What are the characteristic changes found in emphysema?
What is the main gross lung change with emphysema?
Enlargement
What will COPD show on CXR?
Hyperinflation
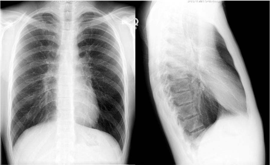
What is this indicative of?

Hyperinflation
What else must hyperinflation of the lungs be associated with for it to be called emphysema?
It will be associated with blebs and paucity of vascular markings in the outer third of the film. These are zones of avascularity.