Saito et al: MRI features of lissencephaly, what are the imaging characteristics of lissencephaly?
Smooth cerebral surface Thick neocortex No corona radiata
50
Saito et al: MRI features of lissencephaly, what breed is lissencephaly only reported in?
Lhasa Apsos
51
Chordomas are commonly found in what animal and where?
Ferrets in the caudal vertebrae (sacrum)
52
Reichle et al: Renal US, CT and functional testing, what was the difference between normal cats and cats with polycystic kidney disease?
Nothing.
53
Daniel et al: Quantitative thyroid scintigraphy as a predicotr of serum T4, What was the best quantitative parameters that significantly correlated with serum T4?
20mins thyroid:salivary ratio off the most intense of the two lobes All parameters were correlated.
54
Zekas et al: cranial mediastinal cysts in cats, what is the most common consequence of these cysts in cats? Dogs?
Cats are usually asymmetamatic - has cause dyspnea and pleural effusion (rarely) Dogs commonly cause problems and can rupture to create a shit sandwich
55
Schwarz et al: Aortic and cardia mineralization in the dog, what breed is over represented?
Rotties
56
Busoni et al: The magic angle of the DDF, what was the magic angle where the intensity of the DDF continues to increase til it reaches this point?
55 degrees
57
Busoni et al: The magic angle of the DDF, TE in this study was low or high?
Low (15ms)... the higher the TE the less the magic angle
58
Busoni et al: The magic angle of the DDF, how does the magic angle happen?
Tendons are acellular and composed of parallel bundles. This highly ordered structure is thought to restrict motion of water and enhance dipolar interations greatly
59
Busoni et al: The magic angle of the DDF, what parameters of TE and flip angles produce the greatest magic angle?
Low TE High flip angle
60
Busoni et al: The magic angle of the DDF, did extension of the metacarpophalangeal joint help reduce the magic angle?
No... signal intensity was independent of the joint extension.
61
Wallack et al: Accuracy of MRI for estimating intramedullary osteosarc extent, accuracy of MRI was? CT? Rads? Scintigraphy?
1. MRI tends to overestimate the length by 3 +/- 13% 2. Craniocadual rads 4 +/- 26% 3. Scintigraphy overstimates 14 +/- 28% 4. Lateromedial rads 17 +/- 28% 5. CT overestimates 27 +/- 36%
62
Wallack et al: Accuracy of MRI for estimating intramedullary osteosarc extent, what was the best sequence to use?
Sag T1W non-contrast T1W added supplemental info in 2/8 dogs.
63
Vernau et al: Intracranial intra-arachnoid diverticulum; if you see the diverticulum is T1 hyperintense to the CSF?
Hemorrhage. This can cause acute enlargement of the cyst causing late onset of clinical signs.
64
Chun et al: Predictors of response to I131 therapy in hyerpthyroid cats, what was the relationship between the pre-treatment T4 levels and post-treatment levels? What was the relationship between the thyroid:salivary gland ratio and post-treatment T4 levels? And at what time points were these observed?
There was a significant relationship between both the pre-treatment T4 levels and the thyroid:salivary gland ratio, with the post treatment t4 levels AT ALL TIME POINTS from 1 day -1 year post treatment.
65
Chun et al: Predictors of response to I131 therapy in hyerpthyroid cats, what was the relationship between different times of methimazole discontinuation (\>5 days vs \<5 days) in response to treatment?
None. They did not say if the post-treated hypothyroid cats were from the methimazole group and therefore cant confirm the rebound effect causing too much uptake of I131.
66
Delay or irregular ossification of the medial condyle of the femur suggests what?
Epiphyseal dysplasia.
67
Angulation of the femoral metaphysis is characteristic of what?
Epiphyseal dysplasia hemimelic
68
What compartment is commonly affected in epiphyseal dysplasia hemimelica?
Medial
69
Paloni et al: US findings of dogs with intestinal adenocarcinoma, what are the most common primary GI neoplasms in dogs?
Adenocarcinoma Lymphoma.
70
Paloni et al: US findings of dogs with intestinal adenocarcinoma, What was the only characteristic that influence survival time?
Gender...males lasted way longer Only 5/21 were female dogs though
71
Paloni et al: US findings of dogs with intestinal adenocarcinoma, Common ultrasound features associated with intestinal adenocarciinoma?
**1. Complete loss of wall layering (all dogs)** 2. Thickening - transmural circumferential 3. Luminal fluid proximal to the lesion 4. Lymphadenopathy or mesenteric nodules (half) 5. Hypoechoic lesion with irregular lumen.
72
Paloni et al: US findings of dogs with intestinal adenocarcinoma, the majority of lesions were found where?
Small intestines.
73
Paloni et al: US findings of dogs with intestinal adenocarcinoma, most common place to mets to for adenocarcinoma?
Lymph nodes Mesentery
74
Paloni et al: US findings of dogs with intestinal adenocarcinoma, is there a sex prediclect?
Yes.. males are more likely.
75
Hannson et al: LA/Ao ratio using 2D and M-mode US in CKCS, no difference was found between M-mode and 2D measurements in what?
Normal dogs
76
Hannson et al: LA/Ao ratio using 2D and M-mode US in CKCS, with all dogs (normal and with mitral regurg) what was the difference between 2D and m-mode ratios?
2-D was always bigger by around 11%
77
Hannson et al: LA/Ao ratio using 2D and M-mode US in CKCS, what is more sensitive to LA enlargment?
2D ratio
78
Hannson et al: LA/Ao ratio using 2D and M-mode US in CKCS, what are the normal published values for M-mode LA/Ao ratio?
1.0 - 1.6
79
Hannson et al: LA/Ao ratio using 2D and M-mode US in CKCS, what measurement is independent of body weight thuse being a better predictor of atrial enlargement?
2-D
80
Hannson et al: LA/Ao ratio using 2D and M-mode US in CKCS, at what LA/Ao ratio was there the most difference between the 2D and M-mode measurements?
2.0-2.5 (this is an abnormal dog ratio)
81
Lamb et al: Accuracy of radiographs with IVD protrusion, What was the two most accurate signs of disc protrusion?
Narrowed disc space Vaccum phenomenom
82
Lamb et al: Accuracy of radiographs with IVD protrusion, in what size of dog does the spinal cord occupy most of the spinal canal?
little dogs A lot more fat around a large dogs cord
83
Lamb et al: Accuracy of radiographs with IVD protrusion, accuracy of radiographs in findings intervertebral disc protrusion?
51-61%
84
Lamb et al: Accuracy of radiographs with IVD protrusion, what disc spaces are the smallest in beagles in the lumbar spine?
L4-L6
85
Lamb et al: Accuracy of radiographs with IVD protrusion, was there a difference and if so what was it, of little or big dogs and the accuracy of radiographs and disc protrusions?
Nope.
86
Lamb et al: Accuracy of radiographs with IVD protrusion, what regions are predisposed to Hansen type 2 protrusions?
Caudal cervical LS
87