Malaria Flashcards

(140 cards)

1
Q

In endemic countries for malaria, if a patient presents with complicated malaria, what do you suspect?

A

HIV

How well did you know this?
1
Not at all
2
3
4
5
Perfectly
2
Q

What is terminal prophylaxis?

A

P.Vivax prophylaxis in its entirety
Take malarone or equivalent when abroad, and then when get home take 14 days of primaquine (no G6PD def) to kill the hypnozoites

How well did you know this?
1
Not at all
2
3
4
5
Perfectly
3
Q

Which species is most prominent in Malaysia?

A

P. knowlesi.
Primate malaria, Zoonosis, All ages of RBCs infected, Increasingly reported in SE Asia. Most cases are mild, Appearance similar to P. malariae

How well did you know this?
1
Not at all
2
3
4
5
Perfectly
4
Q

What is the WHO recommendation for a slide to be pronounced negative for malaria?

A

Slide can be pronounced negative only when a minimum of 100 fields have been carefully examined for the presence of parasites (THICK) and 800 fields (THIN)

How well did you know this?
1
Not at all
2
3
4
5
Perfectly
5
Q

What is the definitive host for malaria? What is the intermediate host? What is the reservoir?

A

Female mosquito. Human. Male mosquito.

How well did you know this?
1
Not at all
2
3
4
5
Perfectly
6
Q

What information do you need to know before starting somone on treatment for malaria?

A

Strain, clinical status of patient, previous Rx, pregnant or not, resistance

How well did you know this?
1
Not at all
2
3
4
5
Perfectly
7
Q

Why can ACT not be used for prophylaxis and why is it effective as a treatment for malaria?

A

act rapidly on blood phase - has a very short half life and so not appropriate as propylaxis

How well did you know this?
1
Not at all
2
3
4
5
Perfectly
8
Q

What protective factors are there against malaria?

A

Iron deficiency, Hbopathy

How well did you know this?
1
Not at all
2
3
4
5
Perfectly
9
Q

What types of recurrence are there in malaria?

A
  1. Recrudescence - Ineffective initial treatment. Renewed detection of parasitemia arising from survival of undetectable erythrocytic parasites
  2. Relapse - Renewed detection of parasitemia arising from survival of exo-erythrocytic parasites (Hipnozoites) (no surviving erythrocytic parasites): P.vivax, P. ovale.
  3. Reinfection- Renewed detection of parasitemia arising from a new infected mosquito bite.
How well did you know this?
1
Not at all
2
3
4
5
Perfectly
10
Q

What are the advantages of a RDT for malaria?

A

Quick - 20mins, does not need expertise, got sensitivity for falciparum

How well did you know this?
1
Not at all
2
3
4
5
Perfectly
11
Q

Which drug should you give patient who Is pregnant to Rx uncomplicated falciparum?

A

Artemethur-lumefantrine

How well did you know this?
1
Not at all
2
3
4
5
Perfectly
12
Q

Why is missing one single dose of doxy significant?

A

Short acting drugs, so miss a day the sporozoites can get into the liver and wait there (doxy only works in blood stream)

How well did you know this?
1
Not at all
2
3
4
5
Perfectly
13
Q

Antimalarial prophylaxis if a person is travelling and has HIV?

A

Doxycycline or chloroquine

How well did you know this?
1
Not at all
2
3
4
5
Perfectly
14
Q

Child on efavirenz/nevirapine or zidovudine - which anti malarial not to use?

A

artesunate/amodiaquine - risk of hepatitis and severe neutropenia

WHO GUIDELINE

How well did you know this?
1
Not at all
2
3
4
5
Perfectly
15
Q

Name the 6 species of malaria

A

vivax, ovale curtisi, ovale wallikeri, malariae, knowlesi, falciparum

How well did you know this?
1
Not at all
2
3
4
5
Perfectly
16
Q

What other tests can be used in malaria?

A

Serology - not routine
PCR - good for low parasitaemia and differentiate species
LAMP - good in non endemic setting

How well did you know this?
1
Not at all
2
3
4
5
Perfectly
17
Q

Alternative to primaquine in P.Vivax?

A

Tafenoquine

How well did you know this?
1
Not at all
2
3
4
5
Perfectly
18
Q

What are HIV patients at increased risk of with severe malaria?

A

Severe anaemia

How well did you know this?
1
Not at all
2
3
4
5
Perfectly
19
Q

What level parasitaemia is characterised as severe malaria?

A

> 2% in non immune, >10% in endemic, CDC says >5%

How well did you know this?
1
Not at all
2
3
4
5
Perfectly
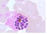
20
Q

Which structure and species is this?

A

Schizont with Schuffners Dots, P.Ovale. Note Pacman ghost appeatance and irregular RBC outline

How well did you know this?
1
Not at all
2
3
4
5
Perfectly
21
Q

Child with suspected severe malaria - management immediately?

A

Pre-referral treatment with rectal artesunate in children

How well did you know this?
1
Not at all
2
3
4
5
Perfectly
22
Q

Apart from antimalarials, what else do you give in severe malaria?

A

IV antibiotics to cover gram negatives (gut translocation)

How well did you know this?
1
Not at all
2
3
4
5
Perfectly
23
Q

What are these?

A

P.Vivax Gametocyte (also here)

How well did you know this?
1
Not at all
2
3
4
5
Perfectly
24
Q

Why is Vivax not in Africa?

A

Duffy antigen

How well did you know this?
1
Not at all
2
3
4
5
Perfectly
25
At what level parasitaemia does mortality start to increase?
low transmission setting: mortality begins to increase at a parasitaemia of 100 000/ul (2%)
26
Artemethur-lumefantrine interacts with which HIV drugs? Which HIV drug does not interact with A-L?
Efafivinz, nevirapine Liponavir/riponavir USE DOLUTEGRAVIR!
27
HIV test when patient has malaria, problem? What to do?
False positive! Test for HIV when doesn't have malaria
28
What is induced malaria?
Acquired by blood transfusion/needles/transplant
29
What structure is taken up by mosquito during a blood meal from a malaria infected patient?
Gametocytes - reproduce sexually (sporogony) in intestine of anopheles. Microgametocytes and macro gametocytes taken up. Becomes ookinete then oocyst -> ruptures into lots of sporozoites. Sporozoites then move to salivary gland, and can be transmitted to humans when mosquitos take a blood meal
30
What is the pyrogenic density?
level of parasitaemia at which fever occurs Lower in nonimmunes (<10 000 Pf/µL) Higher in immunes (tolerate up to 100 000 Pf/µL).
31
What is introduced malaria?
Secondary cases acquired locally but derived from imported cases
32
What is the Rx for severe (complicated malaria)?
IF ONLY ORAL AVAILABLE: Artemether-lumefantrine (Coartem®) because of its fast onset of action. Other oral options include atovaquone-proguanil (Malarone™), quinine, and mefloquine. IV artesunate: 2.4 mg/kg. A dose of IV artesunate should be given at 0, 12, and 24 hours. After the initial course of IV artesunate is completed, if parasite density is ≤1% (assessed on a thin blood smear collected 4 hours after the last dose of IV artesunate) and patient can tolerate oral treatment, a full treatment course with a follow-on regimen must be administered. Artemether-lumefantrine (Coartem®) is the preferred follow-on treatment but adequate alternatives are atovaquone-proguanil (Malarone™), quinine plus doxycycline or clindamycin, or mefloquine If, after the third IV artesunate dose, the patient’s parasite density is >1%, IV artesunate treatment should be continued with the recommended dose once a day for a maximum of seven days until parasite density is ≤1% For those patients with parasite density ≤1% but who still cannot tolerate oral medications after completing IV artesunate treatment, clinicians can continue IV artesunate, one dose daily not to exceed a total course of seven days.
33
Following invasion of a RBC, what happens to merozoites?
Trophozoites -> schizonts -> may rupture and release 8-24 merozoites - causes inflammatory response and fever. Some may then form gametocytes.
34
What is the vector for malaria? Name some features of this vector.
female anopheles mosquito, night biting
35
How would you treat uncomplicated P.malariae?
Chloroquine base. 0 = 10mg/kg, 24 = 10mg/kg, 48 = 5mg/kg 3 days, orally Treatment of uncomplicated malaria caused by P. vivax, P. ovale, P. malariae, P. knowlesi is chloroquine. Can also use ACT in chloroquine resistant areas.
36
Who would you not administer primaquine to?
Pregnant women, children <6 months, breastfeeding to children <6 months, G6PD deficiency
37
Name 2 complications/risks of falciparum in pregnancy?
Stillbirth LBW Severe anaemia
38
What is uncomplicated hyperparasitaemia?
Uncomplicated hyperparasitaemia is present in patients who have ≥ 4% parasitaemia but no signs of severity. They are at increased risk for severe malaria and for treatment failure and are considered an important source of antimalarial drug resistance.
39
What structure is this?
Schizont, P.malariae (Rossett appearance)
40
What is severe malaria?
41
What is a Schuffners dot? Which species
Schuffner’s dots: Caveolae in RBC membrane Caveola-vesicle complexes in cellular membrane of erythrocytes. P.Vivax and P.Ovale
42
What is a hypnozoite?
Malaria dormant in the liver
43
Why do a thick smear for malaria?
increases sensitivity of parasitic detection (always do both)
44
HIV and malaria, what to avoid in Rx of malaria?
Avoid artesunate+ amodiaquine if patient is receiving efavirenz or zidovudine
45
Which phase of the malaria life cycle are you most likely to see with falciparum?
Usually only see rings trophozoites and gametocytes unless very high burden of infection will see schizonts. Maulers clefts and appliqué forms characteristic.
46
What is imported malaria?
Acquired outside a specified area in which it is found
47
What is indigionous malaria?
Naturally present in an area or country
48
Malarias impact on HIV?
Specificity HIV RDTs decreased Transient viral load increased Transient CD4 increased Progression to AIDS - no impact HIV transmission may increase
49
What is an incubation period?
Time between infection and the onset of symptoms
50
What are the causes of false negative rapid diagnostic testing for malaria?
Low parasitaemia Non falciparum species High parasitaemia (prozone) Gene deletion - HRP2 - more so in South America Interpretation error
51
What are the disadvantages for RDTs in malaria?
Still need microscopy, possibility of false positives and false negatives, poor performance in species other than Falciparum
52
How do you treat uncomplicated P.Vivax in areas of high chloroquine resistance?
Artemisin compounds (artesunate, arthemeter, artemotil, dihydroartemisinin) containing artesemin AND a 2nd shizontocidal drug 3 days Primaquine base 3 days
53
Co-trimoxazole prevents which conditions?
Toxoplasmosis Malaria Pneumocystis Jirovecii
54
Criteria for severe malaria in low resource settings?
- Prostration - Resp distress -Decreased GCS
55
Why do you give a partner drug with artemisinin?
Longer acting Clears remaining parasites to prevent resistance to artemisinin Post Rx prophylaxis
56
What is Ziemann's stippling?
Eosinophilic dots in cytoplasm found in P.Malariae
57
What Is PART?
Presumptive Anti Relapse Therapy - primaquine for 2 weeks when come home from high vivax country
58
What is the definition of uncomplicated malaria?
Symptomatic malaria with a positive parasitological test, without signs of severity or evidence of vital organ dysfunction
59
What is cytoadherence? Which species?
Falciparum expresses the PfEMP1 protein, causes RBCs to adhere to each other and endothelium - causes end organ damage
60
Options for Rx of falciparum uncomplicated? Alternatives?
ACT - 1st line Alternatives: malarone (atorvaquone and proguanil), doxycycline 7/7 and quinine 3/7 (cheap option but may be all you have, cannot use if quinine resistance) and mefloquine you can use but OUT of FAVOUR!
61
Prophylaxis in SE Asia which drug can you not use?
Mefloquine
62
Which antimalarials are ABSOLUTELY contraindicated in pregnancy?
Tetracyclines primaquine
63
What constitutes an area being high risk of chloroqune resistance?
Chloroquine resistance: treatment failure rate is > 10% at day 28 -> recommend Rx with ACT first line
64
How often do patients get fever in the differing species of malaria?
P.malariae - 72 hrs - Quartan P.Vivax and P.Ovale and P.Falciparum - 48 hrs - Tertian
65
What are maurers clefts?
Eosinophilic dots in cytoplasm - coarser than Schuffners dots - found in P.Falciparum
66
How do you do prophylaxis for P.Vivax?
Either primaquine prophylaxis during trip 1 day before of 7 days after OR 14 days of primaquine prophylaxis WHEN RETURN FROM TRIP IN HIGH P.VIVAX AREA
67
How is malaria quantified on thick and thin films?
Thick - number of parasites/microlitre of blood determined by number of parasites in relation to standard number of WBCs. Inaccurate in high parasitaemia. Thin - % - number of infected RBCs in relation to uninfected RBCs - minimum 800 counted. Inaccurate in low parasitaemia.
68
What activity of G6PD do you need to have to receive primaquine and tafenaquine?
>70% tafenaquine >30% primaquine
69
What are the causes of false positive rapid diagnostic testing in malaria?
Persistence of HRP-2 (lasts for weeks after infection) Delayed reading Buffer substitution Cross reactivity between species Other conditions e.g. schisto, toxo, leish
70
What structure is this?
Trophozoite, Vivax (can see vacuole)
71
How does treament change in a recurrence?
Within 28 days - classed as treatment failure - use alternative treatment After 28 days - can use the same Rx
72
If patient is on co-trimoxazole, which anti malarial not to use?
Artesunate + sulfadoxine/pyrimethamine (similar drugs, increases resistance) **WHO GUIDELINE**
73
How does malaria impact HIV viral load? and CD4?
Increases it Increased risk of transmission Decline in CD4 (reversible)
74
What rapid tests can be used for P.falciparum?
Histidine-rich protein 2 - PfHRP2 (produced by gametocytes of Falciparum) - most sensitive Parasite lactate dehydrogenase pLDH (less sensitive, all species) Plasmodium aldolase - all species
75
Where do you use ACT for Vivax? Why?
Indonesia PNG
76
What structures is this?
Male Gametocyte, Falciparum. Note laveran's bibs (white part). Male - chromatin is more diffuse
77
Why use a partner drug in the Rx of uncomplicated Falciparum with the Artesemin containing compound?
Partner drug: longer acting, clears remaining parasites
78
If using mefloquine for malaria prophylaxis, why would you start it 3 weeks early?
If develop side effects, takes 3 weeks so you know.
79
What structures is this?
Female Gametocyte, Falciparum, Note laveran's bibs (white part). Female - chromatin is compact
80
What is sporogony?
Sexual reproduction inside the mosquito, with produces sporozoites
81
Prozone effect occurs with which RDT and which species?
Falciparum HRP-2
82
What treatment would you administer a pregnant patient with P.Vivax malaria?
Chloroquine pre delivery Primaquine after delivery (if G6PD def risk low/test neg) If vertical transmission to baby from mother, therefore no hypnozoites, so don’t need primaquine
83
Alternative to doxycycline in patient you are giving quinine to if pregnant for uncomplicated malaria (ACT and others not available)?
Clindamycin!
84
Malaria in first trimester - uncomplicated falciparum. Rx?
ACT but only certain ones - Artemethur - lumefantrine Quinine + clindamycin if other formula not available
85
Treatment of uncomplicated malaria in pregnancy 2nd and 3rd trimester?
ACT But if artesunate-SP is used, avoid high doses of folate
86
Which RBC cells does P.Vivax preferentially invade, and how is this recognised on a blood film?
Reticylocytes - large RBCs
87
What is the incubation period for the different malaria species?
P.Vivax - 15 days or up to 6-12 months P.ovale - 17 days or longer P.Falciparum - 9-14 days P.malariae - 28 days or longer
88
What is patency?
The first microscopic detection of the asexual parasites (>50p/µL)
89
What is the Duffy antigen?
Surface antigen on RBC needed for vivax to enter erythrocyte (why there is limited Vivax in Africa)
90
Complications of cerebral malaria in children?
Cognitive deficits Raised ICP Retinal haemorrhages Seizures Postural abnormalities
91
What is the classic relapse time for P.Ovale and P.Vivax?
Varies depending on location 8-9 months - temperate strains of vivax 1 month - tropical vivax
92
How would you treat uncomplicated P.Vivax malaria?
Chloroquine base. 0 = 10mg/kg, 24 = 10mg/kg, 48 = 5mg/kg 3 days, orally Treatment of uncomplicated malaria caused by P. vivax, P. ovale, P. malariae, P. knowlesi is chloroquine. Can also use ACT if chloroquine resistance very high. Give primaquine otherwise you will get a relapse - to kill hypnozoites in Ovale and Vivax. 15-30mg/kg primaquine for 7-14 days (14 days WHO)
93
Problem with Tafenoquine as prophylaxis for malaria?
Have to make sure patient does not have G6PD def
94
Which anti malarial can you give in pregnant patients?
Chloroquine and proguanil are safest. Mefloquine probably safe.
95
What is the pre/sub patent period?
The time from inoculation of sporozoites from mosquitoes until asexual erythrocytic-stage parasites are detected by microscopy in the bloodstream (<50p/µL)
96
How would you treat uncomplicated P.Falciparum?
Artemisin compounds (artesunate, arthemeter, artemotil, dihydroartemisinin) containing artesemin AND a 2nd shizontocidal drug (mefloquine (ASMQ), amodiaquine (AS+AQ), Lumefantrine (AL), piperaquine (DHAP), sulfadoxine-pyrimethamine (AS+SP) 3 days orally Alternative is - doxy or clinda plus quinine (7 days) - malarone
97
When you give NNRTI and PI with ACT, what happens to the concentrations of ACT?
-Artesemin concentration goes down -Partner drug concentration goes up
98
What is this?
Immature schizont - P.vivax
99
What is link between HIV and malaria?
-Higher parasitaemia -Higher incidence of clinical malaria - increased severe malaria - increased placental malaria ****inversely correlated with CD4 count
100
When would you Rx P.Vivax with ACT first line instead of chloroquine?
In areas of high chloroquine resistance Change to ACT when the treatment failure rate is > 10% at day 28.
101
What option for pregnant patients for malaria prophylaxis? problem with it?
Sulfadoxine- pyrimethamine (SP) - 3 tablets. STILL beneficial however Falciparum is growing resistant!
102
What are the symptoms of malaria and why?
1. That of the haemolysis of RBCs (headache, jaundice, headache, fatigue) and fever from inflammatory response to merozoites being released. Fever every 48 hrs. 2. Cytoadherence of RBCs cause organ failure - kidneys, spleen, brain, lung
103
What is autochthonous malaria?
Locally contracted disease -Indiginous and imported
104
Which species administer primaquine to and why?
P.Ovale and P.Vivax to kill hypnozoites P.Falciparum single dose to kill gametocytes and stop transmission - only in non endemic area where vector exists to stop transmission.
105
What are the criteria for severe malaria in Knowlesi and Vivax?
106
Symptoms making malaria more likely?
splenomegaly, thrombocytopenia, high bilirubin
107
When combining and artemethur compound with doxy or clinda, how does the regime change and why (for uncomplicated, falciparum)?
Give 7 days instead of 3 days as doxy/clinda are rapidly eliminated
108
What are the requirements of a rapid diagnostic test in malaria?
* P. falciparum Panel Detection Score ≥ 75% at 200 parasites/μL * P. vivax Panel Detection Score ≥ 75% at 200 parasites/μL * False-positive rate < 10% * Invalid rate < 5% (WHO says needs to have ≥ 95% sensitivity with parastiaemia > 500/μL)
109
What is this?
Schizont - containing merozoites - P.Vivax
110
How much malaria in Peru Is Vivax vs Falciparum?
75% vs 25%
111
What is the prozone effect?
The prozone effect consists of false-negative or false-low results in immunological tests, due to an excess of either antigens or antibodies - clump together
112
What structure is this?
Gametocyte, P.Ovale. Irregular RBC outline, big cells.
113
In stable malaria, how long are babies protected from malaria and why?
Infants partially protected for first 3-6 months of life Maternal IgG
114
What is tafenoquine, what is the advantage?
Long half life of 14 days, only have to take once a week
115
What strucutre is this?
Trophozoites - P.falciparum
116
What is a schizogony?
Asexual reproduction in both mosquito and human (liver), producing schizonts containing lots of merozoites.
117
What is the purpose of prophylaxis of malaria in terms of the life cycle?
kill sporozoites before they infect hepatocytes
118
When can you use tafenoquine?
Need to have >70% activity of G6PD on quantitative testing (primaquine need G6PD >30%)
119
Which strain is in Malaysia (99%) and also in Thailand and surrounding countries?
P.Knowlesi - monkey malaria! Blood film mistaken for malariae Transmitted from monkey -> human
120
What is the characteristic feature of P.Malariae on smear?
Older RBCs get infected - smaller cells
121
What option for pregnant patients for malaria prophylaxis?
sulfadoxine/pyrimethamine
122
What to do once initial 3 doses of artesunate given in severe malaria?
treat with oral ACT for 3 days (need this regardless of length of Rx of IV)
123
What are the patterns and definitions of endemicity for malaria?
Hypoendemic: Spleen rate (SR) or parasite rate (PR) ≤ 10% in children 2-9 yo. Mesoendemic: SR or PR 11-50% in children 2-9 yo Hyperendemic: SR or PR consistently over 50% in children 2-9 yo. Adult spleen rate is also high (>25%). Holoendemic: SR or PR consistently over 75% in children 2-9 yo. Adult spleen rate is low. Parasitaemia rate in infants < 1 yo is high (> 75%).
124
What are Sinton and Mulligans Stippling?
Eosinophilic dots in cytoplasm found on gram stain for P.knowlesi
125
Which artesemin containing compounds cannot be used in pregnancy?
Artesunate +sulfadoxine pyrimethanine and Artesunate-pyronaridine - 1st trimester. 2nd trimester - avoid high doses of folate with ASP, resistance also to this USE AL IF POSSIBLE Quinine and Clindamycin if no alternative available
126
What is premunition?
State of partial immunity (semi-immune) in an endemic area
127
What structure is this?
Ring Trophozoite, Falciparum
128
Infective stage of life cycle of malaria?
Sporozoites
129
What happens to sporozoites?
Become merozoites in schizonts by schizogony (asexual reproduction)
130
How many types of schizogony can occur in human?
2 -Exoerythrocytic -Erythrocytic
131
What happens when a merozoite invades an RBC?
Becomes a trophozoite
132
which species get schuffners dots/ziemanns stippling/stinton/mulligans dots/maurers clefts?
- Schüffner’s dots: P. vivax and P. ovale; enlarge RBC - Ziemann’s stippling: P. malariae - Sinton and Mulligan’s stippling: P. knowlesi - Maurer’s clefts: P. falciparum
133
Definition and cause of recrudescence
Recurrent clinical malaria due to infection falling below level of detection and then rising above level of detection. Resistance, incomplete treatment, unusual PK, immunodeficiency
134
Thick smear and thin smear how to quantify?
Thin- % - quantity of infected RBCs in comparison to number of uninfected RBCs Thick - no. of parasites per micro litre - no. of parasites in comparison to number of WBCs
135
Drugs which treat -liver schizonts -trophozoites -gametocytes -hypnozoites
Schizonts: primaquine (T), atorvaquone/proguanil Hypnozoites: primaquine(T) Blood trophozoites->gametocytes: doxy, mefloquine, atorvaquone/proguanil, chloroquine, ACT Gametocytes: ACT, primaquine(T)
136
When is a pregnant patient in an endemic area most at risk? Why?
First pregnancy After this - develop variable surface antigen
137
Criteria of severity in knowlesi
>20,000p/microml plus jaundice >200,000p/microml
138
What causes cytoadherence?
pFEMP1 protein on RBC
139
What do you do if <30% G6PD activity and get Vivax? What about 30-80%? what about only qualitative testing?
Low dose weekly primaquine for 8 weeks 30-80% normal dose primaquine <30% only detected - low dose primaquine
140
What is different about Babesia sp? What animal does it infect (definitive host, intermediate host, accidental host) and what does it look like on a blood smear? Rx?
Babesia - northern USA Def - tick Intermediate - mounse Accidental - human Blood smear - cross/tetrad Rx: azithromycine atorvaquone