HD EOYS5 Flashcards

(37 cards)

1
Q

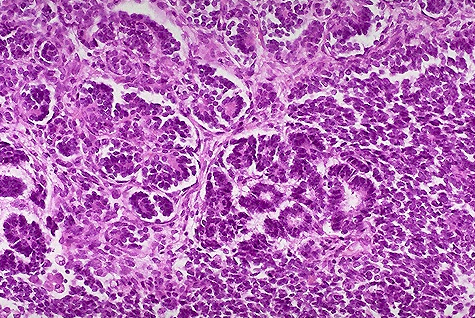
How does Wilms tumour present histologically? [1]

A

tumor shows attempts to form primitive glomerular and tubular structures. Pediatric neoplasms are often composed of cells that resemble primitive embryonic counterparts: -blasts. In this case the cells are reminiscent of developing nephroblasts.

How well did you know this?
1
Not at all
2
3
4
5
Perfectly
2
Q

Which is the main gene involved in high risk patients of neuroblastoma?

MYCN
WT1
ALK
PHOX2B

A

Which is the main gene involved in high risk patients of neuroblastoma?

MYCN
WT1
ALK
PHOX2B

How well did you know this?
1
Not at all
2
3
4
5
Perfectly
3
Q

Which is the main gene involved in hereditary patients of neuroblastoma?

MYCN
WT1
ALK
PHOX2B

A

Which is the main gene involved in hereditary patients of neuroblastoma?

MYCN
WT1
ALK
PHOX2B

How well did you know this?
1
Not at all
2
3
4
5
Perfectly
4
Q

Endometrial cancer is caused by an excess of which hormone?

progesterone
oestrogen
LH
FSH

A

Endometrial cancer is caused by an excess of which hormone?

progesterone
oestrogen
LH
FSH

How well did you know this?
1
Not at all
2
3
4
5
Perfectly
5
Q

What are oncogenes activated by? [4]

A

Activated by gain of function mutations:

  • mutation
  • chromosome translocation
  • gene amplification
  • retroviral insertion
How well did you know this?
1
Not at all
2
3
4
5
Perfectly
6
Q

What are tumour suppressor genes inactivated by? [3]

A

Inactivated by:
* mutations
* deletions
* DNA methylation (epigenetic)

How well did you know this?
1
Not at all
2
3
4
5
Perfectly
7
Q

How does Wilm tumour present? [3]

A
  • Tumour of the kidney (aka nephroblastoma)
  • Mostly children under 5
  • asymptomatic abdominal mass without metastasis
  • Often bilateral
How well did you know this?
1
Not at all
2
3
4
5
Perfectly
8
Q

Describe the molecular pathology of Wilms tumour

Which genes are affected if somatic gene alterations occur [3]
Which genes are affected if germline alterations occur? [2]

A

Somatic gene alterations:
* In WT1, WTX and TP53 genes
* Inactivated CTNNB1 (beta catenin gene
* Epigenetic changes at IGF2/H19 locus

Germline alterations:
* In WT1 genes
* Inactivated CTNNB1 (beta catenin gene

How well did you know this?
1
Not at all
2
3
4
5
Perfectly
9
Q

What is the key role of WT1 gene? [1]

A

Ureteric branching - has key role in the epithelial induct of the metanephric mesenchyme
WT1 is critical in the key pathways for the developing kidney!

How well did you know this?
1
Not at all
2
3
4
5
Perfectly
10
Q

How does Rb gene work under normal function? [2]

Explain how mutation to Rb gene causes cancer [1]

A

Normal:
* pRb restricts the cell’s ability to replicate DNA by preventing its progression from the G1 (first gap phase) to S (synthesis phase) phase of the cell division cycle

  • pRb binds and inhibits E2 promoter-binding–protein-dimerization partner (E2F-DP) dimers, which are transcription factors of the E2F family that push the cell into S phase.
  • By keeping E2F-DP inactivated, RB1 maintains the cell in the G1 phase, preventing progression through the cell cycle and acting as a growth suppressor.

Pathology:
* Mutation causes no Rb1 hyperphosphorylation due to lack of binding to E2F

How well did you know this?
1
Not at all
2
3
4
5
Perfectly
11
Q

Which other genes are implicated in retinoblastoma? [4]

A

MYCN activation
MDM2 or MDM4 over-expression or amplification - leads to inactivation of TP53

How well did you know this?
1
Not at all
2
3
4
5
Perfectly
12
Q

Neuroblastoma is a tumour of which body system? [1]

Which organs does it usually occur in? [2]

A

Tumour of the sympathetic nervous system, usually arising in the adrenal gland or sympathetic ganglia

How well did you know this?
1
Not at all
2
3
4
5
Perfectly
13
Q

Which oncogenes are involved with neuroblastoma? [3]

A

MYCN amplification, ALK & PHOX2B

How well did you know this?
1
Not at all
2
3
4
5
Perfectly
14
Q

What is the difference betwen molecular pathology of neuroblastoma between high risk, low risk and hereditary patients? [3]

A

High risk patients
* Have high MYCN amplification; ATRX & ALK mutations
* Near-diploid/near-tetraploid karyotype, complex chromosome aberrations
* Deletions in 1p and 11q

Low risk:
* Numerical chromosome gains (e.g. spontaneous chromosomes)

Hereditary
* Germline ALK mutations

How well did you know this?
1
Not at all
2
3
4
5
Perfectly
15
Q

How do patients with Acute Lymphoblastic Leukaemia (ALL) present [3]

Where does infiltration of ALL usually occur? [4]

A
  • bruising or bleeding due to thrombocytopaenia
  • pallor and fatigue due to anaemia
  • infection due to neutropenia
  • Infiltratration to the liver, spleen, lymph nodes and mediastinum common at diagnosis
How well did you know this?
1
Not at all
2
3
4
5
Perfectly
16
Q

In children, what are the three major types of ALL? [3]

A

In children ~80% are CD19+, CD10+ “B-cell precursor ALL”

17
Q

Which comes first Pro-B or Pre-B? [1]

What are Pro-B and Pre-B cells characterised by on their cell surfaces? [3]

A

Pro-B then Pre-B

ProB cells are characterized by cell surface marker CD19+

PreB cells are characterized by cell surface markers CD19+ and CD10+

18
Q

What are the distinctive cell abnormalites that often occur in Pro-B cells and Pre-B cells? [2]

A

There are distinctive cell abnormalities:
Pro-B (CD19+, CD10-) always have translocation of MLL gene translocated

Pre-B always have translocation of chromosomes 12 & 22

19
Q

Explain the two step model that causes ALL

A

Step 1: developmental error in utero

Step 2: Dysregulated immune response to infection (This occurs in patients who
carry a covert pre- leukaemic clone and have a deficit of infectious exposures in infancy; children who are born by C-section may not be exposed to microbes during the birth canal)

20
Q

What is the prognosis for patients with:

Pro-B ALL? [1]
Pre-B ALL [1]

A

Pro-B ALL / MLL translocation: unfavourable for children
Pre-B ALL: ETV6-RUNX1 translocation: more favourable

21
Q

Which vaccines are given in the 6 in 1 vaccine? [6]

At what ages is it given to children? [3]

Describe the vaccination plan so that th full course is given [:)]

A

Diptheria, tetanus, pertusis, polio, Haemophilus influezae type B (Hib) and hep B

All given at: 8 weeks; 12 weeks; 16 weeks

Diphtheria, tetanus, pertussis and polio given again at 3 years 4 months

Tetanus, diphtheria and polio at 14 years

22
Q

When is rotavirus vaccine given? [2]

A

8 weeks
12 weeks

23
Q

The HPV vaccine protects agaisnt which strains? [4]

Which strains cause HPV? [2]
Which strains cause genital warts? [2]

A

Protects agaisnt: 6, 11, 16, 18, 31, 33, 45, 52, and 58

Human papillomavirus (HPV) types 16 and 18

Genital warts: caused by type 6 and 11

24
Q

At which stage is first meiotic division complete by

  1. Primordial follicle
  2. Early Primary Follicle
  3. Late Primary Follicle
  4. Secondary Follicle
  5. Tertiary / Graffian Follicle
  6. Corpus luteum
  7. Corpus albican
A

At which stage is first meiotic division complete by

  1. Primordial follicle
  2. Early Primary Follicle
  3. Late Primary Follicle
  4. Secondary Follicle
  5. Terteriay / Graffian Follicle
  6. Corpus luteum
  7. Corpus albican
25
What level of development are primordial follicles in? [1] When do they develop further? [1]
They remain in the **first meiotic division** At puberty they begin to develop further
26
Which two structural layers are created whe the late primary follicle develops? [2]
Zona pellucida Zona granulosa
27
Describe how the formation of oestrogen occurs in oocyte
- Cholesterol from blood stream goes to **thecal cells** (both located on outside of follicle) - **Theca** cells **catalyse** **cholesterol** into **androgens**, but **lack aromatase** to finalise conversion into oestrogen - Androgens move to **granulosa cells,** which have **aromatose**; granulosa cells are **stimulated by FSH** to make **oestrogen**
28
# Follicle development Which structural changes occur when the oocyte develops into a tertiary oocyte?
- Large follicular **antrum** makes up most of follicle - **Corona radiata develops:** layer of cells that surrounds the **zona pellucida** Corona radiatia
29
# Corpus luteum: Which hormone do granulosa cells make before ovulation? [1] Which hormone do granulosa cells make after ovulation? [1]
**granulosa cells**: switch from making oestrogen to making **progesterone**
30
How long does the corpus luteum stay active before turning into a corpus albicans if oocyte is not fertilised? [1] What happens to the corpus albican when it degenerates? [1] The decrease of which hormone causes this to happen? [1]
14 days Secretory cells degenerate and are phagocytosed by macrophages and replaced by fibrous material Due to drop in **LH**
31
Describe what atretic follicles are and why they are formed [2] Which hormone decreasing creates atretic follicles? [1]
Atretic follicles: * Several primordial follicles are stimulated to develop - but only one completes the development to become the ovum * The rest undergo a process called **atresia** which can occur at any stage – become scar tissue and break down: **look like little corpus albucans** * **Triggered by decrease if FSH**
32
Name the three stages in the uterine cycle and which hormones drive each phase [6]
**Proliferative phase**: driven by **oestrogen** **Secretory phase:** Driven by **progesterone** **Menstrual phase**: driven by **progesterone levels falling**
33
Describe each stage of the uterine cycle [3]
**Proliferative stage**: * Robust growth of epithelial cells in stratum functionalis * Formation of coiled and densely packed glands **Secretory phase**: * Glands become more complexly coiled & filled with **secretions** (appears pink) rich in **glycogen** and **glycoproteins** * **Endometrium** is maximum **thickness** **Menstrual phase:** * If fertilisation occurs - **nohCG** and **corpus luteum degenerates** * Spiral arteries in endometrium **constrict** and tissue becomes ischemic * Cells die and this causes sloughing of stratum functionalis * Forms the menstrual flow
34
How does endometrial cancer appear histologically? [1]
They can grow as **polypoid masses** that project into endometrial cavity: * Irregular crowded glands lined by columnar epithelium with pseudostratified nuclei and mild atypical cytologic
35
Which cell types are the predominate type that cause ovarian cancer? [1]
**Serous ovarian cancer:** **2/3rds of cases epithelial ovarian cancer** (outer coating of ovary and peritoneum – CT around the ovary, not the cyst itself)
36
Ovarian cancer - describe the histopathology of serous cystadenoma [2]
**Multi-cystic** with fine papillary projections from cyst wall Thin walled cysts lined with c**iliated pseudostratified cuboidal** pr columnar epithelium
37
Why does taking oral contraceptive pills cause a protective effect for ovarian cancer? [1]
**Suppresses ovulation**