Cestodes Flashcards

(139 cards)

1
Q

What causes hydatid disease?

A

Larval stage of Echinococcus Granulises

How well did you know this?
1
Not at all
2
3
4
5
Perfectly
2
Q

What is the species?

A

Echinococcus Granulises - note thick neck (differentiates it from T.Solium), double row hooks

How well did you know this?
1
Not at all
2
3
4
5
Perfectly
3
Q

What species is this?

A

Dibothriocephalus latus

How well did you know this?
1
Not at all
2
3
4
5
Perfectly
4
Q

What steroid sparing agents can be used for long course steroids in subarachnoid neurocysticercosis?

A

MTX or TNF inhibitors

How well did you know this?
1
Not at all
2
3
4
5
Perfectly
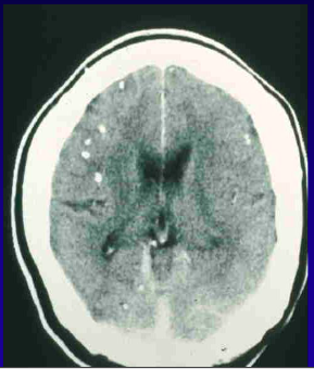
5
Q

What is this and what does it cause?

A

Calcified lesions of NCC. Taenia Solium. Can still cause seizures.

How well did you know this?
1
Not at all
2
3
4
5
Perfectly
6
Q

What causes symptoms in neurocysticercosis?

A

Parenchymal inflammation
Calcified cysticeri - causes inflammation and scarring
Ventricular cysticerci - causes hydrocephalus
Subarachnoid cysticerci - arachnoiditis

How well did you know this?
1
Not at all
2
3
4
5
Perfectly
7
Q

What is this?

A

Larval stage of T.Solium

How well did you know this?
1
Not at all
2
3
4
5
Perfectly
8
Q

Name the species and the structures

A
How well did you know this?
1
Not at all
2
3
4
5
Perfectly
9
Q

Life cycle of T.Solium?

A

Pigs ingest eggs
Oncospheres hatch and penetrate intestine -> muscle
Cystercirci develop

How well did you know this?
1
Not at all
2
3
4
5
Perfectly
10
Q

What species is this?

A

Dibothricephalus latus adult

How well did you know this?
1
Not at all
2
3
4
5
Perfectly
11
Q

What is the Rx for Taeniasis (either species)?

A

Praziquantel

How well did you know this?
1
Not at all
2
3
4
5
Perfectly
12
Q

Name the species

A

H.Diminunata - thick head, no hooks

How well did you know this?
1
Not at all
2
3
4
5
Perfectly
13
Q

What is this?

A

Echinococcus Granulosus sensu lato

Hooks - double crown of hooks- and 4 suckers
Only 3-4 proglottids

How well did you know this?
1
Not at all
2
3
4
5
Perfectly
14
Q

What species is this?

A

Dibothricephalus latus adult

How well did you know this?
1
Not at all
2
3
4
5
Perfectly
15
Q

What species is this?

A

Taenia species (cannot tell them apart)

How well did you know this?
1
Not at all
2
3
4
5
Perfectly
16
Q

What are the names of the stages of dibothrocephalus latus species?

A

coracidium (larval stage 1) -> procercoid (larval stage 2) -> plerocercoid (advanced larval stage)

How well did you know this?
1
Not at all
2
3
4
5
Perfectly
17
Q

What are the treatment options for hydatid disease in liver?

A

CE1 - simple cyst. <5cm albendazole, 5-10cm PAIR and ABZ, >10cm surgery
CE2 - MOCAT or Surgery +/- albendazole
CE3a - <5cm albendazole, 5-10cm PAIR, >10cm surgery
CE3b - MOCAT or Surgery +/- albendazole
CE4 and CE5 - dead cysts, watch and wait

How well did you know this?
1
Not at all
2
3
4
5
Perfectly
18
Q

Rx of subarachnoid neurocysticercosis?

A

LONG course of anti parasitic drugs (ABZ or both, data emerging on combo therapy)
Steroids key, or alternative
If compression of ventricle - shunt/surgery
Can cause strokes

How well did you know this?
1
Not at all
2
3
4
5
Perfectly
19
Q

How do humans become infected with taenia solium/taenia saginata?

A

Eating uncooked pigs/beef, ingest oncospheres from tissue (larval form)

How well did you know this?
1
Not at all
2
3
4
5
Perfectly
20
Q

What are the hosts in hymenolepis nana?

A

Intermediate: insects
Humans/rodents ingest arthropods containing cystercircoid - embryonated eggs (infective stage)
Definitive: Humans, rodents

How well did you know this?
1
Not at all
2
3
4
5
Perfectly
21
Q

How does echinococcosis present?

A

asymptomatic for years before the cysts grow large enough to cause symptoms in the affected organs.

  • Lung - pressure effect
  • Liver - pressure effect
  • Rupture of cyst: fever, urticaria, eosinophilia, and potentially anaphylactic shock

RARELY
spleen, kidneys, heart, bone, and central nervous system, including the brain and eyes

How well did you know this?
1
Not at all
2
3
4
5
Perfectly
22
Q

What species is this?

A

Taenia Saginata (>12 uterine branches)

How well did you know this?
1
Not at all
2
3
4
5
Perfectly
23
Q

What are the intermediate and definitive hosts of dibothricephalus latus?

A

Intermediate: 1. Crustaceans 2.Fish
Definitive: Mammals (including humans)

How well did you know this?
1
Not at all
2
3
4
5
Perfectly
24
Q

NCC you think that all the cysts intraparenchymally are calcified, what to do?

A

Do MRI to ensure all cysts are calcified to guide further management

How well did you know this?
1
Not at all
2
3
4
5
Perfectly
25
What species is this?
Taenia species (striated outer layer and embryo has hooks)
26
Which is the only tapeworm not to have 4 suckers?
Dibothriocephalus latus
27
Treatment of choice for H.Diminuta?
Praziquantel
28
What species is this?
Dibothriocephalus latus
29
What is this?
H.Diminuta
30
How do you manage calcified lesions in NCC?
AEDs
31
Subarachnoid cysts in base of the brain ∆ of NCC. What key clinical concern?
Cause vasculitis of blood vessels - therefore cause stroke. Can also grow very big, cause mass effect, may cause compression on ventricles causing hydrocephalus. Rx with ABZ (maybe with PZQ - studies are being done- and long course)
32
Other symptoms of NC apart from seizures?
Headaches, blurred vision
33
Name the species
H.Nana head - single row hooks, low rostellum
34
What is cysticercosis?
Disseminated larval stage of taenia solium from ingestion of eggs
35
Which cestode does not have 4 suckers?
Dibothriocephalus latus
36
Neuroimaging criteria for neurocysticercosis
Major: Cystic, enhancing, or calcified lesions suggestive of NCC Minor: Obstructive hydrocephalus, Meningeal enhancement Confirmatory: resolution
37
What does cysts in the subarachnoid space of the spine cause?
Radiculitis, paraparesis
38
What is the intermediate host for Echinococcus granulises?
Intermediate: sheep Definitive: Dog Accidental: humans
39
Definitive treatment of the T.Solium parasite?
PZQ plus ABZ (if >1 lesion) PLUS STEROIDS (death of parasite causes increased inflammation and seizures)
40
How do humans contract T.Solium?
Ingestion of T.Solium eggs (Causes cysticercosis) Ingestion of larvae would cause Taeniasis (the tapeworm)
41
Which cestodes are intestinal? Which are tissue?
All intestinal except echinococcus (tissue) and T.Solium which is tissue and intestinal
42
What is this?
H.Nana (polar filaments, granular space between shells)
43
What is the dwarf tapeworm?
Hymenolepis species
44
Name the species
Echinococcus
45
Which of the cestodes are tissue cestodes?
T.Solium (tissue and intestinal) Echinococcus (tissue)
46
What investigations can you do for echinococcus?
Imaging: CXR/CT/US Serology – Western Blot
47
Name the species
Cysticercis (larva), Taenia solium
48
What does a single enhancing lesion of neurocysticercosis usually cause?
Benign prognosis
49
What are the main cestodes causing human disease?
Tapeworms
50
Small CE2 small cyst, an option instead of PAIR?
MOCAT - modified catheterisation technique if small Same for CE3b PAIR contraindicated for these, and medical therapy doesn't work
51
Why does hymenolepis not cause human disease?
Larval stage instantly becomes scolex (hence why doesn’t cause human disease)
52
Treatment of choice for hymenolepis nana?
Praziquantel
53
What is the intermediate host for hymenolepis nana and diminuta?
Arthropods - fleas, beetles
54
How Is hymenolepis diminuta transmitted?
Cystercirci of hymenolepis diminuta ingested from arthropod
55
Name the species
Taenia Saginata adult
56
>100 cysts in neurocysticercosis?
Consensus management - no agreement but probably steroids and antiparasitics
57
Key principle of treating neurocysticercosis?
Manage the symptoms/effect of the disease is key Antiepileptics Hydrocephalus shunting
58
What is the name for the rat tapeworm?
Hymenolepis Diminuta
59
Which stage of the life cycle must humans ingest to get echinococcosis?
ingesting eggs
60
Criteria for diagnosis of neurocysticercosis?
Complex! One absolute
61
What is the Rx of echinococcus?
CE1 and CE3a - <5cm Albendazole, 5-10cm PAIR, >10cm Surgery (albendazole after) CE2 and CE3b <5cm albendazole, >5cm surgery (albendazole after) CE4 and CE5 - watch and wait
62
Characteristic features of dibothriocephalus latus?
Fish tapeworm Proglottids are wide, long tapeworm B12 deficiency key presenting feature
63
Multiple intraperitoneal cysts of hydatid disease. Rx?
Surgery to remove as many cysts as possible and then albendazole
64
Treatment of neurocysticercosis?
Anti epileptics Steroids Praziquantel and albendazole (if <3 lesion, just ABZ ok if 1-2 lesion)
65
Name the species
Hymenolepis diminunata
66
Prevention of neurocysticercosis?
Mass chemotherapy of humans and pigs
67
Single lesion parasite Rx?
Albendazole only (do not need combination therapy)
68
Treatment of dibothriocephalus latus?
Single dose praziquantel
69
Name the species
Proglottid, adult taenia solium (<12 uterine branches)
70
Which of the tapeworms can cause auto infection?
Hymenolepis nana
71
NCC causing aggressive encephalitis. Mx?
Symptomatic - AEDS Steroids and mannitol When inflammation resolved, can decide re: antiparasitics.
72
How does hymenolepsis present?
*Headache, weakness, dizziness, weight loss * Epigastric or diffuse abdominal pain, nausea, loose bowel movements or diarrhoea * Anal pruritus, urticaria * Sleep and behavioural disturbances
73
How do you know when to stop antiparasitics in subarachnoid NCC?
CSF antigen test and WCC
74
Which of the cestodes does not have a genital pore laterally?
Diphyllobothriasis
75
Treatment of T.Saginata?
Single dose praziquantel
76
Species in Asia similar to Taenia saginata?
T.Asiatica (pigs are host though)
77
Diagnosis of neurocysticercosis made how?
Neuroimaging Hisotpathology (definitive) Serology
78
Classic clinical hx of neurocysticercosis?
Young person aged 10-40 Seizures new onset Single enhancing lesion on CT head - in India and US Multiple lesions in Latin America
79
What is the definition of incidental host, intermediate host, definitive host, accidental host, paratenic host?
- Intermediate host: the parasite reproduces asexually and harbours the larval stage - Incidental host: A host that becomes infected, but is not required for the maintenance of the population of a pathogen - Paratenic host:? - dead end host: parasite lives but cannot continue its life cycle - Definitive: the parasite reproduces sexually or harbours the adult stage
80
What is the orgnaism and diagnosis?
Neurocysticercosis T.Solium
81
What species is this?
Taenia Solium (<12 uterine branches)
82
Name the species
Echinococcus granulises - similar to taenia but no hooked embryo
83
How can you diagnose tapeworms?
Eggs in faeces Adult in intestine Larvae in tissue causing disease (depending on type)
84
Difference between CE2 and CE3b?
CE2 more complex septated cysts but no solid component CE3b - solid component with multiple daughter cysts
85
What is this?
H.Nana Hooks and thick neck Single row hooks
86
symptoms of Dibothriocephalus latus?
IBS like syndrome Abdominal pain, colicky, loose stools
87
Contraindication for anti parasitic meds in neurocysticercosis?
Raised ICP (inflammation following death of parasite will raise ICP further)
88
What is a paratenic host?
A host not needed in the life cycle, but act as reservoirs in which different larval stages of the parasite can persist but not develop further
89
Which species of Echinococcus is found in Northern hemisphere more?
E. multilocularis central and northern Europe, Central Asia, northern Russia, northern Japan, north-central United States, northwestern Alaska, and northwestern Canada.
90
Name the species
Echinococcus Granulises
91
Which species is this?
dibothriocephalus latus
92
How do you diagnose dibothriocephalus latus?
Ova or tapeworm segments in stool
93
What is the Rx of choice for ocular neurocysticercosis?
Surgical removal - Rx will cause inflammation (which causes blindness)
94
How do you contract Taenia saginata?
Ingestion of uncooked beef
95
Treatment of single enhancing lesion in neurocysticercosis?
Single therapy with albendazole Steroids and Prazi
96
Which hydatid cysts can be rx with PAIR?
Liver cysts only
97
What must you do during PAIR for hydatid disease?
Test for bilirubin (before inject the alcohol) as would cause biliary sclerosis
98
What should you test for before starting Rx for neurocysticercosis?
Screen for TB and strongyloides
99
Name the species
Hymenolepis Nana
100
What is the organism for fish tapeworm?
dibothriocephalus latus
101
What is water Lilly sign? How would you manage?
Echinococcus - hydatid disease Specifically in keeping with ruptured cyst ABZ and PZQ May also need surgery
102
What should you do if a hydatid cyst ruptures?
Give ABZ and PZQ (prevent seeding) for a few months
103
Which group of patients usually present with lung hydatid disease?
Paediatric population
104
Splenic cyst of hydatid disease?
Surgical removal unless very small, and consider medical Rx or PAIR
105
What is this?
Echinococcus Granulosus sensu lato
106
What is the pork tapeworm?
Taenia solium
107
What is the infective stage of Taenia solium?
Cysticercis - ingestion of larva from autoinfection
108
Which species of adult tapeworm is this?
Taenia Solium 2 rows of hooks
109
Name the species
Taenia solium - 2 rows of hooks on rostellum. 4 suckers
110
Diagnostic stage of taenia solium?
Proglottids and eggs in faeces
111
How do humans get infected with hymenolepis nana?
Ingest the cysticercoid infected arthropods or eggs (either)
112
What causes of neurocysticercosis?
Larval stage of T.Solium Host response - parenchymal inflammation
113
What are the absolute criteria for neurocysticercosis
Biopsy of brain or spinal cord histology confirmation Subretinal cysticercus Scolex with cystic lesion on neuroimaging If non of this need neuroimaging criteria
114
What is a cestode/nematode/trematode?
Tapeworm/round worm/fluke
115
What is this?
H.Diminuta
116
Which species of adult tapeworm is this?
Taenia Saginata No hooks Thin neck
117
Hydatid cysts in spine, brain and heart, abdominal cavity, bronchi, urinary tract?
Surgery
118
Name some anatomical features of cestodes?
No GI tract, flat in shape, proglottids and scolex.
119
What is this?
H.Diminuta
120
Management of intraventricular neurocysticercosis?
Endoscopic removal used for cysticerci in the 3rd and lateral ventricles
121
What is the beef tapeworm?
Taenia saginata
122
Name the species.
Taenia Saginata
123
WHO Grading of Echinococcus?
Water lily sign - CE3a
124
Neurocysticercosis with ring enhancement around cysts but not calcification, how would you manage?
Steroids and ABZ/PQL - even though the ring enhancement means that immune system -> inflammation and likely to calcify, this process is faster with antiparasitics
125
Exposure and clinical criteria for neurocysticercosis
Specific antibody or antigen-detected Cysticercosis outside of the CNS (biopsy, calcified lesions on xray) Household contact with T solium infection Seizures or obstructive hydrocephalus Prior residence in an endemic village
126
What do you need to do on long term albendazole?
Monitor transaminases and WCC
127
What is this and what does it cause?
Calcified lesions of neurocysticercosis Chronic epilepsy
128
Hydatid cyst with detached membranes in lung. How would you manage?
Remove it surgically as risk of infection very high
129
What is the definitive hosts for dibotriocephalus latus?
Humans Fish eating mammals Birds Fish - paratenic host
130
Subarachnoid neurocysticercosis causes?
Meningits, stroke
131
How do you know when to stop Rx for NCC in subarachnoid space which needs long term Rx?
Antigen testing and PCR
132
What is the species for the dwarf tape worm?
Hymenolepis Nana
133
What species is this?
Dibothriocephalus latus
134
New onset seizures in the tropics?
Neurocysticercosis (30% due to this!!!)
135
What is the transmission of dibothriocephalus latus?
Fish tapeworm Ingestion of uncooked fish
136
What is the definitive/intermediate host of echinococcus? What is the organism?
echinococcus granulosus Intermediate: sheep Definitive: Dog
137
Most common human Cestode?
H.Nana
138
Which of the cestodes cause auto infection?
H.Nana T.Solium
139
Tribolium fly - intermediate host for?
H.Diminuta