How do invasive cervical carcinomas typically present and what do some rarely do making detection difficult?
As an unclerating mass protruding into the vagina
Note some carcinomas may grow inwards (rather than outwards to the vagina) resulting in a ‘barrel-shaped cervix’ adenocarcinomas are the most common type of carcinoma to potetially grow in this fashion, making it difficult to detect on cervical screening resulting in them potnetially being caught much later on
What is the most common type of cervical carcinoma ?
Squamous
Where do squamous cervical carcinomas arise ?
In the transformation zone developing from pre-exisiting CIN
Recall the guidelines for cervical screening in scotland
All women who are registered with a GP are invited for cervical screening:
What are the symptoms of invasive cervical carcinomas
Usually no symptoms at microinvasive and early invasive stages (detected at screening):
Pelvic pain
Haematuria / urinary infections
Ureteric obstruction / renal failure
What is the different staging of squamous cervical carcinoma ? (FIGO staging for cervical cancers)
Stage 1 - tumours confined to the cervix
Stage 2 - spread to adjacent organs (vagina, uterus, etc..)
Stage 3 - involvement of pelvic wall
Stage 4 - distant metastases or involvement of rectum or bladder.
Describe the different areas squamous carcinoma can spread too
Appreciate that squamous carcinoma can be graded from:
Well-differentiated to poorly differentiated
What implications does this have on prognosis ?
Poorly differentiated carcinomas tend to have a more aggressive progression and ==> worse prognosis
What is the precursor lesion for cervical adenocarcinomas ?
Cervical Glandular Intraepithelial Neoplasia (CGIN) - note this is not graded like CIN
Where does Cervical Glandular Intraepithelial Neoplasia (CGIN) originate in the cervix ?
Endocervical epithelium ==> adenocarcinomas of the cervix typically arise from the endocarvical epithelium (columnar)
Why is it more difficult to diagnose cervical adenocarcinomas comapred to squamous ?
Becuase they arise in endocervical epithelium which is not as easily swabbed during smear test
What are the risk factors for endocervical andenocarcinoma ?
Which carries the worse prognosis - adenocarcinoma or squamous carcinoma of the cervix?
Adenocarcinoma as often caught later
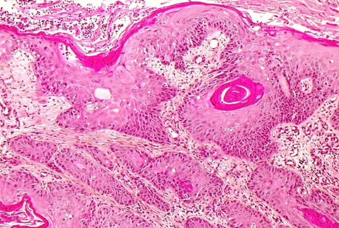
What type of cervical carcinoma is shown here ?

Squamous cell carcinoma of the cervix, its characterisitcs include:
What type of cervical cancer is shown

Adenocarcinoma
Increased number of glands plus normal malignant features
What is the main type of cancer affecting the vulva ?
Squamous cell carcinoma
What is the precursor lesion for vulval carcinomas and how are they graded ?
What are the two main groups of women in which Vulvar intraepithelial neoplasia can arise in ?
What are vulval carcinomas often associated with ?
HPV infection
If Vulvar intraepithelial neoplasia is detected what is there also going on ?
Cervical and vaginal neoplasia (CIN & VaIN).
Describe the typical presentation of vulval squamous cell carcinoma and someone with it
Usually elderly women but may present in someone considerably younger
Presents with vulval itching, irritation or pain. Women may also notice a lump, bleeding or discharge.
How is vulval carcinoma diagnosed ?
Biopsy of the lesion
What is the likely place in which an invasive carcinoma (squamous) of the vulva can spread too ?
The inguinal lymph nodes
What is the treatment of vulvar squamous cell carcinoma ?