PA film
PA film is taken in the upright position. X-rays goes through the chest and the image is captured in the cassette. X-ray beam is passing from posterior to anterior (PA).
AP film
AP film is taken in the supine position in patients who are sick and cannot stand up. The cassette is placed behind on the back of the patient on the bed and the x-ray beam is passed from anterior to posterior (AP) through patient to the cassette.
What is the standard view?
PA film
How does the heart change in AP view?
Heart appears larger because the heart is farther from the cassette and the x-ray beam is more divergent.
How does the mediastinum change in AP view?
Mediastinum appears wider.
How does the diaphragm change in the AP view?
Diaphragms are higher (cannot take a deeper breath supine).
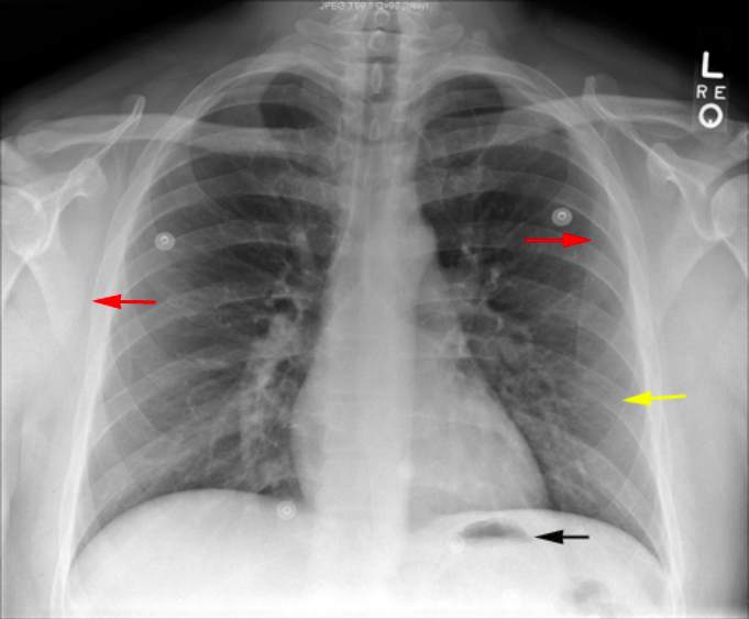
What is the scapula like in the PA view?
Scapula is seen more outside the ribs. Scapula is rotated and the edge of scapula does not overlap lung fields.
What are the clavicles like in the PA view?
Clavicles project in the chest below the inlet of thorax.
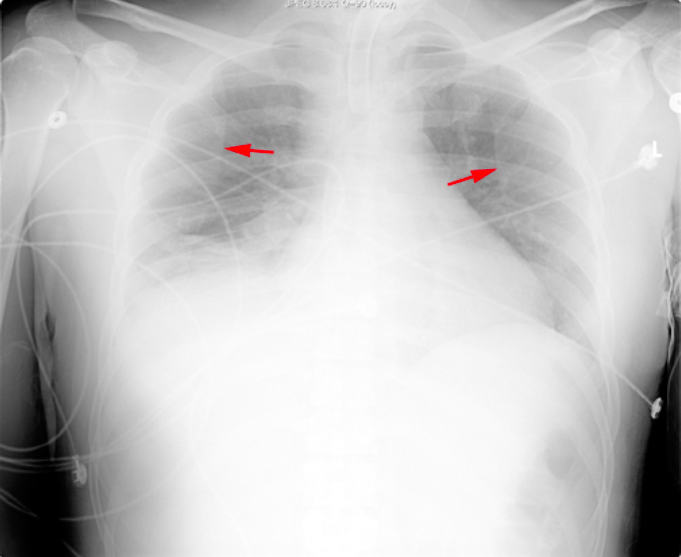
What is the scapula like in the AP view?
Scapula projects overlapping the lung fields. Patient is lying down.
What are the clavicles like in the AP view?
Clavicles project above the inlet of thorax.
What view is this?

PA View
What view is this?

AP View
When are the retrocardiac vertebra and intervertebral disc spaces are very clear?
When the film is overexposed