What is the most common tumor of the oral cavity?
Fibroma.
What is a fibroma?
Reactive hyperplasia of fibrous connective tissue in response to local irritation or trauma.
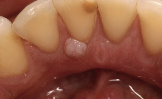
What is the likely Dx?

Fibroma.
What is the name for a fibrous tumor with distinct features, not associated with chronic irritation and has a predilecition for the gingiva at a younger age?
Giant cell fibroma.
What is the likely Dx?

Giant cell fibroma.
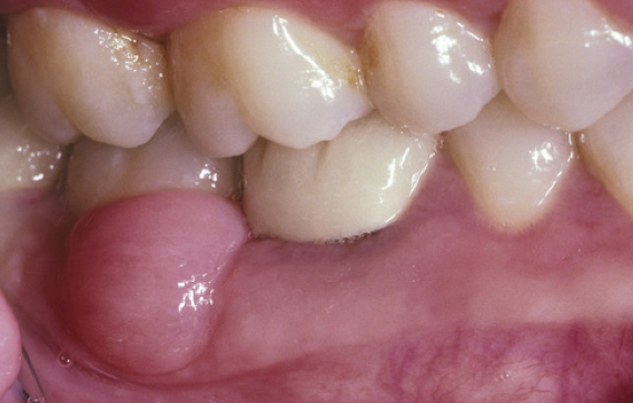
What is the likely Dx?

Retrocuspid papilla.
What is the name for tumor-like hyperplasia of fibrous connective tissue due to an ill-fitting denture?
Clinical Dx is Epulis Fissuratum.
Histological Dx is inflammatory fibrous hyperplasia.
What is the likely Dx?

Epulis Fissuratum. (This is the Clinical Dx)
What is the likely Dx?

Inflammatory papillary hyperplasia.
What is the term for reactive tissue growth that develops under a denture?
Inflammatory papillary hyperplasia.
Inflammatory papillary hyperplasia is often associated with what type of infection?
candidial infection.
What is the name for the oral counterpart of cutaneous focal mucinosis?
What population is it most common in and where will it occur?
Oral Focal Mucinosis.
Most common in young females and 2/3 occur on the gingiva with 1/3 on hard palate.
What is the likely Dx?

Oral focal mucinosis.
What are the 4 differentials for a bump on the gums?
3 Ps and IFH
Pyogenic granuloma
Peripheral giant cell granuloma
Peripheral ossifying fibroma
Inflammatory fibrous hyperplasia
What is the term for a reactive lesion to local irritation or trauma?
How does the lesion usually present?
What group will it usually occur in?
Pyogenic granuloma NOTE this is not a true granuloma.
Usually presents as ulcerated lesions and bleed easily.
Female predilection and often pregnant giving it name pregnancy tumor or granuloma gravidarum.
What is the name for the type of lesion that is caused due to local irritation and occurs exclusively on the gingiva or edentulous alveolar ridge, may also produce a cupping resorption of the underlying alveolar bone?
Peripheral giant cell granuloma.
What is the difference between peripheral giant cell granuloma and central giant cell granuloma?
Central giant cell granuloma will involve the medullary bone.
What is the term for a nudular mass that is usually originating from the dental papilla?
What is the treatment?
Peripheral ossifying fibroma
Excision down to the periosteum and scale adjacent teeth.
What is the term for a benign fat tumor?
What will aid in the Dx?
Lipoma.
They will float in formalin.
What is the most common mesenchymal neoplasm?
Lipoma.
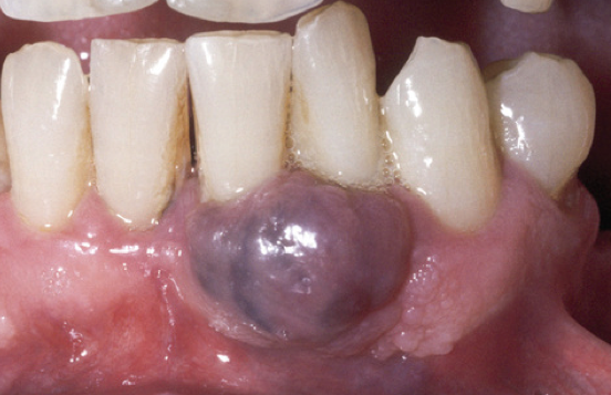
What is the likely Dx?

Peripheral giant cell granuloma NOTE it is more bluish.
What is the likely Dx?

Peripheral ossifying fibroma.
What is the term for benign tumor of nerve origin?
Neuroma.
What are the two forms of neuroma and where will it occur?
Traumatic neuroma and palisaded encapsuated neuroma.
Most common in mental foramen.