VRU 2003 Flashcards

(151 cards)

1
Q

What is the most common feature on CT associated with equine caries?

A

Hypoattenuation of the cementum

Destruction of the enamel

Filling of the infundibulum with gas

How well did you know this?
1
Not at all
2
3
4
5
Perfectly
2
Q

What are the most important signs for dental decay on CT in the equine patient

A

Gas bubbles in the bulging root area

Fragmentation of the root

Swelling of the sinus lining.

How well did you know this?
1
Not at all
2
3
4
5
Perfectly
3
Q

Most common teeth affected in the horse by dental disease?

A

109 and 209

How well did you know this?
1
Not at all
2
3
4
5
Perfectly
4
Q

What bone and what part of the bone was nearly always involved when discussing sinusitis from dental disease in a horse on CT?

A

The maxillary bone - facial crest

How well did you know this?
1
Not at all
2
3
4
5
Perfectly
5
Q

Are CT images more sensitive when looking at presence of abnormalites in the nasal cavity of cats?

A

No—-but better at saying where it is.

How well did you know this?
1
Not at all
2
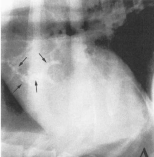
3
4
5
Perfectly
6
Q

What percentage of nasal sinonasal disease in cats were neoplasia?

A

55% - Lymphoma and Carcinoma (SCC and undifferentiated and adeno) being most common

How well did you know this?
1
Not at all
2
3
4
5
Perfectly
7
Q

What percentage of nasal sinonasal disease in cats were inflammatory/infectious?

A

45% - with inflammatory being most prevalent

How well did you know this?
1
Not at all
2
3
4
5
Perfectly
8
Q

On average the mean age of neoplasia sinonasal diseases in cats was what compared to rhinitis?

A

Older

How well did you know this?
1
Not at all
2
3
4
5
Perfectly
9
Q

Unilateral sinonasal disease is more common in neoplasia or rhinitis in cats on CT?

A

Neoplasia

How well did you know this?
1
Not at all
2
3
4
5
Perfectly
10
Q

Cribriform involvement (lysis)was more common in neoplasia or rhinitis in cats on CT?

A

Neoplasia.

How well did you know this?
1
Not at all
2
3
4
5
Perfectly
11
Q

Paranasal bone pathology was more common in neoplasia or rhinitis in cats on CT?

A

Neoplasia

How well did you know this?
1
Not at all
2
3
4
5
Perfectly
12
Q

Orbit or facial soft tissue extension was more common in neoplasia or rhinitis in cats on CT?

A

Neoplasia

How well did you know this?
1
Not at all
2
3
4
5
Perfectly
13
Q

Diaz et al: MRI of normal adrenal glands, what are the two signal intense patterns that were noted in this study?

A
  1. Homogeneously hypointense
  2. Hyperintense center with hypointense rim.
How well did you know this?
1
Not at all
2
3
4
5
Perfectly
14
Q

Douglass et al: Radiographic features of aortic bulb mineralization in dogs, what is this mineralization of?

A

Aortic bulb/root

How well did you know this?
1
Not at all
2
3
4
5
Perfectly
15
Q

Douglass et al: Radiographic features of aortic bulb mineralization in dogs, what lateral is aortic bulb mineralization more apparent on?

A

Right

How well did you know this?
1
Not at all
2
3
4
5
Perfectly
16
Q

Douglass et al: Radiographic features of aortic bulb mineralization in dogs, what radiographic view of the chest was the least helpful?

A

VD, only one dog.

How well did you know this?
1
Not at all
2
3
4
5
Perfectly
17
Q

Douglass et al: Radiographic features of aortic bulb mineralization in dogs, what intercostal space was the mineralization commonly located in?

A

4th intercostal space

How well did you know this?
1
Not at all
2
3
4
5
Perfectly
18
Q

Douglass et al: Radiographic features of aortic bulb mineralization in dogs, what were the two types of mineralization patterns?

A
  1. Curvillnear single strand
  2. Multiple mineralizations (pictured)
How well did you know this?
1
Not at all
2
3
4
5
Perfectly
19
Q

Douglass et al: Radiographic features of aortic bulb mineralization in dogs, what was the clinical importance of this mineralization?

A

None.

How well did you know this?
1
Not at all
2
3
4
5
Perfectly
20
Q

Douglass et al: Radiographic features of aortic bulb mineralization in dogs, what structure was specifically mineralized?

A

Aortic annulus

How well did you know this?
1
Not at all
2
3
4
5
Perfectly
21
Q

Douglass et al: Radiographic features of aortic bulb mineralization in dogs, what did they compare otoliths to?

A

Chondroids in a horses guttural pouch.

How well did you know this?
1
Not at all
2
3
4
5
Perfectly
22
Q

Douglass et al: Radiographic features of aortic bulb mineralization in dogs, otoliths can be a sign of what?

A

Chronic otitis media though may be incidental.

How well did you know this?
1
Not at all
2
3
4
5
Perfectly
23
Q

What is the most common reason for portal hypertension?

A

hepatic causes.

How well did you know this?
1
Not at all
2
3
4
5
Perfectly
24
Q

Three intrahepatic reasons for portal hypertension?

A

Microvascular dysplasia

Noncirrotic portal hypertension

Portal venous hypoplasia

How well did you know this?
1
Not at all
2
3
4
5
Perfectly
25
Vink et al: Upper GI study in amazon parrots, what is the average ventriculus contraction/min?
3.7 contractions/min
26
Vink et al: Upper GI study in amazon parrots, how much barium was given and where?
20ml/kg in the crop Picture is for anatomical understanding
27
Vink et al: Upper GI study in amazon parrots, when did the contrast (barium) fill the ventriculus, when did it fill the SI and when did it fill the colon?
Ventriculus: 30 mins SI: 60 mins Colon: 120-300 mins
28
Vink et al: Upper GI study in amazon parrots, how often were contraction noted in the proventriculus?
Rarely
29
Vink et al: Upper GI study in amazon parrots, what type of contracts were noted in the SI? Colon?
SI: Antegrade, retrograde and segmental Colon: Segmental only.
30
Zekas et al: Effect of nerve blocks on US of equine palmar metacarpal, when could gas induced by the nerve block interfer with US of structures in the proximal palmar region of the the metacarpus? What structures were affected?
1 hr they found some trouble but at 24 hours there was no detectable gas Structures were the origin of the suspensory and the prox portion of the accessory ligament of the DDF.
31
Zekas et al: Effect of nerve blocks on US of equine palmar metacarpal, besides gas what subjective effects did nerve blocks (high and low palmar) have on the structures in the metacarpal region?
Just minor hypoechoic swelling by the injection site NO change in cross sectional area or mean pixel value at anytime or level.
32
Jaeger et al: US and CECT to evaluate acute necrotizing panc in dogs, what was the common finding in the pancreas of the dogs?
Hypoechoic enlarged pancreas Multiple anechoic foci Lack of doppler flow
33
Jaeger et al: US and CECT to evaluate acute necrotizing panc in dogs, what is an important comorbidity that you need to look for with dogs and cats with panc?
Thrombi -- Splenic and portal.
34
Jaeger et al: US and CECT to evaluate acute necrotizing panc in dogs, what did they do to the stomach to add in the imaging of the pancreas and define its borders on CT?
This study added air for negative contrast.. this can be done with esophagus too. In humans they add barium.
35
Jaeger et al: US and CECT to evaluate acute necrotizing panc in dogs, HU of necrotic areas of the pancreas were what compared to normal areas?
Significantly lower.
36
Wallack et al: US of SI infarction Cat, what were the clinical signs?
Cat not doing well - not eating and vomiting Then normal bowel to severely thickened bowel with lack of wall layer in 48hr.
37
Drost et al: Bone sctigraphy for hepatozoon in dogs, what type of radiopharm was used and when was the earliest uptake seen? What type of uptake was it?
99mTc - MDP 35 days post infection High intensity.
38
Drost et al: Bone sctigraphy for hepatozoon in dogs, the earliest bone lesions occured where?
Prox to the carpus/tarsus on the axial skeleton
39
Drost et al: Bone sctigraphy for hepatozoon in dogs, described the uptake?
Diffuse, bilaterally symmetric, homogenous and high intensity.
40
What are the three distict structures of the middle ear?
Hypotympanicum Mesotympanicum Epitympanic recess
41
What region of the middle ear contain the three auditory ossicles?
Mesotympanicum
42
What are the three bones of the ear and the two muscles?
Malleus, incus and stapes Musculus tensor tympani Musculus staedius.
43
What is different between a cats middle ear cavity vs dog?
Cats is divided into two compartments by a thin bony septum (gives it a double walled appearance)
44
What is the most common cause for otitis interna?
Extension of the neoplastic or infection of the middle ear
45
What are the "classic" radiographic projections for imaging the ear?
Dorsoventral Lateral Latero 20º ventral-laterodorsal Rostro 30º ventral-caudodorsal open mouth (espically in cats to see the bone separating the two compartments)
46
What is a positive contrast canalography and what is it used?
Putting contrast in the ear... to assess the integrity of the tympanic membrane (more accurate than otoscopy)... also used to meausre the diameter of the horizontal eaer canal.
47
Ear canal neoplasia... 5?
Ceruminous gland adneoma/adenocarcinoma Papillomas Basalcell carcinomas SCC Sebaceous adenocarcinomas
48
Rozear et al: Ureterovesicular junction CT in healthy dogs, there was a significant relationship between bladder volume and what?
Interureterovesicular junction distance - between the two IVJs
49
Rozear et al: Ureterovesicular junction CT in healthy dogs, what bony structure was used to identify the internal urethral orifice?
None could be found.
50
Rozear et al: Ureterovesicular junction CT in healthy dogs, **the entrance of the ureter into the bladder was characterized by a what?**
The apex of the hook made by the ureter as it turned **dorsomedially**... seen on all ureters. It turns from a ventrolateral to dorsomedial.
51
Rozear et al: Ureterovesicular junction CT in healthy dogs, why was the ureteral diameter larger post contrast?
Osmotic diuresis from ionic pull
52
Rozear et al: Ureterovesicular junction CT in healthy dogs, all ureterovesicular junctions were cranial to what?
Urethral orifice. This was not influenced by bladder distention.
53
Schwarz et al: Normal upper GI exam in Ferret, what is the normal dosage of 30% liquid barium?
8-13mL/kg
54
Schwarz et al: Normal upper GI exam in Ferret, does sedation with ketamine and diazepam cause significant effects on an upper GI series in Ferrets?
No.. not significantly
55
Schwarz et al: Normal upper GI exam in Ferret, what is the SI transit time for ferrets? and what is the best time to visualize the SI in ferrets?
Transit time is 2 hours Best time to see SI is 20-40 min
56
Schwarz et al: Normal upper GI exam in Ferret, normal width of the SI?
5-7mm
57
Schwarz et al: Normal upper GI exam in Ferret, what aided in the distinction between the SI and colon in this study?
Longitudinal colonic mucosal folds. (white arrow)
58
Schwarz et al: Normal upper GI exam in Ferret, what was this finding and was it normal?
Flocculation (clumping) and adherence of barium to stomach mucosa... normal!
59
Seiler et al: Staging of lumbar IVDD using MRI, what were the most common signs of disc degeneration in MRI?
Nuclear clefts Decreased signal intensity of the nucleus puposis Tears of the annulu fibrosis (pictured) Disc herniations.
60
Seiler et al: Staging of lumbar IVDD using MRI, what was the sensitivity and specificity for finding IVDD in this study?
Sensitivity = 100% Specificity = 79%
61
What is the most commonly reported location for a canine solitary bone cyst?
Distal radius
62
Schoenborn et al: CT feline sinonasal disease, what characteristics are more concerning for neoplasia vs rhinitis (5) but are not pathognomonic?
Lysis of the paranasal bones Severe turbinate destruction Lysis of nasal septum Homogenous mass Extension of disease into orbit or facial soft tissues.
63
Moon et al: US appearance/etiology of corrugated SI, what was the most common cause of corrugated SI?
Pancreatitis (50%)
64
Waller et al: Effects of body wall on US, what artifact causes attenuation of the beam in the body wall?
Reverberation.
65
Spattinni et al: Diaphragm rupture US, what were the most common findings on US for DH?
Irregular diaphragm Abdomial organs in the thorax.
66
Spattinni et al: Diaphragm rupture US, what is the percentage of accuracy of US for diaphragm herination?
93%
67
Henninger et al: CT of alveolitis and sinusitis of a horse, what is the most affect tooth?
1st maxillary molars - 109, 209
68
Henninger et al: CT of alveolitis and sinusitis of a horse, what were the most frequently found CT findings associated with caries?
Hypoattenuation of the cementum Destruction of the enamel Gas in the infundibular cavity
69
Henninger et al: CT of alveolitis and sinusitis of a horse, what were signs of dnetal decay?
Gas bubbles in a bulding root area Fragmentation of the root with swelling of the adjacent sinus lining.
70
Henninger et al: CT of alveolitis and sinusitis of a horse, what was the most common involved sinus?
rostral maxillary sinus
71
Henninger et al: CT of alveolitis and sinusitis of a horse, what bone was involved in every horse?
Maxillary bone (facial crest) - Sclerosis, thickening, periosteal reaction and deformation
72
Wallack et al: Pituitary gland MRI cats, what is the mean height, width and length of the feline pituitary gland?
Height - 0.34cm (sagital image) Length - 0.54cm (transverse) Width - 0.5cm (transverse)
73
Wallack et al: Pituitary gland MRI cats, mean volume of the pituitary gland in cats?
0.05cm3
74
Wallack et al: Pituitary gland MRI cats, was there correlation between cat weight and pituitary volume? Cat age?
None for both.
75
Wallack et al: Pituitary gland MRI cats, what was the precontrast images look like? Postcontrast?
Precontrast - mixed intense Post - Homogeneous contrast enhancement.
76
Wallack et al: Pituitary gland MRI cats, 90% of acromegalic cats have what?
Macroadenoma
77
Wallack et al: Pituitary gland MRI cats, what lobe of the pituitary gland is likely hyperintense on pre-contrast T1 images?
Posterior or caudal (vasopressin-neurosecretory granules)
78
FIfe et al: CT carotid body tumor, Carotid body tumors are usually what echogenicity?
Hypoechoic and homogeneous.
79
FIfe et al: CT carotid body tumor, what a the differentials for a carotid body tumor?
Thyroid Ectopic thyroid or parathyroid
80
FIfe et al: CT carotid body tumor, are highly vascular. T/F?
True
81
FIfe et al: CT carotid body tumor, are seen more frequently in what type of dogs?
Brachycephalic... suspect chronic hypoxia causing hyperplasia
82
FIfe et al: CT carotid body tumor, other words for carotid body tumor?
Chemodectoma Paraganglioma
83
Fife et al: CT carotid body tumor, Where is a more common place for a chemodectoma rather than the carotid body?
Aortic root.
84
Erichsen et al: Scintigraphy of the spine of asymptomatic horse, what spinous processes can have normal uptake and be asymmtomatic?
T13-T18
85
Armburst et al: Gastric emptying cats using different fiber and kibble shapes, what radiopharm was used?
99mTc -mebrofenin
86
Armburst et al: Gastric emptying cats using different fiber and kibble shapes, what factors of the food did not have any effect on gastric empyting?
Water intake Diet fiber
87
Armburst et al: Gastric emptying cats using different fiber and kibble shapes, what factors of the food did have any effect on gastric empyting?
Higher caloric intake had longer gastric emptying. Triangular shaped had longer gastric emptying vs circular
88
Gnirs et al: Spinal subarachnoid cysts, what dogs were over represented?
Rotties, ridgebacks, weimies, pug dogs.
89
Gnirs et al: Spinal subarachnoid cysts, subarachnoid cysts are commonly located in what region of the spine and where in the spinal canal?
Cranial cervical region Dorsally to the spinal cord.
90
Gnirs et al: Spinal subarachnoid cysts, what is the common shape of subarachnoid diverticulum on myelography?
Tear-drop shape.
91
Sauders et al: CT in dogs with chronic nasal disease, what disease processes were unable to tell apart?
Aspergillous and FB
92
Sauders et al: radiography vs CT nasal aspergillous, what two disease processes are hard to distinguish in nasal disease?
Nasal aspergillus and FB
93
Sauders et al: radiography vs CT nasal aspergillous, what disease process must you think of with nasal foreign bodies?
Aspergillous.. seen in higher incident with FB
94
Head et al: Imaging the cat pancreas with CT and scintigraphy, what were the granulocytes attached to?
99mTc-hexamethylpropyleneamine oxime (HMPAO)
95
Head et al: Imaging the cat pancreas with CT and scintigraphy, where did the granulocytes end up?
Liver, spleen and lung
96
Head et al: Imaging the cat pancreas with CT and scintigraphy, what is the attenuation the pancreas when comparing to spleen and liver on CT?
Hypoattenuating
97
Head et al: Imaging the cat normal pancreas with CT and scintigraphy, what was the problem with the scintigraphy portion of this study?
Labeling... only 15-47% labeling efficency.
98
Reichele et al: ureteral fibroepithelial polyp dogs, what sex prediclect was there?
Male intact
99
Reichele et al: ureteral fibroepithelial polyp dogs, where in the ureter do you normal see this?
Proximal 3rd
100
Tapperest et al: stress fractures in the horse MRI, Sclerosis of the bone produces what intensity on what signals?
Hypointense on all signals.
101
Tapperest et al: stress fractures in the horse MRI, what is the big down side of using MRI for diagnosis of a stress fracture?
Anesthesia is needed and they can snap the leg on recovery.
102
Tapperest et al: stress fractures in the horse MRI, bone edema usually causes what signal on a T1W image and on a T2W image?
T1 = Hypointense T2 = Hyperintense Think that the bone is full with fat and the edema will reduce the fat content.
103
Hoffaman et al: GI linear FB in dogs, terminology used to describe quick turns (not plication)?
hair pin turns.
104
What are the US characteristics of peripherial nerves? How do you distinguish them from vessels?
Two parallel hyperechoic lines with a hypoechoic center Doppler and the margins of vessels usually divert and branch.
105
Alexander et al: Horse nerves US normal, what was the overall success rate for identifying nerves on live horses?
70%
106
Alexander et al: Horse nerves US normal, did measurements of nerves align with anatomical measurements?
Yes... significantly.
107
Anastasiou et al; Equine carpal bone MRI, does MRI signal intensity align with bone sclerosis?
Yes, hypointense... commonly at the radial facet of C3 (see pic)
108
Anastasiou et al; Equine carpal bone MRI, what facet of the 3rd carpal bone was most affected by DJD/sclerotic changes?
Radial facet because it takes most of the weight
109
Describe this lesion.
Thinning of the cartilage along the dorsal aspect of the 3rd carpal bone at the level of the radial facet.
110
Diagnosis?
Multiple bone cysts of C2. C2 and the intermediate facet of C3 are sclerotic Suspect microfracture of C3
111
Anastasiou et al; Equine carpal bone MRI, Cartilage is best seen on what images?
Fat Sat. they appear hyperintense on both T1 and Fat Sat (example)
112
How do you perform a dorsal acetabular rim shot?
Sternal recumbency Flexed hind legs and held close to the body Craniocaudal shot of the pelvis.
113
Diagnosis in a cria that is in repiratory distress?
Choanal atresia - 10% of cria Can be unilateral or bilateral
114
Nephroblastomas are located where?
T10-L2 INTRADURAL EXTRAMEDULLARY
115
Can nephroblastomas contain cysts or hemorrhage?
Yes
116
What is the difference between the way CSF leaves the brain in mammals between birds?
Mammals have lateral appatures of the fourth ventricle and that is where the CSF leaves. Birds do not have lateral appatures and it is thought micropores allow CSF to leave
117
What is an "abdominal air vasculogram" and what does it mean?
Air within the portomesentric vasculature. Ddx: splenic torsion, clostridium infection
118
Diana et al; US smooth muscle hypertrophy in cats, what was the US appearance of the smooth muscle hypertrophy and what were the etiologies it was associated with?
Chronic stenosis due to FB or lymphoma Chronic enteritis Moderate thickening 7-8mm Perserved wall layering Muscularis layer is the only one thickened Oral to the stenosis.
119
Penninck et al: US differentiating enteritis from intestinal neoplasia dogs, what percentage of dogs with neoplasia had loss of wall layering?
99%
120
Penninck et al: US differentiating enteritis from intestinal neoplasia dogs, what was the average thickness of intestinal tumor vs enteritis?
Neoplasia = 1.5cm Enteritis = 0.6cm
121
Penninck et al: US differentiating enteritis from intestinal neoplasia dogs, which was more likely to have diffuse disease; enteritis or neoplasia?
Enteritis
122
Penninck et al: US differentiating enteritis from intestinal neoplasia dogs, how many times more was a dog with loss of layering going to have a tumor vs enteritis?
51x more likely to have a tumor with loss of wall layering.
123
Penninck et al: US differentiating enteritis from intestinal neoplasia dogs, what are the US signs for intestinal neoplasia?
Loss of wall layering (excellent PPV)\*\*\* best Focal disease Wall thickeness around 1.5cm Lymph node enlargement
124
Delaney et al; US small bowel thickness compared to weight in dogs, what small intestinal segments were statisically related to body size?
Duodenum and jejunum.
125
Delaney et al; US small bowel thickness compared to weight in dogs, what is the normal range of the thickness of the jejunum and duodenum in dogs?
4-5mm jejunum 5-6mm duodenum
126
Jung et al: Methylcellulose on upper GI study dogs, what was the amount of methylcellulose given to the dogs?
15ml/kg Difference groups included low, moderate and high viscosity
127
Jung et al: Methylcellulose on upper GI study dogs, what vicosity group of methylcellulose was superior?
Moderate viscosity
128
Jung et al: Methylcellulose on upper GI study dogs, what was the amount of 40% barium (ml/kg) given to the control dogs vs the methylcellulose?
10ml/kg in control 4ml/kg in methylcellulose dogs
129
Jung et al: Methylcellulose on upper GI study dogs, what did the use of methylcellulose improve?
Improved visualization of the bowel loops Better coating and uniform thin homogenous opacification of the mucosa Improved small bowel distension Transradiancy (opical density) - reduced with methylcellulose which is better Rapid transit time
130
What position can be used in radiology to get a good picture of the sacroiliac joint?
Flexed VD.
131
Schramme et al: MRI laminitis, what features of laminitis where noted on MR and not on radiographs (4 features)?
Laminar disruption Circumscribed areas of laminar gas Laminar fluid Bone medullary fluid
132
Crawford et al: CT vs rads Pelvic trauma; What statistical difference is between conventional views vs tangential view of the pelvis with pelvic trauma?
NOTHING Ventral 20º cranial-dorsalcaudal and Ventral 20º caudal-dorsocranial were used.
133
Crawford et al: CT vs rads Pelvic trauma; what is the conclusion of this paper?
Routine CT examination of dogs with pelvic trauma may not be justifiable for diagnosis but may help with surgical planning espically with suspect acetabular fractures.
134
Axlund et al: CT of normal lumbosacral intervetebral disc dogs, What is the average percentage and range that the disc at L7-S1 can occupy the vertebral canal?
21-43% 27% average
135
What are the 4 types of hiatal hernias?
Type 1 (sliding) : Gastroesophageal junction - Most common Type2: Paraesophageal, gastric fundus Type 3: Mixed (1 and 2) Type 4: A type 3 with more shit
136
Levitin et al: Linear osteochondromatosis in cat, osteochondromatosis in cats is commonly associated with what?
FeLV similar to osteosclerosis
137
Levitin et al: Linear osteochondromatosis in cat, can osteochondromatosis maliginantly convert?
Yes to a sarcoma (chondrosarcoma/osteosarc)... life expectance from time of oset off osteochondromatosis is around 1 year
138
Levitin et al: Linear osteochondromatosis in cat, what is the problem with surgerically removing chondromatosis/chhondromas in cats?
The cartilageous caps commonly blend in with surrounding tissue and therefore recurrence or emergence of new lesions is common
139
Mantis et al: Effect of trilostane on adrenals US dogs, what happened to the adrenal glands after 6 months of trilostane therapy?
Both got bigger Right - length and width increased Left - only width
140
Abbott et al: Peak aortic velocities at subcostal vs apical transducer sites, What was the difference between these views?
Subcostal velocities were significantly higher but only by a marginal degree in both pulse-wave and continuous wave doppler
141
Erichsen et al: Scintigraphy of the SI jt in normal horses, What is uptake in the SI joint strongly influenced by?
Urine in the urinary bladder Thickness of muscle over the SI jt
142
Mantis et al: Adrenal gland changes with dogs on Trilostane, **What was the significant change in measurements with dogs on Trilostane?**
Caudal pole thickness increased - both left and right Length increased - right
143
Mantis et al: Adrenal gland changes with dogs on Trilostane, **What type of drug is trilostane?**
3B - hydroxysteroid dehydrogensase inhibitor.
144
Mantis et al: Adrenal gland changes with dogs on Trilostane, **What does it do?**
Block the production of a number of adrenal steroids including cortisol and aldosterone
145
Mantis et al: Adrenal gland changes with dogs on Trilostane, **what does mitotane do?**
Cuases selective necrosis of the adrenal cortex.
146
Mantis et al: Adrenal gland changes with dogs on Trilostane, **how long did they wait til they remeasured the adrenal glands?**
6 months.
147
Mantis et al: Adrenal gland changes with dogs on Trilostane, **what is another ultrasonographic change seen in dogs treated with trilostane?**
More distinction between the hyperechoic inner zone and the hypoechoic peripheral zone.
148
Spatttini et al: US diagnose DH, **What are the two consistent findings when lookinig at DH with US?**
Irregular/asymmetric cranial liver margin Viscera in the thorax
149
Spatttini et al: US diagnose DH, **What is the accuracy of US in diagnosing DH?**
93%
150
Murray et al: MRI and laminitis, **What were the consistent MRI findings of laminitis?**
Laminar disruption (See picture) Areas of laminar gas Laminar fluid Bone medullary fluid Other signs were increased size and number of vacular channels, alteration in the corium coronae, distal interphalangeal joint distension
151
Typamic bullaes can do what after ventral bulla osteotomy
In 5-6 years the bulla can partially or completely reformed with no increase in lumen opacity.