e. Patients with NF1 often lose their vision
All of the following are true of von Hippel-Lindau disease Except :
a. Autosomal recessive inheritance
b. Renal cell carcinoma and pheocromocytoma may complicate this condition
c. Retinal examination of all familiy members are indicated, even before the age of the two years
d. Occasionally there is an increase in erythropoetic activity induced by the tumor
a. Autosomal recessive inheritance
The following are true of fifth nerve neuromas EXCEPT :
a. They are rare lession with similar histopathology to acoustic neuromas
b. Symptoms of sixth nerve dysfunction occur earlier than those of fifth nerve dysfunction
c. These lesions are rarely malignant
d. They rarely invade the cavernous sinus
d. They rarely invade the cavernous sinus
All of the following may cause Cheyne Stokes respiration EXCEPT :
a. Uremia
b. Wallenberg syndrome
c. Hypertensive encephalopathy
d. Bilateral cerebral infarction
b. Wallenberg syndrome
All of the following muscle can be affected by entrapment of the posterior interosseus nerve EXCEPT :
a. Extensor carpi ulnaris
b. Extensor pollicis longus
c. Extensor digitorum
d. Extensor carpi radialis
e. Abductor pollicis longus
d. Extensor carpi radialis
Each of the following is true regarding cerebrospinal fluid (CSF) EXCEPT :
a. 70 of CSF is secreted by the choroid plexus
b. Net production of CSF (in main) is 0,35 ml/min
c. Volatile anesthetic agents and CO2 decrease CSF formation
d. The exit of the CSF via the arachnoid vili is pressure dependent
e. The choroid plexus regulates the production and composition of the CSF
c. Volatile anesthetic agents and CO2 decrease CSF formation
Regarding eryhtocytosis, each of the following is true in patients with cerebellar hemangioblastoma EXCEPT it :
a. Occurs in 10 – 50 % of patients
b. Subsides after of the tumor in at least half the cases
c. Never recurs it subsides
d. Is more common with solid hemangioblastoma
c. Never recurs it subsides
A 50-year-old white male carpenter present with chief complaint of severe bifrontal headache. He also notes that he occasionally bumps into objects. On exam he is found to have decreased peripheral vision bilaterally in the superior and inferior temporal fields. Magnetic resonance imaging (MRI) and computed tomography (CT) show a large suprasellar tumor. The patient is suspected of having a craniopharyngioma. The tumor is resected by a subfrontal approach. Postoperatively, the patients appears to have sustained damage to the frontal branch of his facial nerve. The MOST LIKELY reason for his frontal branch facial nerve injury is which one of the following ?
a. The incision began within 1 cm anterior to the tragus
b. When detaching the scalp from the supra orbital rim, the supra orbital nerve was not identified
c. The patien’s dressing is too tight.
d. The initial incision anterior to the tragus was deep and inferior
d. The initial incision anterior to the tragus was deep and inferior
Post operatively, the patient experience increased urine output greater than 500 cc in two succesive hours, is thirsty, but cannot drink secondary to nausea. The serum sodium is 148. The osmolality is 318. The urine spesific gravity is 1.0001. The best treatment at this time would be :
a. 5 meg of DDAVP (desmopresin acetate) tannic in oil intramuscularly now
b. Give a 500-cc bolus of intravenous NS
c. Give 5 meg of DDAVP aqueous sub Q now
d. Nothing, the patient is mobilizing free water
c. Give 5 meg of DDAVP aqueous sub Q now
You review the pathology slides with the neuropathologist and find that the tumor exhibits the following character: solid, noncalcified, encapsulated, well-differentiated solid-sheet like cells. It is cytokeratin and EMA positive. It lacks palisading of cells, keratin pearls, cholesterol and squamous maturation. Your diagnosis is :
a. Metastatic adenocarcinoma
b. An adamantimatus variant
c. Papilary variant
d. Dermoid cyst.
c. Papilary variant
A 63-year-old right handed male presents with three-year history of clumsy giat. He was diagnosed one year ago with cervical spondylitic myelopathy and underwent a C5-7 posterior cervical decompressive laminectomy. He did well intially, but in the past few months his gait has worsened and he now complains of clumsiness of his hands. HE denies any sensory deficits or incontinence. On examination, he has marked lower-extremity spasticity and weakness of hand grasp bilaterally with early atrophy of interossei. A lateral cervical x-ray demonstrates the laminectomy defect with no evidence of subluxation. Which of the following would be least helpful in determining a diagnosis ?
a. Detailed sensory examination
b. Oblique views of the cervical spine to asses foraminal narrowing
c. Electromyography/nerve conduction velocity studies of the upper and lower extremities
d. Urodynamic studies and assesment of spinchter tone
e. Examinaton of the tongue
b. Oblique views of the cervical spine to asses foraminal narrowing
A 50-year-old right handed female presents with one –week onset of progressive right facial paresis, right upper extremity weakness, and word finding difficulty. A CT scan reveals a well-circumscribed, enhancing lesion in the left temporal subcortical white matter, with patchy calcifications and surrounding edema. A craniotomy is planned for resection of a presumed oligodendroglioma. Which of the following is TRUE ?
a. A frozen section will reveal cells with a fine stroma and perinuclear halos
b. The presence of glial cells in the this tumor would be associated with a poor prognosis
c. Radiation therapy will not affect the prognosis of this patient
d. The tumor is a well-differentiated oligodendroglioma
e. The presumed diagnosis is reasonable given that oligodenrogliomas account for nearly 20 % of all cerebral gliomas
d. The tumor is a well-differentiated oligodendroglioma
A 48-year-old male postal carrier presents with a one-month history of a disagreeable burning sensation of the anterolateral right thigh above the knee which is exacerbated during ambulation on his postal routes. On examination you find that light touching of the lateral thigh and palpation at the lateral inguinal ligament reproduces his pain. There is also diminshed sensation to pinprick in the painful distribution. You NEXT :
a. Order an MRI of the lumbosacral spine
b. Order an MRI of the pelvis
c. Obtain an ultrasound of the right testicle
d. Inject 5 to 10 cc of local anesthetic at the painful area in the lateral inguinal ligament
d. Inject 5 to 10 cc of local anesthetic at the painful area in the lateral inguinal ligament
The result of the above diagnosis test is assessed by you and confirms your initial impression. You then discuss treatment options which include all of the following EXCEPT:
a. Reassuring the patient that a large precentage of patients will improve with conservative measures.
b. Discussing that repeat injection of local anesthetic and steroids will often provide significant relief
c. Counseling the patient on sign and systems of cauda equina syndrome and the urgency of medical evaluation should any sysmptoms or signs occur.
c. Counseling the patient on sign and systems of cauda equina syndrome and the urgency of medical evaluation should any sysmptoms or signs occur.
A-17 year-old male involved in a motorcycle accident arrives at the emergency room with a Galsgow Coma Scale score of 4, a dilated and nonreactive left pupil, and a mean arterial blood pressure of 90 torr. After airway management and fluid resuscitation, his Glasgow Coma Scale improves t o6, but his right upper extremity remains sluggish to pain and the left pupil remains dilated and nonreactive. Your initial emergency room management of this patient is :
a. Begin hyperventilation because of clinical evidence of elevated intracranial pressure (ICP) from asymmetric exam
b. Adminster mannitol once volume resuscitation and bladder drainage are secure because of clinical evidence of elevated intracranial pressure from asymmetric exam
c. Move directly to CT scan once cervical spine films, chest x-ray, and initial physical examination are expeditiously completed
d. All of the above
d. All of the above
A 41-year-old female with no significant medical history undergoes laparoscopic cholecystectomy without incident. In the recovery room she begins to camplain of left-sided headache and becomes progressively lethargic. Right-sided movements become sluggish, oxygen saturation drops, and she is reintubated. You are called from the CT scanner to view the cranial images (Figure 1). Your examination of the patient 30 minutes after symptom onset reveals decorticate right-seide posturing, withdrawl to pain on the left side, a dilated nonreactive left pupil and, a blood pressure of 160/100 mmHg. The most likely diagnosis and best course of therapy is :
a. Hypertensive hemorrhage. Begin immediately aggresive intravenous therapy to reduce systemic blood pressure
b. Amyloid angiopathy. Begin hyperventilation and consider stereotatctic biopsy of parenchymal wall of hematoma to assess for presence of amyloid deposition in vessel walls and brain parenchyme
c. Arterial pressure hemorrhage. Begin hyperventilation, secure bladder drainage with catheter and give mannitol while transporting patient to the operating room form emergent clot evacuation and plans for possible engagement of aneurysm, vascular malformation or tumor.
d. Hemorrhage, etiology indeterminant. Place intracranial pressure monitor, begin aggresive treatment to lower intracranial pressure and blood pressure and move the patient to intensive care unit with plans for angiography.

c. Arterial pressure hemorrhage. Begin hyperventilation, secure bladder drainage with catheter and give mannitol while transporting patient to the operating room form emergent clot evacuation and plans for possible engagement of aneurysm, vascular malformation or tumor.

A 63-year-old alcolohic, obese, hypertensive, female smoker was found by her daughter unable to walk for two hours and is complaining of new onset severe bilateral lower extremity pain. She was brought to the emergency room. You are consulted and your exam reveals poor brachial pulses, and absent bilateral popliteal artery pulses: extremely weak volitional movements of the legs below the hips: markedly diminished sensation progressively severe from mid thigh to toes: cool lower extremities that appear mottled and are flaccid and are flexic; and normal rectal tone and sensation. Electrolytes and glucose are normal. Creatine kinase is greater than 2000. Electrocardiography reveals no acute changes. Your next response is :
a. Order an emergent echocardiogram
b. Order an emergent lumbosacral MRI
c. Heparinize immediately and obtain an emergency consultation by vascular surgery
d. Obtain an emergency consultation by nuerology with emergent electromyography
c. Heparinize immediately and obtain an emergency consultation by vascular surgery
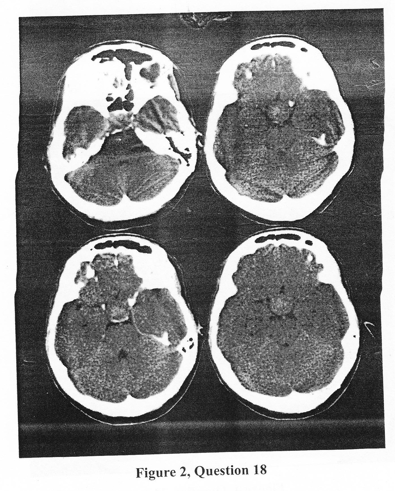
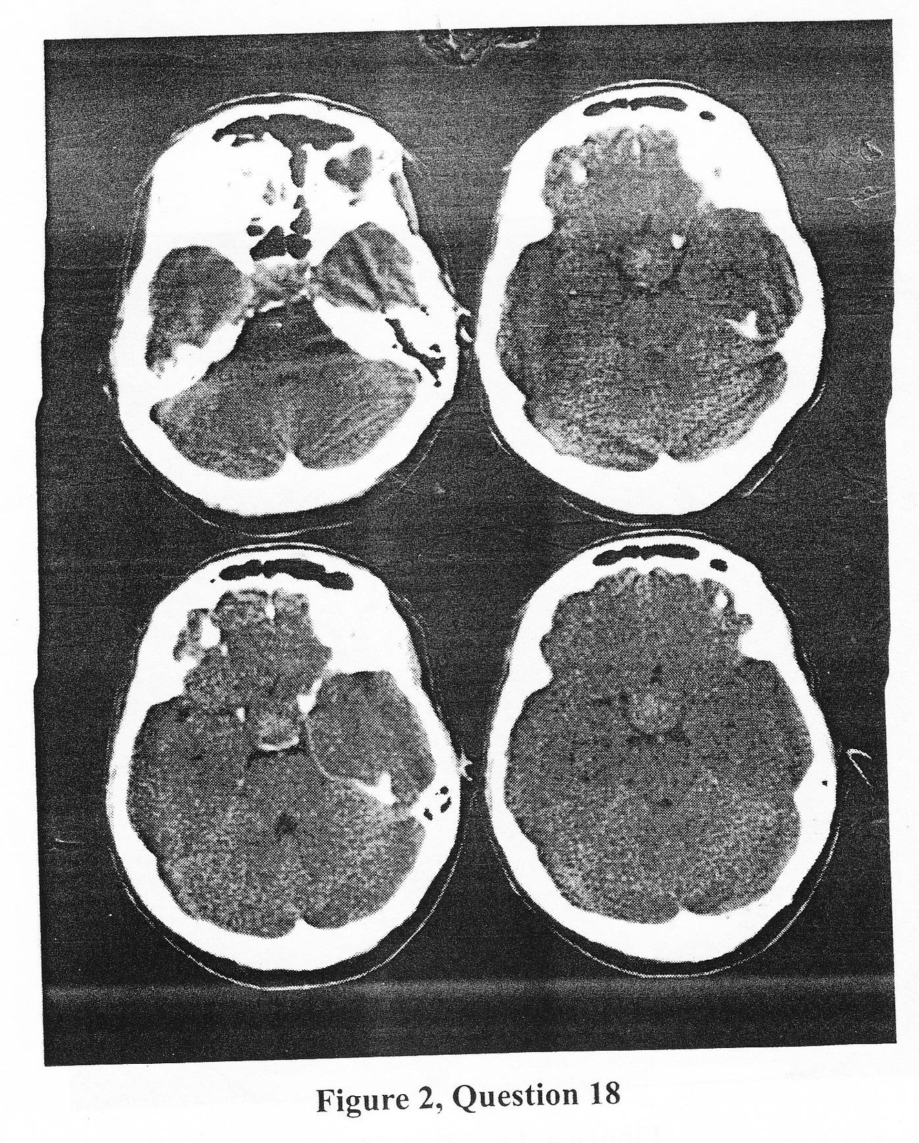
A previously healthy 56-year-old male arrives at the emergency room with a three day history of sudden onset global headache and nausea with several episodes of emesis that have diminished in intensity over the ensuing three day but remained, and progressively severe fatique of one-day duration with recent abdominal pain. The patient’s exam is unremarkable with no evidence of acute peritoneal signs and mimimal meningeal nuchal rigidity. A CT head scan was obtained (Figure 2) and you are consulted. After review of the head scan your next response should be :
a. Lumbar puncture for Cerebrospinal fluid levels
b. Cerebral engiogram
c. administer parenteral glucocorticoids
d. Order an delectroencephalogram (EEG)

c. administer parenteral glucocorticoids

A 35-year-old wihte male complins of fever and headache. He begins to notice odd smell and his wife feels hisbehaviour is odd. Two days later he has a generalized seizure and is brought to the emergency room. On examination, you note a confused state with normal level of consciousness, right-sided weaness, and right Babinski sign. Intra cranial imaging is obtained (Figure 3). Cerebrospinal fluid (CSF) reveals 30 polymorphonuclear cells, protein of 120, glucose of 50. You NEXT : a. Begin intravenous acyclovir or equivalent agent, obtain an EEG, ask for a PCR on suspected agent DNA in CSF
b. Begin broad spectrum antibiotics and await CSF cultures
c. Perform emergent temporal lobe tumor
d. Order a chest x-ray and a purified protein derivative skin test for tuberculosis, and assure CSF sample is properly cultured for mycobacterium tuberculosis

a. Begin intravenous acyclovir or equivalent agent, obtain an EEG, ask for a PCR on suspected agent DNA in CSF

A 52-year-old male with a remote history of epilepsy undergoes resection of a growth hormone secreting 2 cm pituitary macroadenoma. On the first post operatively day he has transient diabetes nsipidus treated with several subcutaneus injections of DDAVP. He is released on the third postoperatively day feeling well with a prescription for hydrocortisone, 20 mg in the morning and 10 mg in the late afternoon. Because of a brief postoperative seizure, he was started on carbamazepin. Five days later the patient is brought to the emergency room because of confusion. When examined he appears encephalopathic with marked tremulousness and asterixis. A serum sodium is 115 mg/l. Which is the least likely cause of the patient’s hyponatremia ?
a. Syndrome of inappropriate secretion of antidiuretic (SIADH)
b. Adrenal insufficiency secondary to noncompliance with medication
c. Hypothyroidsm
d. Rapid mobilization of fluid from acral tissue
e. A complication from carbamazepine
d. Rapid mobilization of fluid from acral tissue
A 75-year-old epileptic male with bitemporal hemianopsia is reffered for transsphenoidal resection of a nonfunction pituitary macroadenoma. His only medication is dilantin for seizure control. He has mild cirrhosis secondary to chronic alcoholism. Endocrine test reveal that heis hypothyroid with corticotropin deficiensy. In preparing the patient for operation, all of the following are true EXCEPT :
a. Initiating thyroid therapy may priceipitate an adrenal crisis
b. Thyroid replacement therapy, if begun rapidly, can tax cardiac reserve
c. Thyroid extract is preferred over L-thyroxine (T4) because it results in more stable thyroid hormone lveles
d. The patient’s Dilantin level may need to be increased.
e. Hydrocortison is preferred over cortisone for replacement therapy
c. Thyroid extract is preferred over L-thyroxine (T4) because it results in more stable thyroid hormone lveles
A 67-year-old male presents with classical manifestation of acromegaly, including sleep apneu. An MRI reveals a 2,5 cm pituitary macroadenoma with questionable involvement of the cavernous sinus. The patient has no visual symptoms, but visual field testing reveals a very minimal chiasmal syndrome. Serum growth hormone levels after induced hyperglicemia are in the range of 120 mg/dl. The MOST APPROPRIATE initial management of this patient’s acromegaly would be :
a. Transsphenoidal surgery
b. Conventional radiation
c. Gamma knife radiosurgery
d. Bromocriptine
e. Ocreotide
d. Bromocriptine
All of the following statements concerning the use of ocreotide in the treatment of acromegaly are true EXCEPT :
a. About 70 % of patients will notice a decrease in soft tissue swelling and a general sense of well- being within several days of initiating treatment
b. Long-standing headache, a caractheristic of acromegaly, may improve within minutes of the first injection
c. Shrinkage of growth hormone secreting tumors with ocreotide is as dramatic as the response of prolactinomas to bromocriptine
d. Screening of acromegaly patients for colon cancer on regular basis should continue even though acral symptoms improve with ocreatide
e. Patients should be cautioned about gallstone and hyperglicemia
c. Shrinkage of growth hormone secreting tumors with ocreotide is as dramatic as the response of prolactinomas to bromocriptine
A 67-year-old female presents with a painful, proptotic red eye and complaints of diplopia. On examination she has a right abducens palsy, mild proptosis of the right eye with arterialized episcleral veins and bruit over the orbit. An MRI shows mild proptosis, OD, and an enlarges superior ophtalmic pain. An arteriogram shows a dural cavernous fistula fed by the meningohypophyseal trunk of the right internal carotid artery (Figure 4) and multiple branches of the right external carotid artery (Figure 5). There is venous drainage via the inferior petrosal sinus and superior ophtalmic vein. Retrograde cortical venous drainage is also present. Which of the following treatment options is BEST :
a. No direct or indirect surgical treatment, because the risks of treatment are worse than the risk of natural history of lesion
b. Instruct the patient to perform intermittent right carotid artery compression on herself multiple times a day for several weeks
c. Embolize the arterial feeding vessels
d. Have an interventional neuroradiologist cannulate the cavernous via the inferior petrosal sinus and obliterate the cavernous sinus with coils.
e. Expose and pack the right cavernous sinus via a right frontal craniotomy.

d. Have an interventional neuroradiologist cannulate the cavernous via the inferior petrosal sinus and obliterate the cavernous sinus with coils.
