What are the AI multisystem diseases?
cANCA (proteinase 3) - Wegener’s (GPA)
Rheumatoid arthritis
pANCA (myeloperoxidase) - Churg-Strauss (eGPA)
Sjogren’s syndrome
Microscopic polyangiitis
SLE
What are the investigations of CTDs?
ANA
if pos:
dsDNA
ENA
Cytoplasmic
If you have positive ANA and dsDNA what condition is that?
SLE
If you have positive ANA and anti-ro, la, Sm and RNP, which conditions could it be?
SLE
Sjogrens (Ro/ La)
If you have positive ANA and SCL 70 what condition is that?
Diffuse cutaneous systemic sclerosis
If you have positive ANA and anti-centromere what condition is that?
Limited cutaneous systemic sclerosis (CREST)
If you have positive ANA and t-RNA synthetase (Jo1)what condition is that?
Myositis
What does SOAP in SOAP BRAIN MD stand for?
Serositis
Oral Ulcers
Arthritis
Photosensitive
What does BRAI in SOAP BRAIN MD stand for?
Blood (pancytopaenia)
Renal (proteinuria)
ANA
Immunological (anti dsDNA)
What does N MD stand for in SOAP BRAIN MD?
Neurological
Malar Rash
Discoid rash
What is ANA used to screen for?
ANA is used to screen for ANY nuclear antigens – the antibody titre is given as dilution value (e.g. 1:10) - the highest dilution at which you can still see the fluorescence is the titre (i.e. 1:1000 > 1:40)
What are the autoantibodies in SLE?
o Anti-dsDNA – most specific (30% SLE have it), not very sensitive
o Anti-smith (Sm) – very specific (20% SLE have it), not very sensitive
§ However, all anti-ENAs (RNPs: anti-Ro, La, Sm, U1RNP) found in SLE
o Anti-histone (drug-related e.g. hydralazine)
§ Patients who are taking hydralazine for hypertension may develop SLE
How do you measure anti dsDNA?
o Incubate the patient’s serum with Crithidia Luciliae (a protozoa)
§ Crithidia has big mitochondrion with double stranded DNA (kinetoplast)
§ If the patient has anti-dsDNA antibodies it will bind to the DNA
o Measured using ELISA (Enzyme Linked Immunosorbent Assay)
o An old test for SLE involved looking for LE cells (these are neutrophils that have taken up denatured nuclei)
What is skin histology in SLE?
o Lymphocytic infiltration of dermis
o Vacuolisation (dissolution of the cells) of basal epidermis
o Extravasation of RBCs causes the rash
o Immunofluorescence (antibody to IgG) will show immune complex deposition at the epidermis-dermis junction
What is this?

Skin histology in SLE
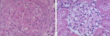
Which of these renal histology slides shows SLE and why?

The left one
o Glomerular capillaries thick (“wire-loop”) SLE Normal
§ Immune complexes in BM
o Immunofluorescence can be used to visualise the immune complex deposition (electron microscopy will also show dark areas of immune complex deposition)
What is Libman Sacks Endocarditis?
o This is a non-infective form of endocarditis that is associated with SLE
o Patients may present with emboli, heart failure or murmurs
o Vegetations = lymphocytes, neutrophils, fibrin strands etc.
What is the difference between limited and diffuse scleroderma?
o Diffuse = involves the trunk- Anti-topoisomerase (anti-Scl70)
o Limited = does NOT involve the trunk- Anti-centromere antibodies
What does CREST stand for?
§ Calcinosis (i.e. calcium deposit on tip of thumb)
§ Raynaud’s phenomenon (white –> blue –> red)
§ Esophageal dysmotility
§ Sclerodactyly
§ Telangiectasia
What part of diffuse cutaneous systemic sclerosis is seen here?

Nucelolar patter of immunofluorescence
What is seen in skin histology in scleroderma?
There is increased depth and amount of collagen -> reduced skin elasticity
§ N.B. difficulty swallowing and stomach dysmotility due to excess collagen within the lining à reduced elasticity
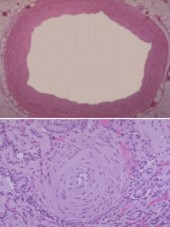
What is seen in vascular histology in scleroderma?

o Top picture is a normal artery with 3 layers
o Bottom picture is a small artery in a patient presenting to A&E with a renal crisis (characterised by very high blood pressure)
§ There is intimal proliferation giving an onion skin appearance
§ Lumen effectively obliterated and some small thrombi for
What is mixed CTD?
Characterised by overlap of several connective tissue diseases:
o SLE Scleroderma
o Polymyositis Dermatomyositis
What pattern does ANA show in mixed CTD?
o Shows a speckled pattern
o This is suggestive of mixed connective tissue disease