BB EOYS3 Flashcards

(67 cards)

1
Q

If in A&E and a TIA occurs, which antiplatelet would you prescribe? [1]

A

Clopidogrel

How well did you know this?
1
Not at all
2
3
4
5
Perfectly
2
Q

Which sensory receptor is most sensitive to angular acceleration?

A. Crista
B. Utricle

C. Saccule

D. Organ of Corti

A

Which sensory receptor is most sensitive to angular acceleration?

A. Crista
B. Utricle

C. Saccule

D. Organ of Corti

How well did you know this?
1
Not at all
2
3
4
5
Perfectly
3
Q

Linear acceleration is transduced in the:

A. Cupula

B. Cristae

C. Maculae

D. Organ of Corti

E. Scarpa’s ganglion

A

Linear acceleration is transduced in the:

A. Cupula

B. Cristae

C. Maculae: the maculae are more sensitive to linear, not angular acceleration

D. Organ of Corti

E. Scarpa’s ganglion

How well did you know this?
1
Not at all
2
3
4
5
Perfectly
4
Q

The diagnosis “Definite Alzheimer’s Disease” is established by:

A. autopsy of the patient’s brain
B. behavioral analysis
C. PET analysis
D. CAT analysis
E. MRI analysis

A

The diagnosis “Definite Alzheimer’s Disease” is established by:

A. autopsy of the patient’s brain
B. behavioral analysis
C. PET analysis
D. CAT analysis
E. MRI analysis

How well did you know this?
1
Not at all
2
3
4
5
Perfectly
5
Q

Which of the following is not a visible boundary of the hypothalamus in a hemisected brain?

A. The median eminence

B. The mammillary body
C. The optic chiasm
D. The internal capsule
E. The anterior commisure

A

Which of the following is not a visible boundary of the hypothalamus in a hemisected brain?

A. The median eminence

B. The mammillary body
C. The optic chiasm
D. The internal capsule
E. The anterior commisure

How well did you know this?
1
Not at all
2
3
4
5
Perfectly
6
Q

The hypothalamic sulcus is the rostral continuation of what anatomical feature of he brainstem?

A. The tuberculum cinereum

B. The stria medullaris
C. The sulcus limitans
D. The lateral sulcus
E. The dorsal paramedian sulcus

A

Which of the following hypothalamic nuclei is most important for encoding the set point for daily circadian rhythms?

A. supraoptic nucleus

B. arcuate nucleus
C. suprachiasmatic nucleus
D. preoptic anterior nucleus
E. paraventricular nucleus

How well did you know this?
1
Not at all
2
3
4
5
Perfectly
7
Q

Inhibition of ACTH secretion by cortisol is an example of what type of neuroendocrine feedback loop?

A. ultra-short loop feedback

B. short-loop feedback
C. indirect long-loop feedback
D. direct long-loop feedback
E. indirect ultra-long loop feedback

A

Inhibition of ACTH secretion by cortisol is an example of what type of neuroendocrine feedback loop?

A. ultra-short loop feedback

B. short-loop feedback
C. indirect long-loop feedback
D. direct long-loop feedback
E. indirect ultra-long loop feedback

How well did you know this?
1
Not at all
2
3
4
5
Perfectly
8
Q

Leptin receptors are most abundant in which of the following hypothalamic nuclei?

A. paraventricular

B. periventricular
C. preoptic/anterior
D. ventromedial
E. arcuate

A

Leptin receptors are most abundant in which of the following hypothalamic nuclei?

A. paraventricular

B. periventricular
C. preoptic/anterior
D. ventromedial
E. arcuate

How well did you know this?
1
Not at all
2
3
4
5
Perfectly
9
Q

The postcommissural fornix projects to which structure?

A. Substantia innominata.

B. Mammillary bodies
C. Ventromedial nuclei of the hypothalamus
D. Nucleus basalis of Meynert
E. Anterior cingulate cortex.

A

The postcommissural fornix projects to which structure?

A. Substantia innominata.

B. Mammillary bodies
C. Ventromedial nuclei of the hypothalamus
D. Nucleus basalis of Meynert
E. Anterior cingulate cortex.

How well did you know this?
1
Not at all
2
3
4
5
Perfectly
10
Q

Which structure is NOT part of the Papez circuit?

A. Anterior nucleus of the thalamus
B. Ventral nucleus of the thalamus
C. Cingulate gyrus
D. Hippocampus
E. Mammillary bodies

A

Which structure is NOT part of the Papez circuit?

A. Anterior nucleus of the thalamus

B. Ventral nucleus of the thalamus
C. Cingulate gyrus
D. Hippocampus
E. Mammillary bodies

How well did you know this?
1
Not at all
2
3
4
5
Perfectly
11
Q

A 50-year old patient with recent damage to the hippocampus from a stroke would likely have all of the following deficits EXCEPT:

A. Difficulty learning new facts

B. Difficulty describing a recent event

C. Difficulty learning a new vocabulary word

D. Difficulty recalling a childhood memory

E. Difficulty remembering a face

A

A 50-year old patient with recent damage to the hippocampus from a stroke would likely have all of the following deficits EXCEPT:

A. Difficulty learning new facts

B. Difficulty describing a recent event

C. Difficulty learning a new vocabulary word

D. Difficulty recalling a childhood memory

The hippocampus is involved in the formation of new memories, but not in the storage of old memories after they have been consolidated.

E. Difficulty remembering a face

How well did you know this?
1
Not at all
2
3
4
5
Perfectly
12
Q

Short term memories can involve all of the following processes EXCEPT:

A. Regulation of gene expression

B. Activation of second-messenger systems

C. Modulation of membrane channels

D. Modulation of transmitter release

A

Short term memories can involve all of the following processes EXCEPT:

A. Regulation of gene expression

Regulation of gene expression is associated with long-term memories and not short-term memories.

How well did you know this?
1
Not at all
2
3
4
5
Perfectly
13
Q

Classical conditioning is an example of:

A. Semantic memory

B. Episodic memory

C. Implicit memory
D. Declarative memory

E. Nonassociative memory

A

Classical conditioning is an example of:

A. Semantic memory

B. Episodic memory

C. Implicit memory
D. Declarative memory

E. Nonassociative memory

How well did you know this?
1
Not at all
2
3
4
5
Perfectly
14
Q

Ampulla
Hair cells
Endolymph
Crista
Cupulla

A

Ampulla
Hair cells
Endolymph
Crista
Cupulla

How well did you know this?
1
Not at all
2
3
4
5
Perfectly
15
Q

Vestiublar system anatomy:

The vestibular system is connected with the spinal cord via which tracts? [2]

The vestibular system is connected with the cerebellum via the which lobe [1] and which nucleus [1]?

The vestibular system is connected to which CNs? [3]

A

The vestibular system is connected with the spinal cord via which medial and lateral vestibulospinal tracts

The vestibular system is connected with the cerebellum via the floccculonodular lobe and fastigial nucleus

The vestibular system is connected to CN III, IV & VI

How well did you know this?
1
Not at all
2
3
4
5
Perfectly
16
Q

What is the difference in ion concentration between endolymph and perilymph? [2]

A

Perilymph: has similar concentrations of ions to plasma; high sodium and low potassium

Endolymph: extremely low sodium and high potassium

How well did you know this?
1
Not at all
2
3
4
5
Perfectly
17
Q

Describe how the VOR works

A

Automatically sensing head rotations and elicits a compensatory adjustment in the opposite direction of the eyes

Causes innervation on the medial-lateral rectus muscles (adduction / abduction), the inferior rectus-superior oblique pair (depression and extorsion, elevation and intorsion) and the superior rectus-inferior oblique pair (elevation and intorsion, depression and extorsion via the ascending medial longitudinal fasciulus

How well did you know this?
1
Not at all
2
3
4
5
Perfectly
18
Q

Central pathways of the vestibular system

Where do the superior and medial vesibitular subnuclei recieve input from? [1]

Where do the lateral, inferior and medial vesibitular subnuclei receive inputs from? [1]

A

superior and medial: semi-circular canals

lateral, inferior and medial: saccule and utricle (together aka maculae)

How well did you know this?
1
Not at all
2
3
4
5
Perfectly
19
Q

Where does input from the: semi-circular canals to the superior and medial vestibular subnuclei project to? [4]

Where does input from the: saccule and utricle to the lateral, inferior and medial vesibitular subnucleii project to? [3]

A

Semi-circular goes to ocular nuclei and reticular formation, gaze centres and tectal nuclei

(double check which pathways these are sent via)

Saccule and utricle goes to spinal motor nuclei via the lateral and medial VSTs, which are involved in postural balance

How well did you know this?
1
Not at all
2
3
4
5
Perfectly
20
Q

The superior and lateral vestibular nuclei also interact with which structure in the brain [] ?

A

The superior and lateral vestibular nuclei also interact with the flocculo-nodular lobe of the cerebellum

How well did you know this?
1
Not at all
2
3
4
5
Perfectly
21
Q

Describe the neuronal connections that determine our conscious appreciation of equilibrium and head position.

A

Second order vestibular neurones project to the contralateral ventral posterior nucleus of the thalamus, and from there the somatosensory cortex and posterior parietal cortex.

How well did you know this?
1
Not at all
2
3
4
5
Perfectly
22
Q

What is the name given to the region of the cortex where there is convergence of the vestibular and proprioceptive signals?

What is important to rememver about this?

A

Parietal insular vestibular cortex

Remember that this is responsible for the contralateral side of the body/limb.

How well did you know this?
1
Not at all
2
3
4
5
Perfectly
23
Q

Describe the features of benign paroxysmal positional vertigo (BPPV) [1]

Describe the physiopathlogy behind BPPV? [1]

A

A brief, 60 second, intense sensation of vertigo that occurs because of a specific positional change of the head

Dislodged otolith from the utricle, which then gets stuck in the ampulla, making it sensitive to gravity.

In certain positions, the otolith can stimulate the cupula, causing abnormal sensations. These persist until the crystals relocate elsewhere or disperse

How well did you know this?
1
Not at all
2
3
4
5
Perfectly
24
Q

Describe the symptoms of Menieres disease [3]

Describe the pathophysiology of Menieres disease

A

Inner ear fluid balance disorder that causes episodes of vertigo, fluctuating hearing loss, tinnitus and the sensation of fullness in the ear

Caused by an imbalance between the production and reabsorption of endolymph, which eventually ruptures the membranes, causing changes in ion concentration of the solute, leading to depolarisation of the endolymph fluid, ultimately killing the hair cells.

How well did you know this?
1
Not at all
2
3
4
5
Perfectly
25
An infection to which structure causes a labyrinthitis? [1] Name two symptoms [2]
* Labyrinthitis is an infection or inflammation of the **semi-circular canals** causing **dizziness and loss of balance**
26
What is the name for this test of vestibular function / dysfunction? [1]
Hallpike’s Manoeuvre:
27
How do you perform Hallpikes manouevre? [1]
With the patient lying in supine position, the head is lowered quickly below the horizontal plane of the table and **turned to one side.** The patient then sits up and the test is repeated, turning the **head to the other side**. If there is vestibular dysfunction, the patient will **develop nystagmus** and complain of vertigo within 10 seconds of head movement
28
Name 3 nociceptive channels and what they are activated by [6]
**Acid-sensing ion channel (ASIC)** channel: * cation channel activated by **pH changes** and other stimuli - important in **inflammatory** response **(TRPM8)channel (cold and menthol receptor 1):** * ion channel activated by cold temperature and cooling agents (**menthol**). **Transient receptor potential cation channel subfamily V member 1 (TRPV1) channel (capsaicin receptor/vanilloid receptors 1):** * Non-selective cation channel that is activated by **temperature, acid, capsaicin, and mustard/wasabi**.
29
Name a disease if NaV1.7 is overexpressed / gain of function occurs [1]
**Inherited erythromelalgia (IE):** A painful neuropathy involving severe chronic burning pain sensations in hands and feet.
30
# Neuropathy pain (loss of sensory fibres) Name a disease that is caused by insensitivty to pain from a deficit in nerve growth factor [1] Which gene mutates to create this disease? [1]
**Congenital insensitivity to pain with anhidrosis (CIPA)** * **TRKA gene** codes for **TrKA receptor** to create **nerve growth factor (NGF)** * NGF is crucial for development of **Adelta and C-fibres**
31
# Transmission Describe the Aδ nociceptor pathway onto the dorsal horn [2]
Aδ nociceptor axon projects on to **Lamina I** via **excitatory glutamate synapse** on to either **NMDA or AMPA receptors**
32
# Transmission Describe the C-fibre nociceptor pathway [2]
C fibres activate lamina I cells via **gluatmata onto excitatory interneurons in lamina II**, which then excites **lamina I dendrite with glutamate**
33
# Management of ICH What would need to check what medicaton a patient is on and why? [2]
Confirm if on aspirin and warfarin & stop. Warfarin worsens the severity of hemorrhage and dramatically increases the risk of mortality from ICH.
34
# Ischaemic stroke pathophysiolgoy Describe the ischaemic stroke cascade at microscopic level [4]
Cellular ischaemia: - Na / K+ pump failure - Causes depolarisation - Causes Ca2+ food in - Cascade of enzymes that respond to ischaemia (like caspases) - Causes cell death
35
Which cause of ischaemic stroke increases in younger patients? [1]
Carotid dissections
36
TIA treatment?
37
GABA & Galanin neurons project from which nucleus? Paraventricular nucleus Suprachiasmatic nucleus Arcuate nucleus Pre-optic nucleus Supraoptic nucleus
GABA & Galanin neurons project from which nucleus? Paraventricular nucleus Suprachiasmatic nucleus Arcuate nucleus **Pre-optic nucleus** (sleep promoting (I think)) Supraoptic nucleus
38
A deficiency in which of the following causes narcolepsy? Dopamine Noradrenaline Orexins Melatonin Histamines
A deficiency in which of the following causes narcolepsy? Dopamine Noradrenaline **Orexins** Melatonin Histamines
39
Which of the following genes involved in SCH is responsible for neurodevelopment and also signalling in corticolimbic areas Dysbindin DISC1 COMT BDNF Neuregulin 1
Which of the following genes involved in SCH is responsible for neurodevelopment and also signalling in corticolimbic areas Dysbindin **DISC1** COMT BDNF Neuregulin 1
40
Which of the following genes involved in SCH causes synaptic plasticity and myelination Dysbindin DISC1 COMT BDNF Neuregulin 1
Which of the following genes involved in SCH causes synaptic plasticity and myelination Dysbindin DISC1 COMT BDNF **Neuregulin 1**
41
Which of the following genes involved in SCH may affect dopamine D2 receptor levels and glutamate and GABA transmission Dysbindin DISC1 COMT BDNF Neuregulin 1
Which of the following genes involved in SCH may affect dopamine D2 receptor levels and glutamate and GABA transmission **Dysbindin** DISC1 COMT BDNF Neuregulin 1
42
Label A & B [1] Which one is hyperactive in SCH? [1] Which one is hypoactive in SCH? [1]
A: mesolimbic system - **hyperactive** B: mesocortical system: **hypoactive**
43
Prolonged used of typical anti-psychotics may leda to which syndrome? [1]
**neuroleptic malignant syndrome**
44
Alchohol / ethanol decreases the effect of which channel to cause psychodepression? Na+ K+ Cl- Ca2+ H+
Alchohol / ethanol decreases the effect of which channel to cause psychodepression? Na+ K+ Cl- **Ca2+** H+ DOES NOT act on a single specific receptor protein.
45
Which specific receptors do atypical anti-pyschotics target? 5-HT1A Na 5-HT2A D1
Which specific receptors do atypical anti-pyschotics target? 5-HT1A Na **5-HT2A** strong antagonists; weak D2 receptors D1
46
Which of the following anti-pyschotics is particularly useful for negative symptoms? Risperidone Quetiapine Aripiprazole Clozapine Olanzapine
Which of the following anti-pyschotics is particularly useful for negative symptoms? Risperidone Quetiapine Aripiprazole Clozapine **Olanzapine**
47
State two key AEs of using typical anti-pyschotics? [2] (that are non-pyramidal)
**weight gain** rise in **prolactin**: sexual dysfunction, galactorrhoea, amenorrhea
48
What is the relationship of the hippocampus to this region of the lateral ventricle? A. Its in the floor of the ventricle. B. Its in the roof of the ventricle. C. It is rostral to the ventricle. D. It has no relationship to the ventricle.
What is the relationship of the hippocampus to this region of the lateral ventricle? A. Its in the floor of the ventricle. **B. Its in the roof of the ventricle.** C. It is rostral to the ventricle. D. It has no relationship to the ventricle.
49
Which of the following are specific sensory relay nuclei to primary somatosensory cortex (postcentral gyrus)? A. Dorsomedial nucleus. B. Intralaminar nuclei. C. Ventral posterior medial and lateral thalamic nuclei. D. Anterior thalamic nuclei. E. Ventral anterior and ventral lateral nuclei.
Which of the following are specific sensory relay nuclei to primary somatosensory cortex (postcentral gyrus)? A. Dorsomedial nucleus. B. Intralaminar nuclei. **C. Ventral posterior medial and lateral thalamic nuclei.** D. Anterior thalamic nuclei. E. Ventral anterior and ventral lateral nuclei.
50
What is the major thalamic source of afferents to this gyrus? A. Dorsomedial nucleus. B. Intralaminar nuclei. C. Ventral posterior medial and lateral thalamic nuclei. D. Anterior thalamic nuclei. E. Ventral anterior and ventral lateral nuclei.
What is the major thalamic source of afferents to this gyrus? A. Dorsomedial nucleus. B. Intralaminar nuclei. C. Ventral posterior medial and lateral thalamic nuclei. **D. Anterior thalamic nuclei.** The anterior nuclei project to the cingulate gyrus. The cingulate gyrus projects to all areas of cortex and vice versa.
51
Axons of hippocampal pyramidal cells travel in the A. Ventral (amygdalofugal) pathway. B. Stria terminalis. C. Fornix. D. Cingulum.
Axons of hippocampal pyramidal cells travel in the A. Ventral (amygdalofugal) pathway. B. Stria terminalis. **C. Fornix.** Correct! Hippocampal pyramidal cells send most of their axons through the fornix.
52
Hemiballismus on the left side is usually due to a vascular accident affecting the: A. Left subthalamic nucleus. B. Right subthalamic nucleus. C. Right striatum. D. Left striatum.
Hemiballismus on the left side is usually due to a vascular accident affecting the: A. Left subthalamic nucleus. **B. Right subthalamic nucleus.** C. Right striatum. D. Left striatum.
53
At which level do the primary vestibular axons enter the brain stem? A. The caudal medulla. B. The pontomedullary junction. C. The mid-pons. D. Near the mammillary bodies in the interpeduncular fossa.
**B. The pontomedullary junction.** CN VI, VII, and VIII enter/exit the brain stem at the junction of the medulla and pons.
54
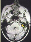
The vestibular system can be stimulated or irritated by an infection of the inner ear or by a tumor (arrow) pressing on the vestibulocochlear nerve. Which of the following would NOT occur? A. Decreased auditory acuity. B. Vertigo. C. Tinnitis. D. Loss of facial sensation. E. Nausea.
**D. Loss of facial sensation.** Facial sensation, mediated by CN V would not be affected by a tumor compressing CN VIII, unless the tumor is large enough to press on CN V or affect the descending nucleus and tract of V in the medulla.
55
This structure: A. Signals angular acceleration. B. Is important for conjugate eye movements. C. Signals orientation with respect to gravity. D. Is bathed with perilymph.
**C. Signals orientation with respect to gravity.** The macula with its otoliths in a gelitinous membrane signals gravity and acceleration changes by deforming the kinocilia.
56
Ataxia is defined as: A. Inability to perform rapidly alternating movements. B. Error in the range of movement. C. Lack of continuity in the execution of movements. D. Error in the rate, force, and direction of movement. E. Muscle weakness.
Ataxia is defined as: A. Inability to perform rapidly alternating movements. B. Error in the range of movement. C. Lack of continuity in the execution of movements. **D. Error in the rate, force, and direction of movement.** E. Muscle weakness.
57
What course do the axons follow in reaching these nuclei in the pons? A. Cortex-->internal capsule-->cerebral peduncle. B. Cortex-->internal capsule-->red nucleus. C. Cortex-->thalamus-->cerebellar peduncle. D. Thalamus-->internal capsule-->cerebellar peduncle.
What course do the axons follow in reaching these nuclei in the pons? **A. Cortex-->internal capsule-->cerebral peduncle.** B. Cortex-->internal capsule-->red nucleus. C. Cortex-->thalamus-->cerebellar peduncle. D. Thalamus-->internal capsule-->cerebellar peduncle.
58
The main role of the septal nucleus is.. Memory acquisition and recall, formation of long-term memory Emotional content of stimuli: fear, anxiety and danger Pleasure and reward Affective significance
The main role of the septal nucleus is.. Memory acquisition and recall, formation of long-term memory Emotional content of stimuli: fear, anxiety and danger **Pleasure and reward** Affective significance
59
The cingulate gyrus recieves input from which tract? [1] Anterior spinothalamic Lateral spinothalamic Reticulospinal Rubrospinal
The cingulate gyrus recieves input from which tract? [1] Anterior spinothalamic **Lateral spinothalamic** Reticulospinal Rubrospinal
60
Label A-D of the internal circuit of hippocampal formation
A: **entorhinal cortex** B: **dentate gyrus** C: **CA3** D: **CA1**
61
Which of the following is the entorhinal cortex? A B C D E
Which of the following is the entorhinal cortex? **A** B C D E
62
Which of the following is involved in the limbic system? A B C D E
Which of the following is involved in the limbic system? A B **C** D E
63
What is this area involved with regarding memory? [1]
**Parahippocampal gyrus**: It is primarily involved in the **acquisition of new memories**
64
The fornix axons end in the [] and the [] of the hypothalamus
The fornix axons end in the **septal nuclei** and the **mammillary body** of the hypothalamus
65
Describe the route for information of Papezs circuit
1. Information goes from the cingulate cortex to the parahippocampal gyrus 2. Information goes from the parahippocampal cortex to the hippocampus 3. Information from the hippocampus goes along the fornix to the mamillary bodies of the hypothalamus 4. Information goes from the hypothalamus to the anterior thalamus 5. Information goes from the anterior thalamus back to the cingulate cortex
66
Label A&B [2]
A: septal nucleus B: nucleus accumbens
67
State the role of the nucleus accumbens [1]
The accumbens (ventral striatum) is involved in the **initiation and termination of behaviours** (motor actions) that **activate reward pathways** For example, the act of chewing and swallowing are rewarding as they immediately precede food entering the stomach (which releases peptides that act to trigger reward pathways in the brain.