What are the common associations of type 1 endometrial tumours ?

Breifly what is lynch syndrome ?
What are the common associations/key points about type 2 endometrial tumours ?
What are the characteristic features of serous cell carcinoma of the endometrium?
Characterised by a complex papillary (small projections) and/or glandular archietecture with diffuse, marked nuclear pleomorphism

What is the characteristic features of clear cell carcinoma of the endometrium ?
Cells with clear cytoplasm and a compact-alveolar (nested) or acinar growth pattern

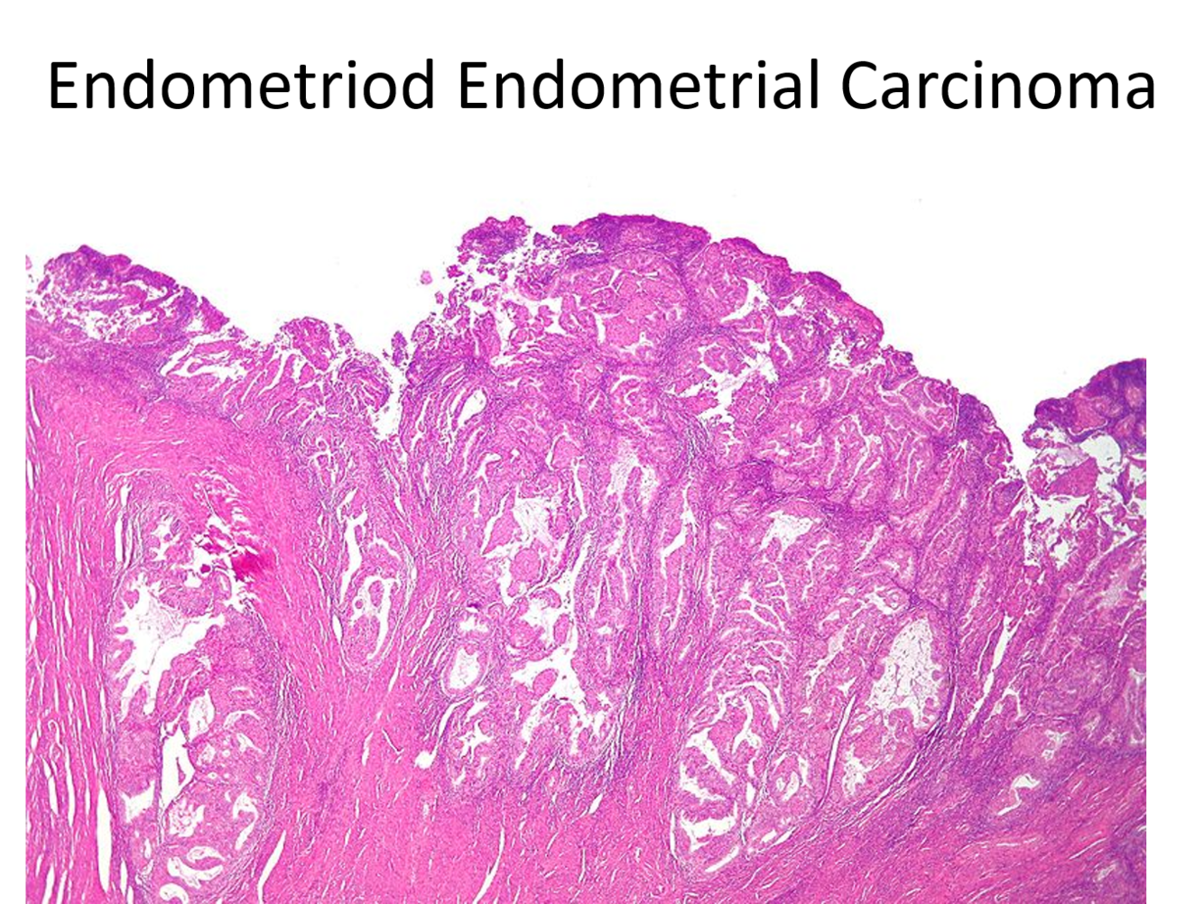
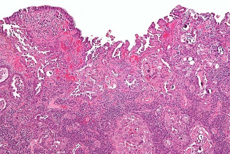
What is the difference in the invasive progression of endometrioid and serous cell carcinomas ?
Endometrioid usually confined to the uterus at presentation
Serous cell may spread early to the peritoneal cavity
What is the grading for endometrial carcinomas
Endometrioid carcinoma are primarily graded by their architecture
Serous carcinoma and clear cell carcinoma are not formally graded
What is the staging of endometrial carcinomas
Stage I Tumour confined to the uterus:
II Tumour invades cervical stroma
III Local and or regional tumour spread:
IV Tumour invades bladder and or bowel mucosa (IVA) and/or distant metastases (IVB)
What are the 3 main other types of endometrial carcinoma and what do they arise from
Endometrial stromal sarcoma:
Carcinosarcoma:
Leiomyosarcoma
What are the key points about endometrial stromal sarcoma ?
Can be high or low grade
High grade associated with increased proliferative and atypica, also metastases most commonly to ovary or lung may be the first presentation for high grade
What are the key points about carcinoma sarcoma ?
What are some of the other abnormalities seen in the uterus ?
What is a leiomyosarcoma ?