What are the uses of CT scanning in gynaecology ?
What are the advantages and disadvantages of CT scanning in gynaecology ?
ADVANTAGES:
DISADVANTAGES:
Go over abdo CT structures

Describe the 2 main different types of MRI scan and what they look at
T1 images – 1 tissue type is bright – FAT e.g. subcutaneous fat (SC fat) and bone marrow
T2 images – 2 tissue types are bright – FAT and WATER e.g. CSF
What are the advantages and disadvantages of MRI scans ?
ADVANTAGES:
DISADVANTAGES:
What are the uses of MRI scans in gynaecology ?
Go over this normal MRI of the female pelvis

What abnormality is shown in this MRI ?

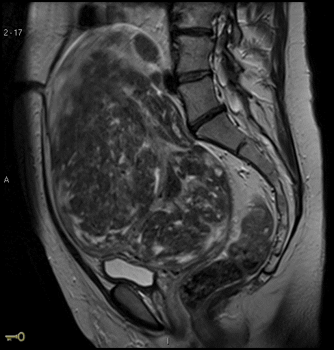
Uterine fibroid
What abnormality is shown in this MRI ?

Hydrosalpinx - a distally blocked fallopian tube filled with serous or clear fluid. The blocked tube may become substantially distended giving the tube a characteristic sausage-like or retort-like shape.
Describe the role of MRI in diagnosing endometriosis and also how endometriosis may appear on scan

Describe the appearnace of dermoid cysts on MRI
They can contain an admixture of many types of tissue, but most contain a large amount of fat.

What is Hysterosalpingography (HSG) used for ?
For assessment of tubal patency in patients with infertility - Women who are not known to have comorbidities (such as pelvic inflammatory disease, previous ectopic pregnancy or endometriosis) should be offered hysterosalpingography (HSG) to screen for tubal occlusion
Describe HSG procedure
How are gynaecological cancers staged ?
TNM staging
What imaging modality is usually used to diagnose ovarian cancer ?
US
What imaging modality is often used to stage ovarian cancer ?
CT scan
How does ovarian cancer usually spread?
What is it important to determine when staging cervical cancer ?
Determine whether there is:
–Spread into the parametrium
–Extension into the vagina
–Infiltration of adjacent organs: rectum, ureters, urinary bladder
–Metastases to regional lymph nodes (internal iliac and obturator)
What imaging modality is mainly used to stage cervical cancer ?
MR (especially T2-weighted sequences) is far better than CT at depicting local disease, but CT is often used to determine whether or not there are distant metastases – e.g. lung, para-aortic and mediastinal lymphadenopathy
What is the 1st line imaging method for patinets with post-menopausal bleeding (PMB)?
TVS this is done to identify women with thickened endometrium which makes endometrial cancer diagnosis mor likely - they would then get an endometrial biopsy via hysteroscopy to provide a definite diagnosis
What imaging is used to stage endometrial cancers ?
MR scanning can be used to assess the degree of myometrial invasion but CT scanning is used to look for distant nodal metastases and pulmonary metastases
So think CT