What are the complications of HIV?
How does symptoms change with CD4 and RNA over time?

What are the HIV opportunistic infections?
Pneumocystis jiroveci: pneumonia
• CMV: especially retina and GIT
• Candida
• Tuberculosis and atypical mycobacteria
• Cryptococcus: meningitis
• Toxoplasma gondii: encephalitis and mass lesions
• JC papovavirus: progressive multifocal leukoencepalopathy
• Herpes simplex
• Cryptosporidium, Isospora belli, microsporidia: GIT
What is this showing?

Endoscopy:
Oesophageal ulcer
CMV
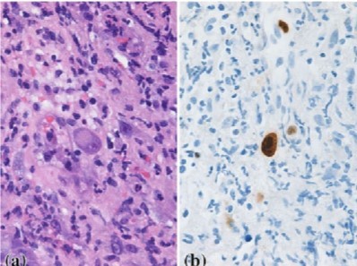
What is this?

(a) CMV nuclear inclusion
(b) Immunohistochemistry
for CMV
What are the HIV associated tumours?
• Kaposi’s sarcoma:
HHV-8
• Lymphoma:
systemic, CNS or body cavity based
B cell lymphomas
EBV
• Others:
Squamous cell carcinoma
Anus and cervix
HPV
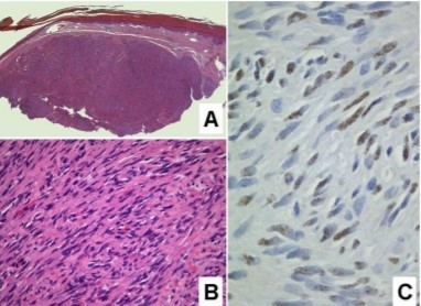
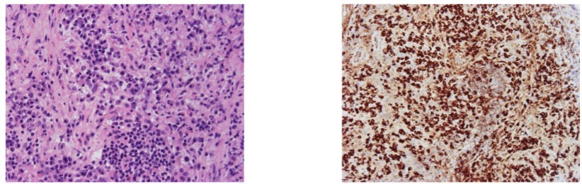
How does a Kaposi sarcoma look Histologically?
A. The dermis is expanded by a solid
tumour.
B. Fascicles of relatively monomorphic
spindled cells, with slit-like vascular
channels containing erythrocytes.
C. The nuclei of the tumour cells
demonstrate immunoreactivity for
HHV-8.

What CNS diseases does HIV cause?
What does CNS HIV lymphoma look like?

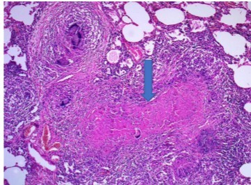
What is the pathology of mTB?
What kind of granuloma is this?

Caseous
Where can TB infect?
• Lung
• Lymph node
• Bone: e.g. vertebra- potts
• Heart: e.g. pericarditis
• GIT: e.g. peritonitis
• CNS: e.g. meningitis
etc.
What are the extrapulmonary features of mTB?

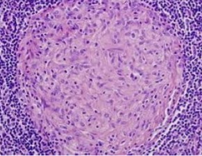
What is the pathology of sarcoidosis?
What is this?

Sarcoidosis
Where can sarcoid effect?
What is IgG4 related disease?
What is this?
IgG4

Where does IgG4 related disease effect?
What can alcohol cause?
• Liver: fatty change (steatosis) , fatty liver hepatitis (steatohepatitis),
cirrhosis, liver cell cancer (hepatocellular carcinoma)
• GI Tract: acute gastritis, oesophageal varices
• Nervous system: peripheral neuropathy, Wernicke-Korsakoff
syndrome etc.
• Cardiovascular system: dilated cardiomyopathy, hypertension,
atheroma (and decreases it!)
• Pancreas: acute pancreatitis, chronic pancreatitis
• Fetal alcohol syndrome
• Cancer: oral cavity, pharynx. oesophagus, liver and breast
What are the stages of ALD?
Normal
Steatosis
Steatohepatitis
Fibrosis
Cirrhosis
HCC
10

10

Where does CF present?
Pancreas: duct obstruction, exocrine atrophy
• Salivary glands: duct obstruction, atrophy
• Intestine: meconium ileus
• Liver: biliary obstruction, cirrhosis
• Lung: bronchial obstruction, superimposed infection with abscess
formation (Staphylococcus aureus, Haemophilus influenzae and
Pseudomonas aeruginosa)
• Male genital tract: infertility, absence of the vas
What is amyloid?
Deposition of an abnormal proteinaceous substance in non branching
fibrils, 7.5-10nm diameter
• Always contains P component
• Beta-pleated sheet structure
• A variety of proteins can take on this conformation
• Resistant to enzymic degradation