Define the ectocervix and the endocervix
What is the linning of the ectocervix and the endocervix ?
Define what the transformation zone is
Squamo-columnar junction between ectocervical (squamous) and endocervical (columnar) epithelia

Does the transformation zone stay in the same place and if not why?
It does not, it moves about throughout life due various factors:
Define metaplasia
Transformation of one differentiated cell type to another differentiated cell type.
What can cervical erosion/ectropion lead too and how does it occur ?
What is the presentation of cervical erosion/ectropion ?
There is a red ring around the cervical os because columnar epithelium has this appearance
It is prone to bleeding, excess mucus production and to infection

What are the 2 main inflammatory cervical pathologies ?
Cervicitis and cervical polyps
Define what cervicitis is and what are its causes
It is inflammation of the cervix whcih can lead to infertility due to simultaneous silent fallopian tube damage and can be caused by
Causes include:
What are the signs/symptoms of cervicitis ?
Many women dont have symptoms and it may only be found on routine exammination
Possible symptoms include:

What is a cervical polyp ?
These are pendunculated benign tumours of the endocervical epithelium

Describe the presentation of a cervical polyp

Define neoplasia
Neoplasia is the abnormal growth and proliferation of abnormal cells - these can be benign or malignant
What are the 2 main neoplastic pathologies seen in the cervix?
What are the 2 main types of cervical cancer ?
What are the risk factors for developing CIN/Cervical carcinoma ?
Persistence of High Risk Human Papilloma Viruses, mostly types 16,18 (there are other types, these 2 account for roughly 75% of cases)
Vulnerability of SC Junction in early reproductive life:
Smoking: 3 x risk
Immunosuppression
Describe the progression of infection with high risk HPV (16&18) if not cleared from the body
Note 90% of women who are infected with HPV there cells heal (i.e. not all with CIN progress to cervical cancer, increased grade of CIN makes progression more likely though)
What is CIN ?
Pre-invasive stage of cervical cancer
It is defined as the replacement of the normal cervical mucosa by neoplastic cells, but there is still an intact basement membrane
Where does CIN occur ?
Occurs at the transformation zone. - so this is talking about the cervical intraepithelial neoplasia (CIN) whcih can give rise to squamous carcinoma (slight difference convered later for pre-cursor for adenocarcinoma)
How is CIN detected ?
Cervical screening as it is asymptomatic so wont be able to detect it anyother way
What are the histological features of CIN?
Due to classic morphological features of malignancy:
Delay in maturation/differentiation:
Nuclear abnormalities:
Excess mitotic activity

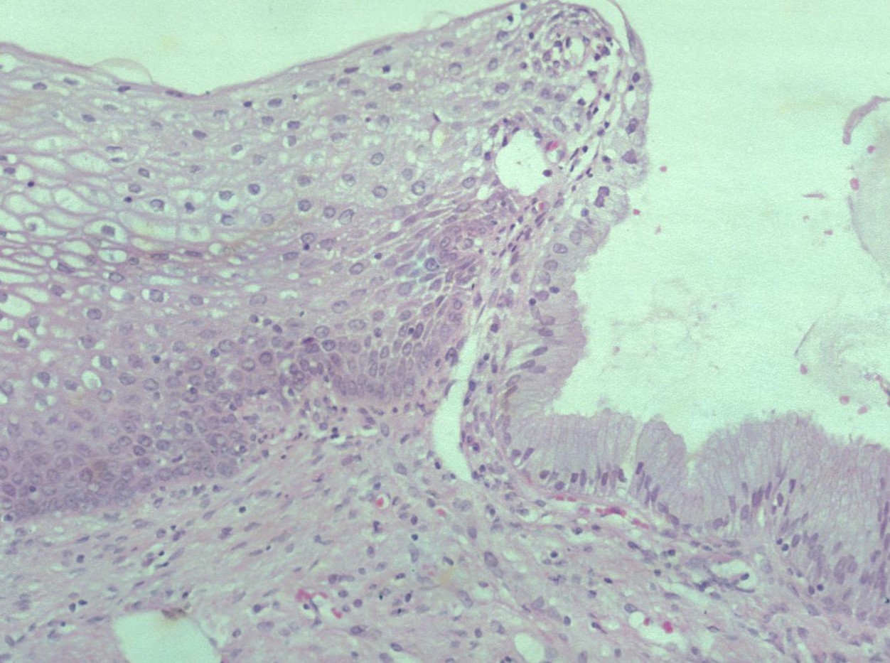
Appreicate this pic of HPV infection causing mild dyskaryosis (CIN 1)

Dyskaryosis = An abnormality of nuclei seen in exfoliated cells, often cells from the uterine cervix, in which the cytoplasm remains unchanged but the nuclei exhibit hyperchromatism, irregularity or enlargement, or an increase in number.
How is CIN graded ?
It is graded from 1 to 3 on the proportion of in thirds of the epithelium whcih is occupied by abnormal cells
CIN I - Basal 1/3 of epithelium occupied by abnormal cells:
CIN II - Abnormal cells extend to middle 1/3.
CIN III - Abnormal cells occupy full thickness of epithelium.
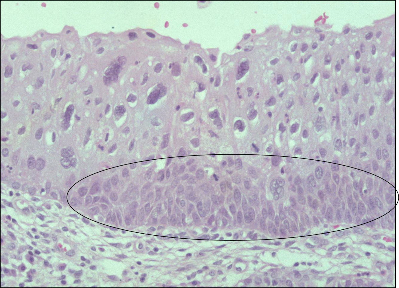
What classification of CIN is shown ?

CIN 1
Compare to the normal ectocervix its easier to see this way