HIV Flashcards

(128 cards)

1
Q

What are the important components of the HIV virus?

A

RNA - 2 strands
RT enzyme
Protease enzyme
Integrase enzyme
Nucleocapsid
Membrane

How well did you know this?
1
Not at all
2
3
4
5
Perfectly
2
Q

Which cells does HIV infect? What are the key cellular processes that occur?

A

CD4
Macrophages
Dendritic cells

Transcription: reverse transcriptase copies viral RNA into
double stranded copy DNA - NRTI

Integration: cDNA enters cell nucleus and integrates into
human DNA. Site of action of integrase inhibitors.

Translation: Gag, Pol, Env proteins synthesised. Protease inhibitors work here

How well did you know this?
1
Not at all
2
3
4
5
Perfectly
3
Q

What is reservoir for HIV?

A

Lymphoid tissue

How well did you know this?
1
Not at all
2
3
4
5
Perfectly
4
Q

What does the HIV ELISA test for?

A

Capacity to detect Ag (P24) ELISA and antibodies simultaneously
- Antigen detected acutely
- Antibody then detectable after acute infection

Confirmation test: Western Blot/Immunofluorescence

Also: HIV RNA detection by PCR

How well did you know this?
1
Not at all
2
3
4
5
Perfectly
5
Q

How long after infection can you detect HIV?

A

At least 15-20 days by ELISA for antigen
11-12 days HIV RNA detection

How well did you know this?
1
Not at all
2
3
4
5
Perfectly
6
Q

At what CD4 count do opportunistic infections?

A

<200
<14%

How well did you know this?
1
Not at all
2
3
4
5
Perfectly
7
Q

What organisms commonly cause meningitis is HIV positive patients?

A

Cryptococcus (most common esp if CD4 <50)
Bacterial - strep, listeria
TB
Syphylis
Viral
Fungal - histo, cocci
Lymphomatous meningitis (check cytometry/cytology)

How well did you know this?
1
Not at all
2
3
4
5
Perfectly
8
Q

How does cryptococcal meningitis present?

A

Slow onset headache, intracranial hypertension symptoms

How well did you know this?
1
Not at all
2
3
4
5
Perfectly
9
Q

What is the test for cryptococcus?

A

CRAG antigen - CSF or blood (>90% sensitive even for blood)

Other: opening pressure high, lymphocytic high cell count on CSF, India ink CSF (CR does not stain)

How well did you know this?
1
Not at all
2
3
4
5
Perfectly
10
Q

Aim of spinal tap in crypotcoccus meningitis?

A

Drain CSF opening pressure to half of initial reading (<20cmH2O)

How well did you know this?
1
Not at all
2
3
4
5
Perfectly
11
Q

What is the treatment of cryptococcal meningitis?

A

Induction: liposomal amphoterecin one dose
14 days of flucytosine with fluconazole low dose
Then lower dose fluconazole

If liposomal amphoterecin not available:
7/7 ampho B & flucytosine followed by high dose fluconazole 7/7

If no ampho B - 14 days of fluconazole and flucytosine

Consolidation phase: 8 weeks fluconazole

Maintenance: fluconazole lower dose (almost like prophylaxis)

How well did you know this?
1
Not at all
2
3
4
5
Perfectly
12
Q

When do you start ARVs in cryptococcal meningitis?

A

4-6 weeks later

How well did you know this?
1
Not at all
2
3
4
5
Perfectly
13
Q

CNS mass lesions in HiV?

A

Toxoplasmosis (most common)
Tuberculoma
Lymphoma

Less common: Cryptococcoma
Progressive multifocal leukoencephalopathy (JC virus)
Bacterial abscess
Syphylis
Chagas
Aspergilloma
Nocardia

How well did you know this?
1
Not at all
2
3
4
5
Perfectly
14
Q

How is toxoplasmosis transmitted?

A

Oral ingestion - cat faeces
Raw meat
Congenital, blood transfusion

Latent infection which is reactivated

Affects brain and eyes - mass lesions

How well did you know this?
1
Not at all
2
3
4
5
Perfectly
15
Q

CNS toxoplasmosis presentation?

A

Altered mental status
Weakness
Acute focal deficit
Seizures
May be headache and fever

How well did you know this?
1
Not at all
2
3
4
5
Perfectly
16
Q

What do you see on CNS imaging in patient with toxoplasmosis in brain?

A

Ring enhancing lesions

How well did you know this?
1
Not at all
2
3
4
5
Perfectly
17
Q

Treatment of toxoplasmosis

A

Co-trimoxazole

How well did you know this?
1
Not at all
2
3
4
5
Perfectly
18
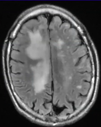
Q

What is the diagnosis and why?

A

JC virus causing progressive multifocal leukoencephalopathy

  • diffuse white matter lesions, no mass effect, do not enhance with contrast
How well did you know this?
1
Not at all
2
3
4
5
Perfectly
19
Q

How does progressive multifocal leukoencephalopathy present?
How do you investigate and manage?

A

Subacute motor cognitive or visual symptoms

Ix: CSF PCR of virus

Mx: ARV (no proven Rx)

How well did you know this?
1
Not at all
2
3
4
5
Perfectly
20
Q

Most common cause of retinitis in HiV?

A

Cytomegalovirus - reactivation.

Cheese and ketchup (red and white appearance) of retina

Mx: gancyclovir/galvancyclovir
if not available - ARVs

How well did you know this?
1
Not at all
2
3
4
5
Perfectly
21
Q

How does toxoplasmosis affect the eye?

A

Chorioretinitis, associated uveitis.

Presents with decreased vision and floaters

How well did you know this?
1
Not at all
2
3
4
5
Perfectly
22
Q

How does syphylis affect the eye?

A

Retinitis, uveitis, optic neuritis

How well did you know this?
1
Not at all
2
3
4
5
Perfectly
23
Q

Most common respiratory infections with HIV

A

TB
PCP
Bacterial pneumonia
Fungal:Cryptococcus, histoplasmosis

How well did you know this?
1
Not at all
2
3
4
5
Perfectly
24
Q

What do you see on a CXR in PCP?

A

25% normal!
Diffuse alveolar infiltrates
Cysts
Pneumothoracies

How well did you know this?
1
Not at all
2
3
4
5
Perfectly
25
Treatment for PCP?
Co-trimoxazole and steroids
26
What test if you suspect fungal lung infection with cryptococcus/histoplasmosis?
CR antigen or histoplasmosis antigen. Both sensitive.
27
What do you suspect if you see oral candidiasis?
HIV, risk factor for PCP
28
Treatment of oral candidiasis?
Topical clotrimoxazole or suspension Oral fluconazole
29
Causes of oesophageal disease in HIV
Oesophageal candidiasis HSV, CMV - ulcers TB, fungal, cancer
30
Treatment of pruritic papular reaction. Differential diagnosis?
Hypersensitivity reaction Diffuse - papular lesions Get better with ARVs Eosinophilic folliculitis, prurigo nodular
31
What is the diagnosis, why?
Onychomycosis - from fungal nail infection, but starting proximally not distally
32
Most common plaque like skin lesion HIV?
Kaposis sarcoma - purple plaque
33
What is the diagnosis?
Cryptococcal neoformans India ink microscopy
34
3 month history of increasing confusion, generalised weakness, headache, mental slowing in patient with HIV. Diagnosis?
PML Remember - mass with NO mass effect
35
Why do toxo IgG in patient with HIV and ring enhancing lesions on CT head?
Confirm the diagnosis and proceed with Rx. Look for response (will usually get better over 10 days) If toxo IgG negative - look for another cause Do not do toxo IgM - useless Toxo IgG - only tells you patient has been exposed previously
36
How to confirm diagnosis of toxo?
Toxo PCR from CSF IgG only tells you previous exposure
37
What is the definitive hosts for toxoplasmosis? Intermediate hosts?
Cats - Unsporulated oocysts are shed in the cat’s feces birds and rodents intermediate
38
Multiple lesions on CT head for patient with advanced HIV?
Toxo, lymphoma, TB
39
Most common cause of mass lesions on CT in patient with HIV?
Toxoplasmosis
40
∆∆ micro nodules on CXR?
histoplasmosis TB Cryptococcus Kaposis Nocardia Staph endocarditis
41
Classic appearance on CXR of PCP
Diffuse bilateral infiltrates, bat wing appearance/perihilar, bilateral NOT lymphadenopathy (think of another cause - TB)
42
How may kaposi present in lungs?
Bilateral peribronchial nodules of CXR Bronch may show lesions in bronchi
43
Differentiate TB and PCP presentation
PCP - gradual onset in advanced disease TB - early HIV disease PCP - diffuse alveolar infiltrates TB - upper lobe, peribronchial, pleural effusion and miliary pattern Normal CXR can occur with fungal, PCP and TB.
44
How do you change your Rx in HIV therapy with TB?
DTG preferred (EFZ alternative) AVOID PIs
45
Which HIV drug causes diarrhoea?
Ritonavir/liponavir
46
Which HIV drug causes rash?
Niverapine
47
Which HIV drug causes anaemia?
Zidovudine
48
What drug regime should you start in new diagnosis HIV?
2 NRTIs, 1 other - Integrase inhibitor (WHO recommends tenofavir, zamivudine/emtracitamine, dolutegravir)
49
What is the issue and benefits of efavarinz?
Issue: resistance and psych side effects Benefits: no interaction with HIV meds
50
Name 2 NNRTIs
Efavarinz and nevirapine
51
What is the main side effect of tenofavir?
Renal problems 1-2%
52
What is the main side effect of the NRTIs?
Metabolic toxicity - hyperlipidaemia, lactic acidosis
53
Main 2 side effects of PIs?
Diarrhoea P450 enzyme interactions (not good if co-treatment with TB)
54
Dolutegravir main side effect?
Weight gain
55
What constitutes failure in HIV?
Viral failure (>1000copies/ml) Clinical failure (new stage 4 event) Immunological failure (CD4 <100 persistent) Always check adherence
56
What preventative Rx for HIV OIs do you start?
Fluconazole - CD4 <100 (cryptococcal) Isoniazid - TB Co-trim - toxo, PCP
57
43 year old male with 1 yr hx of mental slowness, impairment in activities of daily living. Diagnosed with HIV. MRI brain normal. Most likely diagnosis?
HIV associated dementia
58
Pattern of neuropathy in HIV patients? Causes? ∆∆?
Stocking/glove distribution with hyperaesthesia ∆∆ CMV, lymphoma, Drugs, metabolic, nutritional
59
AIDS defining cancers?
Kaposi's CNS lymphoma Primary effusion lymphoma NHL Cervical cancer Others that are more common: Oesophageal Anal Lung Liver
60
What causes kaposis sarcoma? What do they look like? Where?
Human herpesvirus 8 Purple nodules, papules, patches Mucosal and skin lesions, can have visceral
61
How do you treat kaposis?
ART and chemotherapy
62
Symptoms of CNS lymphoma?
Weight loss, fever, night sweats Confusion, weakness, focal signs, seizures, headache
63
What are the causes of anaemia in HIV?
Chronic disease anaemia Medications Nutritional - iron, folate Malignancies infectious - TB, fungi
64
What causes of leukopenia in HIV?
Drugs - AZT Infections - TB, fungi, parvovirus HIV Malignancies
65
What causes thrombocytopenia in HIV?
HIV, drugs, bone marrow suppression (malignancy e.g lymphoma)
66
∆∆ for difficultly swallowing in HIV patient?
Oesophageal candidiasis Herpes simplex (multiple ulcers) CMV (single ulcer) TB Fungal infection Malignancies
67
If you suspect oesophageal candidiasis what should you do?
Treat - no endoscopy unless concerning features and not getting better on Rx. Fluconazole (can also use topical nystatin)
68
Causes of diarrhoea in HIV positive patient? What influences your differentials?
CD4 count Bacterial, fungal, viral and protozoal causes vs HIV, malignancy and drugs
69
Which drugs cause diarrhoea in HIV Rx?
Protease inhibitors, antibiotics
70
Bacterial causes of diarrhoea in HIV?
C.diff Salmonella Shigella E.Coli Vibrio species Small bowel bacterial overgrowth MAC TB
71
Parasitic causes of diarrhoea in HIV?
Cryptosporridium parvum (most common) Cystoisospora belli (eosinophilia) Leishmaniasis visceral Microsporidium Giardia Cyclospora cayetanesis Entamoeba histolytica Strongyloides stercoralis
72
How do you treat cryptosporidium parvum in advanced HIV?
Nitazoxamide AND ART (often only Rx that makes a difference)
73
What are the fungal and viral causes of diarrhoea in HIV?
Fungi: histoplasmosis Viral: CMV (proctitis), HSV
74
What are the causes of large volume diarrhoea in HIV?
Cryptosporidium, microsporidium, giardia, cystoisospora
75
Cause of small volume diarrhoea and proctitis in HIV?
CMV, shigella, campylobacter, Cdiff, HSV
76
What drug would you start in patient on TB meds and newly diagnosed HIV as your 3rd drug with backbone NRTIs?
Efavarinz
77
How does mother - baby transmission of HIV occur?
In utero (microtransfusions, genital tract infections) Intrapartum (microtransfusions) Breastfeeding
78
How does the majority of transmission of HIV from mother to baby occur?
Intrapartum (50%) Then in utero - 3rd trim Then breastfeeding
79
When is the definitive diagnosis of HIV made in a newborn baby?
4-6 weeks
80
What are the risk factors for vertical transmission of HIV?
Maternal HIV load (1) New maternal HIV during pregnancy Maternal CD4 count WHO stage of disease STI Anaemia Mastitis Mixed feeding pattern
81
What are the risk factors for vertical transmission of HIV?
Maternal HIV load (1) New maternal HIV during pregnancy Maternal CD4 count WHO stage of disease STI Anaemia Mastitis Mixed feeding pattern
82
Who and when should women be tested for HIV?
WHO recommends that ALL pregnant persons should be tested at least once for HIV, syphilis and HBsAg as early as possible (first trimester) In high-burden settings, test again in third trimester (34-36 weeks).
83
What is the most effective way of reducing transmission from mother to baby?
Control of mothers HIV (viral load <1000)
84
First line Rx of HIV in pregnancy?
First-line: Dolutegravir (DTG), Tenofovir disoproxil fumerate (TDF), lamivudine (3TC) or emtricitabine (FTC). Consider switch to 2ndline if not suppressed 8 weeks before delivery.
85
What is the 2nd line drug regime for HIV as recommended by WHO?
TDF, 3TC/FTC plus a boosted PI regime TDF, 3TC or FTC, EFZ 600mg or 400mg
86
What mode of delivery should be used for HIV positive patients?
In resource-rich settings: Cesarean section recommended if maternal VL >1,000copies/ml If C sec a greater risk than VD - then deliver normally
87
When should ART be started in a neonate?
As soon as possible - within 6 hrs of birth
88
How should you treat a neonate born to a HIV positive mother?
High risk vs low risk different. High risk: -AZT and NVP x 6 weeks - Either continuation OR NVP alone for additional six weeks (12 weeks total) IF BREASTFEEDING. -After 12 weeks if mother is suppressed - discontinue. If mother not suppressed - may continue. Low risk: -NVP 6 weeks
89
What are the features of a high risk HIV mother?
Viral load >1000 copies/ml Newly diagnosed HIV in pregnancy or post part
90
How long should mothers with HIV breast feed for?
Six months of EXCLUSIVE breastfeeding + Maternal ART + Infant prophylaxis (12 weeks) Then Maternal ART + mixed feeding to 24 months AS LONG AS VIRAL LOAD SUPPRESSED
91
Which neonates should get co-trimoxazole?
All neonates born to HIV positive mother, 4-6 weeks of age until HIV test definitively negative
92
When does HIV present in children following vertical transmission?
Age of onset: Varies from a few months of age to >5 years (usually by 12-18 months)
93
How do you diagnose HIV in children (MTC transmission)?
NAT (RNA test) at 0-2 days NAT at 4-6 weeks NAT at 9 months if still breastfeeding HIV antibody test on cessation of breastfeeding If at any point positive - Start ARVs and confirm test
94
First line Rx of HIV in children under age of 12? (Adolescents are Rx like adults)
ABC + 3TC + DTG 2nd line: ABC (or AZT) + 3TC + LPV/r OR ABC (or AZT) + 3TC + EFZ OR AZT + 3TC + NVP Neonates: AZT, 3TC and RAL
95
How do you monitor response to Rx in children?
VL at 6 months, 12 months, and 12 months thereafter
96
What is Rx failure defined as in children?
Clinical: stage 3/4 disease Immune: <200 CD4 <5 yo and <100 CD4 in >5yo Viral >1000 copies/ml
97
What qualifies a patient as having Stage 1 HIV disease?
asymptomatic or have persistent generalized lymphadenopathy (lymphadenopathy of at least two sites [not including inguinal] for longer than 6 months)
98
What qualifies a patient as having Stage 2 HIV disease?
- unexplained weight loss (<10% TBW) - recurrent respiratory infections - herpes zoster flares - angular cheilitis - recurrent oral ulceration - papular pruritic eruption - seborrhoeic dermatitis - fungal nail infections
99
What conditions are stage 3 diseases?
- weight loss >10% TBW prolonged (more than 1 month) - unexplained diarrhea, -pulmonary tuberculosis, - severe systemic bacterial infections including pneumonia, pyelonephritis, empyema, pyomyositis, meningitis, bone and joint infections, and bacteremia. -Mucocutaneous conditions, including recurrent oral candidiasis, oral hairy leukoplakia, and acute necrotizing ulcerative stomatitis, gingivitis, or periodontitis, may also occur at this stage
100
What conditions are classed as stage 4 disease?
AIDS defining illnesses Pneumocystis pneumonia/ (PCP), recurrent severe or radiological bacterial pneumonia, extrapulmonary tuberculosis, HIV encephalopathy, CNS toxoplasmosis, chronic (more than 1 month) or orolabial herpes simplex infection, esophageal candidiasis, and Kaposi’s sarcoma cytomegaloviral (CMV) infections (CMV retinitis or infection of organs other than the liver, spleen or lymph nodes), extrapulmonary cryptococcosis, disseminated endemic mycoses (e.g., coccidiomycosis, penicilliosis, histoplasmosis), cryptosporidiosis, isosporiasis, disseminated non-tuberculous mycobacteria infection, tracheal, bronchial or pulmonary candida infection, visceral herpes simplex infection, acquired HIV-associated rectal fistula, cerebral or B cell non-Hodgkin lymphoma, progressive multifocal leukoencephalopathy (PML), and HIV-associated cardiomyopathy or nephropathy
101
What is the definition of viral suppression?
undetectable levels <20-50 copies/ml up to 6 months
102
Which drug causes problematic lipodystrophy?
Zidovudine
103
What is the most common type of HIV worldwide?
HIV type 1 M - MC world wide and MB in Europe and USA
104
What is the side effects of PIs?
Rash Diarrhoea L/r
105
What is the disadvantage of using NNRTIs?
EFZ - resistance, vivid dreams NVP - rash Both cause hepatotoxicity, both don’t treat HIv2 (in Africa)
106
What are the side effects of NRTIs?
All metabolic toxicity AZT - anaemia ABC - hypersensitivity reactions
107
What is the problem with Tenofivir?
Renal dysfunction 1-2% (TDF does this more than TAF)
108
What drug do you want someone if they are coinfected with HIV?
Tenofivir
109
Which drug causes weight gain?
Dolutegravir
110
What are the requirements in starting NVP?
CD4 count <400 in men CD4 count <250 in women Cannot start if CD4 counts are high! Risk of hepatotoxicity
111
What are the mandatory aspects of an initial assessment for someone with HIV?
Clinical - nutritional assessment, psych assessment, screen for stage 4 conditions specifically cryptococcal/TB Bloods - HIV viral load, CD4 count, FBC, U&Es, LFTs Start prophylaxis for HIs
112
What do you give babies first line for HIV?
Zidovudine, Lamivudine, raltegravir
113
30 yr old female, HIV diagnosed, started on AZT,3TC and NVP. Lost to follow up - 3 years later represents. Started on EFV,FTC and TDF. Viral load at 6 months 1500copies/ml. What should you do?
As per WHO Switch from the NNRTI Lots of NNRTI resistance (probably should not have been restarted on an NNRTI 2nd time round) Non-DTG regime - Start on DTG DTG regime - start on boosted PI regime
114
Specific toxicity of tenofavir? What would you do with someone on TDF?
Fanconi like syndrome - nephropathy Switch the TDF to another NRTI
115
What is HLA-B5701 test?
Test for probable hypersensitivity reaction in presence of ABC (Abacavir)
116
Which med causes increased risk of MI?
Abacavir
117
Which HIV patients should receive co-trimoxazole prophylaxis?
-CD4 cell count <350 -Stage III and IV disease should take cotrimoxazole regardless of their CD4 cell count. -Where CD4 cell counts are not available, cotrimoxazole prophylaxis should be taken by everyone with mild, advanced or severe symptoms of HIV disease (WHO stage II, III or IV disease) -Where infrastructure is even more limited, and HIV prevalence is high, WHO says countries can consider offering cotrimoxazole to everyone who tests HIV-positive. -Cotrimoxazole is recommended to HIV-positive pregnant women, regardless of the stage of pregnancy and should continue while she is breastfeeding. -Women with HIV who live in an area where there is malaria, should take cotrimoxazole - STRONG ARGUMENT FOR THIS -in developed countries, can stop co-trim if CD4 >200 but this should not be done in developing countries unless >350 for 6 months and even then can continue.
118
What is the immunological classification of staging of HIV?
HIV Associated Immunodeficiency - Mild 350-500 (stage 2) - Mod 200-350 (stage 3) - Severe <200 (stage 4) Corresponds to clinical staging
119
When do you start ART in HIV + patients?
As soon as possible however prioritise those with CD4 <350 or advanced disease (stage 3/4)
120
If starting a HIV patient on TB Rx and first line therapy what must you do?
Increase dose of DTG
121
How do you monitor response to Rx?
Routine viral load monitoring at 6 and 12 months and then every 12 months thereafter if the patient is stable on ART
122
Apart from virological failure how else can you define Rx failure?
Immunological: -Fall of CD4 count to pre-therapy baseline (or below) or 50% fall from the on-treatment peak value (if known) or Persistent CD4 levels < 100 cells/mm3 - Clinical: occurence of a stage 4 condition
123
TB and HIV confection new diagnosis. What to do in what order?
Start anti-TB meds Start ARVs thereafter - within 2 weeks (WHO) EFV or DTG regime (increase dose) Monitor for IRIS and possibly start low dose steroids to prevent!
124
Child, CD4 50, few lesions of molluscum contagiosum in the face, worsens significantly after starting therapy. Is this Rx failure?
No it is IRIS
125
2nd line Rx for HIV as per WHO guideline?
NRTI x2 plus boosted PI
126
What is a boosted PI?
a protease inhibitor taken with an additional dose of ritonavir. The ritonavir boost levels of the protease inhibitor by either increasing the initial drugs levels or reducing how quickly or reducing how quickly it is removed by your body
127
Children with HIV
2 NRTIs - ABC and Lamivudine/Emtracitabine 1 II - DTG
128
Differential diagnosis umbilicated skin lesions
Molluscum contagiosum Cryptococcus neoformans Dimorphic fungi: Histoplasmosis/Talaromycosis Syphilis