Bartonella Flashcards

(28 cards)

1
Q

What is bartonellosis?

A

Zoonotic Disease caused by Bartonella species
Gram negative bacilli
More than 30 species
Carrions disease - Bartonella Bacciliformis
Most important/common Bartonella Henselae (cat scratch disease)

How well did you know this?
1
Not at all
2
3
4
5
Perfectly
2
Q

How may bartonella present?

A

bacteremia, endocarditis or bacillary angiomatosis.

How well did you know this?
1
Not at all
2
3
4
5
Perfectly
3
Q

What is the diagnosis?

A

Bartonella

How well did you know this?
1
Not at all
2
3
4
5
Perfectly
4
Q

What causes cat scratch disease?

A

B.Henselae

  • Bacillary angiomatosis
  • Bacillary peliosis hepatis
  • Bacteremia/Fever
  • Endocarditis
  • Necroinflammatory parenchymal nodules HIV dementia (?)
  • Neuroretinitis (CSD)
How well did you know this?
1
Not at all
2
3
4
5
Perfectly
5
Q

How is B.Henselae transmitted?

A

Cat scratch or bite
Fleas from cat

How well did you know this?
1
Not at all
2
3
4
5
Perfectly
6
Q

How does cat scratch disease present?

A

It starts with a cutaneous lesion at the
inoculation site (primary lesion).
REGIONAL ADENOPATHY

Progresses - key features:
- Endocarditis
- Bacillary angiomatosis
- Bacillary peliosis hepatic - hepato and splenomegaly

How well did you know this?
1
Not at all
2
3
4
5
Perfectly
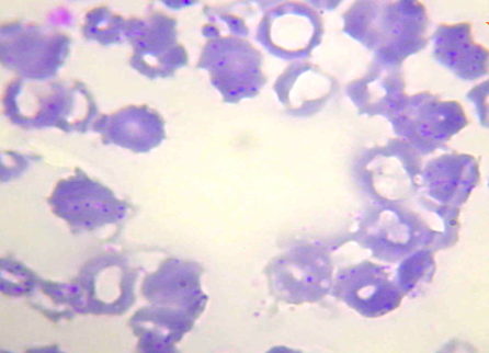
7
Q

Best diagnostic test for bartonella bacilliformis?

A

Gram stain - intra erythrocytic bacilliformis

How well did you know this?
1
Not at all
2
3
4
5
Perfectly
8
Q

Other manifestations of cat scratch disease?

A

CSD retinitis
CSD meningitis

How well did you know this?
1
Not at all
2
3
4
5
Perfectly
9
Q

Treatment of Cat Scratch Disease?

A

Azithromycin

Alternatives:
Clarithromycin, Cotrimoxazole, Rifampin,
Ciprofloxacin, Doxycycline

How well did you know this?
1
Not at all
2
3
4
5
Perfectly
10
Q

What causes Carrions disease?

A

Carrions disease - Bartonella Bacciliformis
Endemic in Peru at high altitude

How well did you know this?
1
Not at all
2
3
4
5
Perfectly
11
Q

What is the vector for Carrions disease?

A

Lutzomyia verrucarum - phlebotamine sand flies (same as leish)
Or L.peruvenis

How well did you know this?
1
Not at all
2
3
4
5
Perfectly
12
Q

Symptoms of Carrions disease?

A

Fever, jaundice, anaemia (key feature, develops quickly), malaise
Often get superimposed infections

How well did you know this?
1
Not at all
2
3
4
5
Perfectly
13
Q

Complications of Carrions disease?

A

Cardiac involvement - heart failure, pericardial eff, myocarditis, endocarditis.

How well did you know this?
1
Not at all
2
3
4
5
Perfectly
14
Q

Diagnosis of Carrions disease?

A

Gimsea stain
Culture takes weeks

How well did you know this?
1
Not at all
2
3
4
5
Perfectly
15
Q

Treatment of acute Carrions disease?

A

Ciprofloxacin

How well did you know this?
1
Not at all
2
3
4
5
Perfectly
16
Q

Which strain of bartonella affects homeless/alcoholics in USA and presents with fever, endocarditis and bacillary angiomatosis?

17
Q

Which bartonella strains cause Bacillary angiomatosis?

A

B.Henslae and B.Qunitana

18
Q

Star shaped macular exudate - cause?

19
Q

Diagnosis of Bartonella Henslae?

A

Serology
Culture may take a while

20
Q

Vector for Carrions disease, and species?

A

Lutzomyia fly
Bartonella Bacilliformis

21
Q

Where do you find Carrions disease?

A

High altitude

22
Q

Symptoms of Carrions disease?

A

Fever, abdo pain, HSM
Jaundice
ANAEMIA

23
Q

What complications can occur in Carrions?

A

Cardiac - heart failure, endocarditis, myocarditis

24
Q

What is the ∆?

A

Bartonella Bacilliformis

Intra erythrocytic on smear

25
Diagnosis of Bartonella?
Smear - intra erythrocytic Serology Culture
26
Treatment of B.Bacilliformis acute and name?
Oroya fever Ciprofloxacin
27
What is this? ∆∆?
Chronic eruptive phase of carrions disease Also called Peruvian wart Differentials: Bacillary angiomatosis, angioma, KS, molluscum, cutaneous lymphoma
28
Treatment of chronic Bartonella infection?
Azithromycin