HD EOYS3 Flashcards

(50 cards)

1
Q

What % [1] and L/min [1] of O2 would you prescribe a mother with IUGR? [1]

A

55% at 8L/min

How well did you know this?
1
Not at all
2
3
4
5
Perfectly
2
Q

A lag of symphysio-fundal height of how many weeks is suggestive of IUGR?

2 weeks
3 weeks
4 weeks
5 weeks

A

A lag of symphysio-fundal height of how many weeks is suggestive of IUGR?

2 weeks
3 weeks
4 weeks
5 weeks

How well did you know this?
1
Not at all
2
3
4
5
Perfectly
3
Q

Which disease increases the liklihood the pathology depicted of a neonate? [1]

A

Respiratory distress syndrome

How well did you know this?
1
Not at all
2
3
4
5
Perfectly
4
Q

What birthweight of less than how many grams increases the liklihood of this pathology of a neonate? [1]

A

> 1500g

How well did you know this?
1
Not at all
2
3
4
5
Perfectly
5
Q

A death in second week of life would be classfied as:

Miscarriage
Still born
Early neonate death
Late neonate death
Infant death

A

A death in second week of life would be classfied as:

Miscarriage
Still born
Early neonate death
Late neonate death
Infant death

How well did you know this?
1
Not at all
2
3
4
5
Perfectly
6
Q

A death in day 5 of life would be classfied as:

Miscarriage
Still born
Early neonate death
Late neonate death
Infant death

A

A death in day 5 of life would be classfied as:

Miscarriage
Still born
Early neonate death: 0-7 days
Late neonate death: 7-28 days
Infant death 29-1yr

How well did you know this?
1
Not at all
2
3
4
5
Perfectly
7
Q

This cast of the bronchial tree is formed of inspissated mucus and was coughed up by a patient with what pathology? [1]

A

Asthma:

The outpouring of mucus from hypertrophied bronchial submucosal glands, the bronchoconstriction, and dehydration all contribute to the formation of mucus plugs that can block airways in asthmatic patients.

How well did you know this?
1
Not at all
2
3
4
5
Perfectly
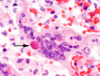
8
Q

What does this arrow depict? [1]

A

Ghon complex

How well did you know this?
1
Not at all
2
3
4
5
Perfectly
9
Q

Which pathogen causes this diease? [1]

A

TB: ghon complex

How well did you know this?
1
Not at all
2
3
4
5
Perfectly
10
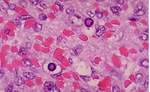
Q

Which pathogen cause this histopathological slide

CMV
T. gondii
Parvovirus B19
Listeria
TB

A

Which pathogen cause this histopathological slide

CMV
T. gondii
Parvovirus B19

The pink intranuclear inclusions in the erythroid precursors seen here are characteristic for parvovirus infection. Parvovirus, or “fifth disease” is a self-limited infection that can produce a “slapped cheek” appearance of a rash in children, and often goes unnoticed in adults. However, pregnant mothers can pass the virus to the fetus, and a severe anemia with fetal hydrops and intrauterine demise can result.

How well did you know this?
1
Not at all
2
3
4
5
Perfectly
11
Q

Which pathogen cause this histopathological slide

CMV
T. gondii
Parvovirus B19
Listeria
TB

A

Which pathogen cause this histopathological slide

CMV

How well did you know this?
1
Not at all
2
3
4
5
Perfectly
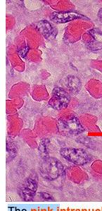
12
Q

Which pathogen cause this histopathological slide

CMV
T. gondii
Parvovirus B19
Listeria
TB

A

Which pathogen cause this histopathological slide

T. gondii

How well did you know this?
1
Not at all
2
3
4
5
Perfectly
13
Q

Which nucleus is underdeveloped in SIDs? [1]

A

Arcuate nucleus

How well did you know this?
1
Not at all
2
3
4
5
Perfectly
14
Q

What is this pathology?

omphalocele
gastroschisis
bowel atresia
duodenal atresia

A

What is this pathology?

omphalocele
gastroschisis
bowel atresia
duodenal atresia

How well did you know this?
1
Not at all
2
3
4
5
Perfectly
15
Q

Growth rate of normal fetus: Weight gain is:
[] per day at 14-15 weeks of gestation
[] per day at 20 weeks
[] per day at 32-34 weeks
Then growth rate decrease

A

Weight gain
5g per day at 14-15 weeks of gestation
10g per day at 20 weeks
30-35g per day at 32-34 weeks
Then growth rate decrease

How well did you know this?
1
Not at all
2
3
4
5
Perfectly
16
Q

Which maternal mesaurement (height) height approx increases at 1cm per week between 14 and 32 weeks? [1]

How does abdominal girth change after 30 weeks, per week? [1]

A

Symphysiofundal height increases approx 1cm per week between 14 and 32 weeks

BUT if have polyhydramnios then this would cause inaccurate readings

After 30 weeks - increases by 2.5 cm per week

How well did you know this?
1
Not at all
2
3
4
5
Perfectly
17
Q

Explain the pathology behind Type 1 IUGR:

  • Is it caused by problem with mother or fetus? [1]
  • Is it symmetrical or asymmetrical? [1]
  • Between which weeks during pregnancy does it normally occur? [1]
A

Type 1 IUGR:

  • Problem with fetus growth during week 4-20 (when most of mitosis is occuring)
  • Everything is symmetrical / normal ration: but all parameters are below 10th percentile for gestational age
How well did you know this?
1
Not at all
2
3
4
5
Perfectly
18
Q

What are causes of type 1 IUGR? [4]

A

Etiology:
* Genetic: associated with trisomy 21, 18 and 13
* Infection (intrinsic to fetus; CMV)
* Multiple gestation
* Environmental toxins: fetal alcohol syndrome

How well did you know this?
1
Not at all
2
3
4
5
Perfectly
19
Q
  • Explain pathophysiology of Type 2 IUGR [1] Which maternal pathologies is it associated with? [3]
  • When does in pregnancy does it usually occur? [1]
  • How do neonates appear? [1]
  • WHat do neonates have reduced growth in? [2]
A
  • Caused by uteroplacental insufficiency: uterus not providing enough nutrition for fetus. Associated with: maternal HTN / pre-eclampsia; renal disease; vasculapathies
  • Growth restriction begins after week 28 in stage of hypertrophy : Fetus has near normal cell number but size reduced
  • Asymmetry seen: head sized normal, but redistribution of fetal CO causes reduced abdomen and splachnic growth, whilst brain is spared.
How well did you know this?
1
Not at all
2
3
4
5
Perfectly
20
Q

Mothers more at risk of giving birth to a IUGR baby have what wrong with them? [5]

A

Poor maternal nutrition: Low BMI at conception; Poor maternal weight gain during pregnancy

Pre-eclampsia

Renal disorders

Diseases causing vascular insufficiency

Infections (TORCH)

How well did you know this?
1
Not at all
2
3
4
5
Perfectly
21
Q

What measurement would use clinically to diagnosis IUGR? [1]

What is normal growth of ^? [1]
What would indicate IUGR? [1]
What would indicate severe IGR? [1]

A

Symphysio-fundal height:

  • Lag in fundal height of 4 weeks suggestive of IUGR
  • Lag of >6 weeks is suggestive of severe IUGR
22
Q

Using a ultrasound to diagnose IUGR, what would you investigate? [3]

A

Head circumference
Abdominal circumference (AC) - AC highest sensitivity and greatest predictive value for diagnosis of IUGR
Amntiotic fluid volume

Can assess if type 1 or 2 by assessing differences in head vs abdomen

23
Q

What complications of IUGR would you expect in antepartum period? [2]

A
  • Increased incidence of still births (52% of unexplained still births – die in utero)
  • Oligohydramnios (esp. type 2 - kidneys haven’t formed properly)
24
Q

What complications of IUGR would you expect in intrapartum period? [2]

A

Higher incidence of meconium aspiration:: Fetal distress

Intrapartum fetal death

25
What complications of IUGR would you expect in neonatal period? [5]
* **Increased incidence of hypoxic ischemic encephalopathy**: heart not developed so o2 to brain is insufficient * **Persistent fetal circulation insufficiency** (patent ductus arteriosus - all O2 blood is mixed with deO2 - leads to hypoxia) * **Difficulty in temperature regulation**: Absent brown fat and small body mass to surface area in type 2 * **Poor glycogen stores** may predispose to **hypoglycemia** * **Chronic intrauterine hypoxia** lead to polycythemia, necrotizing enterocolitis, other metabolic abnormalities
26
What is normal v abnormal cerebral: placenta ratio? [2] What does this indicate? [1]
cerebroplacental ratio: >1:1 is normal and <1:1 is abnormal <1 = abnormal Indicates more flow to cerebral atery than placenta (and therefore brain sparing)
27
Explain how you manage IUGR [5] - Maternal oxygen therapy? [1] - Bed rest position? [1] - Drugs? [1]
Identify etiology of IUGR then treatment of underlying cause: **Stop smoking, alcohol, protein energy supplementation, hypertension** Bed rest in **left lateral position increases uteroplacental blood flow** **Maternal oxygen therapy 55% O2 at 8L/min** round the clock decreases perinatal mortality rate No pharmacological therapy which can reverse IUGR Delivery Risk of prematurity versus risk of intrauterine death has to be judged **Antenatal steroids reduces incidence of respiratory distress syndrome, intraventricular hemorrhage and death for fetus of <1500g**
28
Adequate vitamin D reduces which pathologies? [3]
Adequate vitamin D reduces: - **sepsis** - **ROP** - **delayed retinal maturation**
29
Describe the pathology of Intraventricular hemorrhage / periventricular leukomalacia: What birth weight babies most likely? [1] What is pathophysiology? [1] Which disease is a risk factor for this? [1]
Intraventricular hemorrhage / periventricular leukomalacia: * **VLBW** (less than 1500g) at greatest risk * **Resp. distress syndrome** 4x more likely * Pathology: **blood vessels** in the preterm may be **more** **fragile** and immature and cause **small to large bleeds in brain ventricles**
30
What does Intraventricular hemorrhage / periventricular leukomalacia look like on ultrasound? [1]
Honeycombed
31
Describe physiology of retinal blood vessels in normal fetus: - when does it normally start & complete by? [2] - Which directions do the retinal blood vessels grow? [1] - What condition within the eye controls normal retinal development? [1]
Retinal blood vessel development starts at around **16 weeks** and is complete by **37 – 40 weeks gestation.** The **blood vessels grow from the middle of the retina to the outer area**. This vessel formation is stimulated by **hypoxia**which is a normal condition in the retina during pregnancy
32
Which nutritional things would you screen for in pre-term babies? [2]
**Hyperglycemia** (poorly developed pancreas; immature insulin secretion) **Osteopenia** (limited Ca & P in parentral nutrition)
33
Treatment of necrotising enterocolitis? [3]
* Stop oral feeding * Broad spectrum antibiotics covering both aerobic and anaerobic species * Surgery to remove perforated sections
34
Compare the flow between A & C of this doppler ultrasound.
A: showing normal flow C: severely reduced flow with severe notch (see arrows).
35
What does the **pulsatility index (PI)** of doppler ultrasound show [1] and measure? [1] How does the PI differ between the MCA and umbilical artery in a normal & IUGR fetus? [2]
**Pulsatility Index (PI):** * the difference between the peak systolic flow and minimum diastolic flow velocity, divided by the mean velocity recorded throughout the cardiac cycle. * It is a non-invasive method of **assessing vascular resistance with the use of Doppler ultrasonography.** **Healthy fetus:** * PI of MCA greater than umbilical artery * Creates ratio >1 **IUGR**: * PI of MCA less than umbilical artery
36
What does prescence of uterine artery notch after 22 weeks indicate? [1]
The presence of a notch **after 22 weeks** indicates **increased uterine vascular resistance** and warrants monitoring of the patient.
37
How does the A-wave in a ductus venosus doppler ultrasound present in a normal and IUGR fetus? [2]
Normally **ductus venosus shows positive A wave**. **Reversal of the A wave** may be seen in severe intrauterine growth restriction as well as in tricuspid regurgitation.
38
What is the definiton of miscarriage? [1] What is the definiton of stillbirth? [1] What is early and late neonatal death? [2] What is infant death? [1]
**Miscarriage**: pregnancy loss <24 weeks **Stillbirth**: baby born >24 weeks with no signs of life **Neonatal death:** baby born live but dies in first 28 days of life - Early neonatal: 0-7 days death - Late neonatal: 7-28 days death **Infant death:** anytime in first year
39
Which viruses is hand, foot and mouth disease commonly caused by? [3] Describe pathology
Enterovirus 71 Virus Coxsackie virus Kawasaki virus Causes neurological or cardiac complications including death Kawasaki disease causes medium vessel vasculitis of children that can cause **coronary artery aneursym**
40
Explain pathophysiology of Marfans syndrome causing sudden death (include gene mutation) [2]
**Lack of Fibrillin** covering elastin due to mutation in **FBN1 gene.** Can cause **aortic aneurysm** which burst
41
Non-specific post mortem findings in SIDS? [8]
* Thymus with petechiae (round spots that appear on the skin as a result of bleeding) * Petechiae in pleura * Epicardial petechiae * Full expansion of lungs * Liquid heart blood * Empty bladder * Prominent lymph nodes & Peyer’s patches
42
Explain pathology behind shaken baby syndrome (caused by a triad off..) [3]
Caused by * **sub-dural hematoma** - most common * **encephalopathy**; * **retinal haemorrhages**
43
Explain the brain anomalies that are common in SIDs pathology: - Which nucleus can become underdeveloped? [1]
* Alterations (decreases) in **serotonin** signalling * causes **disturbances in medulla and ANS**: * leads to underdevelopment of **arcuate nucleus** which controls neuroendrocine & physiological functions * Platelets carry around serotonin. More serotonin in platelets increases the stickiness.
44
Explain subset of SIDS infants related to serum platelet anomolies
Subset of SIDS infants have elevated serum **serotonin platelets carry >98% of 5HT** in **blood**: Causes **constriction** of **damaged blood vessels** and enhances **platelet aggregation**
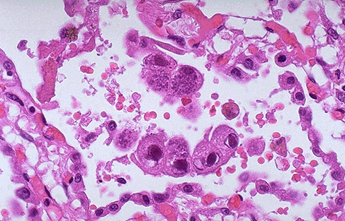
45
What type of virus caused this lung infection? [1]
RSV . Multinucleated giant cell (MNGC) of respiratory syncytial virus infection demonstrating a large intracytoplasmic inclusion (arrow); (H&E, 1000  ). MNGCs are more commonly seen within alveoli than within bronchioles.
46
What is the most common bacterial [1] and viral [1] cause of pneumonia in neonates? [2]
**Respiratory syncytial virus (RSV)** **streptococcus pneumoniae**
47
What is the causative agent of this CSF infection? [1]
Group B streptococcus
48
What is the most likely cause of this neonatal pathology? [1]
Osteogenesis imperfecta
49
IUGR is associated with which congenital heart defect in neonates? [1]
**Patent ductus ateriosus** - causes hypoxia
50
What pathology is depcited here? [1]
Duodenal atresia [1]