A. stimulate a trimeric G protein, which inhibits the enzyme adenylate cyclase and decreases the generation of cyclic adenosine monophosphate
B. allow Ca 2+ to enter the cell and activate Ca 2+ - and calmodulin-sensitive enzymes in response to simulta- neous depolarization and glutamate binding
C. increase the influx of Na + into the cell, causing it to become hypertonic and swell, thereby dissociating elements of the cytoskeleton
D. increase the synthesis of heat-shock proteins in response to acetylcholine binding to muscarinic receptors
B. allow Ca 2+ to enter the cell and activate Ca 2+ - and calmodulin-sensitive enzymes in response to simulta- neous depolarization and glutamate binding
A. During maturation, neurons of the CNS lose the ability to express the appropriate genes required to extend an axon and form growth cones, whereas neurons of the PNS retain this ability.
B. Astrocytes in the CNS secrete lower levels of trophic factors than those of the PNS.
C. The sheath cells of the CNS (oligodendroglia) express higher levels of molecules inhibitory to axonal growth on their surfaces than the sheath cells of the PNS (Schwann cells).
D. The growth of axons in the CNS is inhibited by interactions with the surfaces of other neurons.
C. The sheath cells of the CNS (oligodendroglia) express higher levels of molecules inhibitory to axonal growth on their surfaces than the sheath cells of the PNS (Schwann cells).
A. on the dendrites of stellate cells in layer 4 of the striate cortex
B. cells in layers 4 and 5 of the lateral geniculate nucleus of the thalamus
C. deep layers of the superior colliculus
D. neurons of the extrastriate cortex and striate cortex which receive input from layer 4 cells of area 17
D. neurons of the extrastriate cortex and striate cortex which receive input from layer 4 cells of area 17
A 5-year-old boy presented with a 3-week history of progressive headache, nausea, vomiting, and blurred vision. On neurologic exam, he had bilateral abducens (CN VI) palsies, papilledema, and mild ataxia. Figure 58 depicts images from an MRI study. 215. Based on the patient’s history, physical, and MR findings, what is the MOST LIKELY diagnosis?
A. cavernous malformation
B. medulloblastoma
C. astrocytoma
D. aqueductal stenosis E. none of the above

B. medulloblastoma
A 5-year-old boy presented with a 3-week history of progressive headache, nausea, vomiting, and blurred vision. On neurologic exam, he had bilateral abducens (CN VI) palsies, papilledema, and mild ataxia. Figure 58 depicts images from an MRI study. 216. The BEST therapeutic option for this child is
A. surgical resection
B. craniospinal irradiation
C. both A and B
D. neither A nor B
C. both A and B
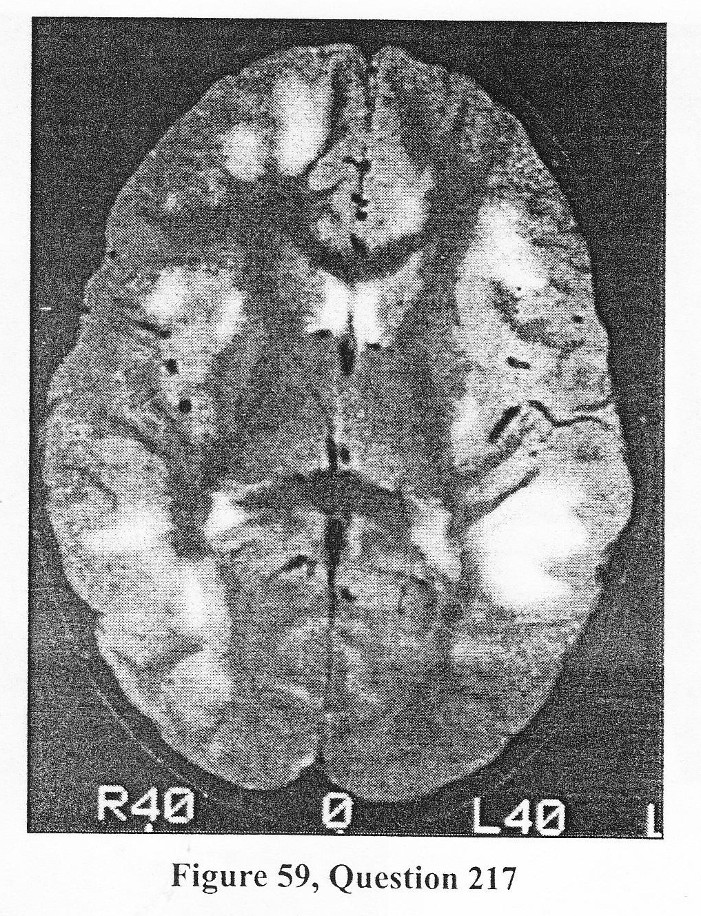
A 12-year-old girl has had sudden onset of weakness punctuated by partial seizures with secondary generalization. She has had normal development and has been healthy all of her life, although her parents note that she had a fever and pharyngitis about Wi weeks prior to the onset of the current illness. The physical exam reveals a stuporous child with spastic quadriparesis and right seventh cranial nerve palsy. Analysis of CSF reveals 55 white cells, all lymphocytes and monocytes, and 3 red cells. The protein is slightly elevated but the glucose is normal. An MR was obtained and is depicted in Figure 59. 217. The MOST LIKELY diagnosis is:
A. multiple sclerosis
B. acute disseminated encephalomyelitis
C. systemic lupus erythematosus
D. tuberculous meningitis

B. acute disseminated encephalomyelitis
A 9-year-old girl presents with progressive scoliosis. Physical exam reveals a midline hairy nevus in the lumbar area and left talipes varus. Weakness and hyperreflexia are noted in the left lower extremity greater than right. Anteroposterior and lateral spine x-rays show a butterfly vertebra at T10 and a hemivertebra at Til; crossed laminar fusion is seen at this level. A CT reveals thickened laminae and pedicles at these levels. 219. Regarding the patient in Question 218, which of the following is TRUE?
A. Subsequent siblings have a 50% chance of having the same problem.
B. Clipping the filum terminate will likely improve symptoms.
C. Urodynamic studies will probably be normal.
D. Other anomalies of the brain or spine are very unlikely.
B. Clipping the filum terminate will likely improve symptoms.
A 15-year-old boy presents with progressively medically refractory epilepsy. Exam revealed a mild hemiparesis and hyperreflexia on the right but was otherwise unremarkable. The MR is depicted in Figure 60. 220. What is the MOST LIKELY diagnosis?
A. low grade astrocytoma
B. dysembryoplastic neuroepithelial tumor
C. cortical dysplasia
D. glioblastoma multiforme

C. cortical dysplasia
A 15-year-old boy presents with progressively medically refractory epilepsy. Exam revealed a mild hemiparesis and hyperreflexia on the right but was otherwise unremarkable. The MR is depicted in Figure 60. 221. With regard to this patient, which of the following statements is TRUE?
A. The lesion is probably related to in-utero drug exposure.
B. A follow-up scan would be useful in making a definitive diagnosis.
C. Progressive neurologic deterioration is inevitable without definitive treatment.
D. Dysembryoplastic neuroepithelial tumors often have adjacent areas of cortical dysplasia.
D. Dysembryoplastic neuroepithelial tumors often have adjacent areas of cortical dysplasia.
A 46-year-old man with no history of spinal disorders or surgery presents with the onset of sharp pain in the lower cervical/upper thoracic region with radiation to the left upper extremity. On examination he is hyperreflexic in both lower extremities with bilateral Babinski responses. He has no motor or sensory deficits. A cervical spine x-ray and an MRI image are depicted in Figures 61 and 62. The lesion did not enhance following intravenous infusion of contrast.
A. meningioma
B. neurofibroma
C. neuroenteric cyst
D. spinal cord abscess
E. ependymoma of the spinal cord
C. neuroenteric cyst
A 46-year-old man with no history of spinal disorders or surgery presents with the onset of sharp pain in the lower cervical/upper thoracic region with radiation to the left upper extremity. On examination he is hyperreflexic in both lower extremities with bilateral Babinski responses. He has no motor or sensory deficits. A cervical spine x-ray and an MRI image are depicted in Figures 61 and 62. The lesion did not enhance following intraven ous infusion of contrast.
A. cervical laminectomy for removal of the mass lesion
B. anterior cervical discectomy
C. anterior cervical corpectomy with intradural resection of the mass lesion
D. posterior cervical discectomy E. cervical laminectomy for decompression without resection of the lesion
C. anterior cervical corpectomy with intradural resection of the mass lesion
A 25-year-old woman presented to the emergency room with the new onset of seizures. An MR! of the head was obtained. Representative scans with Tl and T2 weighted images are depicted in Figures 63 and 64.
A. glioblastoma multiforme
B. meningioma
C. dermoid tumor
D. arachnoid cyst
E. lymphoma
C. dermoid tumor
A 64-year-old Native American presents to a regional medical center in the southwestern United States with the progressive onset of fever, stiff neck, and quadriparesis. Unenhanced and enhanced Tl-weighted MRI images are represented by Figures 65 and 66. 225. Likely diagnoses for this patient include all of the following EXCEPT:
A. meningeal carcinomatosis
B. tuberculous meningitis
C. coccidiomycosis meningitis
D. cysticercosis
E. cryptococcal meningitis

D. cysticercosis
A 64-year-old Native American presents to a regional medical center in the southwestern United States with the progressive onset of fever, stiff neck, and quadriparesis. Unenhanced and enhanced Tl-weighted MRI images are represented by Figures 65 and 66.
A. culture CSF for tuberculosis and fungi
B. CSF antibody test for Coccidioides imimitus
C. CSF antigen test for Coccidioides neoformans
D. CSF cytology exam
E. cervical and thoracic myelography
E. cervical and thoracic myelography
A 37-year-old female presented with bilateral facial nerve palsies. A chest x-ray revealed perihilar adenopathy. The spinal fluid revealed a slight lymphocytic pleocytosis. A MRI revealed extensive meningeal enhancement in the cerebellar-pontine angles and the left temporal fossa. A meningeal biopsy demonstrated non-caseating granulomas. 227. The MOST LIKELY diagnosis is:
A. tuberculosis
B. sarcoidosis
C. cryptococcosis
D. syphilis
B. sarcoidosis
A 20-year-old male has suffered stab wounds to his right inguinal area and his right buttock. The patient presents with absence of dorsiflexion and plantar flexion of the foot, foot eversion, foot inversion, toe dorsiflexion, and toe plantar flexion. He does have intact knee flexion, intact hip flexion, and intact leg extension. He has paresthesias and sensory loss on the outer aspect of the leg and dorsum of the foot and on the sole and inner aspect of the foot. The skin of the medial leg, as far as the medial malleolus, is spared; as well as the skin on the anterior medial thigh and inner leg, as far as the ankle.
A. proximal lesion of the femoral nerve which is complete
B. proximal lesion of the femoral nerve which is incomplete
C. proximal lesion of the sciatic nerve which is incomplete
D. lesion of the tibial nerve which is complete
C. proximal lesion of the sciatic nerve which is incomplete
A. once daily trial of spontaneous breathing
B. multiple daily trials of spontaneous breathing
C. a gradual reduction of the rate of intermittent mandatory ventilation
D. a gradual reduction of pressure support ventilation
E. AandB
E. AandB
A. primarily oriented in the coronal plane throughout all regions
B. primarily oriented in the sagittal plane throughout all regions
C. primarily oriented in the sagittal plane in the cervical spine, are intermediate in orientation in the thoracic spine, and are oriented in the coronal plane in the lumbar spine
D. primarily oriented in the coronal plane in the cervical spine, have intermediate orientation in the thoracic spine, and are primarily oriented in the sagittal plane in the lumbar spine
D. primarily oriented in the coronal plane in the cervical spine, have intermediate orientation in the thoracic spine, and are primarily oriented in the sagittal plane in the lumbar spine
A. an increase in intracranial pressure causing herniation at the foramen magnum with compression of the structures in the foramen magnum
B. increased intracranial pressure causing herniation leading to brainstem distortion
C. hypoxia of the medulla
D. hypoxia of the brainstem rostral to the medulla
D. hypoxia of the brainstem rostral to the medulla
A 45-year-old woman who works as a secretary presents with a 6-month history of progressively severe aching pain with dysesthesias along the medial aspect of the right forearm and hand. The pain is worse and the hand fatigues when she is driving or reaching overhead. She has had a course of physical therapy and takes a nonsteroidal anti-inflammatory agent, but with very little relief. She believes that her grip strength has diminished, and occasionally she drops objects from her right hand. Neurological examination is remarkable for moderate atrophy of the right thenar eminence and first dorsal interosseous muscle, with 4/5 weakness of abductor pollicis brevis, abductor digiti minimi, and the interossei. There is hypesthesia along the medial aspect of the right hand and forearm. Deep tendon reflexes are normal. An anteroposterior cervical spine x-ray is depicted in Figure 67
A. MRI of the cervical spine
B. nerve conduction velocity study of the ulnar nerve across the elbow
C. nerve conduction velocity study of the median nerve across the wrist
D. nerve conduction velocity study from Erb’s point to the axillary across the brachial plexus
E. electromyogram and compound muscle action potentials for median and ulnar nerves .

E. electromyogram and compound muscle action potentials for median and ulnar nerves
A 45-year-old woman who works as a secretary presents with a 6-month history of progressively severe aching pain with dysesthesias along the medial aspect of the right forearm and hand. The pain is worse and the hand fatigues when she is driving or reaching overhead. She has had a course of physical therapy and takes a nonsteroidal anti-inflammatory agent, but with very little relief. She believes that her grip strength has diminished, and occasionally she drops objects from her right hand. Neuraaological examination is remarkable for moderate atrophy of the right thenar eminence and first dorsal interosseous muscle, with 4/5 weakness of abductor pollicis brevis, abductor digiti minimi, and the interossei. There is hypesthesia along the medial aspect of the right hand and forearm. Deep tendon reflexes are normal. An anteroposterior cervical spine x-ray is depicted in Figure 67
A. carpal tunnel syndrome
B. cubital tunnel syndrome
C neurogenic thoracic outlet syndrome
D. cervical disk herniation
E intrinsic cervical spinal cord tumor .
C neurogenic thoracic outlet syndrome
During a pterional craniotomy for clipping of a posterior communicating artery aneurysm, the space between the optic nerve and supraclinoid carotid artery (SC-ICA), proximal to the posterior communicating artery, is dissected and blood clot removed to assist with proximal control of the SC-ICA prior to approaching the aneurysm neck. Postoperatively, the patient has complaints of blurry vision in the eye ipsilateral to the aneurysm and visual acuity is measured to be 20/200 for near and distance vision. Damage to perforating vessels to the optic nerve is suspected.
A. ophthalmic segment
B. communicating segment
C. choroidal segment
D. bifurcation
A. ophthalmic segment
During a pterional craniotomy for clipping of a posterior communicating artery aneurysm, the space between the optic nerve and supraclinoid carotid artery (SC-ICA), proximal to the posterior communicating artery, is dissected and blood clot removed to assist with proximal control of the SC-ICA prior to approaching the aneurysm neck. Postoperatively, the patient has complaints of blurry vision in the eye ipsilateral to the aneurysm and visual acuity is measured to be 20/200 for near and distance vision. Damage to perforating vessels to the optic nerve is suspected.
A. inferior hypophyseal artery
B. superior hypophyseal artery
C. meningohypophyseal artery
D. ophthalmic artery
E. un-named perforators off the communicating segment
B. superior hypophyseal artery
A. Al segment of the anterior communicating artery
B. frontopolar artery C. medial orbitofrontal artery
D.A2 segment of the anterior communicating artery
E. anterior communicating artery
D.A2 segment of the anterior communicating artery