canine pyoderma Flashcards

(8 cards)

1
Q

this is an image of

A

intertrigo

How well did you know this?
1
Not at all
2
3
4
5
Perfectly
2
Q

this is an image of

A

impetigo

How well did you know this?
1
Not at all
2
3
4
5
Perfectly
3
Q

this is an image of

A

folliculitis

How well did you know this?
1
Not at all
2
3
4
5
Perfectly
4
Q

this is an image of

A

furunculosis

How well did you know this?
1
Not at all
2
3
4
5
Perfectly
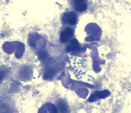
5
Q

based on this cytology image, this is:
intertrigo
impetigo
folliculitis
furunculosis

A

intertrigo

How well did you know this?
1
Not at all
2
3
4
5
Perfectly
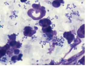
6
Q

based on this cytology image, this is:
intertrigo
impetigo
folliculitis
furunculosis

A

impetigo

How well did you know this?
1
Not at all
2
3
4
5
Perfectly
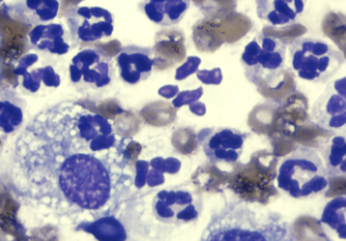
7
Q

based on this cytology image, this is:
intertrigo
impetigo
folliculitis
furunculosis

A

folliculitis

How well did you know this?
1
Not at all
2
3
4
5
Perfectly
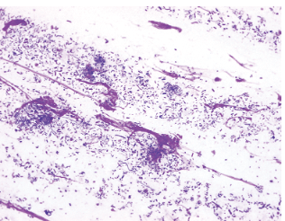
8
Q

based on this cytology image, this is:
intertrigo
impetigo
folliculitis
furunculosis

A

furunculosis

How well did you know this?
1
Not at all
2
3
4
5
Perfectly