What is atelectasis?
Alveoli devoid of air with loss of lung volume. It is empty alveoli with no air.
What are the types of atelectasis?
Resorptive
Relaxation
Adhesive
Resorptive Atelectasis
When there is endobronchial obstruction, there is no more ventilation and air gets absorbed from alveoli. Alveoli collapse with significant loss of lung volume.
What is seen on CXR with resorptive atelectasis?
Lobar density and signs of loss of lung volume.
Relaxation Atelectasis
Lungs are normally held close to the chest wall by the negative pressure in pleura. In pneumothorax or pleural effusion the negative pressure in pleura is lost. Lung relaxes to its resting position.
What is seen on CXR with relaxation atelectasis?
Lobar density and signs of primary pleural process (pneumothorax). Do not look for signs of loss of lung volume in this instance. The pneumothorax will push the mediastinum to the contralateral side.
Adhesive Atelectasis
Surfactant is necessary for keeping the alveoli open. There is loss of surfactant and alveoli collapse in ARDS and pulmonary embolism.
What is seen on CXR with adhesive atelectasis?
Diffuse white out of lungs or plate like atelectasis and signs of loss of lung volume.
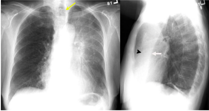
What type of atelectasis is this?

Resorptive of the LUL
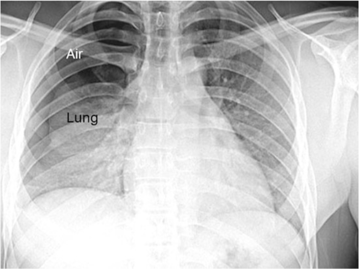
What type of atelectasis is this?

Relaxation (Pneumothorax)
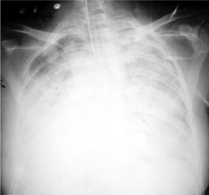
What type of atelectasis is this?

Adhesive
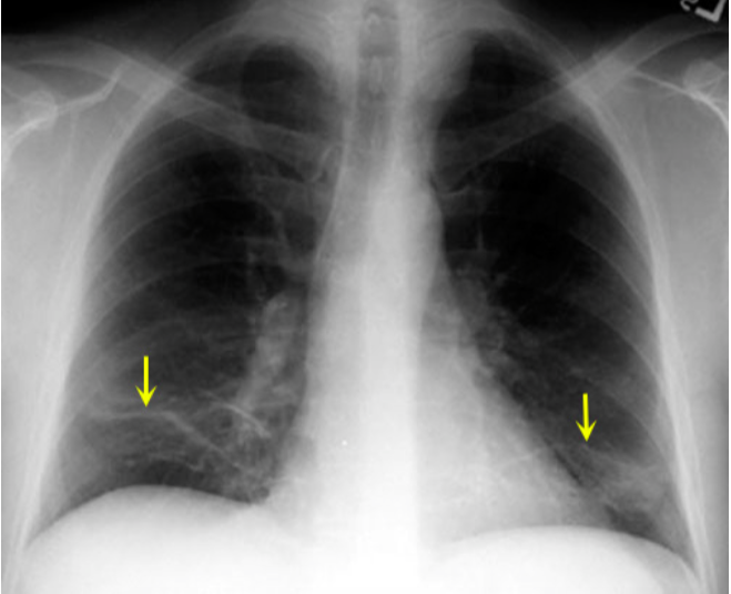
What type of atelectasis is this?

Plate Like (part of Adhesive)
What is plate like atelectasis?
It is due to the focal loss of surfactant
What is the Luftsichel sign?
The lower lobe creeps up all the way up to the apical region
What is the cause of plate like atelectasis?
It is either due to loss of CO2 or oxygen. CO2 and oxygen maintain the integrity of surfactant.