Nematodes Flashcards

(68 cards)

1
Q

What is the investigation of choice in Strongy?

A

Baermann method

How well did you know this?
1
Not at all
2
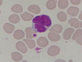
3
4
5
Perfectly
2
Q

What is this?

A

Whipworm

How well did you know this?
1
Not at all
2
3
4
5
Perfectly
3
Q

What is the other name for whipworm?

A

Trichuris Trichiuria

How well did you know this?
1
Not at all
2
3
4
5
Perfectly
4
Q

Which of the nematodes is not a geohelminth?

A

Enterobius vermicularis

How well did you know this?
1
Not at all
2
3
4
5
Perfectly
5
Q

When do you not get eosinophilia in strongy?

A

may be absent if HTLV-1, corticosteroid tx: severe disease

How well did you know this?
1
Not at all
2
3
4
5
Perfectly
6
Q

Which is the only nematode to ovivivoparous?

A

Strongyloides stercoralis
Adult gives birth to larvae and eggs

How well did you know this?
1
Not at all
2
3
4
5
Perfectly
7
Q

Do you classically get eosinophilia with pinworm?

A

No

How well did you know this?
1
Not at all
2
3
4
5
Perfectly
8
Q

How do you diagnose enterobius vermicularis?

A

Sticky spatula perianally (Scotch tape)

How well did you know this?
1
Not at all
2
3
4
5
Perfectly
9
Q

Which of the nematodes is most commonly in the colon?

A

Trichuris trichiuria
Enterobius vermicularis

Both in caecum

How well did you know this?
1
Not at all
2
3
4
5
Perfectly
10
Q

How big is a pin worm?

A

1cm

How well did you know this?
1
Not at all
2
3
4
5
Perfectly
11
Q

What is the nematode associated with this?

A

Strongyloides
Flower cell

How well did you know this?
1
Not at all
2
3
4
5
Perfectly
12
Q

Which of the nematodes has a larvae as its infective stage?

A

Hookworm
Strongy

How well did you know this?
1
Not at all
2
3
4
5
Perfectly
13
Q

What is this?

A

Ascaris lumbricoides

How well did you know this?
1
Not at all
2
3
4
5
Perfectly
14
Q

What is the most common helminth in the world?

A

Ascaris lumbricoides

How well did you know this?
1
Not at all
2
3
4
5
Perfectly
15
Q

What is this?

A

Pinworm

How well did you know this?
1
Not at all
2
3
4
5
Perfectly
16
Q

What must you always rule out before Rx with strongy?

A

Loa Loa high parasite count

How well did you know this?
1
Not at all
2
3
4
5
Perfectly
17
Q

What nematode causes bowel obstruction, biliary duct obstruction, pancreatic duct obstruction.

A

Ascaris

How well did you know this?
1
Not at all
2
3
4
5
Perfectly
18
Q

Diagnostic stage for strongy?

A

Rhabditiform larvae in stool

How well did you know this?
1
Not at all
2
3
4
5
Perfectly
19
Q

What would you see on a stool sample of enterobius vermicularis?

A

Nothing!
Need to get eggs from skin perianally
Migrate at night time and hang around at terminal ileum during day so don’t catch them on stool sample

How well did you know this?
1
Not at all
2
3
4
5
Perfectly
20
Q

What do you use to Rx nematodes generally?

A

Albendazole
Except trichurius trichura - mebendazole

How well did you know this?
1
Not at all
2
3
4
5
Perfectly
21
Q

Which of the nematodes causes iron def anaemia?

A

Hookworm

How well did you know this?
1
Not at all
2
3
4
5
Perfectly
22
Q

Which of the nematodes causes appendicitis?

A

Trichuris trichiuria

How well did you know this?
1
Not at all
2
3
4
5
Perfectly
23
Q

How do you treat strongy?

A

2 doses orally

How well did you know this?
1
Not at all
2
3
4
5
Perfectly
24
Q

Infective stage of strongyloides stercoralis?

A

L3 filariaform larvae

How well did you know this?
1
Not at all
2
3
4
5
Perfectly
25
What are the hookworm species?
Nectator americanus Ancylostoma duodenales
26
Rx of strongyloides?
Ivermectin
27
Diagnostic test for Strongy?
Baermann method: Improve sensitivity Larvae migrate to light
28
What is this?
Trichuris Tricuria
29
Which nematode has the highest worm burden?
Ascaris
30
What do you get in severe disease with strongyloides?
Severe disease: sepsis (gram-negative bacteriemia from intestinal translocation).
31
What is this?
Pinworm D shaped eggs
32
How does a human get infected with hookworm?
Both migrate through skin Ancylostoma through GI tract
33
What species is this?
Strongyloides rhabditiform Genital primordium
34
How do you ∆ hyperinfection in strongy?
L3 larva in stools
35
How do you Rx strongy in hyper infection?
Ivermectin, 200 µg/kg per day orally until stool and/or sputum exams are negative for 2 weeks
36
Clinical features of strongy?
Asymptomatic Larva currens Acute: loefflers syndrome - cough, SOB, wheeze, pulmonary interstitial infiltrates, eosinophilia Chronic: IBS, diarrhoea, weight loss
37
What is this infective stage of hookworm?
L3 filariaform larvae Migrate in skin to lungs
38
What causes loefflers syndrome?
NASA Pulmonary eosinophilia - mimics asthma/CAP Larvae migrate to lung then get swallowed and adults mature in bowel
39
Which one is hard to Rx and need to give mebendazole to?
Trichurius trichura
40
What is this?
Whipworm
41
What is this?
Ascaris lumbricoides
42
What is this?
Strongyloides L3 larvae Notched tail No genital primordial
43
What is the infective stage of trichuris trichura?
Egg (TEA = Egg)
44
What is the clinical picture of hyperinfection in strongyloides?
Intestinal: Abdo pain, dyspepsia, diarrhoea, Paralytic ileum, pseudio-obstruction, Enteritis, protein-losing enteropathy, GI bleed Lung involvement: Wheezing, Haemorrhagic pneumonitis, Resp failure Sepsis +/- meningitis: Larvae can transport gut flora into bloodstream
45
Which conditions predispose to hyper infection with strongy?
Corticoidsteroid therapy Cancer therapy HTLV-1 infection
46
What is this?
Ascaris Lumbricoides
47
Symptoms of trichurius trichura?
Diarrhoea, growth retardation, rectal prolapse
48
What causes larva currens?
Strongyloides
49
How does hyper infection occur in a patient with strongy?
Rhabditiform larvae in the intestine can become filariform larvae in the large intestine, which can then penetrate the intestinal mucosa or perianal skin, entering the circulation, and follow the normal infective cycle
50
What is this?
Pinworm
51
Periorbital oedema after eating bear, bore, or horse meat?
Trichonella spiralis
52
When should you give mass Rx for soil transmitted helminths?
once a year when the baseline prevalence of soil- transmitted helminth infections in the community is over 20% twice a year when the prevalence of soil-transmitted helminth infections in the community is over 50%.
53
Which of the nematodes cause auto infection?
Enterobius vermicularis Strongy if hyper infected
54
What is definition of loefflers syndrome?
Eosinophils accumulation in the lung as a response to a parasitic infection
55
Main symptom of pinworm?
Perianal itch Can also cause salpingo-oophritis and vulvitis
56
What is this?
Enterobius Vermicularis
57
Where do you find ascaris/hookworm?
Jejunum
58
Where do you find strongy?
duodenum/jejunum
59
Most common organism to cause loefflers syndrome?
Ascaris > hookworms > Strongyloides
60
Name the species?
Ascaris lumbricoides
61
Name the species?
Ascaris lumbricoides
62
Name the species?
Ascaris
63
Name the species?
Ascaris
64
Name the species
Enterobius Vermicularis
65
Name the species?
Hookworm
66
Name the species?
Nectator americanus
67
Differentiate these two species?
Hookworm - long pointed tail (hook) Strongy - curved blunt notched tail
68
Differentiate these species
Hookworm vs Enterobius vs Ascaris egg