What is the ABCDE approach?
Airway
Bones
Cardiac shadow
Diaphragm
Everything else
What is the LMP approach?
L: Lung fields
M: Mediastinum
P: Pleura
How is the trachea recognized?
The trachea is easily recognized because of tracheal rings and the lumen is filled with air.
Identify

Trachea
What is the position of the trachea in the neck?
Midline
What is the postion of the trachea in the intrathoracic cavity?
Slightly slanting to the right
How is a centered film determined?
The distance between medial end of the clavicle and midline should be the same in a well centered film.
What are bones that are to be looked at in a CXR?
What is the normal size of the heart in the cardiac shadow?
Normal heart is less than half the transthoracic diameter.
Make sure that it is PA view chest. In AP film the heart may appear larger because of the phenomena of divergence of x-ray.
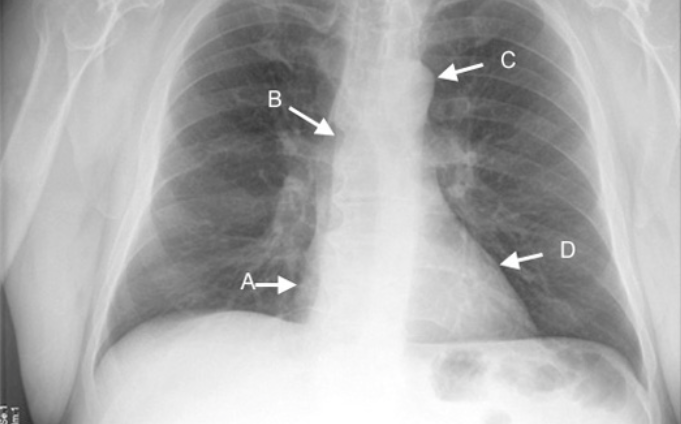
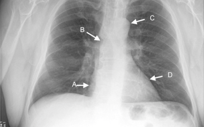
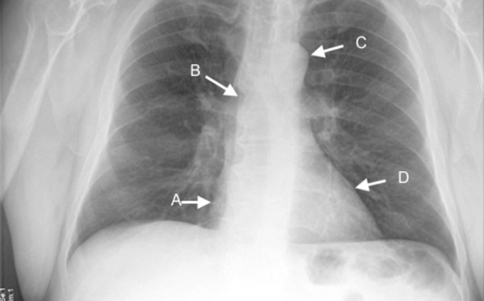
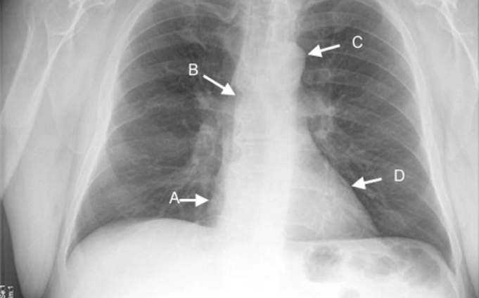
Identify A.
What is the disease when it is not visible?

Right Heart Margin
Right Middle Lobe Disease
Identify B.
What is the disease when it is not visible?

Ascending Aorta
RU Lobe Disease
Identify C.
What is the disease when it is not visible?

Aortic Knob
LU Lobe Disease
Identify D.
What is the disease when it is not visible?

Left Heart Margin
Lingular Disease
Where is the dome of the diaphragm found with deep inspiration?
At the 9th or 10th posterior rib
What is the difference in the R and L diaphragms?
The right diaphragm is slightly higher than the left diaphragm. The congenital position of the heart determines which diaphragm will be lower and not the liver position.
What is the difference of the R and L hilum of the lung?
Left hilum is higher than right hilum.
Where are the vascular markings of the lung most prominent?
Vascular markings are more prominent in the inner two thirds of lungs compared to outer third of lung
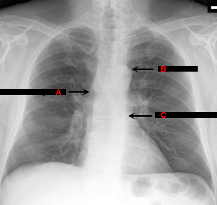
What are the 3 possible areas for mediastinal widening?
Identify A, B and C

A. Ascending aorta
B. Aortic knob
C. Descending aorta
What is the normal shape of the costophrenic angle? And what do alterations indicate?
Sharp and acute.
Blunting of the costophrenic angle is either due to effusion or fibrosis.