HD EOYS7 Flashcards

(29 cards)

1
Q

A deficiency in short stature homebox gene (SHOX) would cause which dissproportional growth syndrome? [1]

A

Leri-Weill dyschonrosteosis (LWD)

How well did you know this?
1
Not at all
2
3
4
5
Perfectly
2
Q

Which of the following presents with madelung deformity?

Achondroplasia
Hypochondroplasia
Leri-Weill dyschonrosteosis (LWD)
Rickets

A

Which of the following presents with madelung deformity?

Achondroplasia
Hypochondroplasia
Leri-Weill dyschonrosteosis (LWD)
Rickets

How well did you know this?
1
Not at all
2
3
4
5
Perfectly
3
Q

Growth deficiency caused by Tuner Syndrome can be treated with

GH
Oxandrolone
Testosterone
Cortisol

A

Growth deficiency caused by Turner Syndrome can be treated with

GH
Oxandrolone
Testosterone
Cortisol

How well did you know this?
1
Not at all
2
3
4
5
Perfectly
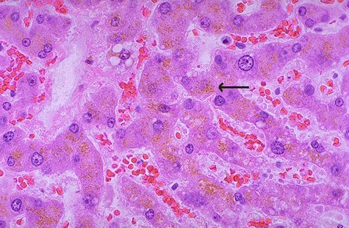
4
Q

What does the arrow from this slide from a liver of an 80 year old depict?

A

lipofuscin

How well did you know this?
1
Not at all
2
3
4
5
Perfectly
5
Q

Age related changes in the immune system:

Which cell type sees an incresed CD16+ pro-inflammatory population?

Neutrophils
Dendritic cells
Macrophages
Lymphocytes
Natural killer cells

A

Age related changes in the immune system:

Which cell type sees an incresed CD16+ pro-inflammatory population?

Neutrophils
Dendritic cells
Macrophages
Lymphocytes
Natural killer cells

How well did you know this?
1
Not at all
2
3
4
5
Perfectly
6
Q

Ageing affect on immune system.

Which of the following cell types makes less IL12 due to older age?

Neutrophils
Dendritic cells
Macrophages
Lymphocytes
Natural killer cells

A

Ageing affect on immune system.

Which of the following cell types makes less IL12 due to older age?

Neutrophils
Dendritic cells
Macrophages
Lymphocytes
Natural killer cells

How well did you know this?
1
Not at all
2
3
4
5
Perfectly
7
Q

Ageing affect on immune system.

Which of the following cell types makes same level of IFN-ϒ?

Neutrophils
Dendritic cells
Macrophages
Lymphocytes
Natural killer cells

A

Ageing affect on immune system.

Which of the following cell types makes same level of IFN-ϒ?

Neutrophils
Dendritic cells
Macrophages
Lymphocytes
Natural killer cells

How well did you know this?
1
Not at all
2
3
4
5
Perfectly
8
Q

Ageing affect on immune system.

Which of the following cell types increases in number with old age?

Neutrophils
Dendritic cells
Macrophages
Lymphocytes
Natural killer cells

A

Ageing affect on immune system.

Which of the following cell types increases in number with old age?

Neutrophils
Dendritic cells
Macrophages
Lymphocytes
Natural killer cells

How well did you know this?
1
Not at all
2
3
4
5
Perfectly
9
Q

How do you go about evaluating a child with short stature? [4]

A

Height centile vs weight centile
* Failure to thrive or failure to grow
* Compare height vs weight

When it started
* In utero (IUGR. achondroplasia)
* In infancy
* In childhood
* In puberty

Body proportions
* Primary or secondary growth disorders

Presenting signs
* Idiopathic Short Stature (ISS) or a specific diagnosis (e.g. genetic condition / GH deficiency / sex steroids?)

How well did you know this?
1
Not at all
2
3
4
5
Perfectly
10
Q

Which conditions would create disproportionate short stature? [4]

A
  • Achondroplasia – have shorter secondary limbs which make disproportionate growth
  • Hypochondroplasia
  • Leri-Weill dyschonrosteosis (LWD)
  • Rickets
How well did you know this?
1
Not at all
2
3
4
5
Perfectly
11
Q

Describe the physiopathology of Leri-Weill dyschonrosteosis (LWD):

  • Inheritance pattern? [1]
  • Mutation to which gene? [1]
  • How do LWD individuals present? [4]
A

Leri-Weill dyschonrosteosis (LWD):

Autosomal dominant skeletal dysplasia

Short stature homebox gene (SHOX) - found on pseudoautosomal region of X & Y genes

Presentation:
- mesomelic (mid parts) limb shortening
- Bowing of radius
- dorsal dislocation of ulna
- Premature epiphyseal fusion

How well did you know this?
1
Not at all
2
3
4
5
Perfectly
12
Q

Which systemic disorders could cause proportionate short stature? [3]

A

GI Diseases (Coealiac Disease / Lactose intolerance)

Chronic renal diseases

Idiopathic short stature

How well did you know this?
1
Not at all
2
3
4
5
Perfectly
13
Q

How do you treat idiopathic short stature? [1]

A

Growth Hormone - will increase overall height
(but expensive)

How well did you know this?
1
Not at all
2
3
4
5
Perfectly
14
Q

Name a treatment for Turner Syndrome growth deficieny [1]

A

Oxandrolone

How well did you know this?
1
Not at all
2
3
4
5
Perfectly
15
Q

What endocrine disorders might you think about for proprionate short stature? [2]

A

Hypothyroidism
Hypercortisolism

How well did you know this?
1
Not at all
2
3
4
5
Perfectly
17
Q

Future treatments for pre-school wheeze? [2]

A

Bacterial lysates: given to provide trained innate immunity

Wheeze-scan: detect wheeze more easily

18
Q

Explain the link between methylation of DMD region and IGF-2 in mother and father

A

Mother:
* demethylated DMD region drives coding of H19 region

Father:
* DMD methylated (inactivated)
* Prevents coding of H19
* Causes IGF-2 to be created - drives growth of child in adolesence and middle age

19
Q

Risk factors for conduct disorder? [5]

A

Boys
Inner cities
Socioeconomic disadvantage
Fx of conflict
Difficult temperament

20
Q

What are risk factors for emotional disorders? [4]

A
  • Boys = girls
  • No association between socio-economic status
  • Family factors (overprotection; parental anxiety)
  • Quiet, compliant temperament
21
Q

What is the triad that makes ADHD? [3]

A

Hyperactivity
Inattention
Impulsivity

(But can have 2/3 and have a subtype)

22
Q

Expand how each of the following present in ADHD children

Hyperactivity [2]
Inattention [3]
Impulsivity [2]

Where do symptoms need to occur for a diagnosis of ADHD? [1]

A

Symptoms need to be present in two locations (e.g. school and home)

Hyperactivity
* Restless and fidgety
* Unable to wait

Impulsivity
* Acts without thinking
* Answers before questions finished

Inattention
* Jumps from task to task
* Careless mistakes
* Doesnt listen properly

23
Q

What are the pharmacological treatments for ADHD? [2]

A

Methlyphenidate (aka ritalin)
Lisdexamfetamine

24
Q

Explain how the following present

  • Reactive attachment disorder
  • Disinhibited attachment disorder
A

Reactive attachment disorder (inhibited type):
* Child is extremely withdrawn
* Emotionally dettached
* Hypervigilant / v aware of whats going on
* Ignore others / can get aggressive if others try to get too close

Disinhibited attachment disorder
* Not seem to prefer parents to strangers
* Comfort and attention from anyone (without distinction)
* Act younger than their age

25
# Effects of ageing on the immune system Describe the changes to phagocytes seen with increased age [2]
* Increase in **CD16+ pro-inflammatory** population * **Decrease phagocytic** ability and **less free radicals**
26
# Effects of ageing on the immune system Dendritic cells: Which anti-inflammatory cytokines are produced less of? [1] Which TLR subpopulations are decreased? [2]
Make **less IL12** (anti-inflammatory cytokine) Decrease in **TLR-7 and TLR-9** subpopulations
27
# Effects of ageing on the immune system Natural killer cells have a preserved production of [] ? [1] Natural killer cells have a decline in [] production [1]
Natural killer cells: * **Preserved** production of **IFN-ϒ** * **decline** in **chemokine** production (overall function of NK cells decreases, despite increase in number)
28
# Effects of ageing on the endocrine system: Which hormones are decreased with age? [3]
* **Glucose tolerance decreases** * **Production of sex hormones decreases** (Testosterone decreases less than oestrogen and progesterone) * **Growth hormone**
29
# Effects of ageing on the endocrine system: Which hormones increase with age? [2]
Cortisol Insulin