What is the biggest cause of death in men under 75 in the UK?
Coronary Heart Disease
What is the biggest cause of death in women under 75 in the UK?
Other cancers (20%) Coronary Heart Disease (16%)
What is this?

Atherosclerosis
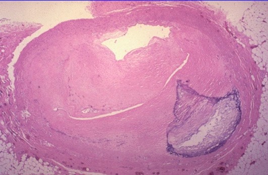
What is atherosclerosis?
an arteriosclerosis characterized by atheromatous deposits in and fibrosis of the inner layer of the arteries
Atheroscelrosis characterized by intimal lesions - atheroma (atheromatous plaques) - that protrude into vessel lumen
What is the process of atherosclerosis?
What is the structure of an atheromatous plaque?
What are the risk factors for atherosclerosis?
Age
Gender
Genetics
Hyperlipidaemia
Hypertension
Smoking
Diabetes Mellitus
What effect do RFs have on atherosclerosis?
Why is age bad?
Atherosclerosis progressive between 40->60 years incidence myocardial infarction (MI) X 5
Why is gender bad?
Premenopausal women protected (HRT no protection)
Postmenopausal risk increases (older ages greater than men)
Why are genetics bad?
Family history most significant independent risk factor
Some mendelian disorders (eg Familial Hypercholesterolaemia)
Most multifactorial (genetic polymorphisms -> clustered risk factors HT, DM)
What is the implication of hyperlipidaemia?
•Hyperlipidaemia (Hypercholesterolaemia)
LDL – bad HDL – good
Diet rich in cholesterol/saturated fat – bad
Statins inhibit HMG-CoA reductase rate limiting enzyme in liver cholesterol synthesis - good
Why is HTN bad?
Systolic & Diastolic important
Ht alone increases risk of IHD by 60%
Why is smoking bad?
Definite risk in men, probable in women
Prolonged smoking doubles death rate from IHD
Stopping reduces risk considerably
Why is diabetes bad?
Induces hypercholestrolaemia
Increases risk of atherosclerosis
2 x risk IHD in DM if all other factors equal
What is the pathogenesis of atherosclerosis?
Chronic inflammatory and healing response of arterial wall to endothelial injury
What is endothelial injury?
What is smooth muscle proliferation?
What is fatty streak?
What is atherosclerotic plaque?
Why is atherosclerotic plaque bad?
What is stenosis?
Critical stenosis – demand > supply
Occurs at ~70% occlusion
(or diameter <1mm)
Causes “stable” angina
Can lead to Chronic Ischaemic Heart Disease
Acute plaque rupture can occur