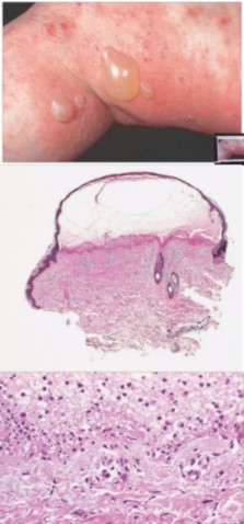
What condition is this?

Bullous Pemphigoid
What is the most common cancer in the Western World?
Basal Cell Carcinoma
Does BCC metastasise?
Does not metastasise, but can cause large disfigurement as it occurs in areas exposed to the Sun
Which is the largest organ in the human body?
Skin
What are the functions of the skin?
Protection:
Þ Essential barrier between external environment and internal body
Þ Protects against mechanical, chemical, osmotic, thermal and
UV damage and microbial invasion
Metabolic
Þ Role in vitamin D synthesis
Þ Body temperature regulation
Sensation
Þ Sensory organ for touch, temperature, pain and other
stimuli
What are the 3 layers of the skin?
Epidermis
Dermis
Hypodermis
What is the epidermis?
Outermost layer
Formed by layers of keratinocytes undergoing terminal maturation
This involved increased keratin production and migration towards external surface – known as cornification
What are the cells of the epidermis?
Keratinocytes
Melanocytes (melanin production and pigment formation)
Langerhans cells (antigenpresenting dendritic cells)
Merkel cells (sensory mechanoreceptors)
What are the layers of the epidermis?
Divided into layers deep to superficial:
stratum basale
stratum spinosum
stratum granulosum
stratum lucidum
stratum corneum
How long do keratinocytes travel?
Keratinocytes travel from stratum basale to corneum in 30-40 days
What is the dermis?
Tightly connected to epidermis via dermo-epidermal junction
Consists of two layers: superficial papillary layer and deeper reticular layer
What is contained in the dermis?
Contains fibroblasts (synthesise ECM), mast cells, blood vessels, cutaneous sensory nerves and skin appendages (e.g. hair follicles, nails, sebaceous and sweat glands)
Pilosebaceous unit: Sebaceous glands release their glandular secretions into the hair follicle shaft. The hair follicle is associated with an arrector pili muscle which contract to cause the follicle to stand upright.
What is the hypodermis?
Subcutaneous tissue: Major body store of adipose tissue
How thick is skin (3 layers)?
6mm
What is the main function of the epidermis?
The epithelial cells that line your skin and
mucous membranes allow body fluids to come
out (e.g. sweat and sebum)
Summarise the dermis
o Supporting structure
o Made up of collagen and elastic fibres
o Contains blood vessels, sweat glands, sebaceous
glands, hair follicles and nerve fibres
Which part of the body has the most sebaceous glands?
Nose
Which part of the body has no hairs?
Palms and soles
How does skin change with age?
o Much thinner epidermis
o More fragile dermis – poorer quality collagen and
elastic bundles
§ Hence elderly bruise easier
Which part of the skin is involved in the inflammatory reaction pattern?
epidermis
What are the different types of inflammatory reaction pattern?
o Vesiculobullous: forms bullae
o Spongiotic: becomes oedematous
o Psoriasiform: becomes thickened
o Lichenoid: forms a sheeny plaque
o Vasculitic: associated with vasculitides
o Granulomatous: associated with granulomas
What are the vesiculobullous conditions?
Bullous pemphigoid
Pemphigus vulgaris
Pemphigus foliaceus
What is bullous pemphigoid?
Blistering condition in which you get IgG antibodies produced against BPAg1/2 –
these are protein components of the basement membrane between epidermis and dermis
What type of reaction is bullous pemphigoid?
Type II antibody-dependent hypersensitivity reaction
Autoimmune disorder driven by IgG and C3 which attack the basement membrane