VRU 2011 Flashcards

(208 cards)

1
Q

What are the six shunts identified in the Nelson paper describing portosystemic shunt anatomy?

A
  1. Splenocaval
  2. Splenoazygos
  3. Splenophrenic
  4. Right gastric-caval
  5. Right gastric caval with a caudal shunt loop
  6. Right gastric - azygos with a caudal shunt loop
How well did you know this?
1
Not at all
2
3
4
5
Perfectly
2
Q

What was the most common shunt identified in the Nelson paper describing portosystemic shunt anatomy?

A

Splenoazygos Overall splenic are the most common

How well did you know this?
1
Not at all
2
3
4
5
Perfectly
3
Q

What made up the caudal shunt loop when discussing the right gastric caval or azgos shunts with a caudal shunt loop?

A

Shunt from the splenic

How well did you know this?
1
Not at all
2
3
4
5
Perfectly
4
Q

Right gastric caval shunt comes from what vein?

A

Right gastroduodenal or portal as this is where the right gastric can arise from.

How well did you know this?
1
Not at all
2
3
4
5
Perfectly
5
Q

Right gastric can have a tributary of what major vein?

A

Splenic

How well did you know this?
1
Not at all
2
3
4
5
Perfectly
6
Q

Where is the typical normal insertion of the “portocaval” shunt?

A

Immediately caudal to the liver at the level of the right kidney just cranial to the phrenicoabdominal vein.

How well did you know this?
1
Not at all
2
3
4
5
Perfectly
7
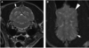
Q

Carrera et al: What MRI signs were seen in all dogs with discospondylitis?

A
  1. T1 hypointense endplates 2. STIR hyperintense 3. Contrast enhanced endplates and paravertebral tissues
How well did you know this?
1
Not at all
2
3
4
5
Perfectly
8
Q

Carrera et al: What MRI signs were seen in most dogs with discospondylitis?

A
  1. Hyperintense T2 disc with enhancement 2. Endplate erosion 3. Epidural extension 4. Spinal cord compression
How well did you know this?
1
Not at all
2
3
4
5
Perfectly
9
Q

Dvir et al: What was the appearance of the tympanic bulla on MRI that was affected with chronic otitis media?

A

Laminated appearance of T2 high and low intensities…. Hypointense lines likely fibrotic tissue.

How well did you know this?
1
Not at all
2
3
4
5
Perfectly
10
Q

Drost et al: When was the only statistically significant change in global renal function after unilateral ultrasound guided renal biopsy?

A

1 day following the renal biopsy.

How well did you know this?
1
Not at all
2
3
4
5
Perfectly
11
Q

Kamolpatana et al: what was the formula for the volume of the prostate?

A

= 1/2.6 (LxWxD) + 1.8

How well did you know this?
1
Not at all
2
3
4
5
Perfectly
12
Q

What modality is the best for bony changes in the navicular bone?

A

CT

How well did you know this?
1
Not at all
2
3
4
5
Perfectly
13
Q

Russo et al: what signs had the highest PPV for rhinitis on radiographs?

A
  1. Absence of frontal sinus lesions 2. Lucent foci in nasal cavity
How well did you know this?
1
Not at all
2
3
4
5
Perfectly
14
Q

Russo et al: what signs had the highest PPV for neoplasia on radiographs?

A

Invasion of surrounding bone.

How well did you know this?
1
Not at all
2
3
4
5
Perfectly
15
Q

Reichle et al: What are the three most common CT findings for dogs with cubital joint lameness?

A
  1. Abnormal shape or sclerosis of the media coronoid process 2. Irregularity of the radial incisure of the ulna 3. Ulnar trochlear notch sclerosis
How well did you know this?
1
Not at all
2
3
4
5
Perfectly
16
Q

What other species is know for having incomplete humeral condyle ossification besides spaniels?

A

Vietnamese pot-bellied pigs.

How well did you know this?
1
Not at all
2
3
4
5
Perfectly
17
Q

The majority of kidneys with a medullary rim sign had no evidence of what?

A

Renal disease (56%)

How well did you know this?
1
Not at all
2
3
4
5
Perfectly
18
Q

What are the two windows used to US the basilar a and middle cerebral a?

A

Transtemporal - Middle cerebral a

Suboccipital - Basilar a

How well did you know this?
1
Not at all
2
3
4
5
Perfectly
19
Q

What were the two abnormal wave forms that were noted on dogs in cardiac arrest in the basilar and cranial cerebral a on US?

A

To and fro

Dyastolic no flow

How well did you know this?
1
Not at all
2
3
4
5
Perfectly
20
Q

Lofstedt et al: To estimate the acutal size of a sphere-like structure using transrectal US what is the recommended calculation?

A

diameter3

How well did you know this?
1
Not at all
2
3
4
5
Perfectly
21
Q

Uhlhorn et al: Uptake of 99mTc-HDP is seen to increase until what age in standardbred racehorses at the distal radial physis?

A

20 wk and then slowly declines until closure at 24-32 months.

There can be mild increase in uptake at the distal radial physeal line for up to 10-12 months after closure with no clinical significance.

How well did you know this?
1
Not at all
2
3
4
5
Perfectly
22
Q

Trevail et al: What length of L5:max colon diameter ratios are a strong indicator for a normal colon and a good indicator for megacolon?

A

<1.3 is a strong indicator of normal (96% sensitive and 87% specific)

>1.5 is a good indicator of megacolon (77% sensitive and 85% specific)

In between is considered distended.

How well did you know this?
1
Not at all
2
3
4
5
Perfectly
23
Q

What is the most repeatable ratio of L5 to colon in cats?

A

Length of L5:max diameter of colon

How well did you know this?
1
Not at all
2
3
4
5
Perfectly
24
Q

Using a T2 sagital image to correctly identify sites of compression was seen in what perrcentage of cases in the study by Gallach et al?

A

90-95%

How well did you know this?
1
Not at all
2
3
4
5
Perfectly
25
Where in the spine was the highest correct localization of compressive disc herniation seen on T2W sagittal images?
Cervical region - this was increased with a HASTE image.
26
What was the most common cause for disagreement in the Gallach et al paper about the reliability of T2W sagittal MRI for determining the location of compressive discs?
Multiple bulging disc
27
What are the recommendation that came out of Gallach et al paper about the reliability of T2W sag MRI for determining the location of compressive discs?
1. Obtain transverse images across the entire segment when multiple bulging discs are present 2. Obtain trnsverse images across the spaces immediately adjacent to suspected site of herniation
28
Cervera et al; MRI gliomas vs CVA in dogs, Where were gliomas commonly located compared to CVAs?
Gliomas - Cerebrum (76%) CVA - Cerebellum, thalamus, caudate nucleus, midbrain and brain stem (76%)
29
Cervera et al; MRI gliomas vs CVA in dogs, what was significantly different about the size of gliomas vs CVA?
Gliomas were bigger
30
Cervera et al; MRI gliomas vs CVA in dogs, perilesional edema and mass effect were more common in what etiology?
Gliomas
31
Cervera et al; MRI gliomas vs CVA in dogs, were CVA more likely to be misdiagnosed as a glioma or a glioma as a CVA?
CVAs were more likely to be misdiagnosed as gliomas
32
Cervera et al; MRI gliomas vs CVA in dogs, what improved accuracy of diagnosis with both lesions?
DWI
33
Cervera et al; MRI gliomas vs CVA in dogs, most common place for a glioma?
Cerebrum and diencephalon.
34
Cervera et al; MRI gliomas vs CVA in dogs, when is the majority of contrast enhancement seen in a CVA?
24-48 hr 1-8 weeks
35
Cervera et al; MRI gliomas vs CVA in dogs, what arteries perfuse the thalamus?
Small caudal perforating arteries... commonly only have a lacunar infarct so small
36
Cervera et al; MRI gliomas vs CVA in dogs, what was the common shape for a CVA?
round/oval Only 19% were wedge
37
Suran et al: CE extradural material on MRI, the percentage of CE material, meninges or both?
Material = 51.5% Meninges = 40% Both = 17.2%
38
Suran et al: CE extradural material on MRI, **what was most CE, extrusions or protrusions?**
Extrusions - statisical difference.
39
Suran et al: CE extradural material on MRI, intrameduallary hyperintensity was associated with what?
More severe neurologic deficits
40
Suran et al: CE extradural material on MRI, enhancement of extradural material was not related to what?
NOT RELATED TO CLINICAL SIGNS.. it just happens
41
Mateo et al: MRI finding disc extrusion accompanied by epidural hemorrhage/inflammation, **eipdural hemorrhage or inflammation is more common where in the spine?**
Caudal lumbar
42
Mateo et al: MRI finding disc extrusion accompanied by epidural hemorrhage/inflammation, **prognosis between discs with epidural hemorrhage vs disc without differed how?**
It did not differ.
43
Mateo et al: MRI finding disc extrusion accompanied by epidural hemorrhage/inflammation, **what are MRI features of hematoma in the epidural space?**
T1 mixed intensity or hyperintensity Peripheral CE
44
Huggons et al: Radiography and CT in nonneoplastic equine mandibular disease, **most common etiology?**
tooth root abscess
45
Easley et al: MRI septic arthritis: **What is the main sign of septic arthritis?**
**Hyperintensity on STIR and T2 of the synovium and bone (100%)** **Synovial thickening. (93%)** Bony sclerosis (hypointense in all) Bony edema Synovial enhancement (4/5)
46
Easley et al: MRI septic arthritis: **Is bony changes commonly seen on radiographs with septic arthritis?**
Not always - 2 weeks and 50% of the bone must be gone.
47
Easley et al: MRI septic arthritis: **What was contrast good for in cases of septic arthritis?**
Surgical planning... what is necrotic that needs to go will not contrast enhance
48
Posch et al: MRI of acromegalic cats: **What is the common cause of acromegaly in cats?**
Functional pituitary adenoma
49
Posch et al: MRI off acromegalic cats: **The mass effect of these tumors common effect what?**
Cavernous sinus Third ventricle
50
Posch et al: MRI off acromegalic cats: **What type of T1/T2 and contrast pattern was noted?**
Non-uniform and non-characteristic.
51
Posch et al: MRI off acromegalic cats: **What type of soft tissue changes are noted with acromegaly cats?**
Oropharyngeal soft tissues - Brachycephalic syndrome Arthropathy Hepatomegaly Renomegaly Cardiomegaly Adrenomegaly Pancreatic enlargement
52
Posch et al: MRI off acromegalic cats: **Mean height and width of the adenomas?**
7. 5cm height 7. 5cm width
53
Drees et al: CT coronary arteries in dogs; **What were the common artifacts seen?**
Blur (98%) Motion (18%) Stair step (6%)
54
Drees et al: CT coronary arteries in dogs; **Did esmolol lead to a reduced target heart rate of 60-65bpm? Did nitroprusside effect the visualization fo the coronary arteries?**
No.
55
Drees et al: CT coronary arteries in dogs; **What branch of a normal dog supplies the paraconal coronary artery and the subsinusoidal coronary artery?**
The left coronary artery usually does. Most coronary abnormalities are the abscence of the left and the right takes over all responsibilities.
56
Pees et al: CT of snake lungs: **What does normal snake lungs look like?**
Single central lumen that leads to the nonrespiratory air sac. respiratory is composed of faveoli around the air-conductin center.
57
Carrera et al: MRI discospondylitis in dogs: **What are the common MRI findings of the discospondylitis?**
T1 hypointense and STIR hyperintense end-plates Contrast enhancement - Disc, bodies, paravertebral ST and epidural space
58
Carrera et al: MRI discospondylitis in dogs: **What was related to errosions?**
T2 hypointensity.
59
Spector et al: CT intrapelvic masses dog; **What was the only significant characteristic between benign and malignant masses in this study?**
Postcontrast internal heterogeneity of the mass consistent with necrosis
60
Spector et al: CT intrapelvic masses dog; **What was the consistent characteristics of a leiomyoma?**
Homogenous, mildly contrast enhancing Associated with dorsal colonic smooth muscle
61
Sutherland et al: MRI ADC of intracranial lesion in dogs: **What are the etiologies were found with restricted diffusion?**
Infarct Meningomas Gliomas GME SO can't differentiate.
62
Marolf et al: CT pulmonary neoplasia dogs; **CT appearance of primary lung tumors?**
Solitary Well circumscribed Bronchocentric Internal air bronchograms \*\*Can have mineralization, heterogeneous CE, and TB lymphadenopathy\*\*
63
Posch et al: MRI findings acromegalic cats; **What hormone excess is attibuted to acromegalic cats?**
Insulin-like growth factor - 1 (IGF-1) From a functional pituitary adenoma
64
Posch et al: MRI findings acromegalic cats; **What organs can see enlargement with acromegaly?**
Oropharyngeal soft tissue Hepatomegaly Renomegaly Cardiomegaly Pancreatic enlargement Degenerative arthropathy
65
Posch et al: MRI findings acromegalic cats; **What was the MRI findings of the pituitary mass in cats with acromegaly?**
Heterogeneous contrast enhancement - all or rim enhancement Enlarged (suprasellar extension) with perilesional edema Infrasellar extension - into the sphenoid bone
66
Anjou et al: Renal pelvic dilatation; **There was clinical significance between what etiologies with renal pelvic dilation?**
Significantly increases from normal To renal insufficiency Pyelonephritis Outflow obstruction
67
Anjou et al: Renal pelvic dilatation; **What is the range for normal cats and dogs for renal pelvic dilation?**
Dogs: 1.0 - 3.8mm Cats: 0.8-3.2mm
68
Vite et al: Correlating MRI findings with neuropathy: **Common signs that can distinguish meningioma from nerve sheath tumor or round cell neoplasm?**
Signal voids - mineralization Hyperostosis of overlying bone
69
Vite et al: Correlating MRI findings with neuropathy: **How to separate necrotizing encephalitis from GME?**
Both multifocal 1. Necrotizing - Loss of parenchyma - Prosencephalon (frontal lobe and thalamus) - spares caudal fossa 2. GME - Can be anywhere - No loss of parenchyma
70
Vite et al: Correlating MRI findings with neuropathy: **How to separate globiod cell leukodystrophy from other white matter disease of immature dogs (distemper)?**
Globiod cell leukodystrophy is symmetrical in only the white matter tracts.
71
DDX?
Intra-axial mass Glioma vs Infarct vs abscess
72
What are the important "roentogen signs" needed to be discussed?
Intensity Contrast enhancing Intra/extra axial Mass effect extent of brain edema
73
Primary intracranial lymphoma is most commonly associated with what structures?
Thalamic Hypothalamic Sellar
74
Secondary intracranial lymphoma is most commonly associated with what structures?
Disseminated in the meninges Choroid plexus Multiple CNs Pituitary gland
75
Where do pituitary mass usually originate from? What are the signs of an abnormal pituitary gland?
Adrenohypophysis. Normal pituitary gland usually does not extend dorsally of the sella Normal pituitary gland should not be dorsally convex Normal pituitary gland is around 5mm for all dogs Microadenomas commonly cause dorsal and lateral displacement of the neurohypophysis (T1 hyperintense pre-contrast)
76
Besides adenomas and adenocarcinomas, what are other sellar region tumors?
Lymphoma (primary and mets) Meningioma Ependymoma Craniopharyngiomas (neurohypophysis)
77
Most commonly metastatic intracranial neoplasms?
Hemangiosarcoma Carcinomas
78
Contraindications for spinal MRI?
Pacemaker Metal close to FOV Previous surgery Implants (titanium is usually fine)
79
What is a phased-array spine coil?
Multiple small coils that make a large FOV Reduces noise.
80
What is the recommended sequences for spinal MRI?
T2 dorsal T2 sag T2 Trans Pre-Postcontrast T1W If nothing Fat suppresion through the dorsal plane of corresponding ST to see if there is pathology outside the spine
81
What sequence provides more accurate information about the severity and extent of extruded disc material?
T2W NOT T1W or STIR
82
What is the problem with using STIR imaging post contrast?
It suppresses GADOLINIUM so you loose your contrast enhancement. STIR also nulls fat, proteinaceous fluid, subacute hemorrhage.
83
Other lesions that can be seen on T2\* GRE besides hemorrhage?
Mineralized disc Bony infiltration (Hyperintense) Gas Foreign bodies
84
What can intrathecal gadolinium administration be used for?
Looking for dural tears associated with brachial plexus avulsion See if cysts or diverticulums communicate
85
What should the field of view of the spine be in large breed dogs on sagittal images? Transverse?
20-30cm sag Just the surrounding tissues of the spinal cord.
86
Where does CSF like to dissect in clinically relevant hydrocephalus?
Along the internal capsule between the lentiform and caudate nucleus (arrowhead) - Called a cleft LOOK at the faint hyperintensity next to the right lateral ventricle consistent with Transependymal flow into the white matter
87
What is the narrowest point of the ventricular system?
Mesencephalic aqueduct Stenosis here can happen due to fusion of the rostral colliculi leading to hydrocephalus of the lateral and 3rd ventricle only.
88
What is the difference between hydranencephaly and porencephaly?
Hydranencephaly = cerebrum is destroyed in utero and replaced with CSF Porencephaly = is a CSF-filled cavity that communicates with the ventricular or subarachnoid space. But secondary to injury, ischemia, toxin, infection.
89
What is the prosencephalon? What is it made of?
Prosecephalon is the forebrain Dividend into the telencephalon and diencephalon.
90
What is holoprosencephalon? What are the three types?
Failure for the forebrain to bifurcate normally into two discrete cerebral hemispheres. Alobar - Complete lack of separation Semilobar - Just the rostral cerebral hemisphers fail to separate Lobar - Just the most rostral and ventral portions fail to separate.
91
What dog breeds is agensis of the corpus callosum most common?
Mini schauzers Labs
92
What is the thing that separates the two lateral ventricles of the brain?
Septum pellucidum
93
What are secondary problems with hydrocephalus?
Hemorrhage Rupture of septum pellucidum.
94
What breed is lissencephaly common in? What other malformation is common with lissencephaly?
Lhasa Apso Cerebellar hypoplasia
95
What breed is polymicrogyria most common?
Standard poodles \*\*Note the small gyri on the image and lack of coron radiata\*\*
96
What is the difference between meningoencephalocele vs meningocele? What cat breed is this common in?
Brain and meninges involved vs Just meninges Burmese Cats.
97
What is the defect in the skull that allows the meningocele out?
Cranium bifidum or Cranioschisis
98
Arachnoid diverticulum is commonly found where?
Rostrocerebellar (quadrigeminal cistern, fourth ventricle, third ventricle)
99
Arachnoid diverticulum is commonly seen in what type of dog/cat?
Shih Tzu Persian
100
Where are epidermoid and dermoid cysts common located?
Caudal fossa (fourth ventricle)
101
What is the difference in epidermoid cysts vs dermoid cysts vs arachnoid diverticulum when discussing MRI characteristics?
Arachnoid diverticulum - Will FLAIR out - CSF fluid. Epidermoid cyst - Will not FLAIR out Dermoid cyst - Hyperintense on both T1 and T2 and will STIR out - this is due to a large component of fat in the this cyst
102
What is the difference between cerebellar hypoplasia and abiotrophy... MRI characteristics and pathophys?
Cerebellar hypoplasia - Marked reduction in size of cerebellum with increased volume of surrounding CSF - From birth Abiotrophy - Normal cerebellum size with increased space between the folia due to loss of gray matter - older
103
What are the ddx for intracranial vascular hamartoma?
Hematoma and hemorrhagic neoplasm.
104
Does flipping the radiograph make it easier to find rib fractures?
Only for novice readers.
105
What is the major advantage of a big magnet in MRI?
Thinner slices and high resolution are performed faster
106
What is the point of a gradient coil?
Used in spatial identification Slice selection Phase encoding Frequency encoding
107
What is the slew rate?
How quickly the gradient coils can be cycled on and off. Faster scans.
108
What is the name of the coil used to pick up signal?
Radiofrequency pulse (RF) Coils
109
Surface coils are commonly what type of coil?
Reciever only.
110
Bandwidth or reciever bandwidth is what?
The range of FREQUENCIES that are sampled during the readout of the frequency gradient.
111
What does decrease bandwidth do?
Increases SNR because it reduces noise Though longer scan times are needed due needing more signal.
112
What does increasing the turbo factor and what is it?
Turbo factor is the number of 180º refocusing pulses Increasing turbo factor decreases scan time If too much Turbo factor the TE has to be increased and therefore add T2W to the sequence which is bad for T1W and PD sequences
113
What is the effect of the signal void on T2\* that is bigger than the actual lesion called?
Blooming.
114
What is the recommended sequences for the brain?
T1, T2, FLAIR, T2\* trans T2 sag T1 trans, sag and dor post-contrast
115
What effect image resolution and signal strength?
NEX Matrix Slice thickness FOV
116
Double NEX will increase SNR by how much?
Square root of 2... So very expensive time wise to increase this.
117
Scan time is based off what?
TR x NEX x PE steps/Turbo factor
118
The more slices will cause your TR to do what?
Increase.. you need more time to excite the slices.
119
What is interleaving?
Exciting alternate slices to avoid cross talk.
120
Pulsation artifact happens in what direction?
Phase direction
121
Phase wrap happens in what direction?
Phase direction. Usually from left to right.
122
What can be done to reduce phase wrap?
Phase over sampling technique Increase FOV Increase phase encoding steps so unwanted anatomy is correctly encoded
123
What sequence is useful for assessment of the inner ear?
Heavy T2W thin slic (1mm)
124
What side effect can happen with gadolineum and kidneys?
Nephrogenic systemic fibrosis.
125
What are the four types of magnetic susceptibility?
Diamagnetic - tissues Paramagnetic - Gadolinium and hemoglobin Superparamagnetic Ferromagnetic - iron, nickle.
126
Hecht et al: MRI susceptibility artifacts: **How mand adverse effects were documented out of 754 MRI?**
NONE
127
Reuss et al: US characteristics of intraabdominal abcessation and lympadenopathy with rhodococcus in foals: **Intraabdominal abscessation and lymphadenopathy served as what type of prognosis?**
Bad one.
128
Reuss et al: US characteristics of intraabdominal abcessation and lympadenopathy with rhodococcus in foals: **Ultrasound consistently under or overestimated the size of the abscesses?**
Under
129
Millward et al: Popliteal lymphangiography of the canine thoracic duct; **What was the only significant difference between popliteal and mesenteric lymphangiography?**
Cross sectional area and mean HU of the largest branch.
130
Millward et al: Popliteal lymphangiography of the canine thoracic duct; **Which one required less time?**
Popliteal (46% of the time it took for the other one)
131
What is this? Dog that has diarrhea and vomitting.
Heterobilharzia... SUBMUCOSA infiltrate.
132
Book et al: Correlation of US and Liver/Spleen aspirates in high grade Mast Cell tumors: **What was the sensitivity of US when detecting MCT in the spleen and liver?**
43% in the spleen 0% in the liver.
133
Trevail et al: Radiographic diameter of the colon in normal and constipated cats: **What is the ratio of colon:L5 that is strongly indicative of a normal colon? Megacolon?**
\<1.28 normal \<1.48 Mega
134
MRI of collateral ligaments of the DIJ in horses: **What is the normal central signal intensity at the level of P2 of the collateral ligaments?** **What happens in the distal portion of these ligaments?**
Mixed.. this is normal...no desmopathy. magic angel so they will be hyperintense.
135
Joslyn et al: MRI contrast of normal canine brain: **Enhancement of normal contrast enhanced structures on MRI were more prominent at 1min after administration or 10min?**
1 min... therefore immediate postcontrast is prefered.
136
Joslyn et al: MRI contrast of normal canine brain: **What structures of the brain commonly enhance?**
pituitary gland Choroid plexus Meninges Temporal muscle Trigem n Trigem n root.
137
Makara et al: Effect of contrast medium injection on peak enhancement and time to peak enhancement: **What was found in this study?**
That injection speed has significant effect on; peak enhancement (fast - the better enhancement) time to peak enhancement (fast injection = fast time to peak enhancement) Weight significantly affected (negatively) peak enhancement.
138
Most CNS lymphoma is metastatic lesions from what? How can you tell in a MRI study whether lymphoma is metastatic vs primary CNS?
Multicentric lymphoma - most common. If there is concurrent lymphoma Metastatic = Meningeal involvement Primary = Parenchymal involvement.
139
Carlson et al: Starry sky hepatic US in horse: **What did they find a starry sky appearance mean?**
Histologically it showed fibrosing granulomas Due to the lack of primary hepatic disease and lack of GGT elevation in most of the horses this is likely incidental.
140
Selberg et al: Fractures of P3 in horses on MRI: **Most fractures related to what structures? What was the abnormalities in the palmar process or ungual cartilages, and what was their conclusions?**
Fossa of the collateral ligaments. All palmar process and ugual cartilages were mineralized. This might mean that ossification of these structures may lead to fractures of P3.
141
What is this structure on a male cat?
Os penis... see it in older cats - not pathologic
142
Stadler et al: CT of primary laryngeal or tracheal obstruction: **What are the CT findings of the laryngeal paralysis?**
Arytenoid cartilage failure to abduct narrowed rima glottis Air- filled laryngeal ventricles.
143
Fraga et al: US of babesiosis: **What is the common US characteristics of babesia infection?**
Diffuse heterogenous splenomegaly\*\*\*\* Hypoechoic hepatomegaly and hyperechoic renal cortex
144
Taeymans et al: US of feline ielocecocolic; **Most common US abnormalities and clinical signs**
Enalrged cecal lymph nodes Focal hyperechoic mesenteric fat Thickened cecum.
145
Young et al: MRI Features of intracranial gliomas: **What are the common MRI findings with gliomas?**
In the cerebrum and thalamus Contact with the lateral ventricle Associated with both grey and white matter CANNOT tell the difference in glioma types Contrast was related to high grade tumors.
146
Thrall et al: Imaging dogs with suspected disc herniation: **How did thrall rank the modalities that best suit imaging dogs with myelopathy?**
MRI = 1st CT myelography = 2nd - especially with nonchondrodystophoid dogs CT shoudl be fine with chondrodystrophoid dogs Myelogram is adequate when MR and CT are unavailable.
147
What are the three ways to suppress fat on MRI?
STIR - T1 relaxation times of fats and water. Phase imaging Chemical fat saturation. - Precessional frequency differences in fat and water - good choice for post-contrast- Can be in other weighted images (only on) - eliminates chemical shift - can't use it in low magnets
148
Choi et al: Barium and carboxymethylcellulose enema: **What is the advantage of carboxymethylecellulose over barium in an enema?**
Carbo is anechoic material while barium is echogenic causing it to be hard to delineate the colonic walls with barium.
149
Choi et al: Barium and carboxymethylcellulose enema: **What was the dose for the enemas and the most optimal volume ratio?**
30ml/kg dose 1 part barium to 3 parts carboxymethylcellulose
150
What does this picture show?
Torn mensicus on a T2\* which did well in dipicting these lesions
151
What is this?
Orthotopic ureterocele - In the bladder Ectopic ureteroceles are in the ureters or urethra (most common) Females 3x more likely.
152
Swarte et al: Comparison of US features of benign and neoplastic lymph nodes dog: **What was the size of neoplastic lymph nodes (length, short-axis and SA/LA ratio) and was it significant?**
Yes it was significant and the only thing that was! Not shape or echogenicity or adjacent mesentery. 0. 5 SA/LA ratio 2. 8 cm SA 5. 5 cm LA
153
Freire et al: Radiographic evaluation of feline DJD: **Does radiographic changes corrrelate well with the histopath diagnosis of DJD in cats?**
No... 71% of stifles were normal on radiographs but had histo evidence of DJD 50% of all other joints looked at.
154
What can improve the conspicuity of the pancreatic duct on MRI imaging?
Secretin administration.
155
Gallach et al: Reliability of T2W sag images in finding compressive discs in dogs: **What is recommended from this paper pertaining to where to cut T2 transverses?**
Obtain transverse images across the spaces immediately adjacent to the suspect site of herniation. This is due to only 90% of accuracy finding the correct lesion on T2 sag
156
What is the difference between DTI and DWI?
They both use brownian motion of water. DTI uses at least six directions rath than DWI using three. DTI gives you directional flow and therefore tractography.
157
Sclerosis in this region along with cystic-like lesions have been associated with what?
Sagital fractures of P1 of the sagittal groove.
158
CEUS in cats... what is the last layer to wash out?
Submucosa
159
What is the minmum mgI/kg should be used for arterial enhancement of pulmonary arteries in dogs? When is the peak enhancement?
400mgI/kg 6-10s
160
What carpal bone has the most variablitiy in shape and size?
ulnar carpal bone.
161
How does the adrenal gland contrast enhance during SonoVue injection during US evaluation? What is the optimal timing for imaging the adrenals when using SonoVue?
Uniformaly and from the medulla outward to the cortex. 5-90s
162
What are the differentials for an intracranial vascular lesion?
Hemangioma Hemangiosarcoma Hemorrhagic infarct (unilateral (carotid disease) vs bilateral) Hamartoma Hematoma Glioma Intravascular lymphoma
163
What is the cutoff for Standard uptake values (SUV) of FDG for sarcoma vs carcinoma?
Above 10.6 is likely carcinoma Below 7.6 is likely sarcoma.
164
Sharma et al: US vs Rads for intestinal mechanical obstruction in dogs: **Which modality had a great accuracy?**
Ultrasound with 97% rads had 70%
165
Sharma et al: US vs Rads for intestinal mechanical obstruction in dogs: **What was a useful measurement that should promt the thorough search for a cause of a small intestinal obstruction?**
Dilatation off the jejunum \>1.5cm
166
Differentials of this lesion?
Myxoma Myxosarcoma Spinal articular cysts (gangilon vs synovial) - this is not a good choic for this lesion due to its infiltrative nature.
167
What is the artifact in A and B and how can you correct for in as seen in C and D?
A and B = Pulsitile artifact showing T2 hyperintensity in the cord. (in the phase direction) Change phase direction Add flow compensation This was seen commonly at C3-C5 in this study.
168
Kim et al: Mesenteric LN injection with ioxhexol for thoracic duct CT lymphogram in cats; **What was the dose that was used?**
450mgI (1.5ml)
169
Kim et al: Mesenteric LN injection with ioxhexol for thoracic duct CT lymphogram in cats: **Where was the thoracic duct and cistern chyli commonly found?**
Ventral and to the LEFT of the vertebrae at the level of Cranial lumbar to caudal cervical vert.
170
What are the four forms intracranial cryptococcous in humans?
Solid mass Numerous tiny gelatinous pseudocysts in the basal nuclei and midbrain Miliary enhancing parenchyma with leptomeningeal nodules Combo of all three.
171
What intensity can a cryptoccus mass be on MRI on T2 sequences?
T2 isointense due to mucin pseudocysts that are seen on histopath but not MRI.
172
Dennler et al: Thoracic CT findings of dogs with angiostrongylus vasorum: **What is the other name for a. vasorum?**
French heartworm
173
Dennler et al: Thoracic CT findings of dogs with angiostrongylus vasorum: **Where to a. vasorum live?**
Pulmonary arteries and right heart
174
Dennler et al: Thoracic CT findings of dogs with angiostrongylus vasorum: **What are the main CT abnormalities seen on CT?**
Multiple nodules Alveolar pattern Lymphadenopathy Interstitatial pattern (ground-glass, subpleural interstitial thickening, subpleural lines, interface sign) Arterial thrombus.
175
Mateo et al: MRI characteristics of canine disc extrusion and epidural hemorrhage: **What is a common feature of disc extrusion not asscoiated with hemorrhage or inflammation?**
T2- hypointense extradural mass
176
Mateo et al: MRI characteristics of canine disc extrusion and epidural hemorrhage: **Where are most disc extrusion that are accompanied by epidural hemorrhage located?**
Caudal aspect of the lumbar spine.
177
Mateo et al: MRI characteristics of canine disc extrusion and epidural hemorrhage: **What is the clinical outcomes of canine disc extrusions accompanied with epidural hemorrhage?**
Same as a regular disc.
178
Mateo et al: MRI characteristics of canine disc extrusion and epidural hemorrhage: **What was the MRI characteristics of disc extrusion accompanied by epidural hemorrhage?**
Varied widely. But T1 hyperintensity was common (rule out fat with a STIR or chemical suppression) 10/46 the exact location of the disc could not be idendified.
179
Watson et al: Safety and correlation of US FNA (22g) and 18g Tru-Cut biospy of the dog spleen: **What was the % of cases that histopath and cytopath agreed on the diagnoses?**
50% of the time only. Both were obtained safely.
180
Gastric pneumatosis is classified into what two groups? How can you tell the difference between the two?
Gastric emphysema - Random finding (vomiting, trauma) -linear streaks Emphysematous gastritis - BAD shit. - Bacteria involved (fever and pain) - Usually cystic radiolucencies in the wall Once intramural air is confirmed, emphasis should be placed on identifying the underlying disease. (necrosis, FB,
181
What the metastatic rate for pheochromocytomas and where do they go?
12% Lymph nodes mostly Though everywhere was seen including CNS (brain and spinal cord)
182
A hyperintense lesion on T2, PD and STIR that has a hypointense rim is indicative of what?
Osteomyeolitis \*\*\*THIS IS THE MOST COMMON OSSEOUS ABNORMALITY in foals with infectious arthritis. Hyperintensity is have inflammation while the hypointense rim is sclerosis or necrosis.
183
Ngosuwan et al: CE of extradural compressive material on MRI; **What percentage of extradural material contrast enhanced and what percentage of the meninges enhanced?**
50% - extradural material enhanced 40% - Meninges enhanced
184
Ngosuwan et al: CE of extradural compressive material on MRI; **CE of extradural material was more asscoiated with protrusions or extrusions?**
Extrusions
185
Ngosuwan et al: CE of extradural compressive material on MRI; **Intramedullary T2 hyperintensities were associated with what?**
More severe neurologic deficits
186
Taeymans et al: CEUS of benign and malignant focal splenic lesions: **What was seen in all malignant splenic nodules and in none of the benign lesions?** **How sensitivity, specific and accurate was early washin in and washout times, or persistant hypoperfusion?**
**_Tortuous and persistently visible feeding vessels._** They weren't.. Hypoperfusion was more specific for malignancy but sensitivity was terrible.
187
Michele et al: CT of the pharynx closed vs open mouth: **What does opening the mouth effect when looking at the visibilty of the pharynx?**
Increases the visibility of the pharyngeal structures Significantly increase the volume of the air-filled nasopharynx--- important with looking for nasopharyngeal stenosis and measuring for stents.
188
Zimmerman et al: Radiographic and scintigraphy changes in horse with TL pain: **Where were the most common lesions on both radiographs and scintigraphy?**
T14- T17
189
Zimmerman et al: Radiographic and scintigraphy changes in horse with TL pain: **What breed and age had more spinous lesions?**
Thoroughbreds and older horses
190
Zimmerman et al: Radiographic and scintigraphy changes in horse with TL pain: **What are the radiographic changes associated with TL lesions?**
1. Increase sclerosis of the rim of the spinous process 2. Radiolucent foci (one or more, and size matters) 3. Interspinous space (4mm is normal) 4. Modeling of the dorsal/cranial aspect of the spinous process
191
Zimmerman et al: Radiographic and scintigraphy changes in horse with TL pain: **Is there a positive relationship between the severity of radiographic findings and intensity of IRU?**
Yes there was.
192
What clinical signs are noted with dogs that have caudal intervertebral disc herniation?
1. Caudal vertebral pain 2. Pain with tail manipulation 3. Pain during defecation 4. Abnormal tail carriage
193
Kuhn et al: Rads and US of the patella lig post TTA: **A larger cage size was associated with what? At what times?**
More severe thickening on rads and US Six and 16 weeks post TTA
194
Urraca et al: **What size of metal particles could be seen on rads in pre-screeing for metallic particles in the equine foot?**
\>1mm
195
Laurenson et al: Intestinal mast cell tumor US: **What is a common appearance of MCT in a feline intestine?**
Asymmetric Eccentric Hypoechoic Muscularis and submucosal lay Altered wall layering rather that loss
196
Laurenson et al: Intestinal mast cell tumor US: **How many cats had mets with intestinal MCT?**
70%
197
Singh et al: Contrast media enhancement in brain lesions and histopath: **What was the striking finding in this case?**
10 areas of necrosis had contrast enhancement 5 areas without central necrosis had ring enhancement Therefore - enhancement does not rule out necrosis.
198
What are the most common lobes to be affected by congenital lobar emphysema in a dog?
Right middle Left Cranial
199
What is congenital lobar emphysema most likely caused by?
Bronchial cartilage abnormalities and collapse... causing air trapping.
200
What are differentials for a enlarged, hyperlucent lung lobe on rads?
Partial torsion Extraluminal compession of the bronchi Intraluminal FB Bullous emphysema Congenital lobar emphysema
201
WHAT IS THE NORMAL HU of the lungs of a dog at 15mmHg?
-846 HU mean
202
What are the most common reactions of horses when administering intraarterial ionic iodinated contrast?
9% reaction Skin reponse Heart rate and blood pressure elevation.
203
Maher et al: Positive contrast magnetic resonance bursography: **What amount of contrast is need in the navicular bursa to distend the proxima recess, or separate the collaterals of the sesamoid from the DDF, or separate the navicular bone from the DDFT?**
2ml - distend the bursa 4ml - to separate the DDFT and the collaterals 6ml - to separate the navicular bone and DDFT
204
US findings in horses with foot pain and no radiographic osseous lesions: **What was the main cause?**
30/37 - DDFT 27/37 - Distal interphalangeal joint with collateral lig abnormaltiies 22/37 - Navicular (podotrochlear) bursa 8/37 - navicular flexor surface
205
Wisner et al: MRI of canine intracranial tumors: **What feature was common in oligodendrogliomas?**
Central mucinous content.
206
Young et al: MRI characteristic of gliomas in dogs: **What was found most commonly in higher grade tumors?**
Contrast enhancement
207
Young et al: MRI characteristic of gliomas in dogs: **What type had the most contact with the brain surface?**
Oligodendrogliomas
208
Young et al: MRI characteristic of gliomas in dogs: **What was the most common finding in both types?**
Contact with the lateral ventricle.