Does consolidation cross fissures?
No
What is atelectasis?
When the alveoli are empty with the loss of air
What is the change in lung volume with diseases of consolidation?
When the alveoli are filled with either inflammatory exudates, hemorrhage or edema they retain their size and do not show signs of lung volume loss. In the early stages of pneumonia, lung volume increases slightly.
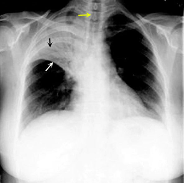
What is this consolidation?

RUL Consolidation
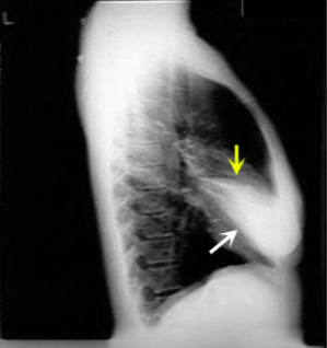
What is this consolidation?

RML Consolidation
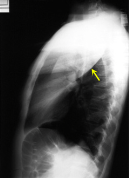
What is this consolidation?

LUL Consolidation
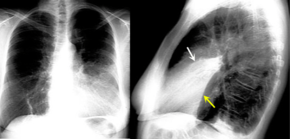
What is this consolidation?

Lingular Consolidation