VRU 2015 Flashcards

(127 cards)

1
Q

Does water increase or decrease the visibility of the nasal turbinates on CT?

A

Decrease significantly

How well did you know this?
1
Not at all
2
3
4
5
Perfectly
2
Q

What type of kernal showed the best visibility of nasal turbinates in an aerated nasal slab?

A

High frequency (bone)

How well did you know this?
1
Not at all
2
3
4
5
Perfectly
3
Q

What type of kernal showed the best visibility of nasal turbinates in a canine water-filled nasal slab?

A

Medium frequency (H50) —- this was equal to a high frequency kernal in cats

How well did you know this?
1
Not at all
2
3
4
5
Perfectly
4
Q

Britany et al: Radiographic appearance of dorsal tracheal membran in large/small dogs, A dorsal tracheal membrane occupies more of the tracheal lumen in what other disease process?

A

Tracheal collapse

How well did you know this?
1
Not at all
2
3
4
5
Perfectly
5
Q

Kaye et al; CT, Rad, Endoscope of tracheal dimensions in English bulldog, What is the trachea diameter:Third rib ratio?

A

<2.0 is considered hypoplastic

How well did you know this?
1
Not at all
2
3
4
5
Perfectly
6
Q

Kaye et al; CT, Rad, Endoscope of tracheal dimensions in English bulldog, Where was the trachea the narrowest in all modalities?

A

Thoracic inlet

How well did you know this?
1
Not at all
2
3
4
5
Perfectly
7
Q

Kaye et al; CT, Rad, Endoscope of tracheal dimensions in English bulldog, What measurement correlated and which ones didn’t?

A

CT and rads tracheal diameter: thoracic inlet correlated

CT and rads tracheal diameter:3rd rib DID NOT correlate

Endoscopic evaluation DID NOT correlate with anything

How well did you know this?
1
Not at all
2
3
4
5
Perfectly
8
Q

Kaye et al; CT, Rad, Endoscope of tracheal dimensions in English bulldog, CT measurements were on average how much greater than rads?

A

19%

How well did you know this?
1
Not at all
2
3
4
5
Perfectly
9
Q

Kaye et al; CT, Rad, Endoscope of tracheal dimensions in English bulldog, mean CT Tracheal diameter:Thoracic inlet and Tracheal diameter:3rd rib were?

A

TD:TI = 0.26 (previous 0.12)

TD:3rd rib: 2.27 (previous 2.0)

How well did you know this?
1
Not at all
2
3
4
5
Perfectly
10
Q

Mai et al: CT and MRI features of paragangliomas dogs, what was the most commonly affected breed and why?

A

Boston Terrier - likely brachycephalic

How well did you know this?
1
Not at all
2
3
4
5
Perfectly
11
Q

Mai et al: CT and MRI features of paragangliomas dogs, what were the contrast characteristics of these masses?

A

Strong and heterogeneous contrast enhancement on both CT and MRI

How well did you know this?
1
Not at all
2
3
4
5
Perfectly
12
Q

Mai et al: CT and MRI features of paragangliomas dogs, the majority of the dogs saw the mass invade surrounding structures… which ones?

A

Base of the skull - 6/16

External carotid artery entrapment - 7/16

Invasion into the ICA - 3/16

Invasion into external jugular, maxillary and linguo-facial - 1/16

How well did you know this?
1
Not at all
2
3
4
5
Perfectly
13
Q

Mai et al: CT and MRI features of paragangliomas dogs, What are the characteristics of these masses?

A

Large

Centered around the carotid bifurcation

Strong heterogeneous contrast enhancement

Invasion into surrounding tissues (base of the skull, ICA, jugular vein)

Entrapment of the external carotid.

How well did you know this?
1
Not at all
2
3
4
5
Perfectly
14
Q

Mai et al: CT and MRI features of paragangliomas dogs, Where else can carotid body tumors lurk?

A

Jugulo-tympanic

How well did you know this?
1
Not at all
2
3
4
5
Perfectly
15
Q

Mai et al: CT and MRI features of paragangliomas dogs, what percentage does it mets too and where does it have a apparant predisposition?

A

30% mets with predisposition to vertebrae

How well did you know this?
1
Not at all
2
3
4
5
Perfectly
16
Q

Mai et al: CT and MRI features of paragangliomas dogs, what are differentials for tumors in this region?

A

Ectopic thyroid tumore

Parathyroid carcinoma

How well did you know this?
1
Not at all
2
3
4
5
Perfectly
17
Q

Mai et al: CT and MRI features of paragangliomas dogs, what are common neurologic signs associated with paragangliomas?

A

Horner’s

Facial nerve paralysis

Hypoglossal nerve deficits

How well did you know this?
1
Not at all
2
3
4
5
Perfectly
18
Q

Johnson et al: MRI features of inflammatory versus neoplastic medial retro LN in cats/dogs, What MRI characteristics of MRLN are more commonly seen in inflammatory lesions?

A

Perinodal contrast enhancement (66% PPV and 69% NPV)

Local muscle contrast enhancement (77% PPV and 72% NPV)

How well did you know this?
1
Not at all
2
3
4
5
Perfectly
19
Q

Johnson et al: MRI features of inflammatory versus neoplastic medial retro LN in cats/dogs, What MRI features were more common in neoplastic lesions?

A

Greater width and height.

How well did you know this?
1
Not at all
2
3
4
5
Perfectly
20
Q

Johnson et al: MRI features of inflammatory versus neoplastic medial retro LN in cats/dogs, What clinical characteristics are more likely seen in inflammatory disease?

A

Young animal

Lethargy

Pyrexia

Neck pain.

Leukocystosis

How well did you know this?
1
Not at all
2
3
4
5
Perfectly
21
Q

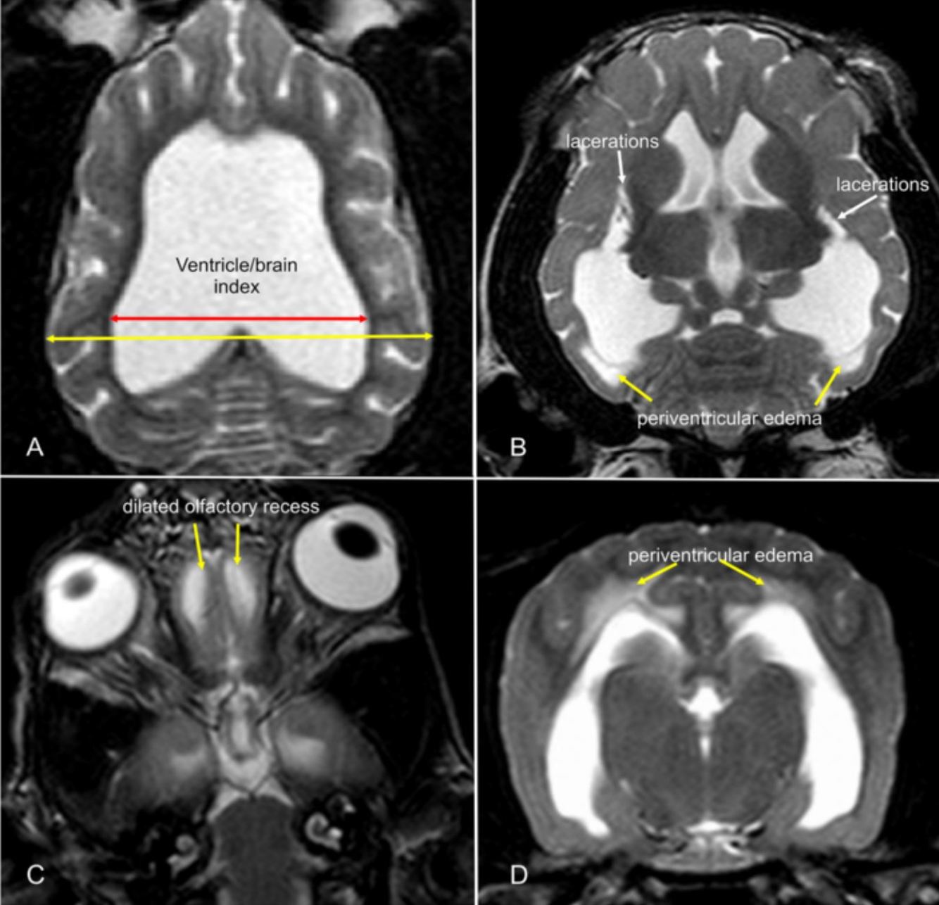
What are the MRI characteristics of clinically relevant internal hydrocephalus vs asymptomatic ventriculomegaly?

A

Ventricle/brain index >0.6 with an elevated corpus callosum

Flattening of the interthalamic adhesion

Periventricular edema

Dilation of the olfactory recess

Thinning of the cortical sulci/Subarachnoid space

Disruption of the internal capsule adjacent to the caudate nucleus

**Deminished suprasellar cistern** not part of it but there.

How well did you know this?
1
Not at all
2
3
4
5
Perfectly
22
Q

What are some clinical signs of hydrocephalus?

A

Blindness

Attitude change.

Ataxia

Vestibular dysfunction.

How well did you know this?
1
Not at all
2
3
4
5
Perfectly
23
Q

What is a unique imaging characteristic of an abscess and why is it made?

A

The unique capsule that is T1 hyperintense and T2 hypointense… created by free radicals in the WBC in this region.

How well did you know this?
1
Not at all
2
3
4
5
Perfectly
24
Q

What is a cholesteatoma?

A

Keratinizing mass secondary to chronic otitis media - same as an epidermoid cyst

How well did you know this?
1
Not at all
2
3
4
5
Perfectly
25
Vander Hart et al: Initial right or left lateral recumbency on abdominal rads: **What lateral projection was it more significantly likely to have duodenal gas on the subsequent VD and right lateral projection?**
Placed in **_left lateral first_** was more significant to have duodenal gas This made pseudoulcers commonplace to be seen (image).
26
Vander Hart et al: Initial right or left lateral recumbency on abdominal rads: **what are three signs noted in duodenum that is effected by pancreatitis?**
1. Lateral displacement of the duodenum 2. Widening of the pyloroduodenal angle 3. Abnormal gas distention of the duodenum
27
Tamura et al: CT myelogram and MRI evaluating intradural discs: **What modality was the best in finding intradural discs and correctly idenifying their location as intradural?**
CT myelogram 1. Leakage of contrast suggesting dural tear 2. Golf-tee sign 3. Filling defect
28
Pollard et al: Prevlaence of incidental thyroid nodules on dogs with hypercalcemia: **What percentage of dogs had thyroid nodules?**
15% ## Footnote 1. Thyroid cysts 2. Thyroid adenoma 3. Thyroid adencarcinoma 4. Nodular hyperplasia
29
Pollard et al: Prevlaence of incidental thyroid nodules on dogs with hypercalcemia: **What was the mean size of the thyroid nodule?**
1.5cm x 1.0cm 0.75cm
30
Pollard et al: Prevlaence of incidental thyroid nodules on dogs with hypercalcemia: **What is this study saying?**
Thyroid nodules can be present in hypercalcemic dogs.
31
Peterson et al: Thyroid scintigraphy in 2096 cats with hyperthyroidism: **The majority (\>96%) had thyroid:salivary and thyroid:background ratios of what?**
\>1.5 T:S \>6.1 T:B
32
Peterson et al: Thyroid scintigraphy in 2096 cats with hyperthyroidism: **The majority of cats had what type of disease; unilateral, bilateral symmetric, bilateral asymmetric or multifocal?**
Bilateral (63%) with bilateral asymmetric around 50% Multifocal ~4%
33
Peterson et al: Thyroid scintigraphy in 2096 cats with hyperthyroidism: **What percentage of cats had carcinoma and ectopic thyroid disease?**
Ectopic - 4% Carcinoma - 2%
34
Parzefall et al: Prevalence of small tympanic spicules in the middle ear of dogs: **What percentage of hyperostotic tympanic bone spicules was seen on CT?**
50% in random necropsy dogs 20% on retrospective study
35
Parzefall et al: Prevalence of small tympanic spicules in the middle ear of dogs: **What are hyperostotic tympanic bone spicules and where do they arise from?**
Likely physiological bone growth in the septum bullae and represent osseous proliferation of small tympanic bone spicules.
36
Mesquita et al: CT findings withi eosinophilic bronchopneumopathy; **What are the CT signs of Eosinophilic bronchopneumopathy?**
1. Lung parenchymal lesions 2. Bronchial wall thickening 3. Bronchial plugging 4. Lymphadenopathy (60%) 5. Bronchietasis 6. Pulmonary nodules One dog had a big mass.
37
Mesquita et al: CT findings withi eosinophilic bronchopneumopathy; **What parasite should be looked for in dogs that can mimic this?**
Angiostronglyus vasorum Also, heartworm as occult heartworm can cause this!
38
Mesquita et al: CT findings withi eosinophilic bronchopneumopathy; **what are the signs on CT of bronchiectasis?**
Lack of tapering of the bronchial lumen Bronchi within 1.0cm of the lung margin Bronchoarterial ratio \>2.0
39
Mesquita et al: CT findings withi eosinophilic bronchopneumopathy; **what are the types of bronchiectasis?**
1. Cylindrical 2. Saccular 3. Varicose (segmental)
40
Mesquita et al: CT findings withi eosinophilic bronchopneumopathy; **what is the age range in this study?**
7mo - 11years (4 year was the mean)
41
Lim et al: US features of the uterus masculinus in dogs: **What is another word for uterus masculinus and what is it a remnant of?**
Persistent mullerian duct It is a remnant of the paramesonephric duct
42
Lim et al: US features of the uterus masculinus in dogs: **What are the clinical signs?**
Dysuria, incontinuence, tenesmus and urehtral obstruction.
43
Lim et al: US features of the uterus masculinus in dogs: **Where does the uterus masculinus exist? Some pathophysiology.**
It passes through the **_craniodorsal aspect of the prostate_** and enters the prostatic urethra via the colliculus seminalis. It can be seen as a single or bi-horned structure at the craniodorsal aspect of the prostate. The Testes produce anti-mullerian hormone produced by the sertoli cell.
44
Lim et al: US features of the uterus masculinus in dogs: **Concomitant prostatomegaly and UTI was seen in how many dogs?**
84% - Prostatomegaly 50% - UTI
45
What is this?
Bi-cornual uterus masculinus
46
Di Ianni et al: Diagnostic sensitivity of US, Rad, CT for gender determination of lizards: **What is the best modality to sex (identify the hemipenes) in lizards?**
CT using contrast in the cloaca 100% Rads was next 95%
47
Gregori et al: Comparison of CT adrenal neoplasia in dogs: **What neoplasia was associated with invasion?**
Pheochromocytoma
48
Gregori et al: Comparison of CT adrenal neoplasia in dogs: **What does peripheral contrast enhancment on delayed CT images associated with? What about heterogenous contrast patten?**
Peripheral CE - fibrous encapsulation Heterogeneous pattern - associated with hemorrhage and infarct
49
Nakamura et al: CEUS in pancreatic insulinomas: **CEUS reliably did what with the pancreatic nodules?**
Reliably increased conspicuity
50
Nakamura et al: CEUS in pancreatic insulinomas: **The contrast pattens of the 3 nodules were what?**
Variable - 1 = marked hyperechoic for 5s 2 = slightly hyperechoic for 1s 3 = clearly hypoechoic for over 30s SO only good to find the lesion.
51
Nakamura et al: CEUS in pancreatic insulinomas: **What was seen in all nodules?**
A hyperechoic/contrast enhancing vessel (crossing or circumferential)
52
Foster et al: Prevalence of ear disease in dogs on CT: **What percentage of dogs had CT lesions consistent with external ear disease (mineralization, external canal thickening/ narrowing of the external canal)?**
82%
53
Foster et al: Prevalence of ear disease in dogs on CT: **What percentage of dogs had CT lesions consistent with otitis media (Soft tissue attenuatin/fluid material in the tympanic bullae, bulla wall thickening or lysis/ periosteal proliferation of the temporal bone)?**
20% --- on 13% had histories or physical exams consitent with this.
54
Bazelle et al: MRI characteristics of fourth ventricle arachnoid diverticula in dogs: **What were the findings on MRI?**
1. Obstructive hydrocephalus with all ventricles dialated 2. Compression of the cerebellum and brainstem 3. Syringohydromyelia 4. Signal void in the mesencephalic aqueduct consistent with increased flow velocity
55
Bazelle et al: MRI characteristics of fourth ventricle arachnoid diverticula in dogs: **What is the arrow pointing to?**
Membrane of the diverticulum
56
Bazelle et al: MRI characteristics of fourth ventricle arachnoid diverticula in dogs: **What was the outcomes for the dogs?**
All were euthanized 4/6 were euthanized after surgery due to reoccurance of clinical signs
57
Bazelle et al: MRI characteristics of fourth ventricle arachnoid diverticula in dogs: **Why are these findings unique?**
Becausse intracranial arachnoid diverticula are mainly found in the quadrigeminal cistern.
58
Bazelle et al: MRI characteristics of fourth ventricle arachnoid diverticula in dogs: **How did all the dogs present?**
Cervical pain.
59
What is the definition of anisotrophy and isotrophy?
Anisotrophy means differences (ie intensities) in different directions Isotrophy - No variation in an direction you go.
60
Young et al: Comparison of two fat-supressed MRI pulse sequences in detection of dogs with inflammatory disease: **What sequences were compared?**
T2W STIR T2W FLAIR with chemical fat suppression
61
Young et al: Comparison of two fat-supressed MRI pulse sequences in detection of dogs with inflammatory disease: **What did STIR imaging excel at?**
Relative contrast between gray and white matter so this might be favored for enhanced anatomic contrast depiction in brain imagine
62
Young et al: Comparison of two fat-supressed MRI pulse sequences in detection of dogs with inflammatory disease: **What did it say about the T2 FLAIR Fat Sat image?**
There was no statistical difference in the relative sensitivity of lesions detected and therefore there is no benefit of inclusion of a fat-suppressed T2 FLAIR sequence
63
Wall et al: Sensitivity of rads, US and MRI in detecting OCD in dogs: **what modality was the best for finding OCD?**
MRI - 3.2x more likely than US and 2x more likely than radiography to find the correct diagnosis.
64
Wall et al: Sensitivity of rads, US and MRI in detecting OCD in dogs: **What was the best sequence?**
T2 sagittal PD - Fat Sat Sagittal
65
Wall et al: Sensitivity of rads, US and MRI in detecting OCD in dogs: **what were the most helpful radiographic projections?**
Supinated mediolateral Pronated mediolateral
66
What is the likely differential and how is it cause?
Sclerosing-ecapsulating peritonitis Caused by inflammation, blunt trauma, GI FB, neoplasia, fiberglass ingetion, leishmaniasis, IDIOPATHIC
67
Heng et al: US colonic muscularis hyerechoic band paralleling the serosal layer: **What is this hyperechoic band in the colon represent histopathologically?**
Fibrous tissue in the myenteric plexus or tunica muscularis Non-pathologic - just a structure
68
Arrsvold et al: CT findings in cats with primary pulmonary neoplasia: **What was the most common presentation?**
Anorexia Cough
69
Arrsvold et al: CT findings in cats with primary pulmonary neoplasia: **Where were these commonly located?**
Caudal lungs (right more often)
70
Arrsvold et al: CT findings in cats with primary pulmonary neoplasia: **Characteristics of primary pulmonary tumors?**
1. Mass lesion 2. Contact with visceral pleura 3. Irregular margins 4. Well-defined borders 5. Bronchial compression 6. Gas- containing cavities 7. Foci of mineral attenuation
71
Arrsvold et al: CT findings in cats with primary pulmonary neoplasia: **What percentage of cats had mets?**
53% - higher than expected. 30% had pleural effusion 12% had pulmonary thrombus Most were adenocarcinomas
72
Bentley et al: MRI features of solitary CNS coccidioides granulomas: **Coccidioides commonly presents in cats how? In dogs how?**
Cats - Derm and diseminated infectious Dogs - pulmonary and osteomyelitis
73
Bentley et al: MRI features of solitary CNS coccidioides granulomas: **How can you tell the difference between coccidiodes granulomas and neoplasia?**
You can't. There are no diffinative charactics of coccidioides.
74
Blume et al: Accuracy of radiographic detection of the craniodorsal margin of the sacrum in dogs: **What age was there more accuracy in identifying landmarks?**
Juveniles
75
Blume et al: Accuracy of radiographic detection of the craniodorsal margin of the sacrum in dogs: **What was the accuracy of the observers?**
Fair.. not the best
76
Blume et al: Accuracy of radiographic detection of the craniodorsal margin of the sacrum in dogs: **GSD are how many more times likely to develop cauda equina syndrome?**
8 times Due to transitional vertebra, OC of the lumbosacral junction, premature degeneration of the L7-S1 disc Increased
77
Ella et al: Early postoperative MRI findings in brain tumor removal: **What were the common findings?**
1. Abnormal meningeal enhancement 2. Linear enhancement at margins of the resected cavity 3. Hemorrhage 4. Thin rim of hyperintesity surrounding the sesection cavity on DWI
78
Nevins et al: US and clinical findings in cats with urethral obstruction: **What were the common US findings related to urethral obstructions in cats?**
1. Echogenic urine sediment 2. Bladder wall thickening 3. Pericystic effusion 4. Hyperechoic pericystic fat 5. increased urinary echos 1. Pyelectasia 2. Renomegaly 3. Perirenal effusion and hyperechoic fat 4. Ureteral dilation
79
Nevins et al: US and clinical findings in cats with urethral obstruction: **What associations were found in this study?**
No findings were associated with increased risk of reobstruction Perirenal effusion was associated with severe hyperkalemia
80
Hobbs et al: US features of GIST compared to other GI spindle cell tumors: **What are common features of GISTs that differentiate them from other GI spindle cell tumors (leiomyosarcomas, sarcomas, leiomyomas)?**
Peritoneal effusion Cecum location
81
Kaye et al: CT, rads and endoscopic tracheal dimensions in english bulldogs: **what is the previously published criteria for the radiographic diagnosis of hypoplastic trachea in english bull dogs?** **What about nonbrachycephalic dogs and brachycepahlic breeds (TD:TI)?**
Tracheal diameter:tracheal inlet ratio: \<0.12 Tracheal diameter:3rd rib diameter ration - \<2.0 Brachycephalic = 0.16 Nonbrachycephalic = 2.0
82
Kaye et al: CT, rads and endoscopic tracheal dimensions in english bulldogs: **CT measurements were on average what compared to radiographs?**
Greater in size by 19%
83
Kaye et al: CT, rads and endoscopic tracheal dimensions in english bulldogs: **Where was the narrowest portion of the trachea?**
Thoracic inlet
84
Kaye et al: CT, rads and endoscopic tracheal dimensions in english bulldogs: **What radiographic and CT ratio correlated, and which ones didn't?**
TD:TI correlated TT:3R did not (TT = height of trachea at the level of the mid-point between the carina and thoracic inlet)
85
Kaye et al: CT, rads and endoscopic tracheal dimensions in english bulldogs: **Does CT and rad measurements correlate with tracheoscopic measurements?**
No
86
Granger et al: Variabilty in the US appearance of normal dogs compared to Cushing dogs: **What differences were found?**
Pancreatic hyperechogenicity was significantly related to Cushing's disease. DDX: Chronic panc
87
Szabo et al: CT bronchial wall thickness to pulmonary artery diameter ratio: **What is the suggested ratio for the cranial lung lobs as a cut off for predicting chronic bronchitis?**
\>0.6 of the CRANIAL lung lobes = presence of chronic bronchitis in _dogs_
88
Szabo et al: CT bronchial wall thickness to pulmonary artery diameter ratio: **Which lung lobes had significantly higher ratios in both dogs with chronic bronchitis and unaffected dogs?**
The cranial lobes had greater ratios than the caudal lungs
89
Masseu et al: Comparison of lung attenuation and heterogeneity between cats with asthma and normal cats: **What technique was used to discriminate between asthmatic cats and healthy cats?**
Inspiratory breath hold Showed subjective increase heterogeneity and lung attenuation Objective increase in lung volume and heterogeneity was NOT seen.
90
Goulet et al: Rads of dorsal hoff wall layers in normal horses: **What layers make up the superficial radiographic layer on radiographs and what makes up the deep layer?**
Superficial layer - Makes up around 65% of normal dorsal hoof wall. 1. Stratum externum (tectorium) 2. Stratum medium Deep layer: 1. Stratum internum (lamellatum) 2. Dermis parietis (corium)
91
Kawalilak et al: Use of contrast CT to study cranial migration of lumbosacral injectate (epidurals for pain): **What amount (dose) of contrast was found to likely reach the TL junction and therefore be adequate for providing pain relief?**
0.2ml/kg
92
Uosyte et al: Effects of fluid and CT technical factors on conspicuity of canine feline nasal turbinates: **what frequency kernel provided the best turbinate visibility when the nasal cavity was filled with air? What about water?**
Medium frequency kernel for water filled nasal slabs High frequency for aerated nasal slabs Scanning mode or filter application had no effect on the turbinat visibility
93
Grosso et al: Caudal aberrant nasal turbinates in clinically healthy english bulldogs: **What percentage of English bulldogs with _no clinical signs of BAS_ has caudal aberrant turbinates? (Picture is normal)**
100% with most being mild to moderate. This shows that aberrant nasal turbinates are very prevalent but not always clinically relevant. No effect of age, gender or weight. Picture of aberrant turbinates.
94
What is cavernous transformation of the portal vein?
Hepatopetal flow around the protal vein in order to bypass an obstruction
95
Specchi et al: CT and US characteristics of Cavernous transformation of the obstructed portal vein in small animals: **What are reasons for portal thrombi in dogs?**
1. Hepatic disease 2. Abdominal surgery 3. Immune mediated disease 4. Pancreatitis 5. SIRs 6. DIC 7. Steriods
96
Specchi et al: CT and US characteristics of Cavernous transformation of the obstructed portal vein in small animals: **What is the difference between cavernous transformation and portosystemic collateral shunts?**
Cavernous transformation is formed with hepatopetal (towards the head) flow Collateral portosystemic shunts formed with hepatofugal flow (towards the feet) and occur with portal hypertension.
97
Specchi et al: CT and US characteristics of Cavernous transformation of the obstructed portal vein in small animals: **What are the two main portoportal collateral pathways identified?**
1. Short tortuous portoportal veins - inside or around the thrombus 2. Long portoportal collaterals - bypassing the site of portal obstruction 1. Pancreaticoduodenal vein to right/left portal branch 2. Gallbladder/cystic duct/choledocal veins to portal branches 3. Splenic vein to left portal branch
98
Specchi et al: CT and US characteristics of Cavernous transformation of the obstructed portal vein in small animals: **What artery was commonly involved with collateral circulation?**
Hepatic artery.
99
Steffey et al: CT penumocolonography in dogs: **What was the optimal insufflation pressure for maintaining a pneumocolon in this study?**
20mmHg Differences in mean cross-sectional area, diameter and bowel wall thickness under increasing pressure were NOT significant.
100
Kirberger et al: Triple phase CT characteristics of spirocerosis induced esophageal nodules - neoplastic vs non: **What were the differences between neoplastic and non-neoplastic masses created by spirocercosis in this study?**
Non-neoplastic 1. Smooth 2. Non-mineralized 3. Hypoattenuating necropurulent centers 4. Significantly more perfused with difference being up to 23 HU Neoplastic 1. Irregular surface 2. Mineralized foci (93%) 3. Rarely had hypoattenuating pockets. 4. Under/hypoperfused sarcomas
101
Kirberger et al: Triple phase CT characteristics of spirocerosis induced esophageal nodules - neoplastic vs non: **What stage of contrast enhancement was the difference between the hypoperfused sarcomas and the hyperperfused non-neoplastic mass most marked?**
Early and late arterial phases.
102
Oura et al: Valentine-shaped cardiac silhouette in feline thoracic rads: **What is this shape primarily due to?**
Left atrial enlargement
103
Oura et al: Valentine-shaped cardiac silhouette in feline thoracic rads: **What affect does right heart enlargement have on the shape of the heart on VD rads in cats?**
It does not make a valentine shaped heart - no effect However, if there is already left-sided enlargement than it will make the valentine-shaped heart bigger.
104
Oui et al: Measurements of the pulmonary vasculature on thoracic rads: **What method had the highest snesitivity and specificity when predicting mitral regurgitation?**
Right caudal pulmonary vein:accompaying pulmonary artery ratio.
105
Oui et al: Measurements of the pulmonary vasculature on thoracic rads: **What cut-off was purposed when applying the 9th rib criterion when assessing the right caudal pulmonary vein when differentiating healthy dogs from those with mitral regurgitation?**
1.22 x the diameter of the ninth rib.
106
Lamb et al: Diagnostic accuracy of tests based on radiologic measurements: **What is the evidential fortitude ffor radiologic measurements?**
Evidence for objective measurments is weak. Subjective and objective measurements are similar in accuracy.
107
Hammond et al: T2\* in the spine of dogs and cats: **when was a T2\* sequence most useful?**
Ambiguous lesions on standard imaging Intramedullary lesions Allows improved delineation of extradural material and more narrow list of DDX for intramedullary lesions.
108
Hammond et al: T2\* in the spine of dogs and cats: **What is different between a T2 and T2\* sequence?**
T2 has a 180º refocusing pulse to null inhomogeneities so loss of transverse magnetization is due to spin-spin interaction. T2\* does not and therefore the result of transverse magnetization loss is due to both spin-spin interactions AND dephasing caused by local inhomogeneities.
109
Hammond et al: T2\* in the spine of dogs and cats: **what commonly surrounded the material in the extradural space on T2\* that helped distinguish cord from material?**
Hypointense rim around the material.
110
Ledda et al: MDCT patterns of bronchoeshageal artery hypertrophy and systemic to pulmonary fistulas in dogs: **What patterns were noted in this study?**
Pattern 1 - left bronchoesophageal artery normal branched from the dorsal intercostal artery or the descending aorta (between T5-T8) but was LARGER than normal as were the bronchila and esophageal branches which formed a dense network around the trachea and caudal esophagus. A vessel arised from this shit show and attached to the left or right pulmonary artery. The right bronchoesophageal artery arose from the brachiocephalic trunk to anastomose with the shit show. ---- **_No lung disease was seen associated with this pattern._** Pattern 2 - Left and right bronchi branches of bother bronchoesophageal ateries had normal origins at T5-T8 but were prominent. They followed a tortous path along the bronchi and then anastomosed with subsegmental pulmonary arteries... Some protureded into the bronchial lumen. **_All dogs had lung or pleural disease and/or pulmonary thrombi._**
111
Pey et al: CT characteristic of presumed preureteral vena cava in cats: **What percentage of cats had a preureteral vena cava?**
22%
112
Pey et al: CT characteristic of presumed preureteral vena cava in cats: **What type of ureter was observed in all of the "affected" cats?**
A reverse J-ureter
113
Pey et al: CT characteristic of presumed preureteral vena cava in cats: **What does having a preureteral vena cava increase the risk of in cats?**
Urinary signs
114
Carozzi et al: CT of pharyngeal neoplasia in dogs: **What was the most common neoplasia type?**
Carcinomas
115
Carozzi et al: CT of pharyngeal neoplasia in dogs: **Could CT features predict tumor type of the pharyngeal tumors?**
NO... helped understand mass extension, lymph node involvement and distant mets.
116
What is the advantage of mebrofenin transplenic scintigraphy over pertechnetate?
1. Higher absorption 2. Visualization of the biliary activity 3. Quantitative analysis of liver function
117
Nemanic et al: CT imaging of retropharngeal LN and nasal passages aids discriminiation between rhinitis and neoplasia: **What imaging characteristics were significantly associated with neoplasia?**
1. Abnormal medial retro hilus 2. Paranasal bone lysis 3. Turbinate lysis 4. Mass 5. Medial retro height asymmetry 6. Decreased medial retro precontrast heterogeneity. A combo of nasal mass and abnormal medial retro hilus had an odds ratio of being neoplasia of 48. Combo of turbinate lysis/paranasal bones with abnormal medial retro hilus had an odds ratio of 16.2
118
Makara et al: Effect of two contrast injection protocols on feline aortic and hepatic enhancement in CT: **What does a longer injection duration result in?**
1. Broader bolus geometry with a longer time to peak aortic enhancement 2. Lower peak aortic enhancement Nothing was found different in the hepatic enhancement
119
Lustgarten et al: Compression elastography of tendon and ligament injuries in equine: **Acute lesions were found to be significantly what on elsatography vs chronic lesions?**
Acute lesions = Soft Chronic = Hard
120
Lustgarten et al: Compression elastography of tendon and ligament injuries in equine: **Softness on compression elastography was correlated with what type of echogenicity and what type of signal intensity on STIR/PD MRI?**
Hypoechoic = Softness Hyperintense on STIR/PD = Softness
121
Santos et al: Gross and histopathologic correlation of MRI (0.25T) imaging in stifle of asymptomatic horses: **What did the abnormal signal intensity on all sequences within the patellar ligaments represent?**
Adipose tissue infiltrating between the collagen bundles.
122
Santos et al: Gross and histopathologic correlation of MRI (0.25T) imaging in stifle of asymptomatic horses: **What asymmptomatic findings were noted on MRI?**
Articular cartilage fibrillation of the tibial condyles and patella
123
Can lung disease cause pneumomediastinum?
Yes through rupture of the alveoli and the Macklin effect.
124
Histiocytic sarcoma can look like what in the spine?
Anything... masses - diffuse changes, etc
125
Carozzi et al: CT features of pharyngeal neoplasia: **What are the most common tumors of the oropharygeal tract in dogs?**
1. Melanoma 2. SCC - most common in the palatine tonsil 3. Fibrosarcoma Others include lymphoma
126
Carozzi et al: CT features of pharyngeal neoplasia: **What is the most common part of the pharynx for these neoplasms?**
Oropharynx
127
Extraskeletal osteosarcoma most consistently affects what?
Visceral sits Skin/subcutaneous tissue Mammary glands