Define an anovulatory menstrual cycle
A menstrual cycle characterized by varying degrees of menstrual intervals and the absence of ovulation and a luteal phase - in absence of ovulation there will be infertility e.g. perimenopause, poly cystic ovaries
What are the 2 main precursors to endometrial cancer?
Endometrial polyps and endometrial hyperplasia
What are endometrial polyps and how are the potentially a precursor for endometrial carcinoma ?
Uterine polyps are growths attached to the inner wall of the uterus that extend into the uterine cavity.
They are potentially precursors to endometrial carcinoma because endometrial hyperplasia and invasive carcinoma can present as a polyp, but they are usually benign unless presenting life previously mentioned.

What causes uterine polyps to develop ?
Anovulatory cycles - therefore most common in women who are going through or have completed menopause
What is the typical presentation of uterine polyps ?
Some women have only light bleeding or spotting; others are symptom-free
What causes endometrial hyperplasia ?
When does endometrial hyperplasia usually occur ?
Usually occurs after menopause, when ovulation stops and progesterone is no longer made.
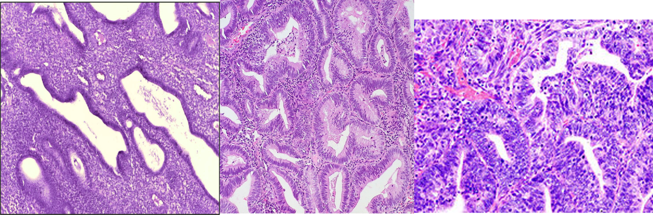
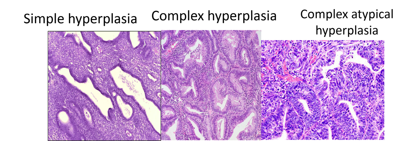
What are the 3 main types of endometrial hyperplasia ?
Which of the 3 types of endometrial hyperplasia is the true precursor for endometrial carcinoma ?
Atypical hyperplasia
What can endometrial hyperplasia present with ?
Abnormal bleeding (dysfunctional uterine bleeding or postmenopausal bleeding).
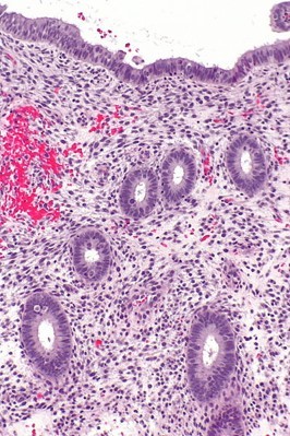
Appreciate this pic of normal endometrium

What are the features of simple, complex and atypical hyperplasia in terms of:
refer to cervical cancer lecture for features of abnormal cytology/malignancy

Label the types of endometrial hyperplasia shown

from left to right goes, simple, complex and then atypical hyperplasia

What are the risk factors for developing endometrial carcinoma ?
What is the classic features for presentation of endometrial carcinoma ?
Postmenopausal bleeding
Unlikely to have others unless the disease is well advanced
How is endometrial carcinoma diagnosed ?
1st - Uterine transvaginal US may be suggestive if increased thickness seen
2nd for absolute diagnosis = by uterine sampling via hysteroscopy or curretage
What is the common age of presentation of endometrial carcinoma ?
50-60 it is uncommon to occur in <40
If endometrial carcinoma does occur in a women <40 what might you think has caused this?
Predisposition with polycystic ovarian syndrome or lynch syndrome
What is the most common type of endometrial carcinoma ?
Adenocarcinoma - they are usually well-differentiated and present at an early stage with bleeding which means surgery often curative
What are the precursor lesions for the 2 types of endometrial adenocarcinomas?
Describe the typical way in which endometrial carcinoma spreads
Invading directly into the underlying myometrium and cervix
Then to the surrouding (adenexal) lymphatics ==> tumour can spread often to the ovaries
Haematogenous spread may also occur
Describe the macroscopic appearance of endometrial carcinoma
What are the 2 main classes of endometrial adenocarcinoma and which is the most common ?