Leishmaniasis Flashcards

(41 cards)

1
Q

Where are the most endemic areas for visceral leishmaniasis?

A

Sudan
Bangladesh, India, Nepal
Brazil

90% of cases in these countries!

How well did you know this?
1
Not at all
2
3
4
5
Perfectly
2
Q

What is the investigation of choice for V.Leish?

A

Bone marrow or spleen aspirate and microscopy

Amastigotes inside macrophages

How well did you know this?
1
Not at all
2
3
4
5
Perfectly
3
Q

Rx of choice for VL?

A

Liposomal ampho

Also: Anitmonials - don’t work so well
Ampho B

How well did you know this?
1
Not at all
2
3
4
5
Perfectly
4
Q

What are the 2 stages of the life cycle that may be seen in cutaneous leishmaniasis?

A

Amastigote
Promastigote (only from vector)

How well did you know this?
1
Not at all
2
3
4
5
Perfectly
5
Q

Describe how to identify an emastigote?

A

Small - 2-4 microns
Intracellular pathoge
Prominent nucleus, with a bar-shaped kinetoplast

How well did you know this?
1
Not at all
2
3
4
5
Perfectly
6
Q

Vector for leish in old world?

A

Phlebotomos fly

How well did you know this?
1
Not at all
2
3
4
5
Perfectly
7
Q

Vector for leish in new world?

A

Lutzomyia fly

How well did you know this?
1
Not at all
2
3
4
5
Perfectly
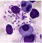
8
Q

What is this?

A

Amastigotes
Mucocutaneous leish

How well did you know this?
1
Not at all
2
3
4
5
Perfectly
9
Q

Infective stage of cutaneous leish?

A

Promastigote

How well did you know this?
1
Not at all
2
3
4
5
Perfectly
10
Q

What causes cutaneous leish in old world?

A

L.major
L.Tropica
L.Ethiopica

How well did you know this?
1
Not at all
2
3
4
5
Perfectly
11
Q

Most common cause of visceral leish in old world?

A

L. infantum/chagasi (Europe) and L. donnovani (middle east, Horn of Africa)

How well did you know this?
1
Not at all
2
3
4
5
Perfectly
12
Q

Cause of cutaneous leish in new world?

A

L. braziliensis (jungle)
L.peruviana (highlands), L.panama, L.mexicana, L.Guyanensis

L.braziliensis causes mucocutaneous disease

How well did you know this?
1
Not at all
2
3
4
5
Perfectly
13
Q

What is the classical presentation of leish?

A

Slowly enlarging nodule at bite site, most self heal, crust forms centrally leading to uler with raised margins, leave hypopigmented and depressed scar

How well did you know this?
1
Not at all
2
3
4
5
Perfectly
14
Q

What is the definition of disseminated leish?

A

> 10 lesions in more than 1 limb/extremity

How well did you know this?
1
Not at all
2
3
4
5
Perfectly
15
Q

What is diffuse cutaneous leish?

A

Begins as localised disease, and does not ulcerate.
Soft nodules or plaques on face / limbs / entire body.
Patients usually have a defect in cell mediated immune response

How well did you know this?
1
Not at all
2
3
4
5
Perfectly
16
Q

What species often cause Diffuse CL?

A

Amazonensis, mexicana, aethiopica

How well did you know this?
1
Not at all
2
3
4
5
Perfectly
17
Q

Which species causes mucosal involvement of leish?

A

Caused by Viannia subegenus - mainly by L.V. braziliensis (also guyanensis, panamensin, peruviana)

18
Q

Diagnosis of cutaenous leish?

A

Direct smear from skin scrape, giemsa stain

In specialist labs: can culture promastigotes
Leishmanin skin test - like TST for TB
ELISA
PCR

19
Q

How do you Rx cutaenous leish?

A

IV pentavalent antimonials (Sb5+, stibogluconate) for 20 days

20
Q

How do you treat mucosal leish?

A

stibogluconate Sb5+ (pentavalent antimonials) IM or IV for 30 days

21
Q

What to do if patient has laryngeal involvement of mucosal leish?

A

Amphoterecin B

22
Q

What would you do at 20 days following Rx for cutaenous leish?

A

Failure of treatment at 20 days is if the lesion is extending despite 20 days of therapy

Look for 50% improvement over 20 days

23
Q

Alternative Rxs for visceral leish?

A

Anitmonials if Liposomal amphoterecin not available

24
Q

New World visceral leishmaniasis species?

A

Leishmania infantum/Chagasi

25
How will you differentiate diffuse and disseminated leish?
Diffuse - Skin test -ve - Lots of organisms on biopsy/scrape - Skin lesions do not ulcerate - No antibodies/immune response - No mucosal disease
26
Parasitic stages of leish - infective and diagnostic?
Promastigotes from saliva of fly - infective Amastigotes - tissue. Diagnostic Very rare to see promastigotes in leish. Only in culture.
27
Diagnosis of leish?
Amastigotes - 2-4 microns, kinetoplast - bar shaped DNA
28
What is difference between leish and histo?
Histo no nucleus, yeast inside macrophage
29
Which strain of VL has a reservoir other than humans?
Infantum Dogs
30
What is the reservoir for L.Donnavani?
Humans
31
Classical presentation of VL?
Fever - prolonged Splenomegaly Hepatomegaly Lymphadenopathy Bone marrow invasion - pallor Hyperpigmentation - Kala Azar often wasted and malnourished
32
Bloods in VL?
Pancytopenia Hypergammaglobulinaemia
33
Post treatment manifestation of VL
PKDL - chronic form Often on face Dermatitis - pale spots and painless nodules - contain amastigotes! Up to 50% of people in East Africa
34
Diagnosis of VL?
Parasite detection Antibody detection Antigen detection (urine antigen test)
35
parasite detection, best method?
Splenic aspiration Bone marrow Bx Lymph node Bx (very poor)
36
The now best way of diagnosing VL apart from parasite detection?
Direct agglutination testing Rapid tests Always do before splenic aspiration
37
Cause of false negatives and false positives in serology for VL?
HIV - false neg Asymptomatic immunity - false positive
38
Problem of rK39 antibody RDT?
Varies depending on the region - Asia excellent sensitivity, Ethiopia bad!
39
Options for Rx VL
GS: Ampho (liposomal) + Miltefisine Pentavalent antimonial Paramomycin
40
How to change Rx if have HIV and VL??
Longer course Rx
41
Options for Rx for PKDL?
Same Rx but longer