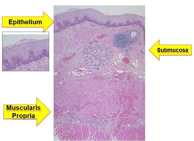
What are the layers of the gut?

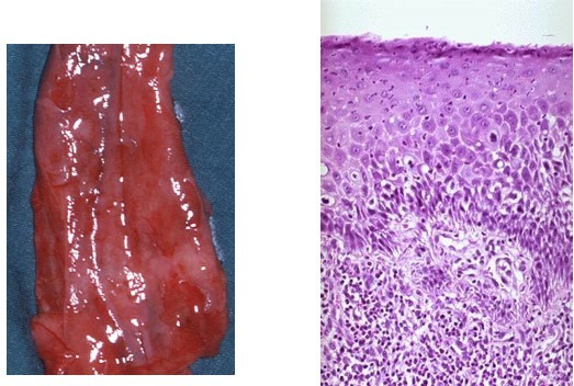
What is the Z line?
Transitional line from squamous to columnar
What are the parts of a normal stomach?

What are the layers of the stomach in the body?

What are the layers of the stomach in the antrum?

What is normal duodenal epithelium?

What is this?

Acute oesophagitis
What is the presentation and complications of GORD?
Ulceration
–necrotic slough
–inflammatory exudate
–granulation tissue
•Fibrosis
Complications
What is this?

BARRETT’S OESOPHAGUS
•Re-epithelialisation by metaplastic columnar epithelium usually with goblet cells
(intestinal type epithelium)
•AKA columnar lined oesophagus (CLO)
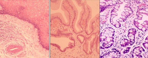
What is 1,2 and 3?

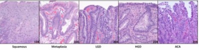
What changes lead to cancer?
Metaplastic glandular epithelium (intestinal type)
Dysplasia changes showing some of the cytological and histological features of malignancy but no invasion through the basement membrane
Adenocarcinoma invasion through the basement membrane

What is the most common type of oesophageal cancer?
Adenocarcinoma of the oesophagus (lower- associated with reflux)

What is this?

What is this?

SCC of oesophagus
What is the prognosis of an oesophageal carcinoma?
What is the oesophageal varices?
caused by: cirrhosis, Budd Chiari/ PV thrombosis

What is gastritis?

What might cause acute gastritis?
Chemical
Infection
e.g. Helicobacter pylori
What causes chronic gastritis?
Mucosal Associated Lymphoid Tissue (MALT)induction
What is H Pylori associated gastritis?
•Cause
H. pylori
•Pattern
chronic gastritis +/- activity
•Outcome
CLO-IM-Dysplasia,
Adenocarcinoma
Lymphoma (MALToma)
How is Helicobacter a carcinogen?
What else causes gastritis?
•Infection
e.g. CMV, strongyloides
(immunosuppression)
•Inflammatory bowel disease
Crohn’s Disease
What is this?

Gastric ulcers
All ulcers should be biopsied to exclude malignancy
What are the complications of ulcers?
•Bleeding
Anaemia
Shock (massive haemorrhage)
•Perforation
Peritonitis