compare antibody vs antigen

what makes up the circulatory system
what are the parts of the lymphatic system
what is the function of your lymphatic system
what is the pathway of lymph
Bloodstream Capillaries -> Interstitual space -> lymphatic capillaries -> lymphatic vessels -> lymphatic trunks -> lymphatic ducs -> venus blood

how are lymphatic capillaries different then blood capillaries
they are similar but differences are:
*fluid pressure is what pushes the cels

Where are lymphatic capillaries absent
bones, bone marrow, teeth and CNS
what are lacteals
specialized lymph capillaries in small intestinal mucosa (lining layer in GI tract)
*Absorb digested fat & deliver chyle to bloodstream (goes into lymphatic system not venous sytstem

desccribe lymphatic collecting vessels

describe lymphatic trunks

drainage of right lymphatic duct vs thoracic duct

how is lymph transported
*if blocked lymph would get accumulation of fluid
what are the classes of lymphocytes
t cells: cytotocic, helper and suppressor
B cells: plasma cells
NK cells
describe the types of T cells
describe B cells
describe NK cells
stops of action of NK cells

what are other types of lymphoid cells (not T, B or NK)

primary lymphoid organs vs seconary
Primary: where B and T cells mature
Secondary: where B & T cells encounter Ag

how do lymphocytes develop, mature and activate

describe what happens to lymphocytes in the thymus
*Site of Lymphocytes immunocompetence & self-tolerance
*99% of T cells fail thymic eucation test and are eliminated via apoptosis
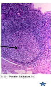
Describe lymphoid tissue
Types:

what are lymph nodes
Functions