BB EOYS4 Flashcards

(41 cards)

1
Q

Which fibres have a path in the lateral spinothalamic tract?

Aβ; Að & C
Að & C
Aβ & C
Aβ & Að
C

A

Which fibres have a path in the lateral spinothalamic tract?

Aβ; Að & C
Að & C
Aβ & C
Aβ & Að
C

How well did you know this?
1
Not at all
2
3
4
5
Perfectly
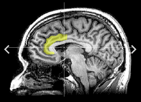
2
Q

Which part of the brain has reduced glucose metabolism during depression

parahippocampus
hypothalamus
hippocampus
subgenual anterior cingulate cortex
fornix

A

Which part of the brain has reduced glucose metabolism during depression

parahippocampus
hypothalamus
hippocampus
subgenual anterior cingulate cortex
fornix

How well did you know this?
1
Not at all
2
3
4
5
Perfectly
3
Q

Which fibres have a path in the Anterior Spinothalamic Tract?

Aβ; Að & C
Að & C
Aβ & C
Aβ & Að
C

A

Which fibres have a path in the Anterior Spinothalamic Tract?

Aβ; Að & C
Að & C
Aβ & C
Aβ & Að
C

How well did you know this?
1
Not at all
2
3
4
5
Perfectly
4
Q

In the transmission of the Lateral Spinothalamic Tract, the pathway synapses at the mediodorsal nucleus of the thalamus (MDvc) and posterior thalamus (VPI and VMpo).

From where does the third order neuron of the LST pathway go to after the mediodorsal nucleus?

Rostral insula
Mamilliary bodies
Anterior cingulate cortex (ACC)
Primary somatosensory cortex
Primary motor cortex

A

In the transmission of the Lateral Spinothalamic Tract, the pathway synapses at the mediodorsal nucleus of the thalamus (MDvc) and posterior thalamus (VPI and VMpo).

From where does the third order neuron of the LST pathway go to after the mediodorsal nucleus?

Rostral insula
Mamilliary bodies
Anterior cingulate cortex (ACC)
Primary somatosensory cortex
Primary motor cortex

How well did you know this?
1
Not at all
2
3
4
5
Perfectly
5
Q

In the transmission of the Lateral Spinothalamic Tract, the pathway synapses at the mediodorsal nucleus of the thalamus (MDvc) and posterior thalamus (VPI and VMpo).

From where does the third order neuron of the LST pathway go to after the posterior thalamus?

Rostral insula
Mamilliary bodies
Anterior cingulate cortex (ACC)
Primary somatosensory cortex
Primary motor cortex

A

In the transmission of the Lateral Spinothalamic Tract, the pathway synapses at the mediodorsal nucleus of the thalamus (MDvc) and posterior thalamus (VPI and VMpo).

From where does the third order neuron of the LST pathway go to after the posterior thalamus?

Rostral insula
Mamilliary bodies
Anterior cingulate cortex (ACC)
Primary somatosensory cortex
Primary motor cortex

How well did you know this?
1
Not at all
2
3
4
5
Perfectly
6
Q

In the transmission of the Anterior Spinothalamic Tract, the pathway synapses at the mediodorsal nucleus of the thalamus (MDvc) and posterior thalamus (VPI and VMpo).

From where does the third order neuron of the AST pathway go to finalise?

Rostral insula
Mamilliary bodies
Anterior cingulate cortex (ACC)
Primary somatosensory cortex
Primary motor cortex

A

In the transmission of the Anterior Spinothalamic Tract, the pathway synapses at the mediodorsal nucleus of the thalamus (MDvc) and posterior thalamus (VPI and VMpo).

From where does the third order neuron of the AST pathway go to finalise?

Rostral insula
Mamilliary bodies
Anterior cingulate cortex (ACC)
Primary somatosensory cortex
Primary motor cortex

How well did you know this?
1
Not at all
2
3
4
5
Perfectly
7
Q

Transmission (Anterior Spinothalamic Tract)

Which fibres project within the Anterior STT?

Where does the Anterior STTT project to after travelling up the spinal cord / wheres the third order neurone? [1]

A

Ab, Ad and C fibres

Projects to ventral posterior lateral (VPL) and ventral posterior inferior (VPI) nucleus of the thalamus. (VPL/VPI) on the contralateral anterior STT tract

Third order neurones from VPL/VPI project to the somatosensory cortex (S1 and S2) - Provide exact localisation and physical intensity of noxious stimulus.

How well did you know this?
1
Not at all
2
3
4
5
Perfectly
8
Q

Transmission (Lateral Spinothalamic Tract)

Which fibres project within the Lateral STT?

Describe its path

A

Ad and C fibres

Projects contralaterally via LSTT to mediodorsal nucleus of the thalamus (MDvc) and posterior thalamus (VPI and VMpo).

From mediodorsal nucleus of the thalamus (MDvc) innervates anterior cingulate cortex (ACC)

From posterior thalamus (VPI and VMpo) which innervates the rostral insula (unpleasant emotion of pain)

How well did you know this?
1
Not at all
2
3
4
5
Perfectly
9
Q

Anterior STT: innervates the [] cortex via []

Lateral STT: innervates the [] & [] via the [] and []

A

Anterior STT
* Innervate the primary and secondary somatosensory cortex via VPL/VPI

Posterior STT:
* Innervates the anterior cingulate cortex and rostral insula via the mediodorsal nucleus of the thalamus (MDvc) and posterior thalamus (VPI and VMpo)

How well did you know this?
1
Not at all
2
3
4
5
Perfectly
10
Q

Explain the mechansim of pain modulation at the dorsal horn via the Noradrenaline and serotonin neurons

A

Noradrenaline and serotonin neurons descend from locus coerulus and raphe nucleus respectively & exhibit excitatory repsonse on lamina II neurons

The lamina II neurons present here are inhibitory - so release GABA and ekephalins onto the INCOMING Aδ neurons, which reduces their activity

How well did you know this?
1
Not at all
2
3
4
5
Perfectly
11
Q

How can you modulate pain via Abeta afferents? (e.g. if in pain - rubbing the area might help)

A

Ab afferent from skin also synapse excitably onto lamina II inhibitory cell body, that are used as interneurons from descending pain pathway (from noradrenaline and serotonin)

This causes more inhbitory GABA and enkephalins to be released on INCOMING Aδ neurons, which reduces their activity

How well did you know this?
1
Not at all
2
3
4
5
Perfectly
12
Q

Chronic pain

What is allodynia and hyperalgesia?

A

Allodynia: a condition where pain is caused by a non-noxious (non-painful) stimulus (e.g. tickle with a feather).

Hyperalgesia: a condition where an abnormal increased pain sensitivity is caused by a noxious (painful) stimulus (e.g. hot water on sunburn).

How well did you know this?
1
Not at all
2
3
4
5
Perfectly
13
Q

What is functional pain? [2]

A

no underlying lesion found despite investigation

pain is disproportionate to the degree of any clinically discernable tissue injury

How well did you know this?
1
Not at all
2
3
4
5
Perfectly
14
Q

Peripheral sensitization

How does Capsaicin reduce pain?

A

The relief of pain that may follow this topical treatment is thought to be related to the temporary deactivation of heat-sensitive epidermal nociceptors expressing the Transient Receptor Potential Vanilloid 1 (TRPV1)

Capsaicin excites pain and heat rececptors; but then desensitization the receptors and reduces pain

How well did you know this?
1
Not at all
2
3
4
5
Perfectly
15
Q

Describe the characteristics of primary erythromelalgia [2]

What is the pathophysiology of behind primary erythromelalgia? [2]

A

Primary erythromelalgia is a rare autosomal dominant neuropathy characterized by the combination of recurrent burning pain, warmth and redness of the extremities.

It is a channelopathy (genetic etiology) caused by mutations ofSCN9A, the encoding gene of the voltage-gated sodium channel subtype Nav1.7 - causes the channel to open with less depolarisation
.

How well did you know this?
1
Not at all
2
3
4
5
Perfectly
16
Q

Which type of receptors is the midbrain periaqueductal gray full of? [1]

Which nuclei does this receptor type influence? [4]

A

Opoid receptors - influences the:

  • parabrachial nucleus
  • medullary reticular formation
  • locus coerruleus
  • raphe nuceli
How well did you know this?
1
Not at all
2
3
4
5
Perfectly
17
Q

Explain the main function of the endocannabinoid receptors

A

Activate Via retrograde transmission:

  • Post synaptic neuron sends a message to pre-synaptic neuron to stop release of GABA and glutamate (e..g if GABA activated - will stop release of glutamate)

E.g. Activation of GABA receptor causes release of endocannabinoid, which goes retrogradly (to the pre-synaptic terminal) and decrease release GABA)

18
Q

Name a scale used to rate depression [1]

A

Hamilton Rating Scale for Depression

19
Q

Where is the subgenual anterior cingulate cortex ? [1]

How is the subgenual anterior cingulate cortex effected during depression? [1]

What structural implications does this have? [1]

A

Decreased metabolism: significant reduction in glucose consumption

The mean gray matter volume of the subgenual anterior cingulate cortex is reduced

20
Q

What is the DMD like in patients with depression? [2]

In which particular areas? [2]

A

Major depression have an increased functional connectivity within DMN

increased connectivity between DMN and fronto-parietal networks: especially left subgenual cingulate area

involved in self-reference thoughts and negative recurrent thoughts = worse :(

21
Q

Between which two areas of the brain have a reduced connectivity in patients of depression who also carry higher active MAO risk alleles? [2]

A

Amygdala–prefrontal connectivity reduced

may affect the course of major depression by disrupting cortico-limbic connectivity.

22
Q

Describe interactions between key structures that involved in depression that cause an increase in depressive ruminations:

Which areas of the brain become hyperactive? [4]

Which areas of the brain become hypoactive

A

Hyperactive:
* amygdala
* hippocampus
* subgenual cingulate cortex
* medial prefrontal cortex

Hypoactive:
* Dorsolateral prefrontal cortex
* ventrolateral prefrontal cortex

23
Q

Describe the mesolimbic pathway that controls reward circuits in the brain [2]

Which NT controls this pathway? [1]

A

dopaminergic projection from the ventral tegmental area
to the nucleus accumbens is essential in reward and drug dependence

24
Q

State two changes to brain metabolism in cocaine addicts [2]

A

Reduced availability of dopamine D2 receptors

Reduced cortical metabolism in cocaine abusers

25
Describe the physiological consequence of long term MDMA use [1] Describe three effects of brain function from long term MDMA use [3]
MDMA: - glucose metabolism reduces * Causes decreased learning perfomance, recall, recall consistency
26
Describe 6 effects that occur from acute MDMA toxicity [6]
Temperature elevation Disseminated intravascular coagulation Rhabdomyolysis (blocked by dantrolene) Increased renal reabsorbtion of water Hyponatraemia Cerebral oedema
27
A 32-year-old male with opioid use disorder presents to the emergency department with chest pain radiating to the left arm. Pain is rated at 5/10 and described as tightness. Currently, he is not in pain, and his vital signs are stable. For his addiction, he is currently receiving methadone prescriptions with occasional relapses for over a year. Given the chronicity of his addiction, where would changes in the patient's brain be expected, and what neurotransmitter would be involved? A. Occipital lobe and serotonin B. Temporal lobe and norepinephrine C. Prefrontal region and dopamine D. Wernicke's area and dopamine
**C. Prefrontal region and dopamine**
28
Explain an example of how chronic drug abuse can alter gene expression and therefore change brain structure [1
Chronic drug use causes an increase in the expression of expression of **ΔFosB gene** Fos family of transcription factors, **accumulates** within a subset of neurons of the **nucleus accumbens** and **dorsal striatum** FosB functions as a type of **sustained “molecular switch”** that gradually converts **acute drug responses into relatively stable adaptations** that contribute to the long-term neural and behavioral plasticity that underlies addiction.
29
CB1 receptors are concentrated in the **[]** CB2 receptors are present in [] and are associated with the [] system
**CB1 receptors** are concentrated in the **central nervous system** **CB2 receptors** are present in **peripheral organs** and are associated with the **immune system**
30
Which aspect of cannabis has potential to treat treatment-resistance eplepsy? [1]
Cannabidiol (CBD)
31
outcome of tbi
32
What are the different parameters for the Post Trauma amnesia scoring used to assess TBI? [3]
**PTA:** Mild: less than 24hrs Mild: 1-7 days Severe: >7days
33
State the scores for GCS and LOC that would be classified as Mild Moderate Severe | Exam qs
GCS: * Mild: **13-15** * Moderate: **9-12** * Severe: **3-8** LOC: * Mild: **0-30min** * Moderate: **30min - less than24hrs** * Severe: **>24 hrs**
34
Where in the brain does locked-in syndrome occur because of injury to? [1] Which tracts are effected if this area is damaged? [2]
**ventral pons** causing interruption to **corticospinal and corticobulbar tracts**
35
Where does damage occur in brain if create decoticate or decerebrate damage? [2]
**Decorticate** (Damage above **red nucleus**): arms adducted and flexed, legs internally rotated and plantar flexed **Decerebrate** (Damage **below red nucleus**): arms adducted and extended, legs stiffly extended and plantar flexed: **Between the vestibular nuclei and red nuclei**
36
What is the percentage rate of recovery from: <6months of persistent vegetative state? [1] 1 year of persistent vegetative state? [1] 3 years of persistent vegetative state? [1] | Exam q!
What is the percentage rate of recovery from: <6months of persistent vegetative state: **40%** 1 year of persistent vegetative state: **10%** 3 years of persistent vegetative state: **5%** | exam q
37
Describe the mechanism of assessing consciousness (Auditory stimulation) using Auditory event-related potential (AERP): What is the overall thing trying to identify? [1] Where in the brain do you look? [2] What would indicate a positive outcome? [1]
Aim to identify a **mismatch negativity** (MMN, a negative component appearing in the **primary auditory and prefrontal cortices around 100-250 ms** after an **auditory change in a monotonous sequence of sounds** (e.g. an oddball paradigm). **Aim to identify a P300** (a positive component appearing in the **primary auditory and prefrontal cortices** around **300 ms** after an auditory change in a monotonous sequence of sounds (e.g. an oddball paradigm).
38
Which imaging modalities could you use to assess consciousness? [2]
Stimulation (e.g. auditory, tactile, visual) could carried out on the patient during imaging. **PET scan** **Blood oxygenation level dependent (BOLD)** fMRI
39
Which nuclei at the hypothalamus are important with sleep / arousal? [2] State if they promote sleep or arousal [2]
**Tuberomammillary nucleus (TMN)** – promote **arousal**. **Ventrolateral preoptic nucleus (VLPO)** – promotes **sleep**
40
Tuberomammillary nucleus increases arousal by secreting which of the following 5-HT Histamines Orexins Noradrenaline GABA
Tuberomammillary nucleus increases arousal by secreting which of the following 5-HT **Histamines** Orexins Noradrenaline GABA
41
Ventrolateral pre-optic nucleus in the hypothalamus increases sleep by secreting which of the following 5-HT Histamines Orexins Noradrenaline GABA
Ventrolateral pre-optic nucleus in the hypothalamus increases sleep by secreting which of the following 5-HT Histamines Orexins Noradrenaline **GABA** & **Galamin**