VRU 2017 Flashcards

(132 cards)

1
Q

Which pancreatic lobe is consistently bigger in cats on CT?

A

The left.

How well did you know this?
1
Not at all
2
3
4
5
Perfectly
2
Q

Mean attentuation of a normal cat pancreas on CT? During arterial, portal and delayed?

A

48 HU is normal

79 HU arterial

166 HU portal

126 HU delayed

How well did you know this?
1
Not at all
2
3
4
5
Perfectly
3
Q

Mortier et al: CT findings in dogs with Crenosoma vulpis, what were the four consistent findings in all dogs?

A

Diffuse bronchial wall thickening

Peribronchial ground glass

Consolidation of pulmonary parenchyma

Cylindrical bronchiectasis

How well did you know this?
1
Not at all
2
3
4
5
Perfectly
4
Q

Mortier et al: CT findings in dogs with Crenosoma vulpis, where does crenosoma vuplis live?

A

Trachea, bronchi and bronchioles of canids

How well did you know this?
1
Not at all
2
3
4
5
Perfectly
5
Q

Mortier et al: CT findings in dogs with Crenosoma vulpis, where in N.America is this found?

A

Atlantic Canada

How well did you know this?
1
Not at all
2
3
4
5
Perfectly
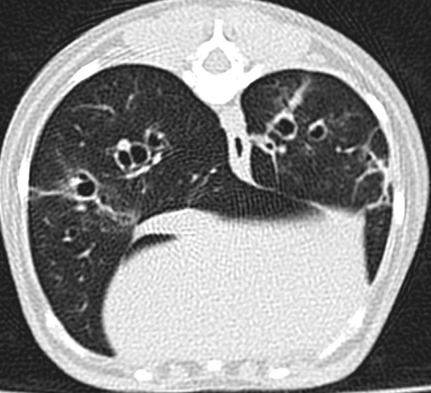
6
Q

What is this representing?

A

Parenchymal bands - Fibrosis of the septa from chronic inflammation

How well did you know this?
1
Not at all
2
3
4
5
Perfectly
7
Q

What causing the reactivation of Toxo in dogs and cats?

A

Immunosuppressants…specifically cyclosporine.

How well did you know this?
1
Not at all
2
3
4
5
Perfectly
8
Q

Specchi et al: Sentinel clot sign in canine; What is the HU range for the sentinel clot sign?

A

43-70 (56 mean)

THE HIGHER THE HU, THE CLOSER THE CLOT IS TO THE SOURCE

How well did you know this?
1
Not at all
2
3
4
5
Perfectly
9
Q

Specchi et al: Sentinel clot sign in canine; What is the HU range for a hemoab?

A

20-45 HU (34 mean)

How well did you know this?
1
Not at all
2
3
4
5
Perfectly
10
Q

Specchi et al: Sentinel clot sign in canine; What is the HU range for high protein fluids??

A

0-15 HU

How well did you know this?
1
Not at all
2
3
4
5
Perfectly
11
Q

Specchi et al: Sentinel clot sign in canine; What if the HUs are above 85 in a “clot” in post contrast images?

A

Think still bleeding and leaking of contrast

Think accidentally including some tissue.

How well did you know this?
1
Not at all
2
3
4
5
Perfectly
12
Q

Pollard et al: Diagnostic outcome of swallowing studies in dysphagic dogs: What were the main areas of dypshagia noted in this cohort of dogs?

A
  1. Lower esophageal sphincter (45%)
  2. Esophageal (45%)
  3. Multiple areas (38%)
  4. Normal study (28%)
  5. Pharyngeal (13%)
  6. Cricopharyngeal (9%)
How well did you know this?
1
Not at all
2
3
4
5
Perfectly
13
Q

Pollard et al: Diagnostic outcome of swallowing studies in dysphagic dogs: Elevated pharyngeal constriction ratio was related to what type of dysphagia?

A
  1. Pharyngeal
  2. Cricopharyngeal
  3. Esophageal

Cricopharyngeal ratio is measured with liquid barium.

Full contraction:Full relaxation

How well did you know this?
1
Not at all
2
3
4
5
Perfectly
14
Q

Pollard et al: Diagnostic outcome of swallowing studies in dysphagic dogs: What is the esophageal/cricopharyngeal bar and what does it represent?

A

Don’t know and was related to abnormal bolus transfer.

How well did you know this?
1
Not at all
2
3
4
5
Perfectly
15
Q

Pollard et al: Diagnostic outcome of swallowing studies in dysphagic dogs: A lower percentage of primary esophageal peristaltic wave was associated with what?

A
  1. Cricopharyngeal
  2. Pharyngeal
  3. Primary esophageal motility
How well did you know this?
1
Not at all
2
3
4
5
Perfectly
16
Q

Pollard et al: Diagnostic outcome of swallowing studies in dysphagic dogs: Delayed upper esophageal sphincter openins was aocciated with what?

A

Cricopharyngeal disorders. - likely neuromuscular related.

How well did you know this?
1
Not at all
2
3
4
5
Perfectly
17
Q

Bush et al: CT characteristics of thyroid glands in hyperthroid cats pre and postmethimazole treatment compare to euthyroid cats: What was the significant difference between pre and post methimazole cats?

A

Thyroids of postmethimazole cats were less heterogeneous and had decrease attenuation.

The size stayed the same which was larger than euthyroid cats. (785mm3 vs 154mm3)

How well did you know this?
1
Not at all
2
3
4
5
Perfectly
18
Q

Bush et al: CT characteristics of thyroid glands in hyperthroid cats pre and postmethimazole treatment compare to euthyroid cats: How does methimazole work?

A

Blocks organification

2-4weeks to achieve full effect

2.5mg q12 to 10mg q12 - size of needed dose correlated with pretreatment thyroid volume.

How well did you know this?
1
Not at all
2
3
4
5
Perfectly
19
Q

Bush et al: CT characteristics of thyroid glands in hyperthroid cats pre and postmethimazole treatment compare to euthyroid cats: What is the normal cats thyroid size? Attenuation?

A

16.5mm x 2mm x 4.3mm (L x W x H)

113mm3 mean lobe

215mm3 mean gland

123 HU normal

65 HU in hyperthyroid cats

How well did you know this?
1
Not at all
2
3
4
5
Perfectly
20
Q

What are DDX for an intraventricular tumor having drop mets?

A
  1. Choroid plexus tumor
  2. Epndymoma
  3. Glioma (oligodendroglioma)
  4. Round cell
How well did you know this?
1
Not at all
2
3
4
5
Perfectly
21
Q

Gendron et al: Pathogenesis of paraesophageal empyema in dogs on CT and rads: Where and what is the mediastinal serous cavity?

A

Extension of the omental bursa into the dorsal caudal mediastinum but separated by diaphragm.

It is to the right of the esophagus between the heart base and diaphragm

Mesothelial cells line the cavity

Created by the right pulmonary vein, right pulmonary ligament and caudal medistinum

MSC on the picture

How well did you know this?
1
Not at all
2
3
4
5
Perfectly
22
Q

Gendron et al: Pathogenesis of paraesophageal empyema in dogs on CT and rads: Define an empyema?

A

Empyema is an accumulation of purulent material in an existing body cavity.

How well did you know this?
1
Not at all
2
3
4
5
Perfectly
23
Q

Watton et al: Malignant vs inflammatory pleural effusion in dogs on CT: What were common features of dogs with malignant pleural effusion?

A
  1. Older
  2. More frequent pleural thickening
  3. Thickening of the parietal pleura only
  4. More marked thickening
  5. Thoracic wall invasion - only in malignant processes

Attenuation, distribution, volume, contrast or lymphadenopathy had no bearing on if it was malignant or not

How well did you know this?
1
Not at all
2
3
4
5
Perfectly
24
Q

Frederik et al: Rad measurements of hoof balance influenced by horse’s stance: The hoof pastern angle was influenced by what change in the horses stance? What joint of that angle was most effected?

A
  • Craniocaudal changes in stance influenced the hoof/pastern axis
  • The distal interphalangeal joint angle was most effected.
How well did you know this?
1
Not at all
2
3
4
5
Perfectly
25
Frederik et al: Rad measurements of hoof balance influenced by horse's stance: **Did the width of the interphalangeal joints or the distal phalanx height change with lateromedial stance variation? Did they change with the angle of the beam?**
NO and No.
26
Specchi et al: Sentinel clot sign on CT: **What is the mean and range of the HUs for the sentinel clot sign? How does that relate to a hemoabdomen?**
Sentinel clot sign - 56 HU (43-70) - **THE HIGHEST ATTENUATING HEMATOMA is expected to be the closest to the bleeding site aka _SENTINEL_ clot sign.. not just a clot. So have to evaluate all the clots** Normal - 34 HU (20-45) So anything above 45 is a clot but may not be the sentinel one.
27
Fuerst et al: CT of 24 dogs with liposarcoma: **what are characteristics that differentiate liposarcs from infiltrative lipomas or lipomas?**
1. All liposarcs contrast enhance 2. Heterogenous internal attenuation 3. Focal areas of fat attenuation (15 HU (-50 - 50 HU) 4. Mineralized foci (23%) So if you see an infiltrative mass, that is mixed attenuating, contrast enhancing and contains at least one focus of fat think liposarc.... you don't need the focus of fat however.
28
Spoldi et al: CT features of adipose masses in dogs and cats: **What are the features that differentiate lipomas from infiltrative lipomas?**
1. Irregular in shape - infiltrative lipomas 2. Hyperattenuating linear components (100%) - Though necrotic lipomas have these as well (70%). The picture shows a necrotic lipoma (left) vs infiltrative lipoma.. the biggest difference is the margins.
29
Spoldi et al: CT features of adipose masses in dogs and cats: **What components were found to differentiate liposarcs from the other 2 types?**
1. Multinodular soft tissue component 2. Regional lymphadenopathy 3. Mineralization 4. Heterogeneous mass 5. Contrast enhancement.
30
Oliphant et al: Midline shift and survival of dogs with MUO: **What was the medial survival for dogs with no shift vs dogs with a shift?**
906 days without a shift and 84 days with a shift - this was **NOT** significant I guess, but clinically relevant. Conclusion was that a midline shift of 0.04 - 0.3cm did not have a shorter survival time. This was the range of shift in this population.
31
Oliphant et al: Midline shift and survival of dogs with MUO: **What was significantly associated with survival?**
1. Age at the time of diagnosis (older was shittier) 2. CSF TNCC
32
Moore et al: Spinal mast cell tumor in dogs: **What were the clinical signs?**
Paraspinal hyperesthesia Subacute progression myelopathy
33
Moore et al: Spinal mast cell tumor in dogs: **What were the characteristics of these lesions?**
Varied 1. **_ALL were extradural with varied distribution_** 1. Epidural 2. Paravertebral 3. Polyostotic Survival depended on grade (high vs low grade scale) but there were only 4 dogs. This can be "mets" from cutaneous or disseminated disease - though primary tumor of the epidural space was noted.
34
Sievert et al: MRI spect findings in dogs with tick-borne encephalitis: **What abnormalities were noted in the dogs with tick-borne encephalitis?**
1. Mild-moderate decreases in N-acetyl aspartate and creatine peaks 2. Mild increases in glutamate/glutamine peaks Europe disease
35
Partlow et al: US characteristics of hair shafts in synovial structures: **What were the characteristics of a hair shaft in synovial structures?**
1. Thin 2. Linear 3. Hyperechoic 4. NO shadow All these horses had a history of lacerations in the past! So this is just a migrating foreign body.
36
Bucy: What effects the outcome of US-guided heat ablation for hyperparthyroid dogs; **What affected the outcome fo heat ablation?**
1. Larger parathyroid nodules 2. Concurrent hypothyrodism They were associated with treatment failure.
37
Bucy: What effects the outcome of US-guided heat ablation for hyperparthyroid dogs; **How successful was heat ablation in this population?**
70% successful.
38
Felumlee et al: Repeatability of GFR determination via 99mTc DTPA: **What was the conclusion of this paper?**
Reliability for GFR measurements were high among experienced readers and variations were limited which did not lead to changes in clinical classification.
39
Felumlee et al: Repeatability of GFR determination via 99mTc DTPA: **What is the predominant source of variation in GFR studies using 99mTc?**
Drawing the ROIs
40
Lablee et al: Comparsion between thoracic rads of thoracic disease in dyspneac rats: **What was the most helpful lesion for differentiating neoplasia and infectious thoracic diseases in rats?**
Cranial mediastinal lesions
41
Lamb et al: CT of dogs with wooden foreign bodies: **What was the sensitivity and specificity of CT when detecting wooden foreign bodies?**
Sensitivity - 80% Specificity - 93%
42
Lamb et al: CT of dogs with wooden foreign bodies: **What were the characteristics of wooden FBs?**
1. Rectanular/linear 2. Median HU of 111HU
43
Lamb et al: CT of dogs with wooden foreign bodies: **What was significantly associated with chronic disease and what was associated with acute disease?**
Chronic 1. Foreign material 2. Cavitary lesions 3. Fat stranding 4. Periosteal reaction Acute 1. Gas in soft tissues
44
Fitzgerald et al: Improving cospicuity of the GI wall using dual energy CECT: **At what time period after CE injection did the mucosal surface enhance of the intestines and stomach?**
30s
45
Fitzgerald et al: Improving cospicuity of the GI wall using dual energy CECT: **What was the conclusion?**
Dual energy CECT can increase the conspicuity of the GI wall and allow you to evaluate the mucosal surface of the stomach and SI.
46
Secrest et al: Comparison of transverse CT excretory urography vs MIP for ectopic ureters in dogs: **What was conclusion of this study?**
This study compare transverse source computed tomographic excretory urography (CTEU) images to two, five, and 10 slab thick MIP images for diagnosing canine ectopic ureters. They found that thin sliced MIP (2-5 slab thick) improved reader confidence significantly - however, no significance in diagnostic accuracy was noted. Having a radiologist read it increased accuracy.
47
Djernes et al: Effects of beam angle and distortion on width of equine thoracolumbar interspinous spaces: **How does beam angle affect the width of interpinous spaces in horses? What was the gold standard for the widths in this study?**
Decreases them as the get further away from focus. This decrease became significant at position +3/-3 spinous spaces from focus Gold standard was dorsal recon of CT.
48
Djernes et al: Effects of beam angle and distortion on width of equine thoracolumbar interspinous spaces: **What is the limit for interspinous space on the lateral projections?**
\<4mm - too narrow
49
Djernes et al: Effects of beam angle and distortion on width of equine thoracolumbar interspinous spaces: **What are the 4 things that affect geometric distortion?**
1. Beam angle 2. Object to plate distance 3. Centering object 4. Source to plate distance
50
Djernes et al: Effects of beam angle and distortion on width of equine thoracolumbar interspinous spaces: **How did interspinous widths change when comparing focus positioned rads and CT on backs with kissing leasions?**
Rads - much small space when compared to CT
51
Soultani et al: Sentinel LN mets in canine mammary tumors using CT indirect lymphography: **What feature showed the highest sensitivity, specificity and accuracy when diagnosing metastatic disease in sentinel lymph nodes?**
1. Absence of opacification or heterogeneous opacification 1 min after CE = highest (93% sen, 100%sp, 98%acc) 2. Having an absolute density of lower than 444 HU in the center of the lymph node (93%sen and 75%sp) 1 ml was injected
52
Soultani et al: Sentinel LN mets in canine mammary tumors using CT indirect lymphography: **What features had the lowests sensitivity and specificity?**
Size and shape
53
Gilmour et al: Single-shot TSE sequence in dogs with myelomalacia: **What ratio was made in this study?**
CSF column: L2 length
54
Gilmour et al: Single-shot TSE sequence in dogs with myelomalacia: **What was the cut off ratio found on SSTSE where, if lower, the dog will likely not develop myelomalacia?**
\<7.4 - unlikey to develop myelomalacia. \>7.4 is indeterminate and may or may not develop myelomalacia This study was done on deep pain neg dogs only.
55
What nerve exists the lumbosacral foramina that is subject to stenosis of the lumbosarcal foramina?
L7
56
Zindl et al: Effects of image plane, patient positioning and foraminal zone on MRI measurements of the canine LS foramina: **What parameters of imaging and positioning caused the LS foramen to be smaller?**
1. Oblique plane acquistion (image showing the difference between standard parasagittal (left) and oblique planes (right)) 2. Extended limb positioning This significance difference became even more stark when you did both together. Oblique plane and extended limb.
57
Espinosa et al: US of lumbosarcal nerves in horses: **What were the characteristics of the ventral nerve roots?**
1. Hyperechoic 2. Linear 3. No significant diameter change was noted between the right and the left.
58
Espinosa et al: US of lumbosarcal nerves in horses: **What differences were found in this study?**
1. L6 nerve in a male were significantly larger than S1 in the youngest group 2. S2 was significantly smaller than L6-S1 regardless of age or sex
59
Bouyssou et al: Radiographic appearance of presumed non-cardiogenic pulmonary edema correlated with cause: **What were the causes of non-cardiogenic pulmonary edema?**
1. Airway obstruction 2. **Direct injury** 3. **Seizures** 4. Systemic disease 5. Drowning 6. **Anaphylaxis** 7. **Blood transfusion**
60
Bouyssou et al: Radiographic appearance of presumed non-cardiogenic pulmonary edema correlated with cause: **What are the characterisitics of non-cardiogenic pulmonary edema?**
1. Peripheral (91%) 2. Symmetric 3. Multifocal 4. Bilateral 5. Mixed (75% for this and all the other above) 6. Dorsal lung (60%)
61
Bouyssou et al: Radiographic appearance of presumed non-cardiogenic pulmonary edema correlated with cause: **If unilateral infiltration what lung lobes were commonly involved?**
Right (85%)
62
Bouyssou et al: Radiographic appearance of presumed non-cardiogenic pulmonary edema correlated with cause: **What etiology commonly caused unilateral, asymmetric and dorsal distribution?**
Postobstructive pulmonary edema.
63
Pelizzone et al: CT features of pseudo-odontomas in prairie dogs: **What type of incisor pseudo-odontomas can cause progressive respiratory obstruction (maxillary vs mandibular)?**
Maxillary Mandibular are clinically silent
64
Pelizzone et al: CT features of pseudo-odontomas in prairie dogs: **What CT features confirms maxillary pseudo-odontomas?** **Image is normal tooth**
1. Hyperattenuating pulp and dentin in the reserve crown and apical zone. 2. Enlargement of apical zone with a globular/multilobular hyperattenuating mass haphazardly arranged, encroaching on midline and growing caudoventrally. 3. Hard palate deformation and loss of palatine bone 4. Common nasal meatus was partially or totally obliterated. Age range between 3-6 years
65
Roels et al: Comparison between sedation and anesthesia in CT of canine pulmonary fibrosis in Westies: **The identification of what pattern was significantly different between sedation and anesthesia?**
1. Extent of ground glass 2. Grading of mosaic pattern
66
Roels et al: Comparison between sedation and anesthesia in CT of canine pulmonary fibrosis in Westies: **What is the picture structure called? What does it represent?**
1. Left picture - Subpleural bands - refers to thin curvilinear opacities, 1-3 mm in thickness, lying less than 1 cm from and parallel to the pleural surface 1. Fibrosis 2. Atelectasis 3. Pulmonary edema 2. Right picture - Parenchymal bands 1. They represent pleuroparenchymal fibrosis 1. Many etiologies: 1. SIRS 2. Asbestosis 3. Fungal etiologies
67
What groups of CT opacities are there?
1. Increased attenuation 1. Ground glass - perservation of bronchial and vascular margins 2. Consolidation 2. Decreased attenuation 1. Mosaic - Patchwork of regions of differing attentuation 1. Patchy interstitial disease 2. Obliterative airway disease 3. Occlusive vascular disease 2. Cyst 3. Emphysema - Focal areas of low attenuation without walls 1. Perivascular emphysema - barotrauma 3. Linear opacities 1. Reticulation - net-like 2. Parenchymal band 3. Subpleural band 4. Honeycombing - clustering of cystic airways, usually subpleural with well-defined walls.
68
Majeski et al: Indirect CT lymphography for iliosacral mapping: **How was the contrast injected? What type and how much?**
Peritumoral 2ml 1:1 diulute IsoVue
69
Majeski et al: Indirect CT lymphography for iliosacral mapping: **What body positioning was recommended? What timing?**
Supported sternal body positioning. 1 min post injection.
70
Majeski et al: Indirect CT lymphography for iliosacral mapping in dogs with AGASACA: **What percentage of dogs had contralateral lymph nodes be the sentinel node?**
33%
71
Bertolini et al: Incidental and nonincidental canine thyroid tumors assessed by CT in 4520 dogs: **What percentage of dogs had incidentalomas? What percent of those were malignant?**
0.75% of dogs had incidentalomas Approximately 71% of those were thyroid carinoma. **So they may be rare but if found sampling should be recommended.**
72
Bertolini et al: Incidental and nonincidental canine thyroid tumors assessed by CT in 4520 dogs: **What was associated with malignancy?**
**_ONLY in malignant_** 1. Mineralization 2. Vascular invasion 3. Tissue invasion Associated with malignancy 1. Intratumoral vascularization
73
Lux et al: Prospective comparsion in staging nasal tumors MRI vs CT: **What differences were seen between MRI and CT?**
1. MRI resulted in larger measurements and tumor volume 2. MRI had a high likelihood of identifying meningeal enhancement
74
Lux et al: Prospective comparsion in staging nasal tumors MRI vs CT:**What are the stages of a nasal tumor?**
1. Stage 1: Tumor is confined to one nasal passage, paranasal sinus, or frontal sinus, with no bony involvement. 2. Stage 2: Any bony involvement, but with no evidence of orbit, subcutaneous, or submucosal mass 3. Stage 3: Involvement of orbit, nasopharynx, or subcutaneous or submucosal mass. 4. Stage 4: Tumor extension into cribriform plate
75
DeJesus et al: MRI features of intraventricular ependymomas in cats: **What age and where do empendymomas commonly occur?**
~8yo (middle age) Most commonly in the lateral or 3rd ventricle (Have been seen in the subarachnoid space, fourth ventricle, mesencephalic aqueduct and central canal) All these cats were in the 3rd ventricle.
76
DeJesus et al: MRI features of intraventricular ependymomas in cats: **What were most these mass on T1?**
Hyperintense - Hyperintensity on precontrast T1W images has been associated with hemorrhage, protein-containing lesions, fat, melanin, vasopressin, cal- cification/mineral, and potentially myelin degradation
77
DeJesus et al: MRI features of intraventricular ependymomas in cats: **All cats had what?**
1. Obstructive hydrocephalus 2. Transtentortial herniation 3. Foramen magnum herniation. These are likely the cause of the patients clinical signs
78
Vernon et al: Vertebral venous system abnormalities identified with MRI in sighthounds: **Where were the majority of the abnormalities?**
Right sided C6-C7 In the Internal plexus, external plexus and intervertebral veins ---NOT in the basivertebral veins Can be incidental or cause pain.
79
Vernon et al: Vertebral venous system abnormalities identified with MRI in sighthounds: **What three structures make up the vertebral venous system?**
1. Internal vertebral venous plexus 1. Surrounds the cord in the epidural space 2. These vessels lie centrally and ventrally, and move laterally and dorsally at the intervertebral foramen 2. External vertebral venous plexus - connected to the internal by intervertebral veins 3. Basivertebral veins They all interweave.
80
Wu et al: US of insulinoma in ferrets: **What were the imaging characteristics of the ferrets in this study?**
1. Hypoechoic 2. Homogeneous 3. Smoothly marginated 4. Split between the right and left lobe... not many (3%) were seen in the body. 5. 20 nodules were removed from 6 ferrets and all were insulinomas (so usually have multiple)
81
Coia et al: Retrospective evaluation of the thoracic CT in dogs with Angiostrongylus vasorum: **Where and what were the primary CT changes noted?**
1. Grond-glass to consolidation 2. Location was pleural to subpleural - not peribronchial Other stuff: Nodules, bronchiectasis, TB lymphadenopathy
82
Mukherjee et al: Phenotyping lumbosacral stenosis in labs using CT: **What region of the LS was most affected by lumbosacral stenosis in this study?**
Cranial L6
83
Mukherjee et al: Phenotyping lumbosacral stenosis in labs using CT: **What was the difference between the cranial aspects and the caudal aspects of L6 and L7 vertebral foramina?**
All four quantative variables were significantly smaller at the cranial aspects than the caudal.
84
Mukherjee et al: Phenotyping lumbosacral stenosis in labs using CT: **What was a significant predictor of lumbosacral stenosis positive status?**
Fat area ratio And Fat area (cutoff of 0.4)
85
Olive et al: Metacarpophalangeal joint injury on MRI - Standardbreds vs thoroughbreds: **The metacarpal condyles are the area known for what injury in racing horses?**
Overload arthropathy - POD lesions.
86
Olive et al: Metacarpophalangeal joint injury on MRI - Standardbreds vs thoroughbreds: **Thoroughbreds developed more what while standardbreds develop what more often?**
Thoroughbreds 1. Stress fractures 2. Subchondral sclerosis 3. Bone marrow lesions Standardbreds 1. More sites of subchondral bone defect 2. More synovitis 3. More Joint capsule thickening. 4. More dorsomedial location of subchondral bone defect
87
Scarpante et al: MRI of leukoaraiosis: **What is this?**
Bilateral, symmetrical WHITE matter lesions identified in brains of elderly humans. T2 hyperintense with no contrast. It is just an age related change.
88
Scarpante et al: MRI of leukoaraiosis: **What is the virchow-robin space?**
It is the space inbetween the vasculature and brain pia that is created when you have a perforating vessel into the brain.
89
Scarpante et al: MRI of leukoaraiosis: **What are the MRI signs of aging?**
1. Decreased size of the interthalamic adhesion 2. Brain atrophy 3. Enlarged ventricles 4. Well-demarcated sulci 5. Leukoaraiosis 1. Bilateral, symmetrical, periventricular T2 hyperintensities that are non-contrast enhancing.
90
Gold et al: Injuries of the sagittal groove on the P1 in warmbloods on MRI: **What is the prognosis for warmblood horses who have sagittal groove injuries on MRI to returning to performance soundness?**
Poor
91
Grimes et al: CT lymphangiography for sentinel lymph nodes of the head in dogs: **What was the common reason for failure of this technique?**
Compression of the lymphatic vessels by the endotracheal tube ties or body weight.
92
Grimes et al: CT lymphangiography for sentinel lymph nodes of the head in dogs: **What time period were most sentinel lymph nodes identified in? What were they injected with and how much?**
3min 1-2ml iohexol Scars of tumors were injected.
93
Rutherford et al: Assessment of CT derviced cricoid cartilage and tracheal dimensions in BCS dogs: **Which breed had the smallest transverse area?**
Pug
94
Rutherford et al: Assessment of CT derviced cricoid cartilage and tracheal dimensions in BCS dogs: **Where was the narrowest point of the trachea and which breed had the narrowest trachea?**
At C4 English bulldogs.
95
Rutherford et al: Assessment of CT derviced cricoid cartilage and tracheal dimensions in BCS dogs: **What two measurements were used in this study?**
Transvere area of the cricoid cartilage and trachea at the level of C4.
96
Rutherford et al: Assessment of CT derviced cricoid cartilage and tracheal dimensions in BCS dogs: **What breeds had a more oval shaped cricoid cartilage?**
Pugs and bulldogs.
97
Adams et al: Thoracic rad changes and association with severity of pulmonary hyertension: **What radiographic findings were significantly associated with increasing pulmonary hypertension?**
1. Right ventricular enlargement (reverse D) 2. 3/5 - 2/5 rule 3. MPA enlargement 4. Caudal lobar artery enlargement by the 3rd rib. 1. The largest visible caudal lobar artery immediately cranial to the first branch and compared to 3rd rib on that side
98
Adams et al: Thoracic rad changes and association with severity of pulmonary hyertension: **How is pulmonary hypertension measured on echo?**
The peak velocity of the tricuspid regurgitant jet - There is alway some regurg but it is trivial - Then use the modified Bernoulli equation to estimate systolic pulmonary arterial pressure. 35-50mmHg = mild 50-75mmHg = moderate \>75mmHg = severe
99
Adams et al: Thoracic rad changes and association with severity of pulmonary hyertension: **The mean radiographic scores of dogs in this study (rating rads for signs of pulmonary hypertension) were significantly different between what groups? What does this tell use?**
Mean radiographic scores were significant between normal dogs and dogs with hypertension... however, the mean scores between different severities of pulmonary hypertension were not different. Therefore... rads are not good at differentiating severity of pulmonary arterial hypertension.
100
Pont et al: MRI features of idiopathic oculomotor neuropathy in dogs: **What were the characteristics (clinical and MRI)?**
1. All dogs were unilateral involvement 2. Half improved without treatment - Half did not improve dispite treatment 3. MRI features were mixed 1. No to marked enlargement 2. No to marked CE which was either focal or diffuse
101
Pont et al: MRI features of idiopathic oculomotor neuropathy in dogs: **What does the oculomotor n. control?**
All external muscles excluding lateral rectus and trochlear. Also controls ipsilateral pupillary constriction through parasympathetic component.
102
Partlow et al: Comparsion US vs Rad in detecting pneumothorax in a horse: **What modality was more sensitive in detecting a small amount of air in the pleural space in a horse?**
US (both 2D and M-mode) Found a pneumo in 50% of the horses with the first 50ml of air Rads took 100ml of air injected to see only 25% of the horses with pneumo Clinical note: They knew where the air was injected and it was injected 2 rib spaces away from the scan zone.
103
Dave et al: Correlation of histopath, cytolgoy and echogencity of LN perinodal fat in cats and dogs: **Perinodal fat was associated with what type of diagnosis?**
Neoplasia and lymphadenitis.... NOT reactive lymph nodes Therefore sampling of lymph nodes with perinodal hyperechoic fat could be considered.
104
Dave et al: Correlation of histopath, cytology and echogencity of LN perinodal fat in cats and dogs: **What type of neoplasia was more likely to have perinodal hyperechoic fat?**
Round cell
105
Dave et al: Correlation of histopath, cytology and echogencity of LN perinodal fat in cats and dogs: **What other characteristics were associated with malignancy in the lymph nodes?**
Greater maximum along axis diameter (cats and dogs) Greater number of abnormal lymph nodes (cats)
106
Masciarelli et al: MRI for differentiation of inflammatory, neoplastic and vascular intradural spinal cord diseases in dogs: **What was the most common etiology found in this study?**
Neoplasia by far Then degenerative myelopathy
107
Masciarelli et al: MRI for differentiation of inflammatory, neoplastic and vascular intradural spinal cord diseases in dogs: **What did this study say about MRI sensitivty and specificity?**
1. Good at finding intradural lesions vs degenerative myelopathy (no lesion) 2. Had a discent time finding intradural neoplasia. 3. . NOT good at finding _intramedullary_ neoplasia or vacular myelopathies
108
Culp et al: Angiographic anatomy of the major abdominal arterial blood supply: **What vessel is the first to come off the aorta in the abdomen? And what does it branch into?**
Celiac Into the left gastric, hepatic and splenic aa.
109
Culp et al: Angiographic anatomy of the major abdominal arterial blood supply: **Where is the celiac commonly located? Cranial mesenteric?**
Celiac at the level of L1 Cranial mesenteric at the level of L2
110
Culp et al: Angiographic anatomy of the major abdominal arterial blood supply: **List the list of arteries, from cranial to caudal, that come off the aorta?**
1. Celiac 1. Left gastric 2. Splenic 3. Hepatic 2. Cr Mesenteric 1. Jejunal 2. Ileocolic a 3. Right colic 4. Middle colic 3. Phrenicoabdominal 4. Renal 5. Ovarian 6. Caudal mesenteric 1. Left colic 2. Cranial rectal 7. Deep circumflex iliac 8. External iliac 9. Internal iliac 10. Median sacral
111
Shields et al: Abnormal imaging of the femoral third trochanter in horses: **What is the prognosis for horse to return to function?**
Less favorable.
112
Carmalt et al: Intraarterial injection iodinated contrast for CECT of equin head: **what adverse reactions were noted?**
None
113
Carmalt et al: Intraarterial injection iodinated contrast for CECT of equin head: **What dose was used and how did it compare to high volume intravenous administration?**
44ml was administered This compared to 240ml and was comparable in contrast enhancement.
114
Jurkoshek et al: Effect of angle slice aquistion on CT cervical veterbral column in GD: **Which part of the spine had different transverse measurements between the two measurement schemes (picture)?**
The cranial aspect of the vertebrae (not the middle or caudal). Likely due to the funnel shape of the affected vertebra. So the author recommends standard imaging protocol for morphometric evaluations.
115
Jorgensen et al: Carpal sheath effusion in horses: **Does this commonly cause lameness and in what age?**
Yes it causes lameness in 75% of horses and mostly in middle to older horses
116
Jorgensen et al: Carpal sheath effusion in horses: **What type of abnormalities were commonly seen, soft tissue vs bone?**
Soft tissue 98% of the time MOST COMMONLY THE SDF or Accessary lig of the SDF.
117
Louvet et al: MRI of liver mets using gadobenate dimeglumine: **What does gadobenate dimeglumine do?**
Selectively uptaked by the liver.
118
Louvet et al: MRI of liver mets using gadobenate dimeglumine: **Did it increase the conspicuity of the liver lesions and what sequence was it seen the best in?**
Yes increased the number Optimal lesion detection occured with 3D-FLASH in transerve less than 30min after injection.
119
Szabo et al: Bronchial wall thickenss to pulmonary artery diameter ratio in dogs... is it accurate: **When was this ratio found to be significantly greater?**
1. In affected dogs vs unaffected dogs 2. IN the cranial lungs vs the caudal
120
Szabo et al: Bronchial wall thickenss to pulmonary artery diameter ratio in dogs... is it accurate: **What is the ratio recommend and what is the sens and spec?**
**\>0.6** is 77% sens and **100% specific** for chronci bronchitis in the CRANIAL lung lobes
121
US elastography of the liver, spleen, kidneys and prostate in normal dogs: **What are the four types of elastography and how are they used?**
1. **Strain** - elasticity is measured under strain from a external compressive force using the US probe or pulsation - THIS IS encoded as a color-map over a B mode image - THIS IS Operator dependent and an egg shell effect can happen where the outer margins of a lesion are hard and therefore does not allow strain to be transferred internally. 2. Tension 3. Transient 4. Shear-wave - Focused acousted radiation force from a **linear probe...** A low freq pulse is produced and propagated through a tissue...This creates shear waves through the tissue at a perpendicular angle (think of the low freq impulse as a stone and the waves in the water as the shear waves)... a high freq wave follows and maps how fast the shear waves are propagating (shear waves are 1000x slower and attenuate 10000x faster). Relationship between shear velocity and shear modulus are expressed in a color bar.
122
What is the suggestive thickness of interthalamic adhension height that suggests brain atrophy?
\<5.0
123
Provencher et al: Evaluation of oseous associated cervical spondylomyelopathy in dogs using kinematic MRI: **What position of the head was noted to cause significantly more compressive lesion in the cervical spine of dogs effected with bony wobblers?**
Extended positioning This also made the sites of noted compression worse.
124
Provencher et al: Evaluation of oseous associated cervical spondylomyelopathy in dogs using kinematic MRI: **What site in the cervical region was most affected by extension of the cervical spine?**
C4-C5
125
Thierry et al: Further characterization of CT in idiopathic pulmonary fibrosis in Westies: **Severity of pulmonary changes on CT was positively correlated with what and negatively correlated with what?**
Positively correlated with - clinical signs Negatively correlated with - prognosis
126
Thierry et al: Further characterization of CT in idiopathic pulmonary fibrosis in Westies: **What CT characterist was associated with mild degree of severity vs moderate?**
Mild - Ground glass Moderate - Mosaic or reticular.
127
Gold et al: injuries of the sagittal groove in warmbloods: **Where are POD lesions commonly at?**
Dorsomedial aspect of the metacarpal/metatarsal bone because it is where the weight is.
128
Gold et al: injuries of the sagittal groove in warmbloods: **what is the prognosis for horses returning to work after an injury to the sagittal groove of P3?**
Poor... only 30%
129
Honby et al: Does the CT appearance of the lung differ between young and old dogs?: Does it?
Old dogs have more heterotopic bone and more prone to lung lobe collapse Otherwise.. nope.
130
Housley et al: Evaluation of T2W vs STIR sagittal sequences in identification and localization of canine intervertebral disc extrusion: **What did this study find?**
That STIR-sag is capable of identifying intervertebral disc extrusion that is inconspicuous in T2-Sag images and therefore should be a useful adjunctive sequence during preliminary sagittal screening So do STIR if you don't find anything.
131
Keyserling et al: Evaluation of thoracic rads as screening test for dogs and cats admitted with noncardiopulmonary disease: **What bloodwork abnormality was significantly associated with an abnormal screening thoracic radiograph in dogs? Cats?**
Dogs - Higher lactate Cats - Lower PCV
132
Keyserling et al: Evaluation of thoracic rads as screening test for dogs and cats admitted with noncardiopulmonary disease: **What percentage of the population had abnormal screening thoracic radiographs and how many had their treatment plans changed due to this abnormal finding?**
32. 5% had abnormal screening rads 6. 5% had their treatment plans changed.