What is the condition that will present with extremely foul breath, blunted papillae, gray pseudomembrane, and frequently occurs in the presence of physiological stress?
Necrotizing ulcerative gingivitis/periodontitis when bone loss is present.
What is the condition that presents with a distinctive pattern of gingival inflammation, bright red in color, and often occurs from cinnamon containing foods?
Plasma cell gingivitis.
What is a reaction that occurs anywhere not on the gingiva often from things such as foods or toothpaste?
Hypersensitivity reaction.
What is the growth called that presents as a small, bright red, velvety or papillary alteration that often bleeds easy upon manipulation? Note it will most often occur in children Where will it mostly occur?
Localized juvenile spongiotic gingival hyperplasia. It will mainly occur in the maxillary anterior region.
What is the term given to describe gingival epithelium that spontaneously sloughs or can be removed with minor manipulation?
Desquamative gingivitis. Note it is a clinical diagnosis and not a pathological disease. Must be biopsied.
What are the four diseases that may cause desquamative gingivitis?
Lichen planus, mucous membrane pemphigoid, pemphigus vulgaris, hypersensitivity.
What are some of the common drugs associated with drug-related gingival hyperplasia?
Cyclosporine (transplant therapy), Phenytoin (anticonvulsant), Nifedipine (calcium channel blocker).
What is the term for an inflammatory process that arises within the tissues, surrounding the crown of a partially erupted tooth?
Pericornitis
What is an operculum?
Tissue that is hanging over the crown.
What is papillon-lafevre syndrome?
It is a mutation and loss of function of the cathepsin C gene. Leads to accelerated periodontitis resulting in “floating teeth” and palmar plantar keratosis.
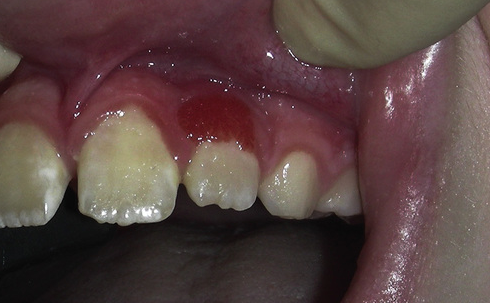
What is the likely diagnosis?

Localized spongiotic gingival hyperplasia.
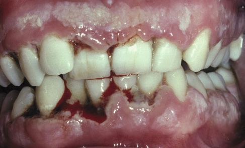
What is the likely diagnosis?

Necotizing ulcerative gingivitis.
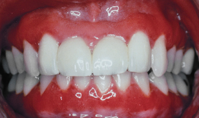
What is the likely diagnosis?

Plasma cell gingivitis.
What is the likely diagnosis?

Drug related gingival hyperplasia
What is the likely diagnosis?

Pericornitis.
What is the likely diagnosis?

Papillon-Lefevre Syndrome