Which of the following conditions is an example of a Polygenic Auto-inflammatory disease?
Addison’s
APS-1
Behcet’s
Familial Mediterranean Fever
Ulcerative colitis
Ulcerative colitis
Which of the following is an example of Gel and Coombs Type II hypersensitivity?
Anaphylaxis
Contact Dermatitis
Insulin dependent DM
Myasthenia Gravis
SLE
Myasthenia Gravis
A 32 year old male has a productive cough and shortness of breath. His sputum culture was positive for Pneumocystis jiroveci and he is diagnosed with atypical pneumonia. He has a HIV test performed which is positive. A CD4 count is therefore obtained. At what CD4 count would you expect opportunistic diseases to first present?
200 cells/mcL
What is the mechanism of action of corticosteroids?
Inhibits Calcineurin
Inhibits JAK STAT signalling
Inhibits mTOR inhibitors
Inhibits PDE4 inhibitors
Inhibits phospholipase A2
Inhibits phospholipase A2
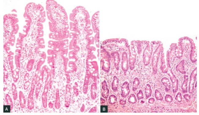
A 45 year old male presents to his GP with ongoing diarrhoea, weight loss and fatigue. His GP does some blood tests and organises that he has an endoscopy. During his endoscopy the patient has a biopsy done.
Picture A shows a normal biopsy from a healthy individual and Picture B shows the results of the biopsy from this patient.
What management would improve this patient’s symptoms?

Gluten Free Diet
A 65 year old male has a 3 month history of melaena, vomiting and 8kg weight loss. After further investigations, he is diagnosed with Stage II gastric cancer. What is the most common type of gastric cancer?
Adenocarcinoma
Gastrointestinal stromal tumour (GIST)
Lymphoma (MALToma)
Neuroendocrine tumours
Squamous cell carcinoma
Adenocarcinoma
A 60 year old female has a urine sample sent for microscopy and culture.
This is what you see on microscopy.
What structure is labelled ‘A’?

Leucocyte
An 80 year old male has a urine sample sent for microscopy and culture.
This is what you see on microscopy.
What structure is labelled ‘B’?

Epithelial cell
A 40 year old female who received a renal transplant 8 months ago presents to clinic with a generalised pruritic rash. On examination you notice widespread crusting vesicular lesions.
What is the most likely causative organism?
VZV
A 50 year old male has blood tests performed to check his Hepatitis B status. His serological markers show the following:
HBsAg negative , anti-HBc negative , anti-HBs positive
What do his serological markers confirm?
Previous Vaccination