A 50-year-old woman had been attacked by the sudden onset of severe nuchalsuboccipital pain with subsequent quadriparesis. She was admitted to the hospital. Plain cervical films and an MRI are presented in Figures 50 and 51. 181. Which of the following is the MOST appropriate management for this patient?
A. vertebral artery proximal ligation
B. anterior operative approach for decompression followed by fixation
C. posterior fixation and fusion
D. foramen magnum decompression
E. traction and halo vest cast
B. anterior operative approach for decompression followed by fixation
A. A pure tone audiogram of at least 70 dB is a criteria for useful postoperative hearing.
B. A speech discrimination score of 50% with normal dynamic range is a criteria for useful postoperative hearing.
C. An individual with one normal ear and a flat hearing loss of more than 20 dB on the contralateral side cannot perceive stereophonic sound.
D. When tension is placed on the eighth cranial nerve from a lateral to medial direction, there is usually a sharp drop in the recorded brainstem auditor evoked response.
E. The best results with respect to hearing preservation are likely to be obtained in patients with tumors located medially in the internal auditory canal and extending less than 1.5 cm into the cerebellar portic angle.
B. A speech discrimination score of 50% with normal dynamic range is a criteria for useful postoperative hearing.
A. clear-cut retrograde amnesia during the attack
B. clouding of consciousness and loss of personal identity must be present
C. cognitive impairment including amnesia, aphasia, and apraxia
D. epileptic features should be present
E. attacks must resolve within 24 hours
E. attacks must resolve within 24 hours
A. posterior parahippocampal gyrus
B. lingual gyrus
C. hippocampus
D. fornix
E. collateral isthmus
B. lingual gyrus
A. ipsilateral dystonia
B. contralateral hemiplegia
C. cerebellar ataxia
D. rubral tremor
E. ipsilateral third cranial nerve palsy
A. ipsilateral dystonia
A. cochlea
B. horizontal semicircular canal
C. labyrinthine segment of facial nerve
D. greater superficial petrosal nerve
E. aqueduct of vestibule

C. labyrinthine segment of facial nerve
A 12-year-old boy presents to your office 4 weeks after a bicycle accident complaining of persistent neck pain and intermittent tingling in both arms. On examination, the patient had no neurological deficits but reported an increase in upper cervical pain and return of the tingling sensations upon flexion during range of motion testing The static cervical spine x-ray series you ordered appeared normal. 187. The MOST likely diagnosis is:
A. atlantoaxial instability due to isolated rupture of the transverse ligament
B. Chiari malformation
C. cervical muscular strain
D. C6-7 disc herniation
E. cervical spinal cord AVM
A. atlantoaxial instability due to isolated rupture of the transverse ligament
A 12-year-old boy presents to your office 4 weeks after a bicycle accident complaining of persistent neck pain and intermittent tingling in both arms. On examination, the patient had no neurological deficits but reported an increase in upper cervical pain and return of the tingling sensations upon flexion during range of motion testing The static cervical spine x-ray series you ordered appeared normal. 188. What is the MOST appropriate next step?
A. prescribe an analgesic, anti-inflammatory medication, a soft collar for support, and a return appointment
B. obtain a CT scan of the cervical spine to document spinal stability
C. active cervical flexion-extension fluoroscopy
D. upper-extremity EMG study E. reassurance, as his symptoms are likely anxiety-induced
C. active cervical flexion-extension fluoroscopy
A 12-year-old boy presents to your office 4 weeks after a bicycle accident complaining of persistent neck pain and intermittent tingling in both arms. On examination, the patient had no neurological deficits but reported an increase in upper cervical pain and return of the tingling sensations upon flexion during range of motion testing The static cervical spine x-ray series you ordered appeared normal.
A. true
B. false
A. true
A 46 year-old male alcoholic construction worker lost consciousness after striking his forehead on the ground when he tripped over a pile of bricks. On awakening a few moments later, he noted a severe headache and difficulty picking up his tools with his hands because they felt weak. On examination in the emergency room, he was noted to have only antigravity power in his hand intrinsics bilaterally. Biceps and triceps power was 4/5. Aside from brisk Achilles reflexes and 10-beat ankle clonus, his lower extremity exam was normal. Sensory exam was unremarkable. Cervical spine x-rays revealed no fractures or dislocations; only lower cervical degenerative disc disease and posterior vertebral osteophytes.
A. cerebral cortical contusions
B. brief posttraumatic seizure with residual Todd’s paralysis
C. central cord syndrome
D. bilateral acute-on-chronic subdural hematomas
E. anterior spinal artery infarct
C. central cord syndrome
A 46 year-old male alcoholic construction worker lost consciousness after striking his forehead on the ground when he tripped over a pile of bricks. On awakening a few moments later, he noted a severe headache and difficulty picking up his tools with his hands because they felt weak. On examination in the emergency room, he was noted to have only antigravity power in his hand intrinsics bilaterally. Biceps and triceps power was 4/5. Aside from brisk Achilles reflexes and 10-beat ankle clonus, his lower extremity exam was normal. Sensory exam was unremarkable. Cervical spine x-rays revealed no fractures or dislocations; only lower cervical degenerative disc disease and posterior vertebral osteophytes.
A. immediate surgical intervention
B. halo vest immobilization
C. dilantin therapy for at least 6 months
D. physical therapy only
E. none of the above
E. none of the above
A 46 year-old male alcoholic construction worker lost consciousness after striking his forehead on the ground when he tripped over a pile of bricks. On awakening a few moments later, he noted a severe headache and difficulty picking up his tools with his hands because they felt weak. On examination in the emergency room, he was noted to have only antigravity power in his hand intrinsics bilaterally. Biceps and triceps power was 4/5. Aside from brisk Achilles reflexes and 10-beat ankle clonus, his lower extremity exam was normal. Sensory exam was unremarkable. Cervical spine x-rays revealed no fractures or dislocations; only lower cervical degenerative disc disease and posterior vertebral osteophytes.
A. true
B. false
B. false
A. frontal neocortex
B. parietal neocortex
C. mesial basal limbic region
D. occipital neocortex
E. temporal neocortex
A. frontal neocortex
A. increasing intracellular sodium to neurotoxic concentrations
B. increasing extracellular potassium to toxic levels
C. binding intracellular calcium
D. increasing glutamate-mediated excitation and calcium influx
E. reducing GABA re-uptake by neurons
D. increasing glutamate-mediated excitation and calcium influx
A. 2/3
B. 1/3
C. 1/2
D. 1/4
E. 0
B. 1/3
A. no treatment
B. prophylactic phenobarbital
C. phenobarbital at time of fever
D. prophylactic phenytoin
E. valproic acid at time of fever
A. no treatment
A. zidovudine
B. heroin
C. cocaine
D. alcohol
E. flucytosine
E. flucytosine
A. produces a slowly progressive encephalopathy with prolonged survival
B. is readily distinguishable from HIV dementia
C. is usually associated with negative CMV viral cultures
D. has no characteristic radiology findings
E. is usually diagnosed by biopsy of the ependymal regions
C. is usually associated with negative CMV viral cultures
A. lymphoma
B. epidural abscess
C. eosinophilic granuloma
D. Pott’s disease
E. epidural hematoma
B. epidural abscess
A. dysarthria
B. severe tremor unresponsive to drugs
C. disequilibrium
D. severe unilateral bradykinesia
E. all of the above
B. severe tremor unresponsive to drugs
A. truncal dystonia
B. cervical dystonia
C. facial dystonia
D. contralateral limb dystonia
E. ipsilateral limb dystonia
D. contralateral limb dystonia
A. There is no role for behavioral therapy given the current neurobiological understanding of TS.
B. Haloperidol is the treatment of choice.
C. Stimulants may be useful for obsessive-compulsive components of the syndrome, but they may exacerbate tics.
D. Tardive dyskinesia is not a complication of neuroleptics in this patient population.
E. Most individuals with TS require no treatment.
E. Most individuals with TS require no treatment.
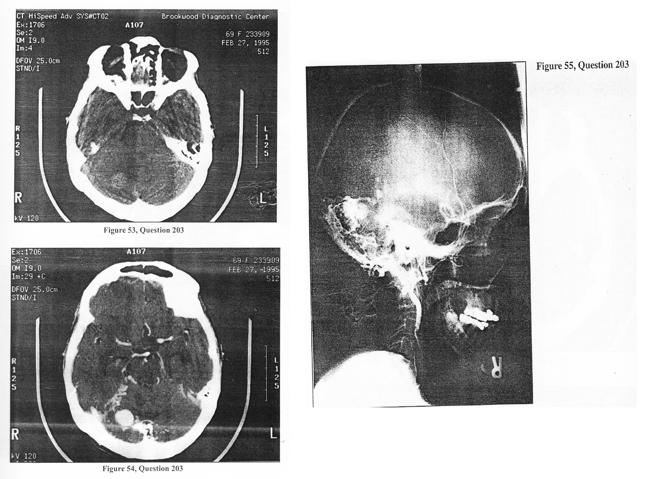
A 69-year-old right-handed female was in her usual state of health until awakening this morning with the worst headache of her life, along with a stiff neck. There had been some numbness and tingling of her arms, however, that has resolved. She presently complains of nausea without vomiting and states she has been diagnosed as having Sturge-Weber syndrome. She has never experienced any episode suggesting a seizure. Examination reveals an anxious and alert woman. Behind her right ear, there is a skin vascular anomaly which blanches slightly when depressed with the finger. There is no papilledema, and her neurologic examination is entirely normal. There is no meningismus. Her initial diagnostic management included a CT with and without contrast (Figures 53 and 54) and a lumbar puncture which was blood tinged and did not clear between tubes 1 and 4. Following admission to the hospital, an MRI and cerebral angiogram were obtained (Figure 55). 203. What is the MOST LIKELY etiology of the patient’s subarachnoid hemorrhage?
A. ruptured cerebral aneurysm
B vasculitis
C. cerebral AVM
D. duralAVM

D. duralAVM
A 69-year-old right-handed female was in her usual state of health until awakening this morning with the worst headache of her life, along with a stiff neck. There had been some numbness and tingling of her arms, however, that has resolved. She presently complains of nausea without vomiting and states she has been diagnosed as having Sturge-Weber syndrome. She has never experienced any episode suggesting a seizure. Examination reveals an anxious and alert woman. Behind her right ear, there is a skin vascular anomaly which blanches slightly when depressed with the finger. There is no papilledema, and her neurologic examination is entirely normal. There is no meningismus. Her initial diagnostic management included a CT with and without contrast (Figures 53 and 54) and a lumbar puncture which was blood tinged and did not clear between tubes 1 and 4. Following admission to the hospital, an MRI and cerebral angiogram were obtained (Figure 55).
A. 0-5%
B. 10-15%
C. 33-50%
D. >50%
B. 10-15%