What are the criteria for diagnosis of a pneumothorax?
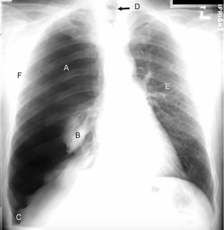
Identify A trhough F

Shift of mediastinum (D) to opposite side.
Deep sulcus sign (C).
Opposite lung (E): The vascular markings are prominent.
Larger hemithorax compared to opposite side. Hemithorax is in TLC position due to loss of negative pressure in the pleural space. (F)
What is the best way to determine the presence of tension in a pneumothorax?
Presence or absence of tension in a pneumothorax is best determined by hemodynamic parameters.
What are the common signs of a tension pneumothorax?
Falling BP and tachycardia are the most important signs of tension in a pneumothorax