What is pleural effusion?
When excess fluid accumulates in pleural space, it is called pleural effusion.
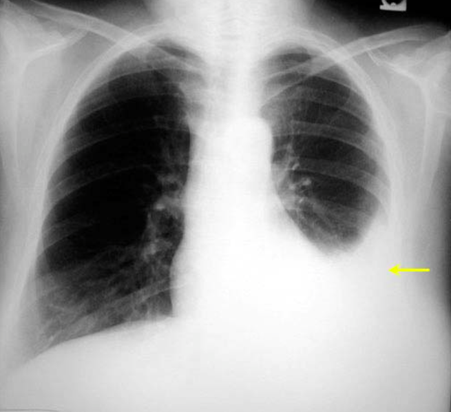
What can be seen in this image?

Pleural Effusion
How does transudate accumulate in the pleural space?
Due to hydrostatic pressure changes as in CHF, cirrhosis and hypoalbuminemia
How does exudate accumulate in the pleural space?
Due to inflammation of pleura as in malignancy, rheumatoid arthritis, etc.
How does urine accumulate in the pleural space?
Urinothorax in hydronephrosis
How can you distiguish between effusion and atelectasis?
Mediastinum is shifted to the opposite side with effusion and pulled to same side with atelectasis.
What is seen in A and B?

A - effusion
B - atelectasis
When are bilateral pleural effusions seen?
CHF
How do you recognize loculated effusion and what is the significance?
Loculation should be considered when a density is considered to be fluid and does not correspond to anatomical location of fissures. Of course loculation can occur within fissures.
When is lateral decubitus film ordered?
To confirm pleural effusion as with small or sub pulmonic effusions
How do you determine the etiology of effusion from chest x-ray?
Radiologically you cannot distinguish transudate, exudate, blood or pus. It’s mainly the associated findings suggest the etiology.
What type of effusion is found most often in bilateral cases?
Transudate
What type of effusion is found most in unilateral effusion?
Exudate
What are: Unique etiologies for left sided effusions?
What are: Unique etiologies for right sided effusions?
Massive unilateral effusion Diagnosis
Malignancy
Pleural effusion with apical infiltrates Diagnosis
Tuberculosis
Pleural effusion following chest trauma Diagnosis
Hemothorax