Fungi Flashcards

(137 cards)

1
Q

Specific cocci treatments?

A

Diffuse primary pneumonia and chronic pneumonia
- begin with AMB for diffuse dz. Otherwise, azole therapy.

Disseminated non-meningeal disease, depending on severity
- AMB initially, then azole drug
- AMB plus azole
- Itraconazole or posaconazole alone

Coccidioidal meningitis
- Fluconazole alone
- AMB intrathecal plus fluconazole
- Voriconazole for those who cannot tolerate fluconazole

How well did you know this?
1
Not at all
2
3
4
5
Perfectly
2
Q

Organisms most responsible for chromoblastomycosis?

A

Fonsecaea pedrosoi

How well did you know this?
1
Not at all
2
3
4
5
Perfectly
3
Q

Targets for fungal treatment?

A

Polyenes - amphoterecin

How well did you know this?
1
Not at all
2
3
4
5
Perfectly
4
Q

What animals transmit histoplasmosis?

A

Bats and birds, grows in soil enriched with faeces of bats and birds. Birds are not infected, bats are.

How well did you know this?
1
Not at all
2
3
4
5
Perfectly
5
Q

What azoles can be used to treat zygomycetes?

A

Posiconazole
Isavuconazole

How well did you know this?
1
Not at all
2
3
4
5
Perfectly
6
Q

What is an endemic fungi?

A

Organisms restricted to geographic or climatic environments

How well did you know this?
1
Not at all
2
3
4
5
Perfectly
7
Q

Disease forms of paracocci?

A

Acute/sub acute or juvenile - rapidly progressive (less common)
Chronic or adult - develop over years - long latency period and reactivation

3 spectrum of disease
- Acute
- chronic in immunocompetent (reactivation)
- chronic in immunocompromised (reactivation)

How well did you know this?
1
Not at all
2
3
4
5
Perfectly
8
Q

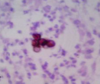
First choice azole for candidiasis both invasive and non invasive?

A

Fluconazole
(Voriconazole second line)

How well did you know this?
1
Not at all
2
3
4
5
Perfectly
9
Q

What is the epidemiology for sporotrichosis?

A

Peruvian highlands, urban Brazil

Enriched soil and decaying veg matter

Classic men in manual labour

Must have a skin trauma

How well did you know this?
1
Not at all
2
3
4
5
Perfectly
10
Q

Rx of cryptococcosis?

A

Fluconazole
2nd line vori

How well did you know this?
1
Not at all
2
3
4
5
Perfectly
11
Q

Classic feature of sporotrichosis?

A

Follows lymphatics, painful

How well did you know this?
1
Not at all
2
3
4
5
Perfectly
12
Q

Which deep fungi do you need to go to an endemic area to contract?

A

Histoplasmosis, paracocci

How well did you know this?
1
Not at all
2
3
4
5
Perfectly
13
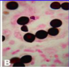
Q

Diagnosis of PCM?

A

Direct microscopy from scrape of lesion, KOH preparation
Round yeast cell with peripheral budding (MM)

Can also do histopathology preparation, antibody detection using ELISA

How well did you know this?
1
Not at all
2
3
4
5
Perfectly
14
Q

What is the presentation of extracutaneous sporotrichosis?

A

VERY RARE
Pulmonary
CNS

How well did you know this?
1
Not at all
2
3
4
5
Perfectly
15
Q

What can use anidulafungin to treat?

A

Fungical activity against Candida; static vs Aspergillus
species; intermediate activity against dimorphic fungi
(Histoplasma, Blastomyces; Coccidioides)

How well did you know this?
1
Not at all
2
3
4
5
Perfectly
16
Q

Side effect of posiconazole?

A

Analogue of itraconazole so very similar (heart failure)

How well did you know this?
1
Not at all
2
3
4
5
Perfectly
17
Q

Skin lesions in paracocci?

A

Predominantly on face
Pleomorphic - papules, vesicles

How well did you know this?
1
Not at all
2
3
4
5
Perfectly
18
Q

What is this?

A

Sporotrichosis

How well did you know this?
1
Not at all
2
3
4
5
Perfectly
19
Q

Where do -Azoles work? How?

A

Cell membrane
Azoles inhibit the synthesis of ergosterol by blocking
demethylation of lanosterol

How well did you know this?
1
Not at all
2
3
4
5
Perfectly
20
Q

What are the deep fungal infections?

A

Histoplasma capsulatum
Cryptococcus neoforman
Paracoccidiodomycosis
Aspergillus fumigateurs

How well did you know this?
1
Not at all
2
3
4
5
Perfectly
21
Q

What is the test for cryptococcal?

A

Culture - india ink
CRAG antigen
DOESN’T stain

How well did you know this?
1
Not at all
2
3
4
5
Perfectly
22
Q

Problem of voriconazole comparative to fluconazole?

A

Visual disturbances
Hepatotoxicity
Skin rash, photosensitivity
Drug interaction

How well did you know this?
1
Not at all
2
3
4
5
Perfectly
23
Q

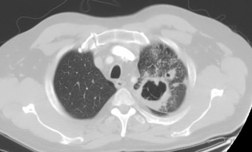
What are the CXR findings of Paracocci?

A

Unilateral patchy infiltrate. Less common, dense lobar or segmental infiltrate with atelectasis.
Can cause CAVITIES
Hilar and/or
mediastinal adenopathy often present.

How well did you know this?
1
Not at all
2
3
4
5
Perfectly
24
Q

Name the diagnosis

A

Mickey Mouse and ships wheel - paracocci

How well did you know this?
1
Not at all
2
3
4
5
Perfectly
25
What is the difference in skin test results for acute and chronic forms of paracocci?
Acute: skin test -ve (this form found in HIV) Chronic: skin test +ve
26
What is the fungus causing mycetoma?
Madurella mycetomatous
27
Which stains use to look for fungi?
PAS stain and silver stain (stain dark)
28
What are the disadvantages of Amphotericin B Deoxycholate?
Only available as a parenteral form (recently developed oral agent not approved yet) Significant infusion-associated toxicity including: fever, rigors, chills, hypotension, dyspnea Significant renal toxicity: decreased GFR, hypokalemia, hypomagnesemia
29
What other tests can you do in histoplasmosis apart from culture?
Antigen detection in urine (90% sens) and blood (50% sens)
30
What does lobomycosis look like?
Keloid, big blobs, can be found anywhere
31
What fungus always use echinocandins for?
Candida
32
Which fungal infection should you always think of when you think of eosinophilic pneumonia?
Cocci
33
Main side effect of ketoconzole?
Hepatic toxicity
34
Pattern of mucosal lesions in paracocci?
Soft and hard palate, anterior lesions, very painful and bleed Ulcerative, yellow white granulations with haemorrhagic dots Not in nose (Differs to leishmania)
35
What is thermal diamorphism?
Fungi that grow as yeast at body temp and mould at lower temps (25-30).
36
What type of skin lesions are classical seen in histoplasmosis?
Papular lesions, different to palpate to varicella
37
What do you think of re: side effects for Ampho B?
Toxicity Nephrotoxicity + low K and Ca - dose related, always occurs
38
Presentation clinically of cocci?
Most asymptomatic 40% flu like illness Erythema nodosum - classic - can also have erythema multiform and disuse rash
39
Indications for histoplasmosis therapy
-Acute severe pulmonary disease – steroids may be helpful – Chronic pulmonary disease: AMBd rarely necessary – Mediastinal granuloma – ITRA may be effective – Fibrosing mediastinitis – No Rx effective – Duration of therapy for uncomplicated disease is at least 6 months, but may extend for >12 months for PDH
40
Flucytosine uses
Always used with another agent (resistance) Oral only 90% excreted in urine - can be used for candiduria
41
First line Rx for invasive candida?
Echinocandin
42
What is the classic presentation of Disseminated Coccidioidomycosis?
Asymptomatic primary infection Skin Lung Joint CNS
43
Risk factors for *Disseminated* Coccidioidomycosis?
Immunosuppressed Male African and phillipino Age >60 Pregnancy (Black people tend to present with bone disease, filipino tend to present with meningitis)
44
Difference on histopathology between acute and chronic PCM?
Chronic - less necrosis, see yeast structures, epithelioid granulomas Acute - extensive necrosis, multiple yeast cells, less granulomas
45
Where do you find paracocci? And in who?
Latin and South America, significant rainfall and humid, 1000m upwards from sea level Common in FARMERS (tobacco etc) Male predominance (oestrogen protecitive)
46
What organisms causes coccidiodomycosis?
Coccidioides immitis (only found in California) and C. posadasii
47
How does terbinafine work?
Same as azoles
48
Whats this?
Lobomycosis - lacazia loboi
49
What is the disadvantage of cryptococcus treated with itraconazole?
Does not penetrate CNS well
50
What is the diagnosis?
Acute (juvenile) paracocci
51
Benefits of fluconazole?
Given once a day Orally or parenterally Good bioavailability - never have to give IV Fewest drug-drug interactions
52
Treatment of PCM?
Itraconazole BEST for initial Rx Duration of Rx 6-12 months Acute form or adult form with significant resp involvement - amphoterecin B
53
Route of acquisition of cocci? Site of disease?
inhale fungi Lung -> skin, bone, joint, meninges
54
Fluconazole Rx of choice for what?
Urinary fungal infection (only one that is excreted in urine) CNS infection (70% crosses into CNS)
55
Life cycle of Cocci
an arthroconidium enlarges into a large spherule (up to 120 mm) which in turn internally segments into many small endospores (2-4 mm). Ruptured spherules release endospores into tissue; endospores develop into spherules; and cycle repeats itself.
56
Rx of aspergillosis?
Voriconazole 2nd line posi
57
What are the species for paracocci?
P.brasiliensis, P.lutzii Dimorphic fungus Mould <28 deg Yeast >36 deg
58
What are the echinocandins?
Anidula, mica, caspo fungin Molecular structure very similar Large molecules so do not penetrate CNS/urine/eye
59
How can you test for aspergillus?
Aspergillus antigen/antibody
60
Endemic areas for cocci?
Areas in which the organism inhabits the soil, between latitudes of 40oN and 40oS in Western Hemisphere. In North America, places with hot summers, mild winters
61
What is this?
Melanised fungi - copper pennies Chromoblastomycosis
62
Transmission of paracocci?
Respiratory route, inhalation Dimorphic fungus - becomes yeast in body (body temp) Pulmonary and systemic manifestations
63
What is the most common histoplasmosis species and which species is found in Africa?
H.Capsultum H. Dubosii
64
Benefits of terbinafine?
VERY BROAD spectrum First line for dermatophytes (microspora)
65
What is histoplasmosis? Where is it?
Thermally dimorphic - Histoplasma capsulatum North and Latin America in moist environments - not in coast of peru.
66
Juvenile paracocci symptoms?
Hepatomegaly, splenomegaly, lymphadenopathy, pancytopenia Rapidly progressive
67
Spectrum of 5FC?
Active against yeasts - candida, crypto Excellent for chromoblastomycosis - mono or combined therapy
68
Who gets progressive disseminated histoplasmosis?
Immunocompromised Non-immunosuppressed middle-aged to older adults - mainly males
69
What is meant by the term Disseminated Coccidioidomycosis?
Any infection that is not pulmonary
70
Difference between PCM and leish? What are the other ∆∆?
Leprosy, tertiary syphylis, cancer, histoplasmosis, sarcoid
71
What is the treatment of choice in cocci?
Itraconazole 200 mg bid - RX of choice - often lifelong Alternatives: Fluconazole 400 – 800 mg q d Posaconazole 300 mg qd AMBd 0.5 – 1.0 mg/kg/d or LFAmB 3-5 mg/kg/d IF SEVERE DISEASE
72
What is this?
Paracocci
73
Typical mouth lesions in paracocci?
Small lesions, anterior, tooth involvement, red dots***
74
What is the benefit of liposomal ambisome/Amphoterecin B lipid complex?
Equal in efficacy, better side effect profile (SAFER NOT MORE EFFICACIOUS) Renal protection!!!
75
What are the differential diagnoses of sporotrichosis? Sporotrichoid pattern...
* Non-tuberculous mycobacteria (esp MAC, M chelonae, M marinum, M ulcerans) * Cutaneous nocardiosis (esp N. brasiliensis) * Leishmaniasis in the Americas * Other endemic fungi (histo, crypto, blasto) * Bacteria causing fixed ulcers (eg, S. aureus, F. tularensis, B anthracis)
76
Can you use echinocandins to Rx CNS disease?
No - vert weak penetration
77
What is this?
Chromoblastomycosis
78
How do you treat histoplasmosis?
Itraconazole in mild to moderate disease If disseminated, need LFAmB for 2 weeks first
79
What are the superficial fungal infections of importance?
Sporotrichosis - sporothrix schenckii Lobomycosis Mycetoma Chromoblastomycosis
80
32 year old male with advanced HIV with this rash, fungi on microscopy. Which?
Histoplasmosis
81
What is this?
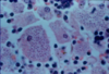
Histoplasmosis Hyphae, small - need Giemsa stain Species lives in cytoplasm of macrophages (histiocytes)
82
How does ampho B work?
Amphotericin B binds to fungal membrane sterols (ergosterol), alters permeability to K+ and Mg2+ Causes a pore, causes the fungus to leak, fungicidal
83
Name 2 diamorphic fungi
Cocci Histoplasmosis
84
What causes sporotrichoidosis?
sporothrix schenckii
85
What is the causative organism in blastomycosis? Where do you find it?
Blastomyces dermatitidis Mainly North America
86
Rx of blastomycosis, histo, paraccoci and sphoro?
Itraconazole 2nd line posi or vori
87
What is SSKI and what is it used for?
Super saturated Potassium iodide Sporotrichosis first line (only one)
88
Treatment of Sporo?
Potassium iodide local Rx- Associated with nausea and vomiting, lacrimation, distorted taste, rash. Least expensive, but very effective Often used in endemic areas Itraconazole 200 mg BD for 3 months
89
What tests are available for cocci?
Culture Histopathology stain IgG and IgM very useful
90
What makes one azole better than another azole?
Affinity to the enzyme which blocks demethylation of lanosterol
91
What is the organism for chromoblastomycosis?
Fonsecaea pedrosoi
92
What can you not treat with anidulafungin etc?
NOT active against Cryptococcus, Fusarium, Paecilomyces, Trichosporon or Zygomycetes
93
What is this?
Cocci - Identification of spherules by special stains
94
35 year old with HIV with CD4 of 24 presenting with cough and SOB?
Histoplasmosis
95
What are the benefits of voriconazole/posiconazole?
Aspergillus treatment (why they were developed, itraconazole not good)
96
Disadvantage of echinocandin?
Can only be given IV
97
What is this?
Aspergillosis (mould not yeast, see branching hyphae)
98
Tongue biopsy for a patient with tongue lesion
Histoplamsosis Very small organisms No capsule
99
What is the main organism causing paracocci?
Paracocci Brasiliensis
100
What is the treatment of choice for blasto, histo, sporo, and non-CNS cocci?
Itraconazole
101
What is cryptococcal neoformans? Where from?
Encapsulated yeast Chickens and birds
102
Tests for histoplasmosis?
Culture, microscopy, histo antigen urine test Can do bone marrow Bx/blood culture too
103
Bone marrow biopsy of patient with rash and 5 months hx of weight loss and cough
Histoplasmosis
104
Side effects of flucytosine?
GI Hepatic mild enzyme derangement Bone marrow suppression Skin rash
105
What must you do if you suspect cocci and want to test for it?
Notify lab that Coccidioides spp. is suspected clinically.
106
How do echinocandins work?
inhibit (1,3)-beta-D-glucan synthase, which forms glucan polymers in the cell wall The cell wall is not present in mammals therefore VERY LOW TOXICITY
107
Fluconazole side effects?
Rash Deranged LFTs GI upset VERY WELL TOLERATED
108
What are the clinical features of blastomycosis?
Almost always pulmonary plus else where - pretty much always disseminates! Disease manifestions are pulmonary (60-80%), skin (40-60%), osseous (20-30%), genitourinary (10%), and CNS (<5%) A great mimicker!
109
Pulmonary involvement in paracocci?
Non specific symptoms - cough,haemoptysis, SOB Bilateral infiltrates on CXR Cavitating lesions and pleural effusions - NOT COMMON
110
How does it appear on microscopy?
Yeast colonies appear, variable size, mother cell surrounded by multiple buds Mickey mous apparence, ships wheel
111
Paracocci: Difference in presentation between acute and chronic forms?
Acute: fever, lymphadenopathy, HSM, skin lesions Chronic: lung disease, oral mucosal symptoms
112
What is this?
Histoplasmosis
113
How is histoplasmosis transmitted? Principal sites of disease?
Respiratory - inhalation of spores Lungs, LNs, liver, spleen, bone marrow
114
What is this?
Blasto Blastomyces Dermatididis broad-based budding yeasts Diagnosis can only be made with culture really
115
Which superficial fungi does not stain - have to culture it?
Sporotrichosis
116
What is ideal test available for histoplasmosis?
Culture from blood or body fluids - may take 6 weeks to be positive
117
What is used to treat aspergillus first line?
Voriconazole (main difference to intra) Both vori and itra Rx most fungi
118
First choice azole for cocci?
Itra or fluconazole for non-meningeal Fluconazole for meningeal
119
Benefits of posiconazole?
- Fungicidal against Aspergillus, Scedosporium - Highly active against Zygomycetes; less active against Fusarium species HAS THE BROADEST SPECTRUM
120
What is this?
Sporotrichosis Sporotrichoid pattern Lymph drainage pattern but does not involve lymph nodes Can involve the face in KIDS
121
Side effects of itraconzole?
Heart failure (fluid retention massive side effect) and liver toxicity Loads of drug drug interactions
122
What is this
Cryptococcal - india ink stain
123
What is this?
PAS stain Mycetoma
124
Cauliflower like lesion on foot. Diagnosis and organism?
Fonsececa petrosi
125
What is this? taken from skin lesion on foot
Lacazia loboi
126
Organomegaly, cutaneous lesions, ora ulcersl, lung involvement from the jungle. Pancytopenia, LDH raised. Miliary pattern on CXR. Diagnosis?
Histoplasmosis
127
Fungi that cause eosinophilia
Cocci Aspergillosis
128
55 yr old Indian man with facial swelling and a black lesion in mouth, microscopy shows this, diagnosis?
Zygomyces Mucourmycosis Broad aseptate 90 degree branching
129
Which environment does mucour like? Who does it affect?
low pH, high glucose Affects diabetics (chronic) Immunosuppressed/on steroids/haematology pt progresses rapidly
130
Fungi causing mucor?
Mucourale species Zygomyces
131
Most common location for mucor?
Rhinocerebral/oral (diabetics) In other imm suppressed can cause GI/pulmonary/cutaneous
132
Presentation of rhino-orbital-cerebral mucormycosis?
Facial pain, swelling, periorbital oedema Osteomyelitis, cavernous sinus thrombosis, cranial nerve problems. Palatine ulcers - black Cerebral ulcers
133
Management of mucor?
Debridement Ampho B Control predisposing factor e.g. T2DM
134
What is this?
Talaromyces marneffei
135
What is the reservoir for talaromyces? Transmission?
Spread by the Bamboo rats Rainy season, soil, inhalation
136
Who gets talaromyces? And where?
SE Asia - China. Immunocompromised.
137
Symptoms of talaromyces?
Skin lesions - umbilicated Hepatosplenomgaly, lymphadenopathy, fever