A. patient age
B. histologic grade
C. extent of resection
D. ABO blood group
E. Karnofsky performance status score
D. ABO blood group
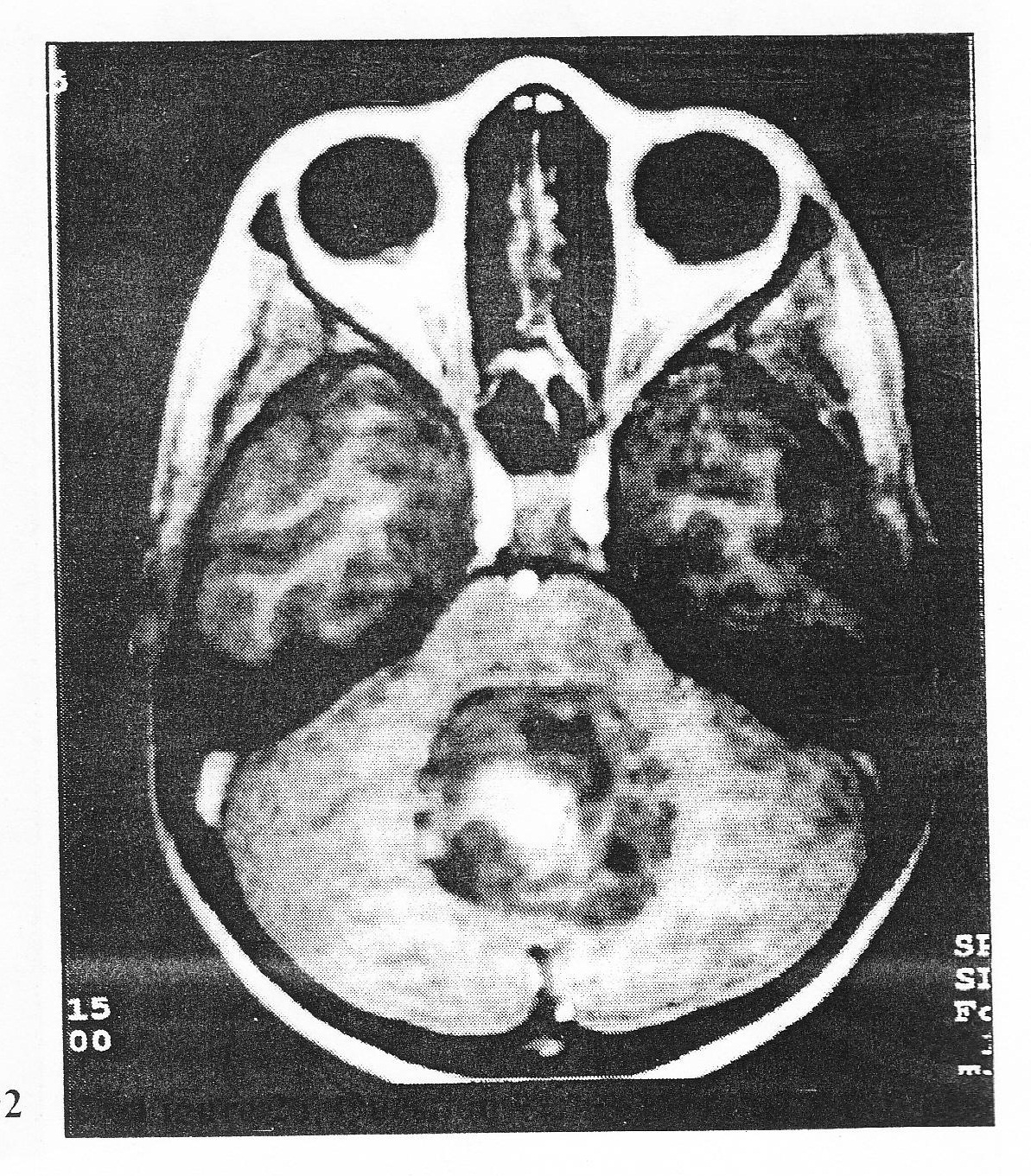
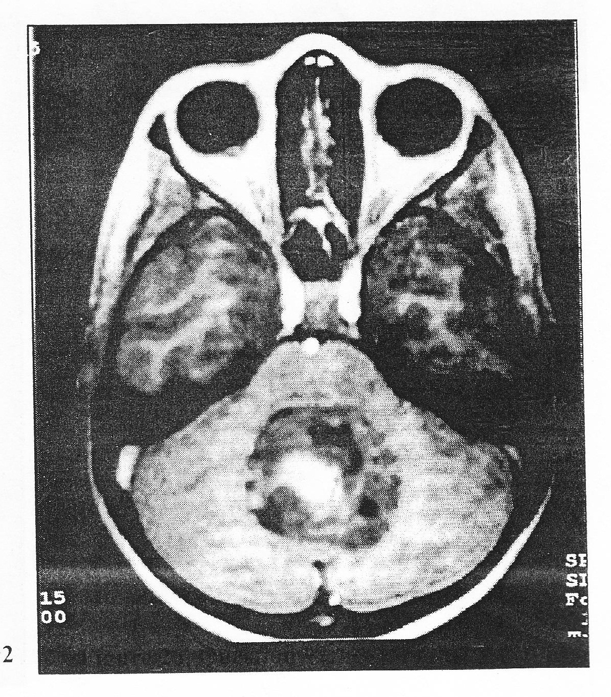
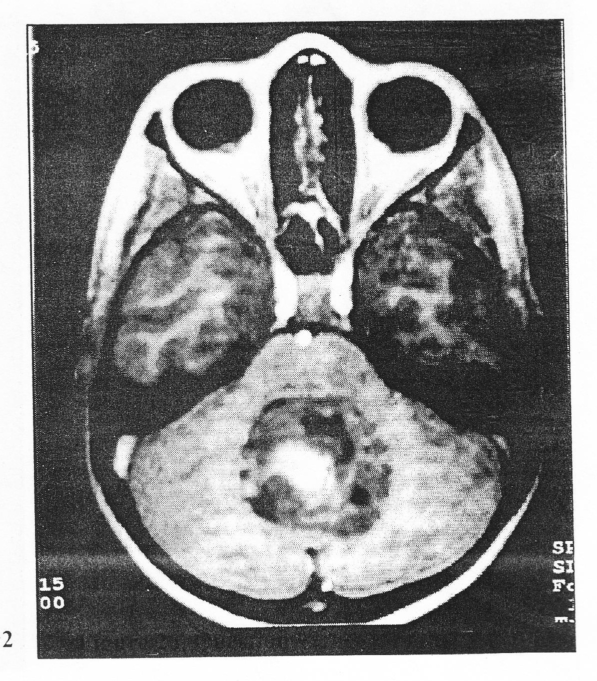
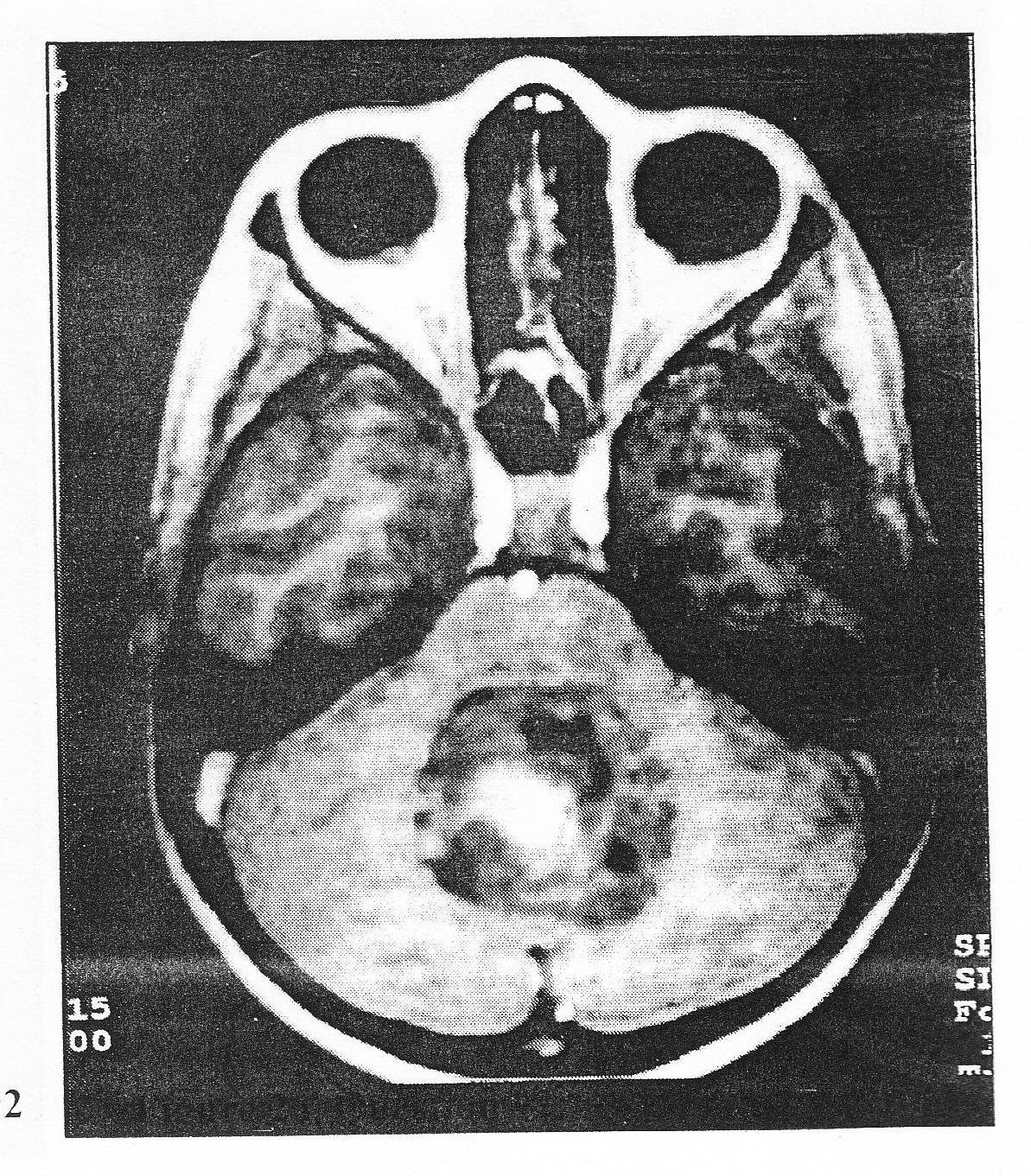
A 7-year-old boy presents with a two month history of progressive headaches, vomiting, and ataxia. On examination he is sleepy but easily aroused and readily verbalizes appropriately and follow commands. His pupils are equal and reactive but he has impaired upward gaze. Funduscopic exam reveals bilateral papiledema.
A. cerebellar astrocytoma
B. brainstem glioma
C. hemangioblastoma
D. primitive neuroectodermal tumor (meduloblastoma)
E. cavernous angioma

D. primitive neuroectodermal tumor (meduloblastoma)
A 7-year-old boy presents with a two month history of progressive headaches, vomiting, and ataxia. On examination he is sleepy but easily aroused and readily verbalizes appropriately and follow commands. His pupils are equal and reactive but he has impaired upward gaze. Funduscopic exam reveals bilateral papiledema.
A. ventriculoperitoneal shunt
B. suboccipital craniectomy and biopsy of the lesion
C. suboccipital craniectomy and an attempt at gross total reaction
D. endoscopic biopsy E. stereotactic biopsy

C. suboccipital craniectomy and an attempt at gross total reaction
A 7-year-old boy presents with a two month history of progressive headaches, vomiting, and ataxia. On examination he is sleepy but easily aroused and readily verbalizes appropriately and follow commands. His pupils are equal and reactive but he has impaired upward gaze. Funduscopic exam reveals bilateral papiledema. proper staging for this disease should include all EXCEPT:
A. CSF for a-fetoprotein
B. CSF for cytology C. bone marrow biopsy
D. postoperative head MRI with and without contrast
E. MRI of the spine with and without contrast

A. CSF for a-fetoprotein
A 7-year-old boy presents with a two month history of progressive headaches, vomiting, and ataxia. On examination he is sleepy but easily aroused and readily verbalizes appropriately and follow commands. His pupils are equal and reactive but he has impaired upward gaze. Funduscopic exam reveals bilateral papiledema.
A. gross total resection
B. no evidence of CSF dissemination
C. no evidance of extra-neural disease
D. age less than three years

D. age less than three years
A 36-year-old non belted male driver was involved in a head on motor vehicle accident. On arrival in the emergency room, his pupillary, corneal, and gag reflexes were present and he flexed briskly to pain and has a Glasgow Coma Scale score of 5. His blood presure is 110/70 mmHg with a pulse of 100. An open comminuted femur fracture was apparent. A CT demonstrates open peri-mesencephalic cisterns with biofrontal contusions, with no extra-axial hematoma. This patient is admitted to the intensive care unit after ventriculostomy placement and a three hour open reduction and internal fixation procedure for femur fracture. Twelve hours later, his ICP climbs to 25 mmHg with mean arterial pressure of 75 mm Hg and cerebral perfusion pressure of 50 mmHg. His serum sodium is 146 mEq/dL and his hemoglobin is 9.5 g/dl, platelets are 1,900,000, and his prothrombin time is 13 second 96. The initial emmergency room management should include all of the following EXCEPT:
A. volume resuscitation with isotonic fluids
B. exclusion of intraperitoneal hemorrhage by CT or peritoneal lavage
C. hyperventilation to pCO2 of 25-30 mmHg and mannitol administration
D. intubation and maintenance of oxigen saturation >90%
C. hyperventilation to pCO2 of 25-30 mmHg and mannitol administration
A 36-year-old non belted male driver was involved in a head on motor vehicle accident. On arrival in the emergency room, his pupillary, corneal, and gag reflexes were present and he flexed briskly to pain and has a Glasgow Coma Scale score of 5. His blood presure is 110/70 mmHg with a pulse of 100. An open comminuted femur fracture was apparent. A CT demonstrates open peri-mesencephalic cisterns with biofrontal contusions, with no extra-axial hematoma. This patient is admitted to the intensive care unit after ventriculostomy placement and a three hour open reduction and internal fixation procedure for femur fracture. Twelve hours later, his ICP climbs to 25 mmHg with mean arterial pressure of 75 mm Hg and cerebral perfusion pressure of 50 mmHg. His serum sodium is 146 mEq/dL and his hemoglobin is 9.5 g/dl, platelets are 1,900,000, and his prothrombin time is 13 second 97. Which of the following is the MOST LIKELY cause for the elevation in his ICP?
A. delayed extra-axial hematoma
B. diffuse cerebral edema due to axonal injury
C. volume overload
D. evolution of contusion to intracerebral hematoma
D. evolution of contusion to intracerebral hematoma
A. most often arises from the distal segments of the posterior cerebral artery
B. is the primary vascular supply to the tectal plate
C. supplies the choroid plexus of the third ventricle
D. usually arises in multiple vessels from the PI segment
C. supplies the choroid plexus of the third ventricle
A 40-year-old woman presented to the emergency room with the worst headache of her life. A CT of the head demonstrated diffuse subarachnoid hemorrhage and angiography revealed a middle cerebral artery aneurysm. The patient underwent a pterional craniotomy and clipping of the aneurysm. Postoperativelly, she did well until day 3, when she developed hemiparesis and bilateral carotid distribution vasospasm confirmed by angiography. She was treated with hypertensive hypervolemic therapy. A second angiogram perfomed one week later is pictured in Figure 27. Based upon clinical and angigraphy findings, which of the following statements is FALSE?
A. This disease is five times more common in woman than men.
B. The disease involves the media of mainly medium sized arteries and its associated with destruction of the elastic lamina.
C. The average age for women with this disease is 50 years.
D. Associated intracranial aneurysms are uncommon.
E. patients usually present with neurologic defisit, hematomas, or subarachnoid hemmorhage due to aneurysm rupture.

D. Associated intracranial aneurysms are uncommon.
A 40-year-old woman presented to the emergency room with the worst headache of her life. A CT of the head demonstrated diffuse subarachnoid hemorrhage and angiography revealed a middle cerebral artery aneurysm. The patient underwent a pterional craniotomy and clipping of the aneurysm. Postoperativelly, she did well until day 3, when she developed hemiparesis and bilateral carotid distribution vasospasm confirmed by angiography. She was treated with hypertensive hypervolemic therapy. A second angiogram perfomed one week later is pictured in Figure 27. 100. which of the following statements about the vertebral angiogram (Figure 28) of the same patient is FALSE?
A. This disease process rarely involves the posterior circulation.
B. In this angiogram, the basilar artery is affected by the disease process.
C. Posterior circulation aneurysms have been reported in association with this disease.
D. the carotid arteries are affected bilateral almost 60% of the time.
E. When the posterior circulation is affected by this disease, the anterior circulation is almost always affected.

A. This disease process rarely involves the posterior circulation.
When treating the aneurysm pictured in Figure 29, which of the following statements is FALSE concerning the use electrically detachable coils as primary therapy?
A. bulging of the coils through the neck of the aneurysm can result in parent artery occlusion.
B. Coil placement may cause mechanical rupture of the aneurysm.
C. Vasospasm can result from catheter placement.
D. Once coils are placed, craniotomy for surgical ligation of the neck is no longer possible.
E. Delayed aneurysmal rupture can occur following the procedure

D. Once coils are placed, craniotomy for surgical ligation of the neck is no longer possible.
A. platelet-derived growth factor
B. ciliary neurotrophic factor
C. glial-cell line derived neurotrophic factor
D. interleukin1 E. nerve growth factor
C. glial-cell line derived neurotrophic factor
A. Intrathecal chemotherapy is more effective than either radiotheraphy alone or the radiotheraphy combined with sistemic chemoterapy.
B. The presence of more than one lesion is strongly associated with poor survival.
C. A history of cancer in a first- degree relative is a poor prognostic sign.
D. Survival of patients having tumor in contact with the ependyma is better than for those without ependymal contact.
C. A history of cancer in a first- degree relative is a poor prognostic sign.
A. deep peroneal nerve injury
B. superficial peroneal nerve injury
C. common peroneal nerve injury
D. L4 radiculopathy
E. L5 radiculopathy
B. superficial peroneal nerve injury
A. HFS persist during sleep.
B.HFS is usually caused by compression of the facial nerve at the root exit zone by the superior cerebellar artery.
C. In typical cases of HFS, the cerebral arteriogram is usually normal.
D. Although rare, most patients should have an MRI to rule of tumor, AVM, or epidermoid.
E. Charbamazepine and phenytoin are usually not effective in relieving symptoms.
B.HFS is usually caused by compression of the facial nerve at the root exit zone by the superior cerebellar artery.
A. L4-5 central disc herniation wth compressin of both L5 nerve roots’
B. left L4-5 paracentral disc herniation with compression of L5 nerve root
C. left L5-S1 far lateral disc herniation with L5 nerve root compression
D. left L5-S1 paracentral disc herniation with S1 nerve root compression
E. left L4- S1 far lateral disc herniation with L4 nerve root compression

D. left L5-S1 paracentral disc herniation with S1 nerve root compression

A. order a Philadelphia collar and discharge the patient home with analgesics snd muscle relaxants
B. take the patient emmergently to the OR for an occipital cervical fusion
C. place the patient in a Philadelphia collar and order an emergency myelogram
D. place the patient in a halo vest and order a CT scan of C1 and C2
E. place the patient in a halo vest and perform an emergency transoral decompression

D. place the patient in a halo vest and order a CT scan of C1 and C2

A. prescribe analgetics for hedache/cervical pain and repeat the MRI in six months to determine if the abnormality progressing
B. perform a lumbar puncture torule out a demyelinating proscess or a metastatic or infection etiology
C. propose a transoral C2-3 vertebrectomy and resection of the mass
D. propose a right retropharyngeal approach and resection of the mass

D. propose a right retropharyngeal approach and resection of the mass

A. mild paresis in forearm pronation
B. paresis of flexion of the terminal phalanx of the thumb
C. decreased sensation in the proximal thenar region
D. “pinch attitude” of the hand on attempting to make full circle by applying the tip of the thumb to the tip of the index finger
E. paresis of flexion of the terminal phalanges of the second and third fingers
C. decreased sensation in the proximal thenar region
A. craniopharyngioma
B. germinoma
C. pituitary adenoma
D. dermoid tumor
E, meningioma
C. pituitary adenoma
A 53-year-old male presents with a one- year history of dyplopia and slowly progressive left sided proptosis. On examination there is a 5 mm proptosis with slight deviation of the glove medially and down.
A. dermoid
B. epidermoid
C. pleomorphic adenoma of lacrimal gland
D. all of the above
E. A and B only

D. all of the above
A 53-year-old male presents with a one- year history of dyplopia and slowly progressive left sided proptosis. On examination there is a 5 mm proptosis with slight deviation of the glove medially and down.
A. medial orbitotomy
B. anterior orbitotomy
C. frontotemporal craniotomy
D. lateral orbitotomy

D. lateral orbitotomy
A 53-year-old male presents with a one- year history of dyplopia and slowly progressive left sided proptosis. On examination there is a 5 mm proptosis with slight deviation of the glove medially and down.
A. optic nerve
B. abducens nerve
C. trochlear nerve
D. occulomotor nerve
E. opthalmic artery

C. trochlear nerve
A 30-year-old female experienced an episode of left visual field scintillating scotoma followed by a left homonymous visual field defect. Aproximatelly 30 minutes later, a severe throbbing right hemicranial headache began and lasted for the reminder of the day. The patient was later investigated with an MRI. A pinealcyst was identified (Figure 35)
A. males > 50 years of age
B. female >50 years of
C. Females 20-40 years of age
D. males 20-40 years of age

C. Females 20 - 40 years
