Quick Facts 5 Flashcards

(103 cards)

1
Q

Q
A 29-year-old woman presents to the emergency department at her local hospital. She is 10 weeks pregnant and has been suffering from persistent nausea and vomiting. She is clinically dehydrated and admits to losing 8kg over the last month.

What condition is a risk factor for the most likely diagnosis?

Foetus small for gestational age
Gestational diabetes
Pre-eclampsia
Single pregnancies
Trophoblastic disease

A

A 29-year-old woman presents to the emergency department at her local hospital. She is 10 weeks pregnant and has been suffering from persistent nausea and vomiting. She is clinically dehydrated and admits to losing 8kg over the last month.

What condition is a risk factor for the most likely diagnosis?

Foetus small for gestational age
Gestational diabetes
Pre-eclampsia
Single pregnancies
Trophoblastic disease

How well did you know this?
1
Not at all
2
3
4
5
Perfectly
2
Q

What is this image

Gonorrhoea
Herpes simplex 2
Chlamydia
Syphilis
HPV 6

A

Gonorrhoea
Herpes simplex 2
Chlamydia
Syphilis
HPV 6

How well did you know this?
1
Not at all
2
3
4
5
Perfectly
3
Q

The puerperium is the period which……

Begins with the
delivery of the baby
and ends 6 weeks later

Begins with the
delivery of the placenta
and ends 6 weeks later

Begins with the
delivery of the baby
and ends 6 months
later

A

The puerperium is the period which……

Begins with the
delivery of the placenta
and ends 6 weeks later

How well did you know this?
1
Not at all
2
3
4
5
Perfectly
4
Q

The photo shows

syringomyelia
exomphalos
Meckel-Gruber syndrome
sirenomelia
amniotic band disruption
gastroschisis

A

The photo shows

syringomyelia
exomphalos
Meckel-Gruber syndrome
sirenomelia
amniotic band disruption
gastroschisis

How well did you know this?
1
Not at all
2
3
4
5
Perfectly
5
Q

Which ligament contains the Fallopian tubes?

Broad ligament

Cardinal ligament
Ovarian ligament
Round ligament
Uterosacral ligament

A

Broad ligament contains the Fallopian tubes

How well did you know this?
1
Not at all
2
3
4
5
Perfectly
6
Q

Which number is the vestibule of the vagina? [1]

Which number is the hymen? [1]

A

Which number is the vestibule of the vagina: 3

Which number is the hymen: 4

How well did you know this?
1
Not at all
2
3
4
5
Perfectly
7
Q

A woman presents with fresh vaginal bleeding immediately following the rupture of her membranes. Fetal heart abnormalities including bradycardias and decelerations are present. Transvaginal ultrasonography confirms that there are ruptured blood vessels which are fetal in origin, which overlie the cervix. What is the most likely cause of her bleeding?

Vasa praevia
Rhesus Disease
Placental abruption
Placental accreta
Cord prolapse

A

A woman presents with fresh vaginal bleeding immediately following the rupture of her membranes. Fetal heart abnormalities including bradycardias and decelerations are present. Transvaginal ultrasonography confirms that there are ruptured blood vessels which are fetal in origin, which overlie the cervix. What is the most likely cause of her bleeding?

Vasa praevia
Rhesus Disease
Placental abruption
Placental accreta
Cord prolapse

Vasa praevia presents with fresh PV bleeding immediately following membrane rupture, and fetal heart rate abnormalities. Although it does not pose a major risk to the mother it has significant fetal mortality

How well did you know this?
1
Not at all
2
3
4
5
Perfectly
8
Q

A. Encephalocoele
B. Meningocoele
C. Spina bifida occulta
D. Myelomeningocoele
E. Anencephaly

A

A. Encephalocoele
B. Meningocoele
C. Spina bifida occulta
D. Myelomeningocoele
E. Anencephaly

How well did you know this?
1
Not at all
2
3
4
5
Perfectly
9
Q

A. Encephalocoele
B. Meningocoele
C. Spina bifida occulta
D. Myelomeningocoele
E. Anencephaly

A

A. Encephalocoele
B. Meningocoele
C. Spina bifida occulta
D. Myelomeningocoele
E. Anencephaly

How well did you know this?
1
Not at all
2
3
4
5
Perfectly
10
Q

A. Encephalocoele
B. Meningocoele
C. Spina bifida occulta
D. Myelomeningocoele
E. Anencephaly

A

A. Encephalocoele
B. Meningocoele
C. Spina bifida occulta
D. Myelomeningocoele
E. Anencephaly

How well did you know this?
1
Not at all
2
3
4
5
Perfectly
11
Q

Q
This is not a cause of recurrent
miscarriage………..

autoimmune disease
chromosomal
abnormalities
endometriosis
cervical incompetence
infection
hormonal disturbances

A

Q
This is not a cause of recurrent
miscarriage………..

autoimmune disease
chromosomal
abnormalities
endometriosis
cervical incompetence
infection
hormonal disturbances

How well did you know this?
1
Not at all
2
3
4
5
Perfectly
12
Q

There is a classic triad of features in congenital toxoplasmosis. What are they? [3]

A

Intracranial calcification
Hydrocephalus
Chorioretinitis (inflammation of the choroid and retina in the eye)

How well did you know this?
1
Not at all
2
3
4
5
Perfectly
13
Q

A 28-year-old woman delivered a healthy baby at 39+2 by vaginal delivery. There were no complications. Despite firmly wanting to breastfeed, she is having difficulty getting the baby to latch on. Which hormone is responsible for stimulating the production of milk by the alveolar epithelial cells of the breast?

Oxytocin
Prolactin
Oestrogen
Progesterone
Corticotropin-releasing hormone

A

A 28-year-old woman delivered a healthy baby at 39+2 by vaginal delivery. There were no complications. Despite firmly wanting to breastfeed, she is having difficulty getting the baby to latch on. Which hormone is responsible for stimulating the production of milk by the alveolar epithelial cells of the breast?

Oxytocin
Prolactin
Oestrogen
Progesterone
Corticotropin-releasing hormone

How well did you know this?
1
Not at all
2
3
4
5
Perfectly
14
Q

At the routine 24 week antenatal visit the BP is measured at 142/92mmHg for the second time after the 1st reading was also 145/95mmHg 4 hrs previously. There is protein detected in her urine as well. What is the most likely diagnosis?

Gestational diabetes
Placental abruption
Placental praevia
Pre-eclampsia
Chronic hypertension of pregnancy

A

At the routine 24 week antenatal visit the BP is measured at 142/92mmHg for the second time after the 1st reading was also 145/95mmHg 4 hrs previously. There is protein detected in her urine as well. What is the most likely diagnosis?

Gestational diabetes
Placental abruption
Placental praevia
Pre-eclampsia
Chronic hypertension of pregnancy

How well did you know this?
1
Not at all
2
3
4
5
Perfectly
15
Q

What is this image

Gonorrhoea
Herpes simplex 2
Chlamydia
Syphilis
HPV 6

A

What is this image

Gonorrhoea
Herpes simplex 2
Chlamydia
Syphilis
HPV 6

How well did you know this?
1
Not at all
2
3
4
5
Perfectly
16
Q

Pregnancy usually lasts about [] weeks ([] days) from the first day of your last menstrual period (also called LMP) to your due date.

A

Pregnancy usually lasts about 40 weeks (280 days) from the first day of your last menstrual period (also called LMP) to your due date.

How well did you know this?
1
Not at all
2
3
4
5
Perfectly
17
Q

A baby is born at 36 weeks
Their length and weight are assessed at 8 weeks when they have their 1st set of vaccinations.
What is their gestationally corrected age?

A

40 weeks - 36 weeks = 4 weeks preterm

Start the plot at plotted at 4 week not 8 weeks

How well did you know this?
1
Not at all
2
3
4
5
Perfectly
18
Q

An ultrasound is taken at 28 weeks showing the head (H) of the fetus is engaged with the internal os (white arrow). The red Doppler shows the umbilical vessels. What is the name of this issue?

Placenta previa
Placental abruption
Vasa previa
Placenta increta
Placenta accreta

A

An ultrasound is taken at 28 weeks showing the head (H) of the fetus is engaged with the internal os (white arrow). The red Doppler shows the umbilical vessels. What is the name of this issue?

Placenta previa
Placental abruption
Vasa previa
Placenta increta
Placenta accreta

Vasa previa - umbilical vessels connecting the placenta to the baby are covering the internal os

How well did you know this?
1
Not at all
2
3
4
5
Perfectly
19
Q

A. Encephalocoele
B. Meningocoele
C. Spina bifida occulta
D. Myelomeningocoele
E. Anencephaly

A

A. Encephalocoele
B. Meningocoele
C. Spina bifida occulta
D. Myelomeningocoele
E. Anencephaly

How well did you know this?
1
Not at all
2
3
4
5
Perfectly
20
Q

A 40-year-old lady with a background of endometriosis is undergoing a hysterectomy. The gynaecology registrar when undertaking the procedure notes the ureter’s position in relation to the uterus. What is the position of the ureter in relation to the surrounding blood vessels?

Ureter crosses pelvic brim at aortic bifurcation
Ureter passes above ovarian artery
Ureter passes above uterine artery
Ureter passes underneath ovarian artery
Ureter passes underneath uterine artery

A

A 40-year-old lady with a background of endometriosis is undergoing a hysterectomy. The gynaecology registrar when undertaking the procedure notes the ureter’s position in relation to the uterus. What is the position of the ureter in relation to the surrounding blood vessels?

Ureter crosses pelvic brim at aortic bifurcation
Ureter passes above ovarian artery
Ureter passes above uterine artery
Ureter passes underneath ovarian artery
Ureter passes underneath uterine artery

How well did you know this?
1
Not at all
2
3
4
5
Perfectly
21
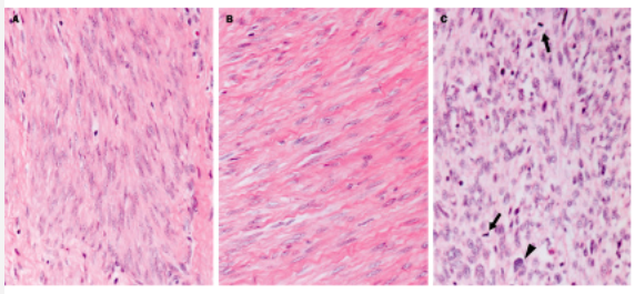
Q

Which of the following is leiomyoma, leiomyosarcoma and normal?

A

A: normal

B: fibroids

C: a malignant leiomyosarcoma is hypercellular and less fascicular, and consists of atypical smooth-muscle cells with hyperchromatic, enlarged nuclei. Increased mitotic figures and necrosis are frequent histological findings in leiomyosarcomas

How well did you know this?
1
Not at all
2
3
4
5
Perfectly
22
Q

A 40 year-old man presents to his GP with a new left testicular mass. Blood tests are requested which demonstrate raised LDH and alpha fetoprotein (AFP).

What type of testicular cancer can be excluded?

Seminoma
Embryonal
Teratoma
Trophoblastic
Yolk-sac

A

Seminoma, alpha fetoprotein is never produced with a seminoma.

How well did you know this?
1
Not at all
2
3
4
5
Perfectly
23
Q

The main risk of fetal parvovirus infection is []

A

The main risk of fetal parvovirus infection is fetal hydrops – the abnormal accumulation of fluid in two or more fetal compartments.

How well did you know this?
1
Not at all
2
3
4
5
Perfectly
24
Q

A 39-year-old primigravid woman attends the antenatal clinic for her 12-week scan. She is told that the results of the combined test suggested she was at high risk of her fetus having Down’s syndrome.

What were the likely results of her combined test?

↑ HCG, ↑ PAPP-A, increased amount of nuchal fluid
↑ HCG, ↓ PAPP-A, increased amount of nuchal fluid
↑ HCG, ↓ PAPP-A, normal amount of nuchal fluid
↓ HCG, ↓ PAPP-A, decreased amount of nuchal fluid
↓HCG, ↑ PAPP-A, increased amount of nuchal fluid

A

A 39-year-old primigravid woman attends the antenatal clinic for her 12-week scan. She is told that the results of the combined test suggested she was at high risk of her fetus having Down’s syndrome.

What were the likely results of her combined test?

↑ HCG, ↑ PAPP-A, increased amount of nuchal fluid
↑ HCG, ↓ PAPP-A, increased amount of nuchal fluid
↑ HCG, ↓ PAPP-A, normal amount of nuchal fluid
↓ HCG, ↓ PAPP-A, decreased amount of nuchal fluid
↓HCG, ↑ PAPP-A, increased amount of nuchal fluid

How well did you know this?
1
Not at all
2
3
4
5
Perfectly
25
Which gram +ve bactria is indicated in this slide? [1]
**Streptococcus pneumoniae** (diplococci)
26
A woman presents after difficulty conceiving for two years. A subsequent ultrasound reveals fibroids and the doctor explains that they are likely to be preventing embryo implantation. Where are they likely to be located? Vagina Uterus- submucosal Uterus- intramural Uterus- subserosal Cervix
A woman presents after difficulty conceiving for two years. A subsequent ultrasound reveals fibroids and the doctor explains that they are likely to be preventing embryo implantation. Where are they likely to be located? Vagina **Uterus- submucosal** Uterus- intramural Uterus- subserosal Cervix
27
Which type of pregnancy does twin-twin infusion occur in? [1]
Only affects **Only affects mono-chorionic pregnancies**
28
Which period of gestation does the 2nd trimester represent? A 14-29 weeks B 15-30 weeks C 10-20 weeks D 13-28 weeks
Which period of gestation does the 2nd trimester represent? A 14-29 weeks B 15-30 weeks C 10-20 weeks D **13-28 weeks**
29
What type of follicle is labelled A in this photomicrograph of an ovary? A. Antral B. Graafian C. Primary D. Primordial E. Secondary (Growing)
What type of follicle is labelled A in this photomicrograph of an ovary? A. Antral B. Graafian C. Primary **D. Primordial** E. Secondary (Growing)
30
Which of the following are accounts for 30-40% of intrauterine growth restriction (IUGR) cases? Hypercholesterolaemia Hypertension Pre-eclampsia Diabetes Alcohol Smoking
Which of the following are accounts for 30-40% of intrauterine growth restriction (IUGR) cases? Hypercholesterolaemia Hypertension Pre-eclampsia Diabetes Alcohol ** **
31
Which hormone falling triggers the creation of atretic follicles? LH Oestrogen FSH Progesterone
Which hormone falling triggers the creation of atretic follicles? LH Oestrogen **FSH** Progesterone
32
Methylphenidate has been ordered for a 10-year-old male in the inpatient child and adolescent psychiatry unit for attention deficit-hyperactivity/disorder. Methylphenidate blocks the reuptake of which neurotransmitter? A. Acetylcholine B. Dopamine C. Gamma-aminobutyric acid (GABA) D. Serotonin
Methylphenidate has been ordered for a 10-year-old male in the inpatient child and adolescent psychiatry unit for attention deficit-hyperactivity/disorder. Methylphenidate blocks the reuptake of which neurotransmitter? A. Acetylcholine **B. Dopamine** C. Gamma-aminobutyric acid (GABA) D. Serotonin
33
A couple comes in worried that they have been unable to conceive after 18 months of regular unprotected sex. Which of the following is a cause of hypergonadotropic hypogonadism? Kallmann’s syndrome Turner’s syndrome Sheehan’s syndrome Asherman’s syndrome Anorexia nervosa
A couple comes in worried that they have been unable to conceive after 18 months of regular unprotected sex. Which of the following is a cause of hypergonadotropic hypogonadism? Kallmann’s syndrome **Turner’s syndrome** Sheehan’s syndrome Asherman’s syndrome Anorexia nervosa
34
Q A 52-year-old female presents to your clinic with chronic tiredness. She does not report any weight gain or cold intolerance. You perform an investigatory workup that demonstrates the following: Haemoglobin A1c (HbA1c) 36 mmol/mol (< 42) Ferritin 176 ng/mL (20 - 230) Vitamin B12 897 ng/L (200 - 900) Folate 0.2 nmol/L (> 3.0) Thyroid Stimulating Hormone (TSH) 4.23 mU/L (0.45 - 5.0) Which one of the following would be responsible for the deficiency seen in this patient? Laxative abuse Menopause Phenytoin Tobacco use Vitamin B12 injections
Q A 52-year-old female presents to your clinic with chronic tiredness. She does not report any weight gain or cold intolerance. You perform an investigatory workup that demonstrates the following: Haemoglobin A1c (HbA1c) 36 mmol/mol (< 42) Ferritin 176 ng/mL (20 - 230) Vitamin B12 897 ng/L (200 - 900) Folate 0.2 nmol/L (> 3.0) Thyroid Stimulating Hormone (TSH) 4.23 mU/L (0.45 - 5.0) Which one of the following would be responsible for the deficiency seen in this patient? Laxative abuse Menopause **Phenytoin** leads to folate deficiency Tobacco use Vitamin B12 injections
35
IUGR is associated with which congenital heart defect in neonates? [1]
**Patent ductus ateriosus** - causes hypoxia
36
What is structure X? A. Corpus luteum B. Primary oocyte C. Secondary oocyte D.Graafian follicle E. Corpus albicans
What is structure X? A. Corpus luteum B. Primary oocyte C. Secondary oocyte **D.Graafian follicle** E. Corpus albicans
37
A young girl has the ovarian cycle explained to her by her GP, at a routine appointment. The GP explains that the theca of the pre-antral follicle contains hormone receptors which facilitate production of large amounts of hormones. Which type of receptor is found on the theca? FSH receptors LH receptors Progesterone receptors Testosterone receptors Oestrogen receptors
A young girl has the ovarian cycle explained to her by her GP, at a routine appointment. The GP explains that the theca of the pre-antral follicle contains hormone receptors which facilitate production of large amounts of hormones. Which type of receptor is found on the theca? FSH receptors **LH receptors** Progesterone receptors Testosterone receptors Oestrogen receptors
38
Q An 8-year-old female is brought to the clinic by her mother for an annual examination. The mother inquires as to when her daughter will likely begin puberty. Which of the following is the most notable and reliable first sign of puberty in girls? A. Menarche B. Thelarche C. Pubarche D. Linear growth
Q An 8-year-old female is brought to the clinic by her mother for an annual examination. The mother inquires as to when her daughter will likely begin puberty. Which of the following is the most notable and reliable first sign of puberty in girls? A. Menarche **B. Thelarche** C. Pubarche D. Linear growth
39
The diagram shows a sagital section of an embryo at about day 16. Identify A A. definative yolk sac B. extraembryonic mesoderm C. chorionic cavity D. hypobalst 0% E. amniotic cavity
The diagram shows a sagital section of an embryo at about day 16. Identify A **A. definative yolk sac** B. extraembryonic mesoderm C. chorionic cavity D. hypobalst 0% E. amniotic cavity
40
The majority of patients referred with short stature have the following….. Constitutional growth delay Endocrine disorders Chronic diseases Psychosocial deprivation Dysmorphic syndromes Variation of normal growth
The majority of patients referred with short stature have the following….. Constitutional growth delay Endocrine disorders Chronic diseases Psychosocial deprivation Dysmorphic syndromes **Variation of normal growth**
41
Which of the following is anti-cholinergic? Oxybutynin Tamsulosin Prazosin Bethanecol
Which of the following is anti-cholinergic? **Oxybutynin** Tamsulosin Prazosin Bethanecol
42
These graphs show hormonal changes throughout the menstrual cycle. In pregnancy, which hormone maintains the corpus luteum and the production of hormone A until the placenta produces hormone A. A. Oestradiol B. Human chorionic gonadotrophin C. Progesterone D. Insulin-like growth factor E. Gonadotrophin-releasing hormone
**B. Human chorionic gonadotrophin**
43
Name this early stage congenital syphilis symptom
Pemphigus syphiliticus.
44
A 27-year-old new mother is breastfeeding her new baby. The midwife explains that during breastfeeding, the baby suckling on the nipple triggers the release of a compound into the blood that results in the contraction of cells in the mammary glands resulting in milk being pushed out of the nipple. Which of the following compounds is responsible for this reflex? Dopamine Luteinising hormone Oxytocin Prolactin Serotonin
A 27-year-old new mother is breastfeeding her new baby. The midwife explains that during breastfeeding, the baby suckling on the nipple triggers the release of a compound into the blood that results in the contraction of cells in the mammary glands resulting in milk being pushed out of the nipple. Which of the following compounds is responsible for this reflex? Dopamine Luteinising hormone **Oxytocin** Prolactin Serotonin
45
A nulliparous 36-year-old woman presents for an annual wellness visit. She is sexually active and takes an oral contraceptive pill regularly. She does not smoke tobacco, drink alcohol, or use illicit drugs. Her body mass index (BMI) is 35 kg/m2. Which patient factor most increases her risk for developing ovarian cancer? A. BMI of 35 kg/m2 B. Age C. Oral contraceptive use D. Sexual activity
A nulliparous 36-year-old woman presents for an annual wellness visit. She is sexually active and takes an oral contraceptive pill regularly. She does not smoke tobacco, drink alcohol, or use illicit drugs. Her body mass index (BMI) is 35 kg/m2. Which patient factor most increases her risk for developing ovarian cancer? **A. BMI of 35 kg/m2** B. Age C. Oral contraceptive use D. Sexual activity
46
Q Rose is a 34-year-old female who has been in a relationship for 4 years. Rose and her partner have been trying to conceive regularly for over a year without success. They have visited their GP to organise some investigations into a possible cause. Which hormone is released after ovulation occurs and can be used as a marker of fertility? Luteinising hormone (LH) Follicle stimulating hormone (FSH) Oestrogen Testosterone Progesterone
Q Rose is a 34-year-old female who has been in a relationship for 4 years. Rose and her partner have been trying to conceive regularly for over a year without success. They have visited their GP to organise some investigations into a possible cause. Which hormone is released after ovulation occurs and can be used as a marker of fertility? Luteinising hormone (LH) Follicle stimulating hormone (FSH) Oestrogen Testosterone **Progesterone**
47
Corpus luteum
48
Name this sign of measles [1]
Koplik’s spots
49
A A 5 year old boy presents to the GP with his father. He has had a fever, runny nose and cough over the last few days and has now developed a red rash all over his body. His father is uncertain about which immunisations the boy has received. On examination the boy has an erythematous, blanching maculopapular rash all over, with grey spots on his buccal mucosa. Which of the following is the most likely cause of his symptoms? Hand, foot and mouth disease Bechet’s disease Mumps Scarlet fever Measles
A rash with fever in the context of an incomplete or uncertain immunisation history should be considered as **measles**. This boy also has **Koplik’s spot**s on his buccal mucosa which supports the diagnosis
50
Q Which is the main muscle involved in helping to maintain erection? [1] EXAM Q
Acceptable responses: **bulbosongiosus, bulbospongiosus**
51
What is 14? (in a women)
Round ligament
52
A cyanotic newborn is diagnosed with transposition of the great arteries. Which of the following medications should be administered, whilst awaiting surgical treatment, to maintain patency of the ductus arteriosus? Indomethacin Ibuprofen Prostacyclin Paracetamol Alprostadil
**Alprostadil** This is **prostaglandin E1**. Prostaglandins will prevent the ductus arteriosus from closing
53
A: Vas deferens B: IEV C: gonadal vessels
54
A represents a. ischial tuberosity b. ischial spine c. ramus of ischium d. pubic tubercle e. pubis
A represents **a. ischial tuberosity** b. ischial spine c. ramus of ischium d. pubic tubercle e. pubis
55
Q Which of the following would be classed as a reassuring amount of variability on a CTG? More than 25 bpm for more than 25 minutes More than 25 bpm for 15-25 minutes Less than 5 bpm for between 30-50 minutes 5–25 bpm for 30 minutes Less than 5 bpm for more than 50 minutes
Q Which of the following would be classed as a reassuring amount of variability on a CTG? More than 25 bpm for more than 25 minutes More than 25 bpm for 15-25 minutes Less than 5 bpm for between 30-50 minutes **5–25 bpm for 30 minutes** Less than 5 bpm for more than 50 minutes
56
A 17-year-old male has a suspected testicular torsion and the scrotum is to be explored surgically. The surgeon incises the skin and then the dartos muscle. What is the next tissue layer that will be encountered during the dissection? Visceral layer of the tunica vaginalis Cremasteric fascia Parietal layer of the tunica vaginalis External spermatic fascia Internal spermatic fascia
A 17-year-old male has a suspected testicular torsion and the scrotum is to be explored surgically. The surgeon incises the skin and then the dartos muscle. What is the next tissue layer that will be encountered during the dissection? Visceral layer of the tunica vaginalis Cremasteric fascia Parietal layer of the tunica vaginalis **External spermatic fascia** Internal spermatic fascia
57
Q What is the standard initial treatment for gestational diabetes? Insulin Metformin Glibenclamide Exenatide
Q What is the standard initial treatment for gestational diabetes? Insulin **Metformin** Glibenclamide Exenatide
58
Which antibiotic inhibits inhibit cell wall formation, D-ala bond formation & thus transglycosylation which prevents peptidoglycan cross linking to treat chlamydia Azithromycin Doxycycline Ceftriaxone Benzylpenicillin
Which antibiotic inhibits inhibit cell wall formation, D-ala bond formation & thus transglycosylation which prevents peptidoglycan cross linking to treat chlamydia **Azithromycin** Doxycycline Ceftriaxone Benzylpenicillin
59
Which change to breast tissue is depicted here Cysts DCIS Fibroadenoma Sclerosing adenosis Apocrine metaplasia
Fibroadenoma
60
Which of the following is pro-cholinergic? Oxybutynin Tamsulosin Prazosin Bethanecol
Which of the following is pro-cholinergic? Oxybutynin Tamsulosin Prazosin **Bethanecol**
61
A 72-year-old man develops a hydrocele which is being surgically managed. As part of the procedure the surgeons divide the tunica vaginalis. From which of the following is this structure derived? Peritoneum External oblique aponeurosis Internal oblique aponeurosis Transversalis fascia Rectus sheath
A 72-year-old man develops a hydrocele which is being surgically managed. As part of the procedure the surgeons divide the tunica vaginalis. From which of the following is this structure derived? **Peritoneum** External oblique aponeurosis Internal oblique aponeurosis Transversalis fascia Rectus sheath
62
This neonate is suffering from early-onset neonatal sepsis. The most common causative organism of this is []
**Streptococcus agalactiae** - also known as Group B Streptococcus (GBS).
63
What type of cell is indicated in this growing placental villus? Simple cuboidal epithelial cell Syncytiotrophoblast Erythrocyte Mesenchymal cell Cytotrophoblast Decidual cell
64
What type of cell is indicated in this growing placental villus? Simple cuboidal epithelial cell Syncytiotrophoblast Erythrocyte Mesenchymal cell Cytotrophoblast Decidual cell
**Cytotrophoblast**
65
Ovary: What type of follicle is labelled A? 1. Secondary (antral) 2. Primordial 3. Growing 4. Atretic 5. Primary 6. Graafian
Ovary: What type of follicle is labelled A? 1. Secondary (antral) 2. Primordial **3. Growing ** 4. Atretic 5. Primary 6. Graafian
66
What does this surgical treatment treat? [1]
Cervical incompetence (image is a transvaginal cerclage)
67
A 2-year-old girl is vomiting, refuses to eat and has a fever. She has a non-blanching haemorhagic rash. She is up to date with all her vaccinations. Which infective agent is most likely to be associated with her condition? Haemophilus influenza Herpes simplex virus Mycobacterium tuberculosis Neisseria meningitides Streptococcus pyogenes
A 2-year-old girl is vomiting, refuses to eat and has a fever. She has a non-blanching haemorhagic rash. She is up to date with all her vaccinations. Which infective agent is most likely to be associated with her condition? Haemophilus influenza Herpes simplex virus Mycobacterium tuberculosis **Neisseria meningitides** Streptococcus pyogenes
68
A woman in labour is due to undergo an episiotomy. Which of these is the most appropriate choice of anaesthetic for this procedure? Spinal block Caudal epidural Pudendal nerve block General anaesthetic
A woman in labour is due to undergo an episiotomy. Which of these is the most appropriate choice of anaesthetic for this procedure? Spinal block Caudal epidural **Pudendal nerve block** General anaesthetic
69
A caudal epidural would 1. anaesthetise the lower pelvic viscera, but would leave the legs unaffected. 2. anaesthetise the lower pelvic viscera and the legs. 3. anaesthetise the pudendal nerve. 4. anaesthetise just the perineum and the lower quarter of the vagina. 5. anaesthetise the area below the waist
A caudal epidural would **1. anaesthetise the lower pelvic viscera, but would leave the legs unaffected.** 2. anaesthetise the lower pelvic viscera and the legs. 3. anaesthetise the pudendal nerve. 4. anaesthetise just the perineum and the lower quarter of the vagina. 5. anaesthetise the area below the waist
70
Tocolytic drugs: which of the following is a myosin light chain inhibitor nifedipine atosiban indomethacine nitroglycerine NO donor Betamimetics (sympathetic beta agonsists) magnesium sulphate
Tocolytic drugs: which of the following is a myosin light chain inhibitor nifedipine atosiban indomethacine nitroglycerine NO donor Betamimetics (sympathetic beta agonsists) **magnesium sulphate**
71
Which of the following drug induces labour by causing the cervix to contract? Oxytocin Misoprostol Carboprost Mifepristone
Which of the following drug induces labour by causing the **cervix** to contract? Oxytocin **Misoprostol** Carboprost Mifepristone
72
Name structure (e). A. zygote B. morula C. blastocyst D. embryo E. fetus
Name structure (e). A. zygote B. morula **C. blastocyst** D. embryo E. fetus
73
Name structure (e). A. zygote B. morula C. blastocyst D. embryo E. fetus
Name structure (e). A. zygote B. morula **C. blastocyst** D. embryo E. fetus
74
Q Tocolytic drugs: which of the following is a myosin light chain inhibitor nifedipine atosiban indomethacine nitroglycerine NO donor Betamimetics (sympathetic beta agonsists) magnesium sulphate
Q Tocolytic drugs: which of the following is a myosin light chain inhibitor nifedipine atosiban indomethacine nitroglycerine NO donor Betamimetics (sympathetic beta agonsists) **magnesium sulphate**
75
Q Tocolytic drugs: which of the following is a myosin light chain inhibitor nifedipine atosiban indomethacine nitroglycerine NO donor Betamimetics (sympathetic beta agonsists) magnesium sulphate
Q Tocolytic drugs: which of the following is a myosin light chain inhibitor nifedipine atosiban indomethacine nitroglycerine NO donor Betamimetics (sympathetic beta agonsists) **magnesium sulphate**
76
Which of the following drug induces labour by causing the uterus to contract? Oxytocin Misoprostol Carboprost Mifepristone
Which of the following drug induces labour by causing the **uterus** to contract? **Oxytocin** Misoprostol Carboprost Mifepristone
77
Necrotising fasciitis in children may be caused by infection from which pathogen, aftern an initial infection from VZV? [1]
Group A streptococcus (GAS): e.g. **Streptococcus pyogenes**
78
This 30 year old male has both a direct and indirect inguinal hernia. What structure is the yellow arrow pointing to? Superficial ring Deep ring Hesselbach’s triangle Linea alba Aponeurosis of internal, external oblique and transversus abdominis muscles
This 30 year old male has both a direct and indirect inguinal hernia. What structure is the yellow arrow pointing to? Superficial ring **Deep ring** Hesselbach’s triangle Linea alba Aponeurosis of internal, external oblique and transversus abdominis muscles
79
A 27 year old in her 3rd pregnancy is having a routine ultrasound which is shown below. The uterus is to the left hand side of the image and the bladder is at the bottom of the image. What is the problem shown? Complete molar pregnancy Incompetent cervix Placental abruption Placenta previa Vasa praevia
**Placenta previa** The US shows that the placenta is covering the OS opening completely
80
The inguinal ligament runs from the ASIS to the pubic tubercle. What structure is located at its mid-point? [1]
Femoral artery
81
What is A iliacus obturator internus obturator externus leavtor ani coccygeus
What is A **iliacus** obturator internus obturator externus leavtor ani coccygeus
82
A 40-year-old lady with a background of endometriosis is undergoing a hysterectomy. The gynaecology registrar when undertaking the procedure notes the ureter’s position in relation to the uterus. What is the position of the ureter in relation to the surrounding blood vessels? Ureter crosses pelvic brim at aortic bifurcation Ureter passes above ovarian artery Ureter passes above uterine artery Ureter passes underneath ovarian artery Ureter passes underneath uterine artery
A 40-year-old lady with a background of endometriosis is undergoing a hysterectomy. The gynaecology registrar when undertaking the procedure notes the ureter’s position in relation to the uterus. What is the position of the ureter in relation to the surrounding blood vessels? Ureter crosses pelvic brim at aortic bifurcation Ureter passes above ovarian artery Ureter passes above uterine artery Ureter passes underneath ovarian artery **Ureter passes underneath uterine artery**
83
What drug would you use to manage miscarriage? MoA? [1]
**misoprostol**: cause the uterus to contract to expel the products of conception that are still there
84
How does ergometrine stop PPH? [1]
causes **vasoconstriction**
85
About 70% of the alpha-1 adrenoceptors in the **prostate** are of the alpha-[] subtype The blocking of alpha-[] adrenoceptors relaxes the detrusor muscles of the **bladder** which prevents storage symptoms.
About 70% of the alpha-1 adrenoceptors in the prostate are of the alpha-**1A** subtype The blocking of **alpha-1D** adrenoceptors relaxes the detrusor muscles of the bladder which prevents storage symptoms.
86
Which of the following are α-adrenergic antagonists? Oxybutynin Tamsulosin Prazosin Bethanecol
Which of the following are α-adrenergic antagonists? Oxybutynin **Tamsulosin** **Prazosin** Bethanecol
87
How does tamulosin have therapeutic effects at the prostate? [1]
Tamsulosin is a blocker of **alpha-1A and alpha-1D adrenoceptors.** About 70% of the alpha-1 adrenoceptors in the prostate are of the alpha-1A subtype. Label By blocking these adrenoceptors, **smooth muscle in the prostate is relaxed and urinary flow is improved**.
88
Treatment of congenital toxoplasmosis? [3]
Give prophylactic in mother: - **Pyrimethamine** - **sulfadiazine** - **folinic acid**
89
Pyrimethamine; sulfadiazine; folinic acid are used to treat? [1]
**congenital toxoplasmosis**
90
Misoprostol works by causing which part to contract: Endometrium Cervix Vagina Myometrium
Misoprostol works by causing which part to contract: Endometrium **Cervix** Vagina Myometrium
91
How can you treat blood coagulation protein / platelet defects causing repeated miscarriages? [1]
aspirin
92
Which antivirals can be used to treat CMV? [2]
Ganciclovir Valganciclovir
93
Name a drug used after surgery to treat a complete molar pregnancy [1]
**Methotrexate**
94
What are treatments for Chlamdydia trachomatis? [2]
Treatment * **Azithromycin** * **Doxycycline**
95
Prostate treatment: [] is an anti-androgen drug to prevent androgenic growth
A **Cyproterone acetate** is an anti-androgen drug to prevent androgenic growth
96
Name a prostaglandin analogue that stimulates uterine contraction for the treatment of PPH [1]
A **Carboprost**
97
Name a prostaglandin E1 analog that Increase force of cervical contractions [1]
**Misoprostol**
98
Name a drug for PPH that is an antifibrinolytic that reduces bleeding [1]
**Tranexamic acid1**(intravenous)
99
Explain MoA of Tranexamic acid for PPH
Analogue of lysine Binds to **plasminogen** and **stops conversion of plasmin**: causes bigger clots to form
100
Which anti-hypertensives & anticonvulsants would you use for acute [2] and chronic treatment? [2]
Acute treatment: * **Labetalol** – alpha and beta blocker / antagonist * **Hydralazine** Chronic management * **Methyldopa** – alpha 2 agonist (feeds back and stops noradrenaline being released) * **Nifedipine** - CCB
101
What drug class are the first line of pharmalogical therapy for post natal depression? [1]
**SSRIs**
102
Name a drug that stimulates smooth muscle contraction but is contraindicated in hypertension, for the treatment of PPH [1]
**Ergometrine**
103
Which antibiotic inhibits bacterial wall synthesis, which prevents peptidoglycan cross linking? Azithromycin Doxycycline Ceftriaxone Benzylpenicillin
Which antibiotic inhibits bacterial wall synthesis, which prevents peptidoglycan cross linking? Azithromycin Doxycycline Ceftriaxone **Benzylpenicillin**