VRU 2016 Flashcards

(95 cards)

1
Q

Secrest et al: Dog Flu radiographs, What was the common distribution?

A

cranioventral

How well did you know this?
1
Not at all
2
3
4
5
Perfectly
2
Q

Secrest et al: Dog Flu radiographs, Common radiographic pattern?

A

Unstructured to alveolar pattern

How well did you know this?
1
Not at all
2
3
4
5
Perfectly
3
Q

Secrest et al: Dog Flu radiographs, was there lymphadenopathy present?

A

no

How well did you know this?
1
Not at all
2
3
4
5
Perfectly
4
Q

O. Osleri is commonly seen in what age of dog?

A

2 years of age.

How well did you know this?
1
Not at all
2
3
4
5
Perfectly
5
Q

Gendler et al: Arthrography CT of the canine elbow: Does Arthrography over or under estimate cartilage thickness?

A

Over estimates

How well did you know this?
1
Not at all
2
3
4
5
Perfectly
6
Q

Oliveira et al: CT respiratory induced motion: What recumbency reduced the most motion artifacts in the abdomen?

A

Trick question:

Dorsal for most of the abdominal contents

Ventral for the Liver and Urinary bladder

How well did you know this?
1
Not at all
2
3
4
5
Perfectly
7
Q

What are the best projections for imaging a white rhino?

A

60 dorsoproximal palmarodistal projection (digit III)

Dorsal 45 proximal 45 medial (digit II)

Dorso40 Proximal 35 lateral (digit IV)

All about 5-7cm away from the cuticle

How well did you know this?
1
Not at all
2
3
4
5
Perfectly
8
Q

Beccati et al: US findings in horses with septic arthritis: The US findings in septic horses may vary based on what?

A

Time between admission and beginning of clinical signs…. more US signs the more time was taken to get the fucker in.

How well did you know this?
1
Not at all
2
3
4
5
Perfectly
9
Q

Beccati et al: US findings in horses with septic arthritis: What are some of the US signs?

A
  1. Effusion (marked to NONE)
  2. Synovial thickening
  3. Anechoic or echogenic effusion
  4. Hyperechoic spots on structure and fibrin.
How well did you know this?
1
Not at all
2
3
4
5
Perfectly
11
Q

Proks et al: Spinal malformation in ferrets: What is the most common vertebral formula?

A

C7 - T14 -L6 - S3

How well did you know this?
1
Not at all
2
3
4
5
Perfectly
12
Q

Proks et al: Spinal malformation in ferrets: What sex was the C7 T14 L6 S4 most common in?

A

MALEs

How well did you know this?
1
Not at all
2
3
4
5
Perfectly
13
Q

Proks et al: Spinal malformation in ferrets: What was the most common vertebral abnormalities in ferrets?

A

Transitional vertebrae

Most commonly seen in the thoracolumbar or lumbosacral regions.

How well did you know this?
1
Not at all
2
3
4
5
Perfectly
14
Q

Graham et al: Diagnostic sensitivity of bone scintigraphy in equine stifle: What was the sensitivity and specificity of scintigraphy of the equine stilf?

A

Sensitivity was bad at ~25%

Specificity was good ~85%

Cauadal image did NOT improve sensitivity.

How well did you know this?
1
Not at all
2
3
4
5
Perfectly
15
Q

Bones appear wider on what CT window and why?

A

Wider on a narrow window due to a spread edge function.

How well did you know this?
1
Not at all
2
3
4
5
Perfectly
16
Q

Oliphant et al: Mid-brain shift and effect on survival in dogs with MUO: What was the association between a mid-line shift and survival in this cohert of dogs?

A

No associatation. Though the median survival time was much less

Though age at onset (older) and TNCC CSF count were associated with lower survival.

How well did you know this?
1
Not at all
2
3
4
5
Perfectly
17
Q

Wang et a: Effects of dexmed on rads and echo of the heart: What was seen on rads?

A

VHS and Cardiac size to thorax ratio on VD increased.

How well did you know this?
1
Not at all
2
3
4
5
Perfectly
18
Q

Wang et a: Effects of dexmed on rads and echo of the heart: What was seen on echo?

A
  1. E-point to septal separation - increased
  2. Left ventricle internal diameter in diastole and systole - increased
  3. Fractional shortening - decreased
  4. Moderate to severe mitral regurgitation was noted
  5. Miuld pulmonic regurgitation occured
How well did you know this?
1
Not at all
2
3
4
5
Perfectly
19
Q

Johnson et al: MRI and clinical features of medial retropharyngeal LN mass in dogs and cats: What was commonly seen in inflammatory disease?

A
  1. Younger
  2. Lethargy
  3. Pyrexia
  4. Neck pain
  5. Leukocystosis
  6. Marked perinodal CE
  7. Local muscle CE
How well did you know this?
1
Not at all
2
3
4
5
Perfectly
20
Q

Johnson et al: MRI and clinical features of medial retropharyngeal LN mass in dogs and cats: What was commonly seen in neoplastic disease?

A
  1. Greater in width and height (size)
How well did you know this?
1
Not at all
2
3
4
5
Perfectly
21
Q

Fenn et al: Agreement of diagnosing FCE and ANNPE in dogs using MRI: What are the MRI based findings consistent with ANNPE?

A
  1. Focal area of intramedullary T2 hyperintensity overlying a disc space
  2. Reduction in volume of the T2W NP signal
  3. Narrowing of the associated disc space
  4. Extradural materail or signal intesity change with minimal or no spinal cord compression.
How well did you know this?
1
Not at all
2
3
4
5
Perfectly
22
Q

Fenn et al: Agreement of diagnosing FCE and ANNPE in dogs using MRI: What are the MRI imaging criteria of an FCE?

A
  1. Well demarcated intrameduallary T2W hyperintensity
  2. Mainly Grey matter is affected
  3. Absence of ANNPE criteria.
    4.
How well did you know this?
1
Not at all
2
3
4
5
Perfectly
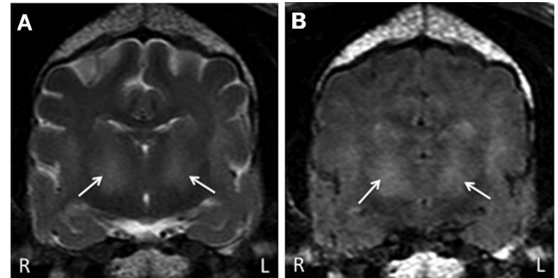
23
Q

Beckman et al: 3T findings in dogs with central european tick-borne meningoencephalomyelitis: What were the MRI findings and what were the histo findings of this disease? Why is it important to know these findings and differential?

A
  1. Bilateral and symmetrical gray matter distributed lesions
  2. Thalamus, hippocampus, brainstem, basal nuclei, ventral horn on the spinal cord

Neuronophagia and gliosis of the gray matter of the affected regions seen in 3T MRI.

This is important because this disease is hard to diagnose after first viremic stage.

How well did you know this?
1
Not at all
2
3
4
5
Perfectly
24
Q

Cooley et al: Optic n US measurements in horses: What is the average size for the optic nerve sheath diameter?

A

2.6mm - 6.5mm

How well did you know this?
1
Not at all
2
3
4
5
Perfectly
25
Q

Rademacher et al: Contrast enhanced US pancreatitis in dogs: Dogs with pancreatitis had what differences compared to normal dogs on CEUS?

A
  1. Peak and mean intensity was higher (311%)
  2. Wash in rates were higher with a consistently steeper slope to peak
How well did you know this?
1
Not at all
2
3
4
5
Perfectly
26
Janvier et al: US of horses with lymphoma: **What were the lesions in horse?**
Similar to cats and dogs Lymphadenopathy (most common in the abdomen) Peritoneal effusion Splenic and hepatic lesions (hypoechoic nodules, enlarged) Pleural effusion (top thoracic lesion with lymphadenopathy)
27
What were most clinicians disappointed in with radiographic reports?
Not completed in a timely manner No give a prioritized differential list.
28
Lamb et al: Pathologic basis of rim enhancement of CT feline nasopharyngeal polyps: **What was the magnitude and extent of the rim enhancement on CT positively correltated with? Negatively correlated with?**
_Positively correlated with: **Inflammation** in the **superficail stroma**_ _Negatively correlated with: **Grade of edema** in the **superficial stroma.**_ _NEED TO KNOW PAPER_
29
Lamb et al: Pathologic basis of rim enhancement of CT feline nasopharyngeal polyps: **Where was inflammation and hemorrhage more marked? Where was edema more marked?**
Inflammation: Superficial stroma Edema: Core stroma
30
Salguero et al: CT comparison of middle ear in nonbrachycephalic and brachycephalic dogs with obstructive ariway syndrome: **What was the big difference between brachycepahlic dogs and normal dogs when looking at the bullae?**
Brachycephalic dogs have thicker bulla walls and smaller luminal volume
31
Salguero et al: CT comparison of middle ear in nonbrachycephalic and brachycephalic dogs with obstructive ariway syndrome: **What was significantly related to amount of material in the middle ear?**
Mean thickness of the soft palate
32
Jones et al: Association between dual-phase CT and hepatic/splenic masses: **Reguardless of the diagnosis (benign or malignant) hepatic masses showed what kind of enhancement?**
Marked, generalized enhancement in early and delayed phases
33
Jones et al: Association between dual-phase CT and hepatic/splenic masses: **What was the difference in enhancement pattern between HSA and nodular hyperplasia in the spleen vs a hematoma?**
HSA and NH - Marked and generalized enhancement Hematomas - slight enhancement. Though all hematomas and 77% of HSA had contrast accumulation compatible with active hemorrhage. CT is not specific for differentiating mass in the spleen or liver.
34
Allett et al: MRI of spine lymphoma in dogs: **What are the common MRI findings?**
1. Multifocal disease 2. Vertebral involvement 3. Cord compression 4. Involvement of more than one spinal compartment (medullary cavity, vertebral canal, paraspinal soft tissue) 5. CEing and T2W hyperintensity STIR and T1W post contrast were the best sequences
35
Bettencourt et al: Thyroid background ratios vs other measurments and T4 in hyperthyroid cats: **What is the best predictor for T4 values?**
**Percent dose uptake (best)** **and** **Thyroid to salivary ratios** These out performed any thyroid to background ratios
36
Bettencourt et al: Thyroid background ratios vs other measurments and T4 in hyperthyroid cats: **What ratio correlated well with plasma pertechnetate activity?**
Heart ROI
37
Bettencourt et al: Thyroid background ratios vs other measurments and T4 in hyperthyroid cats: **Percentage dose uptake was most correlated with what?**
1. Serum T4 was first 2. Thyroid to salivary raito second 3. thyroid to background using heary ROI
38
Rossi et al: Effects of sedation on CEUS of the spleen: **Which sedative of butorphanol vs dexmedetomidine was supported for use in CEUS?**
Butorphanol because it did not change perfusion
39
Rossi et al: Effects of sedation on CEUS of the spleen: **What perfusion parameters were changed when using dexmed in this study?**
1. Overall enhancement was reduced 2. Arrival time - increased 3. Time to peak - increased 4. Peak intensity - decreased
40
Riedesel et al: Comparsion of fluoro and CT for tracheal lumen diameter measurements; **What was the difference between CT and fluoroscopy when looking at the diameter of the trachea?**
1. CT lumens were larger in all locations 2. Stent sizes were all different 3. More variation of measurements with fluoro
41
Bertolini et al: CT and MRI imaging of the quadrigeminal cistern and supracollicular fluid acculations in dogs: **Is this fluid accumulation significant or not?**
Sometimes it is. Sometimes it is not.
42
Bertolini et al: CT and MRI imaging of the quadrigeminal cistern and supracollicular fluid acculations in dogs: **What breeds are predisposed and what age?**
Young dogs - males and brachycephalics Shih-tzu, Chihuahua, maltese Prevalence is around 2%
43
Bertolini et al: CT and MRI imaging of the quadrigeminal cistern and supracollicular fluid acculations in dogs: **What patterns of supracollicular fluid accumulations were noted?**
1. Third ventricle (50%) 2. Quadrigeminal cistern (14%) - this is outside the CNS and is connected to the subarachnoid space 3. Both (36%)
44
Bertolini et al: CT and MRI imaging of the quadrigeminal cistern and supracollicular fluid acculations in dogs: **What are the differentials for supracollicular fluid accumulation?**
1. Quadrigeminal cistern arachnoid cyst 2. Diverticulum of the 3rd ventricle (caudodorasl) 3. Quadrigeminal cysts associated with the forth ventricle. A small velum of tissue separates the cistern from the 3rd ventricle. You can see it on MRI sometimes Picture is of the cistern
45
Dixon et al: CT of melanomas in the equine head: **What was the median amount of melanomas in each head?**
11 - (3-60 range) so always multiple
46
Dixon et al: CT of melanomas in the equine head: **What were some of the imaging characteristic on CT of these lesions?**
1. Found in the parotid SG, guttural puches and laryngeal/pharygeal regions 2. Hyperattenuating 3. 50% mineralizaed 4. Multiple.
47
Dixon et al: CT of melanomas in the equine head: **Why are melanomas hyperattenuating on CT?**
Abundant intracytoplasmic melanin
48
Zwicker et al: Effects of dexmedetomidine heart on rads of cats: **What was the effect of dex on the hearts of cats?**
1. Median VHS was hight on the right lateral 2. Median percentage width (of thorax) was increased (VD and DV) - 65% to 70-75% Dex is associated with small yet significant increase in cardiac size on right lateral and VD/DV imaging.
49
Moore et al: Spinal MCT imaging features: **What were the imaging features?**
1. All lesions were EXTRADURAL 2. Can be paravertebral or polyostotic 3. Can be primary tumor of the epidural space in dogs. Overlaps with other round cell or sarcoma neoplasias.
50
What is the 2-tier Kiupel grading system for MCT?
It just divides the masses into high grade or low grade.
51
What is the difference between calvarial hyperostosis and craniomandibular osteopathy?
1. Cortical disruption is seen in CMO and not CH...due to the osteoclastic activity of CMO 2. Calvarial hyperostosis is more diffuse thickening of the bone while CMO is focal expansile enlargement 3. CMO involves the mandible while CH does not
52
What breed is at risk for craniomandibular osteopathy?
1. Cairn Terriers 2. Scottish terriers 3. Westies
53
Calvarial hyerostosis syndrome has been described in what dogs?
Bullmastiffs only
54
Derouen et al: Anomalous C6 and canal stenosis in horses: **What was associated with anomalous C6?**
1. Warmbloods were more likely to have them 2. Cervical pain 3. Intravertebral sag ratio \<0.5 at C6.
55
Derouen et al: Anomalous C6 and canal stenosis in horses: **What was the most common anomaly at C6 in horses?**
Absence of ventral lamina (the sleds) Asymmetric ventral lamina
56
Carmalt et al: CT appearance of TMJ in horses: **What were the asymptomatic age related changes in the TMJ in horses?**
1. Spherical hypodensities within the mandibular condyles - bone cysts 2. Hyerdense regions of the intra-articular disc - dystrophic mineralization 3. Irregularity of the medial margin of the mandibular condyle - attachment of the lateral pterygoid muscle
57
Carmalt et al: CT appearance of TMJ in horses: **What was the most common asymptomatic findings in younger horses?**
Changes in the shape and density of the mandibular condyles. - this was more common in younger horses Changes in the TMJ are normal and seen in up to 40% of horses imaged (1018 of them)
58
What is the common electrolyte abnormalities for a uroabdomen?
Hyponatremia Hypochloremia Hyperkalemia
59
Guarracino et al: What airway pressure should be applied on CT: **What pressures were found to be the best?**
10-12cmH20
60
What are the names for truncation artifact?
Gibb's T2W sequences Cannot be eliminated completely. - can be limited but not eliminated by increasing spatial resolution (decreasing pixel size) Truncated means shortened or cut off... This is because tissues at the boundaries of the tissues with markedly different signal intensities (tissue and fluid on T2) cause truncation of the data in k-space causing misrepresentation
61
Gaschen et al: Effects of food intake on intestinal echogenicity of dogs: **What type of food causes increased echogenicity?**
Any type regardless of the fat content.
62
Spriet et al: PET of equine distal limb: **What was the radiation exposure of the exam to the horse?**
Slightly higher than that of 99mTech scintigraphy.
63
Spriet et al: PET of equine distal limb: **What structures had the highest and lowest uptake?**
Highest - Coronary band Lowest - Tendons
64
Wrigglesworth et al: GI transit time of habituated dogs without sedation and physical restraint: **What percentage of barium was used?**
7% w/w powdered barium sulfate
65
Wrigglesworth et al: GI transit time of habituated dogs without sedation and physical restraint: **What was found out about the transient times?**
Similar to what is published. 1-2 hours gastric empty 2h GI transit time 6h max fill density of the colon
66
Noel et al: Off-site smartphone vs standard workstatin rads in instestinal mechanical obstruction in dogs: **Was there a difference between smart-phone (JPEG) and work station (DICOM)?**
No difference if for JPEG with \<10:1 compression ratio. Difference based on radiologist years.
67
Dirrig et al: MRI of intracranial inflammatory lesion (subtraction debate): **What lesions were observed more frequently in both the subtraction and post-contrast images?**
Intra-axial lesions
68
Dirrig et al: MRI of intracranial inflammatory lesion (subtraction debate): **What was more sensitive in detecting lesions and why (subtraction vs post contrast)?**
Subtraction - based solely on the higher sensitivity of finding intra-axial lesions
69
Thomas et al: MRI imaging of postarthroscopic susceptibility artifacts in horses: **Can arthroscopy cause susceptibility artifact and for how long?**
Yes and up to **12 weeks** in 40% of the animals. ONLY SEEN ON GRE images Causes: Hemorrhage into surgerical site, metallic fragements, air
70
Constant et al: High field - MRI gadoxetate disodium characteristics of hepatocellualar carcinoma in dogs: **What is gadoxetate disodium?**
Liver specific MRI contrast agents Paramagnetic that has 50% hepatobiliary and 50% renal excretion.
71
Constant et al: High field - MRI gadoxetate disodium characteristics of hepatocellular carcinoma in dogs: **What were the defining characteristics of the hepatocellular carcinoma masses?**
HYPOINTENSE compared to liver at all stages of contrast.
72
Knuchell et al: Fracture of the central tarsal bone in nonracehorses: **What was the configuration of the fractures in these non-race horses?**
Simple, non-displaced, **DORSOMEDIAL to PLANTAROLATERAL** orientation. **Meaning you need an DMPLO to see them. At varying degrees.**
73
Knuchell et al: Fracture of the central tarsal bone in nonracehorses: **What was the configuration of the fractures in _race horses_?**
Slab fractures of the dorsal plane Best seen on the LATERAL projection.
74
Le Roux et al: Correlation US with Small intestinal wall layering histo: **In this study they separated the intestinal layers into more divisions: What additional division were noted?**
1. Mucosa 1. Inner mucosa (intestinal villi) - Hyperechoic (lacteal dilation) 2. Outer mucosa (lamina propria) - Hypoechoic 3. Third hyperechoic line noted in the ileum parallel to the submucosa - peyer's patches 2. Muscularis 1. Hyperechoic line within the middle of the muscularis (interface between the muscularis longitudinal and circular layers)
75
Veraa et al: CT evaluation of equine cervical vertebrae variations: **What was the most common cervical vertebral variations in these horses?**
Transposition of the caudal part of the transverse process of C6-C7. No association with clinical signs.
76
Peterson et al: Evaluation of quantitative thyroid scintigraphy for diagnosis and staging of disease severity in cats with hyperthyroidism: **What test was more correlated with serum T4, T3 and estimated thyroid volume?**
Percent thyroidal uptake
77
Peterson et al: Evaluation of quantitative thyroid scintigraphy for diagnosis and staging of disease severity in cats with hyperthyroidism: **What test was most accurate for diagnosing hyperthyroidism?**
T/S ratio. --- this correlates strongly with percentage uptake
78
Bargellini et al: CEUS as method for detecting GB necrosis: **What is the specificity and sensitivity of detecting GB necrosis?**
100% for both Compared to conventional ~75%
79
Cheney et al: Effect of bolus size on deglutition and esophageal transit in dogs: **What was the odds of a primary esophageal peristalsis occuring in a large solid bolus vs liquid bolus?**
18.5x higher with a large solid bolus
80
Cheney et al: Effect of bolus size on deglutition and esophageal transit in dogs: **What were the differences between liquid boluses and solid boluses?**
1. Time of max pharyngeal contraction - longer in solid 2. Thorcic esophageal transit time - Longer with solids 3. Odds of a primary bolus - better odds with solids
81
Cheney et al: Effect of bolus size on deglutition and esophageal transit in dogs: **Conclusion of this paper?**
1. Use medium liquid and soft food boluses for standarization and to minimize effect of size 2. Do not compare soft food to liquid food as they differ.
82
Drost et al: Rads vs CT for detecting intestinal obstruction in a dog: **What modality was more sensitive and specific for recommending surgery correctly?**
Rads
83
Drost et al: Rads vs CT for detecting intestinal obstruction in a dog: **What modality was more senitive in detecting a mechanical intestinal obstruction?**
CT
84
Drost et al: Rads vs CT for detecting intestinal obstruction in a dog: **Did objective measurements help?**
No with recommending surgery or not.
85
Drost et al: Rads vs CT for detecting intestinal obstruction in a dog: **What was the conclusion?**
CT or rads are good for detecting intestinal obstructions.
86
Coppieters et al: CT findings in canine elbows with erosion of medial compartment: **Conclusion on this paper?**
1. Arthoscopy is needed 2. Some fragments are noted on CT that are not found on arthroscopy.
87
Coppieters et al: CT findings in canine elbows with erosion of medial compartment: **What were the common finding on get?**
1. Periarticular osteophytosis 2. Abnormal shape of coronoid process 3. Subchondral bone defect on the medial part of the humeral condyle (kissing lesion)
88
**Lang et al:** Computed tomographic tooth resorption in cats: **How is CTs specificity and sensitivity when evaluating for tooth resorption in cats?**
Specificity is high ~90% Sensitivity is poor 40-50%
89
**Lang et al:** Computed tomographic tooth resorption in cats: **Where is the more common place to find tooth absorption?**
Root or cementoenamel junction.
90
Granger et al: CT vs echo with evaluation MPA:Ao for hypertension: **What was the overall mean raito on CT for the MPA:Ao ratio?**
1.1 +/-0.15 So around 1.3 for upper limits. Max- 1.55 in this sutdy. CT consistently overestimated the ratio compared to echo (1:1).
91
Granger et al: CT vs echo with evaluation MPA:Ao for hypertension: **Which scan had significantly lower MPA:Ao ratio?**
Expiratory did when compared to inspiratory.
92
Gomes et al: MRI findings of disc extrusion vs protrusions in large does: **What clinical signs and MRI findings were more consistent with disc protrusion?**
1. Longer clinical signs 2. Midline herniation 3. Partial instead of complete disc degeneration
93
Gomes et al: MRI findings of disc extrusion vs protrusions in large does: **What clinical signs and MRI findings were more consistent with disc extrusion?**
1. Single intervertebral herniation 2. Dispersed disc material not confined to the disc space.
94
Porter et al: Comparing MRI, MRI arthrography and CT arthrography in judging the thickness of the cartilage in the equine metacarpophalangeal joint: **What was the conclusion of this paper?**
It is really hard to differentiate the cartilage and no modality even with contrast was able to consistently correlate with histopath. Adding contrast to this joint did not help measuring.
95
Digiovanni et al: Dynamic US of the Equine digital flexor tendon sheath: **What is the digital flexor tendon sheath made out of?**
Palmar/plantar annular ligament
96
Digiovanni et al: Dynamic US of the Equine digital flexor tendon sheath: **What was found in horses with palmar/plantar annular ligament desmitis?**
1. Restricted gliding between the SDF and annular ligament 2. Increased angulation of the long linear echoes of the SDF 20-35º vs 0-13º in normal horses.