Breast imaging Flashcards

(26 cards)

1
Q

What does the breast lie over ?

A

2nd to the 6th ribs in the midclavicular line, anterior to the deep pectoral fascia and the lower part overlying the serratus anterior

How well did you know this?
1
Not at all
2
3
4
5
Perfectly
2
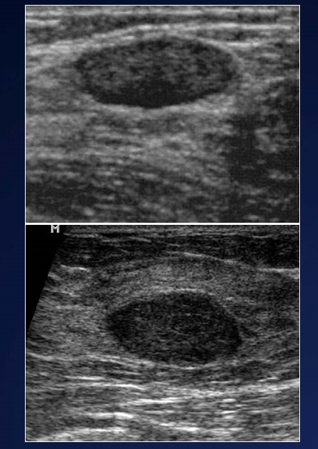
Q

What is the layer of loose connective tissue between the breast & pectoral fascia called ?

A

The rectomammary space

How well did you know this?
1
Not at all
2
3
4
5
Perfectly
3
Q

What is the breast enclosed in ?

A

In superficial fascia

How well did you know this?
1
Not at all
2
3
4
5
Perfectly
4
Q

What are the 4 quadrants of the breast?

A
  • Upper inner & upper outer
  • Lowe inner & lower outer

Note - it also has an extension called the axillary tail of spence

How well did you know this?
1
Not at all
2
3
4
5
Perfectly
5
Q

List some of the indications for breast imaging to be done

A
  • Lumps including axillary ones (due to the axillary tail of spence)
  • Unilateral nipple discharge or blood stained discharge
  • Skin tethering or dimpling
  • Signs of inflammation

NOT for pain, tenderness or symmetrical nodularity, only required for pain if there is associated asymmetrical nodularity

How well did you know this?
1
Not at all
2
3
4
5
Perfectly
6
Q

What is the pathway for diagnosing breast lesions ?

A

Tripple assessment (clinical exam, imaging & pathology - histo & cytology)

How well did you know this?
1
Not at all
2
3
4
5
Perfectly
7
Q

What are the 3 main imaging methods which can be used for assessing breast problems ?

A
  1. Mammography (film/screen or digitial)
  2. Ultrasound
  3. MRI
How well did you know this?
1
Not at all
2
3
4
5
Perfectly
8
Q

What determines which imaging modality is used for assessing a breast problem ?

A

There symptoms & age

  • U/S is generally 1st line if they are < 40 (no radiation)
  • Mammography +/- U/S is usually done otherwise
How well did you know this?
1
Not at all
2
3
4
5
Perfectly
9
Q

Why is mammography (XRM) the method of choice for breast sceening ?

A

Because it is the only technique which readily visualises microcalcifications (<0.5mm) - microcalcifications accound for approx 30% of invasive cancers

How well did you know this?
1
Not at all
2
3
4
5
Perfectly
10
Q

What is the main advantage of digitial XRM over film/screen XRM ?

A

It shows better contrast between dense & non-dense tissues ==> better in dense breasts & younger women

How well did you know this?
1
Not at all
2
3
4
5
Perfectly
11
Q

What is the appearance of tissues on XRM?

A
  • Fat tissue = low density (darker)
  • Glandular tissue = higher density (whiter)
  • Calcifications = bright white
  • Lymph nodes: oval/horseshoe, fatty hilum
How well did you know this?
1
Not at all
2
3
4
5
Perfectly
12
Q

Who are dense breasts more common in ?

A

Younger & thin women

How well did you know this?
1
Not at all
2
3
4
5
Perfectly
13
Q

Taking what can slow down the decrease in breast density as a women ages ?

A

Taking HRT

How well did you know this?
1
Not at all
2
3
4
5
Perfectly
14
Q

What are the features suggestive that calcifications seen are malignant ?

A
  • Cluster or segmental distribution, if scattered or diffuse think benign
  • Rhomboid shape of the cluster
  • Spiculated shape (little branches coming off it) or linear jagged/irregular mass
  • Pleomorphic nature (they vary in size, shape & density)
How well did you know this?
1
Not at all
2
3
4
5
Perfectly
15
Q

What are the indications for using ultrasound when assessing breast problems ?

A
  • Used to help characterise mammographic findings e.g. differentiation of cystic & solid lesions
  • Palpable lesions < 40yrs old
  • Nipple discharge
  • Breast implants/augmentation
  • Other inflammatory conditions (abscesses)
  • Evaluation of response to chemo
How well did you know this?
1
Not at all
2
3
4
5
Perfectly
16
Q

Describe the appearance of benign solid breast lesions on US

A
  • Circumscribed - good borders
  • Hypoechoic/hyperechoic
  • “Wider than Tall”
  • Homogeneous - lesions look similar
  • Peripheral/no vascularity
  • Often Multiple
17
Q

Describe the appearance of malignant solid breast lesions on US

A
  • Poorly Circumscribed - bad borders
  • Hypoechoic
  • Heterogeneous
  • “taller than wide”
  • Spiculate
  • Oedema/peritumoral fat
18
Q

What are the problems with XRM and U/S and hence why is MRI needed as a 3rd option ?

A

XRM:

  • ↓sensitivity in dense breasts (≈55%)
  • Observer limitations
  • High % indeterminate lesions needing biopsy
  • Compression
  • Irradiation

U/S:

  • Operator-dependent
  • Time-consuming
  • Reproducibility
  • Misses calcifications
  • Unproven in screening -false positives+++
19
Q

What are the benefits of MRI for imaging of breasts ?

A
  • Excellent intrinsic tissue contrast
  • No compression or irradiation
  • Accuracy independent of breast density
20
Q

What are the signs of breast malignancy on MRI ?

A
  • Ductal enhancement
  • Rim enhancement
  • Irregular mass
  • Spiculated mass
21
Q

What are the contraindications to MRI ?

A

Absolute –as for any other MR exam:

  • (cardiac pacemakers, ferromagnetic aneurysm clips, cochlear implants, renal impairment etc.)

Relative:

  • pregnancy, lactation (effect of gadolinium based contrast, increased background breast enhancement
22
Q

What are the indications for the use of MRI in assessing breast problems ?

A

Benign disease:

  • implants (integrity) - gold standard for this
  • problem solving (lesion characterisation)

Malignant disease:

  • diagnosis (occult 1° breast cancer)
  • staging and treatment planning
  • residual disease post WLE
  • response assessment -chemotherapy
  • recurrent disease –breast, reconstructed breast, axilla
  • screening –high risk groups

Essentially MRI can help & is used to screen young very high risk women (BRCA & pT53 mutations) or implants, otherwise ask the radiologist

Occult primary tumors, or cancers of unknown primary (CUPs), are defined as histologically proven metastatic malignant tumors whose primary site cannot be identified during pretreatment evaluation.

23
Q

What are the problems with MRI use in breast problems ?

A
  • Overdiagnosis
  • Cost & Acess
  • Patient tolerance (lots of people dont like MRI’s)
24
Q

What is the age women are screened for breast cancer ?

A

Between 50-70 (after 70 encouraged to make their own appointments)

25
Are any women screened for breast cancer \< 50 yrs old ?
Yes - Women who are at an increased risk of breast cancer due to their family history may be offered screening from a younger age. The following patients should be referred to the breast clinic for further assessment: * one first-degree female relative diagnosed with breast cancer at younger than age 40 years * one first-degree male relative diagnosed with breast cancer at any age * one first-degree relative with bilateral breast cancer where the first primary was diagnosed at younger than age 50 years * two first-degree relatives, or one first-degree and one second-degree relative, diagnosed with breast cancer at any age * one first-degree or second-degree relative diagnosed with breast cancer at any age and one first-degree or second-degree relative diagnosed with ovarian cancer at any age (one of these should be a first-degree relative), or * three first-degree or second-degree relatives diagnosed with breast cancer at any age
26
Who is MRI screening for breast cancer used for ?
High risk groups: 1. Previous irriadiation (e.g. hogkins lymphoma treated with mantle field XRT - chest exposed in this field) 2. BRCA 1/2 or TP53 mutations (Li Fraumeni) 3. Personal history of fam cancer (referring to the ones referred for assessment, some of these people may have this type of screening)