What do mixed odontogenic tumors consist of?
Epithelium and mesenchymal tissues.
T/F: odontogenic ectomesenchyme tumors have epithelium.
False
What is the name for a cyst that originates by separation of the follicle from around the crown of an unerupted tooth?
Dentigerous cyst.
What is the most common developmental cyst?
Dentigerous cyst.
Where does the dentigerous cyst attach to the tooth?
Covers the crown and attaches on the CEJ.
What is the size for consideration of a dentigerous cyst vs the normal growth space?
3mm.
Where is the most common site for a dentigerous cyst?
Mandibular 3rd molars.
What is the soft tissue analogue of a dentigerous cyst?
Eruption cyst.
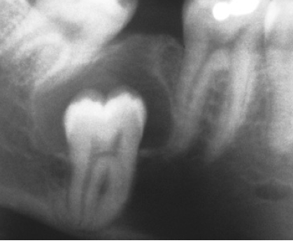
What is the likely Dx?

Dentigerous cyst.
What is the term for an eruption cyst when brusing is present?
Eruption hematoma.
What is the likely Dx?

Eruption cyst or eruption hematoma.
Gorlin syndrome is associated with what? (2 names)
What is the reoccurance rate?
Odontogenic Keratocyst or Keratocystic odontogenic tumor
30% reoccurance.
Where is the most common location for an odontogenic keratocyst?
What direction do they tend to grow?
Posterior mandible.
Anterior-posterior direction.
When will an odontogenic keratocyst mimic a dentigerous cyst?
When the tooth is unerupted.
What are the two important histology points with odontogenic keratocyst?
1- Palisading basal cell layer that is hyperchromatic
2- Epithelium covered by wavy or corrugated parakeratin that is 6-8 cell layers thick.
How is an odontogenic keratocyst Dx?
Biopsy.
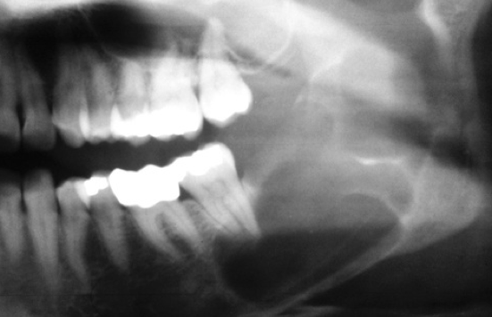
What is the likely Dx?

Odontogenic keratocyst. Note the multi lobule
What is another name for Gorlin syndrome?
Nevoid Basal Cell Carcinoma Syndrome.
What gene is associated with Nevoid Basal Cell carcinoma Syndrome?
Chromosome 9, PTCH gene.
What is nevoid basal cell carcinoma syndrome characterized by?
1- Multiple basal cell carcinomas
2- Odontogenic Keratocyst
3- Calcification of the falx cerebri
4- Bifid rib anomalies
What is one of the most constant features of nevoid basal cell carcinoma syndrome?
Odontogenic keratocysts.
What is the term for an OKC that has no basal palisading and orthokeratinized lining?
Orthokeratinized odontogenic cyst.
What is the soft tissue counter part of the lateral periodontal cyst?
Gingival cyst of the adult.
Gingival cyst of the adult is derived from what?
Rests of Serres.